1/195
Looks like no tags are added yet.
Name | Mastery | Learn | Test | Matching | Spaced |
|---|
No study sessions yet.
zenuwweefsel:
= complex communicatiesysteem
functies:
opnemen van prikkels
omvorming van prikkels tot zenuwimpulsen
overdragen van zenuwimpulsen naar andere neuronen of naar effectorcellen thv synaps
samenstelling zenuwweefsel: indeling
zenuwweefsel samengesteld uit volgende componenten:
neuronen (= eigenlijke zenuwcellen) met hun uitlopers
neuronen = functionele eenheden van centraal zenuwstelsel (CZS) & perifeer zenuwstelsel (PZS)
uitlopers van neuronen (dendrieten & axonen) = neurieten
volwassene: ± 100 miljard neuronen
steuncellen/ gliacellen
ondersteunen & beschermen neuronen
beschermende bindweefsel met bloedvaten:
in CZS: meningen (= hersenvliezen)
in hersenen zelf: geen bindweefselcellen, enkel errond
in PZS: endoneurium, perineurium & epineurium
samenstelling zenuwweefsel: neuronen/ zenuwcellen → uit 3 delen
cellichaam (= perikaryon/ soma) → bestaat uit:
kern
omgevend cytoplasma
dendrieten = afferente vezels
gespecialiseerd om prikkels te ontvangen van andere neuronen thv synapsen
axon = efferente vezel
lange uitloper gespecialiseerd in geleiden van zenuwimpulsen naar andere cellen (neuronen, spiervezels & klieren)
axon: gemyeliniseerd of niet
→ bouwschema meestal aanwezig, maar vorm & grootte van perikaryon en aantal uitlopers kunnen variëren
sommige neuronen: erg groot
bv. Purkinje-cellen in cerebellaire cortex
bv. lowermotor-neuronen in voorhoorn van ruggenmerg
sommige neuronen: erg klein
bv. stellaire cellen in cerebrale cortex
bv. granulaire cellen (korrelcellen) in cerebellaire cortex

samenstelling zenuwweefsel: neuronen/ zenuwcellen → onderverdeling neuronen obv aantal uitlopers
multipolaire neuronen
meest voorkomende neuronen in CZS
uit cellichaam van neuronen ontspringen multipele dendrieten & 1 axon
bipolaire neuronen
hebben 1 dendriet & 1 axon
bv. in retina & in reukepitheel (= olfactorische neuronen)
unipolaire neuronen (= pseudo-unipolaire neuronen)
slechts 1 uitloper → splitst in 2 uitlopers dicht bij perikaryon
1 uitloper naar perifeer (functie van dendriet)
1 uitloper naar CZS
→ beide uitlopers hebben aspect van axon
bv. in spinale ganglia & in ganglia van craniale zenuwen

neuronen/ zenuwcellen: cellichaam (perikaryon/ soma)
vesiculaire kern: grote, ronde kern met fijn chromatinepatroon (euchromatine)
in celkern: prominente, wat excentrisch gelegen nucleool
in cytoplasma:
talrijke mitochondriën
ook voorkomend in neurieten
goed ontwikkeld Golgi-apparaat
enkel in cellichaam, niet in neurieten
glad endoplasmatisch reticulum (GER)
ruw endoplasmatisch reticulum (RER)
erg sterk ontwikkeld
lichtoptisch zichtbaar als aggregaten van basofiel materiaal (blauwe substantie)
= Nisslse substantie/ Nisslse lichaampjes
vooral prominent in cellichamen van motorneuronen
talrijke vrije ribosomen
microtubuli & neurofilamenten
microtubuli: dikte van 25 nm
neurofilamenten (specifiek voor neuronen): dikte van 10 nm
→ vormen samen lichtmicroscopisch observeerbare neurofibrillen (na zilverkleuring)
→ aanwezigheid van grote kern met fijn chromatinepatroon (euchromatine), sterk ontwikkeld RER & vele vrije ribosomen => hoge proteïnesynthese
proteïnesynthese: nodig voor synthese van cytoskelet-eiwitten, membraaneiwitten & bepaalde neurotransmitters

Nisslse substantie in lower motor neurons
grootste cellen = neuronen
kleine cellen = gliacellen/ steuncellen

neuronen/ zenuwcellen: dendriet
= uitlopers van perikaryon, meestal sterk vertakt (zoals takken van een boom)
verschil met axon:
dendrieten worden dunner bij elke vertakking
arborisatie van dendrieten
zorgt ervoor dat neuron contact kan maken met duizenden uitlopers van axonen (axon terminals) afkomstig van andere neuronen
bv. Purkinje-cellen in cerebellaire cortex: kunnen synaps maken met 200.000 axonterminals
gemmulae = dendritic spines
kleine uitstulpingen op de plaats waar dendrieten synaps vormen met axonterminals
tonen grote plasticiteit
belangrijk voor neurale plasticiteit nodig voor:
adaptatie
leergedrag
geheugen
→ dendrieten bevatten geen GER of secretievesikels met neurotransmitters, wel RER, microtubuli & neurofilamenten


medische toepassing: mentale retardatie & dendritic spines
onderzoek van hersenen van kinderen met mentale retardatie
macroscopie: geen afwijkingen
microscopie (// fetale hersenen aspect):
minder dendritic spines
dendritic spines zijn dunner & langer
→ conclusie: bij mentale retardatie is er een onderliggend probleem van synapsvorming
→ geen normale vorming van neuronale circuits

neuronen/ zenuwcellen: axon
= cilindrische uitloper met een bijna constante diameter
ontstaat uit perikaryon thv axonheuvel (= axon hillock)
axonheuvel = trechtervormig
bevat (zoals axon) geen RER (geen Nisslse substantie)
cytoplasma van axon:
bevat mitochondriën, GER & talrijke neurotubuli en neurofilamenten
in axon: secretievesikels → worden afgesnoerd van Golgi-apparaat
kunnen thv synaps in de synaptische spleet hun inhoud (neurotransmitters) vrijstellen
aan uiteinde: axon is sterk vertakkend
vertakkingen = telodendria
uiteinden van telodendria: kleine, bolvormige verbreding gevuld met synaptische vesikels → bouton terminal (= presynaptische eindknop)

bouton terminal

neuronen/ zenuwcellen: axon → axonaal transport
anterograad transport (van cellichaam naar synaps):
snel:
0,5-4 cm per dag
transport van vesikels & macromoleculen
traag:
enkele milimeters per dag
transport van axonale cytoskelet zelf → snelheid overeenkomend met snelheid van regeneratie & groei van axon
retrograad transport (van synaps naar cellichaam):
snel: 0,5-4 cm per dag
materiaal opgenomen door endocytosis
→ ‘rails’ = microtubuli
→ motoren:
anterograad transport: kinesine
retrograad transport: dyneïne
medische toepassing: retrograad transport
endocytose van:
tetanustoxine
virussen:
herpes simplex (koorsblaasjes)
polio (verlammingen)
rabies
→ verklaart voor deel latentietijd tussen infectie & symptomen
latentietijd = tijd tussen infectie & voorkomen van symptomen
bv. bij rabies: lange latentietijd
in gezicht gebeten: symptomen na 2 weken
in voet gebeten: symptomen na maanden
→ retrograde transport heeft effect op latentietijd
OVERZICHT: kenmerken van dendriet vs axon

samenstelling zenuwweefsel: gliacellen/ steuncellen
→ ondersteunen overleving & activiteit van neuronen
→ in hersenen van mens: minstens 2x frequenter dan neuronen
CZS:
oligodendrocyten
astrocyten
ependymcellen
gemodificeerde variant: choroïd plexuscellen
microgliacellen (mesoderm)
PZS:
Schwann-cellen
satellietcellen
→ al deze cellen (behalve microgliacellen): afkomstig van neurectoderm
→ microgliacellen: van mesodermale origine (beenmerg)
gliacellen/ steuncellen: steuncellen van CZS → oligodendrocyten
= myeliniserende cellen van centraal zenuwstelsel (homoloog van Schwann-cellen in PZS)
eerder kleine cellen met korte uitlopers
uitlopers: gaan over in myelineschede die ze vormen rond axonen
belangrijkste & frequentste gliacellen in witte stof van CZS
kleur van witte stof: door hoge concentratie van lipiden in myeline
routine-lichtmicroscopie:
uitlopers van oligodendrocyten & myelineschede niet zichtbaar
oligodendrocyten: te zien als kleine cellen met ronde, donkere kern (met veel heterochromatine) met hierrond een dun laagje helder cytoplasma
in grijze stof: oligodendrocyten kunnen in nauwe associatie liggen met cellichamen van neuronen

gliacellen/ steuncellen: steuncellen van CZS → astrocyten
vrij grote stervormige cellen met talrijke uitlopers
veruit frequentste gliacellen in CZS
specifiek voor CZS (zoals oligodendrocyten)
cytoplasma & uitlopers van astrocyten:
bevatten talrijke bundels intermediaire filamenten → bestaan uit glial fibrillary acidic protein (GFAP)
GFAP = specifieke merker voor astrocyten & astrocytaire tumoren (astrocytomen)
uitlopers van astrocyten: tonen aan uiteinden kleine knopvormige verbredingen
= eindvoetjes
eindvoetjes bedekken endotheelcellen van bloedvaatjes
extensies van astrocyten: staan ook in contact met cellichamen van neuronen, synapsen, ependymcellen & pia mater
astrocyten vullen ruimtes tussen neuronen & bloedvaten
zoals bindweefsel met fibrocyten & fibroblasten dat doet op andere plaatsen in lichaam
lichtmicroscopisch:
neuropil
= fibrillaire matrix gevormd door uitlopers van gliacellen samen met neurieten tussen cellichamen van neuronen
2 types astrocyten:
protoplasmatische astrocyten
vooral in grijze stof
korte, brede, sterk vertakkende uitlopers
fibreuze astrocyten
vooral in witte stof
minder uitlopers → fijner & langer

gliacellen/ steuncellen: steuncellen van CZS → astrocyten: belangrijke functies
regulatie van extracellulaire ionenconcentraties
transport van voedingstoffen, afvalstoffen & andere metabolieten tussen neuronen en capillairen; metaboliseren van glutamaat & GABA
radiale glia (voorlopers van astrocyten): gidsen van neuronale migraties tijdens embryogenese
functie uitlopers & eindvoetjes (blood-brain barrier; bedekken synapsen in CZS; membrana limitans gliae superficialis; bedekken ependymcellen)
blood-brain barrier → 3 lagen:
bloedvat met endotheelcellen
basale membraan (uit laminine IV & collageen IV)
astrocytaire eindvoetjes
blood-brain barrier: zorgt dat bepaalde stoffen niet zomaar van bloed/ plasma naar hersenweefsel gaan
laagje van uitlopers naar hersenvliezen = membrana limitans gliae superficialis
bij letsel delen astrocyten & vormen een litteken (gliosis = litteken in de hersenen)


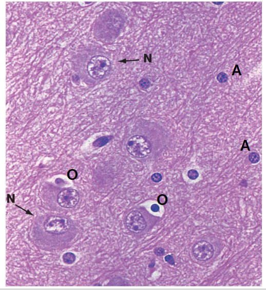
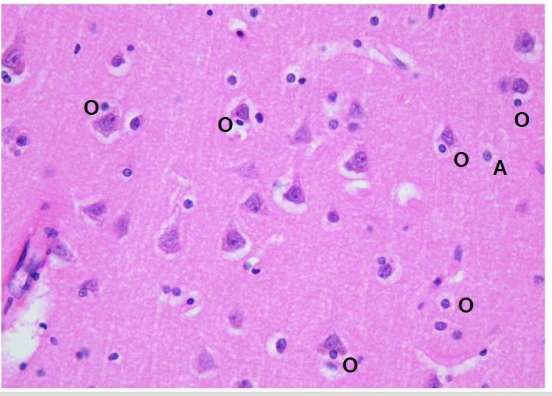
HISTOLOGIE: neuronen (N), neuropil, astrocyten (A) & oligodendrocyten (O)

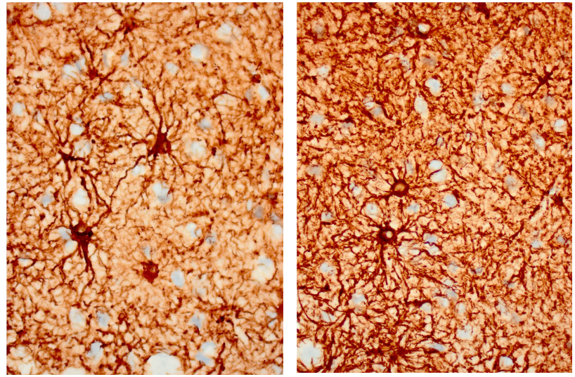
HISTOLOGIE: astrocyten (immuunhistochemie voor GFAP)

gliacellen/ steuncellen: steuncellen van CZS → ependymcellen
cuboïdale tot columnaire cellen → lijnen ventrikels & ependymkanaal (centraal kanaal) van ruggenmerg af
in sommige delen van CZS: ependymcellen tonen apicale trilharen (= cilia) & microvilli
cilia → spelen rol bij flow van CSV
skelet uit microtubuli
microvilli → rol bij absorptie
hebben actine cytoskelet
naar apicaal toe: met elkaar verbonden met junctionele complexen (tight junctions)
zoals ook bij epitheelcellen
MAAR: verschil met epitheel: geen basale membraan die ependymcellen scheidt van onderliggende weefsel
EN: ependymcellen hebben basaal uitlopers die zich vermengen met andere uitlopers in naburige neuropil

HISTOLOGIE: ependym

gliacellen/ steuncellen: steuncellen van CZS → choroid plexuscellen
plexus choroideus
= bloedvatennetwerk dat tussenkomt in vorming van CSV
bestaan uit talrijke vlokken die projecteren in lumen van ventrikels van hersenen
vlokken: uit instulping van pia mater (met talrijke bloedvaatjes), afgelijnd door gespecialiseerde cuboïdale ependymcellen
gespecialiseerde ependymcellen = choroid-plexuscellen
tela choroidea = plaats waar ependymcellen vlak onder pia mater liggen
choroid-plexuscellen
dragen zoals ependymcellen apicaal microvilli

HISTOLOGIE: choroid plexus


gliacellen/ steuncellen: steuncellen van CZS → microglia
= macrofagen afkomstig van monocyten
kleine cellen met korte onregelmatige uitlopers
moeilijk zichtbaar zonder immuunhistochemische kleuringen
bevatten talrijke lysosomen
belangrijkste functie: fagocyteren van vreemd materiaal
kunnen immunoregulatorische cytokines secreteren
spelen belangrijke rol in immuunsysteem van CZS
kunnen antigenen presenteren (kunnen T-lymfocyten activeren)
→ in tegenstelling tot andere gliacellen: microgliacellen kunnen migreren doorheen CZS
worden geactiveerd door weefselschade & micro-organismen
geactiveerde microglia: verliezen uitlopers & kunnen zich delen

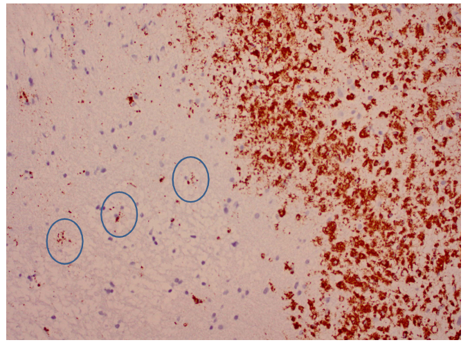
HISTOLOGIE: microglia (immuunhistochemie voor CD68)
CD68 = lysosomiale merker
microglia = bruine celletjes

medische toepassing: gliale tumoren/ gliomen
astrocyt:
astrocytoma
glioblastoma (hoogradig maligne)
meest frequente tumor
oligodendrocyt:
oligodendroglioma
ependymcel:
ependymoma
choroid plexus-cel (vrij zeldzaam):
choroid plexus-papilloma (benigne)
choroid plexus-carcinoma (maligne)
→ tumoren bestaande uit mature neuronen zijn zeer zeldzaam
(mogelijks wel tumoren in voorlopercellen van neuronen: neuroblasten)
gliacellen/ steuncellen: steuncellen van PZS → Schwann-cellen
= myeliniserende cellen van PZS
vormen bijna continue huls rond axonen in PZS (vanaf perikaryon tot juist boven eindknopjes)
omgeven zowel gemyeliniseerde als ongemyeliniseerde axonen
DUS: axonen liggen nooit vrij in intercellulaire ruimte
→ axonen samen met omgevende Schwann-cellen = zenuwvezels

gliacellen/ steuncellen: steuncellen van PZS → satellietcellen
= kleine gliale cellen
omringen de perikarya in de ganglia (= zenuwknopen)

ganglia
= concentraties van perikarya van neuronen buiten CZS
anatomisch onderscheid:
spinale ganglia
craniale ganglia
autonome ganglia
ganglia (meestal) omgeven door bindweefselkapsel
grotere perikarya in ganglia: omgeven door satellietcellen (= kapselcellen)
rond satellietcellen: basale membraan
losmazig bindweefsel met capillairtjes (vergelijkbaar met endoneurium) & zenuwvezels
huls van satellietcellen: gaat thv axon over in huls gevormd door Schwann-cellen

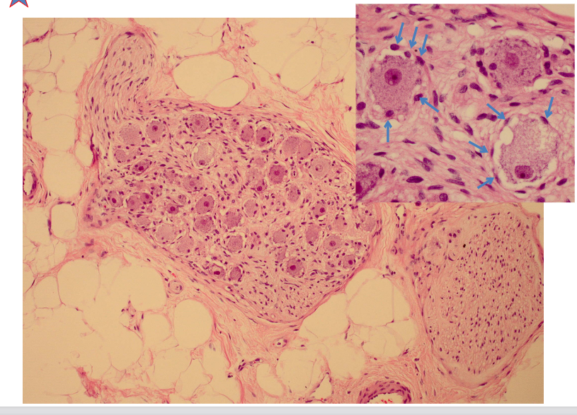
HISTOLOGIE: autonoom ganglion met satellietcellen (pijltjes)

samenstelling zenuwweefsel: myelinisatie
perifeer zenuwstelsel (PZS)
centraal zenuwstelsel (CZS)
myelinisatie: perifeer zenuwstelsel (PZS) → gemyeliniseerde vezels
1 axon met grote diameter → centrum van een vezel
errond: myelineschede & perifeer het Schwann-celcytoplasma dat celkern bevat
perifeer rond Schwann-celcytoplasma: continue basale membraan
bij in lengte gesneden vezels:
Schwann-cellen zijn langs axon geschikt volgens lengteas
Schwann-cellen: veel korter dan axonen
DUS: myelineschede rond axon is niet continu, maar op regelmatige afstanden onderbroken
basale membraan rond Schwann-cellen: wel continu
inkepingen die gevormd worden = knopen van Ranvier

myelinisatie: perifeer zenuwstelsel (PZS) → vorming van myelineschede
myeline: gevormd door fusie van celmembranen van Schwann-cellen
celmembraan van Schwann-cel: uit dubbele fosfolipidenlaag
aan binnenzijde (cytoplasmatische zijde): dikke laag proteïnen geassocieerd met fosfolipidelaag
aan buitenzijde: dunne proteïnelaag geassocieerd met fosfolipidelaag
myelinisatie:
cytoplasma tussen celmembranen verdwijnt → dikke proteïnelagen aan binnenzijde fusioneren met elkaar
extracellulaire ruimtes tussen celmembranen verdwijnen
= compactie
schematische weergave van myelinisatie:
stap 1: axon wordt omgeven door Schwann-cel
stap 2: axon wordt omgeven door meerdere lagen Schwann-celcytoplasma & -celmembraan
Schwann-celcytoplasma met omgevende celmembranen windt zich spiraalvormig rond axon
stap 3: cytoplasma tussen verschillende lagen celmembraan & extracellulaire ruimte verdwijnt

myelinisatie: perifeer zenuwstelsel (PZS) → compactie van myeline
periodische lijnen (major dense lines)
= fusie van de dikke laag proteïnen aan binnenzijde van celmembraan
intraperiodische lijnen
= fusie van dunne laag proteïnen aan buitenzijde van celmembraan (extracellulaire ruimte)
→ thv knopen van Ranvier (in interdigiterende uitlopers van naast elkaar liggende Schwann-cellen): wat cytoplasma blijft bewaard
=> compactie daar onvolledig
lamellen van myelineschede:
dichtst bij axon → kortste
naar perifeer toe → breder

myelinisatie: perifeer zenuwstelsel (PZS) → ultrastructuur van de knoop van Ranvier
thv knopen van Ranvier: axon niet omgeven door continue myelinehuls
MAAR: omgeven door interdigiterende uitlopers van naast elkaar liggende Schwann-cellen
→ myelinevrije zone (tussen 2 op elkaar volgende Schwann-cellen)
axon vormt kleine zwelling = varicositeit
celmembraan van axon maakt contact met interdigiterende uitlopers van Schwann-cellen
compactie niet volledig → cytoplasmalusjes
zitten vast op axon
gevolg: intercellulaire spleet tussen axon in Schwann-cel wordt afgesloten (paraxonale ruimte)
thv knoop van Ranvier: axon blootgesteld aan ionen in interstitium
afstand tussen 2 knopen van Ranvier = internodium (internodaal segment)
internodale segmenten: lengte van 300-500 µm
knopen van Ranvier: verantoordelijk voor saltatorische (saltare = springen) geleiding van actiepotentialen van knoop naar knoop

myelinisatie: perifeer zenuwstelsel (PZS) → geleidingssnelheid gemyeliniseerd vs. ongemyeliniseerd
geleiding van niet-gemyeliniseerd axon:
Na-kanalen = voltage-gated
actiepotentiaal komt toe → Na-kanaal gaat open → depolarisatie → volgende Na-kanaal gaat open…
signaal voortgeleid langs celmembraan
geleiding van gemyeliniseerde axon:
myelineschede vormt belangrijke elektrische isolatie
cruciaal voor snelheid van geleiding van zenuwimpulsen
in knopen van Ranvier: heel veel Na-kanalen
tussen knopen van Ranvier:
bijna geen Na-kanalen
geen verplaatsingen van ionen mogelijk
actiepotentiaal komt toe in knoop van Ranvier: Na-komt binnen → depolarisatie → elektrische puls snel voortgeleid door axonplasma
geleiding met factor 10 versneld
= saltatorische geleiding

myelinisatie: perifeer zenuwstelsel (PZS) → niet-gemyeliniseerde vezels
dunnere/ kortere axonen
bestaan uit 1 Schwann-cel die meerdere dunne axonen omgeeft
cytoplasma van Schwann-cel plooit zich rond een aantal axonen
kern van Schwann-cel blijft centaal liggen
geen knopen van Ranvier
geleiding is niet saltatorisch & trager dan deze van gemyeliniseerde zenuwvezels

medische toepassing: syndroom van Guillain-Barré
= acute demyeliniserende aandoening van PZS
getriggerd door infectie (meestal viraal; influenza-like)
symptomen:
vooral spierzwakte
treft ook respiratoire spieren (5% mortaliteit)
pathogenese:
T cel-gemedieerde auto-immune respons tegen myeline
activatie van macrofagen
segmentaire demyelinisatie in PZS
myelinisatie: centraal zenuwstelsel (CZS) → verschillen met PZS:
1 oligodendrocyt myeliniseert meerdere axonen
kern & cellichaam van oligodendrocyt liggen centraal met er rond verschillende axonen
oppervlak van oligodendrocyten is niet bedekt met basale membraan
niet-gemyeliniseerde axonen in CZS liggen volledig naakt in neuropil
(knopen van Ranvier ook in CZS voorkomend)

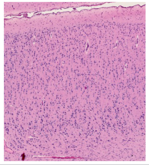
HISTOLOGIE: CZS: witte & grijze stof
in CZS:
witte stof: uit vezels & gliacellen
myeline = witte gaten → want vet uitgewassen
grijze stof: uit vezels, gliacellen & perikarya

medische toepassing: multiple sclerosis (MS)
auto-immune demyeliniserende aandoening (CZS)
episodisch (herstel & herval), meestal wel progressief
pathogenese:
T-cel-gemedieerde auto-immune respons tegen myeline
activatie van microglia
demyelinisatie in CZS
HISTOLOGIE: MS: demyeliniserend letsel in hersenen (immuunhistochemie voor CD68)
bruin = geactiveerde microgliacellen

samenstelling zenuwweefsel: bindweefselhulzen van PZS: microscopische structuur van perifere zenuwen
zenuwvezels in PZS:
axon (of axonen, zo niet-gemyeliniseerd) met errond lineair geschikte Schwann-cellen met basale membraan (basale lamina)
→ van elkaar gescheiden door endoneurium
endoneurium:
dun laagje bindweefsel
uit fijne collageenvezels (vooral longitudinaal lopend), zeldzame fibroblasten & capillairtjes
endotheelcellen die endoneurale capillairtjes aflijnen: verbonden met tight junctions & spelen rol in blood-nerve barrier
in hersenen & ruggenmerg niet aanwezig
zenuwbundels/ fasciculi:
groepering van zenuwvezels
→ omgeven door perineurium
opgebouwd uit concentrische lagen gespecialiseerde afgeplatte perineurale cellen
perineurale cellen: met elkaar verbonden door tight junctions & ook belangrijke rol in blood-nerve barrier
zenuw:
meerdere zenuwbundels samen
→ tussen & rond zenuwbundels: epineurium
bestaat uit bindweefsel met bloedvaten (vasa nervorum) & vetweefsel
→ kleine zenuwtakjes: uit 1 zenuwbundel omgeven door perineurium
→ grote zenuwen: uit meerdere zenuwbundels

HISTOLOGIE: kleine zenuw

HISTOLOGIE: zenuwbundel (overlangs)

HISTOLOGIE: zenuwbundel (dwars; x1000)

HISTOLOGIE: zenuwbundel (overlangs; x1000)

incisura van Schmidt-Lanterman
onvolledige compactie op regelmatige afstanden tussen knopen van Ranvier
dienen voor onderhoud van myeline
medische toepassing: tumoren van perifere zenuwen
Schwann-cel:
schwannoma (frequent)
neurofibroma (frequent)
maligne tegenhanger van neurofibroma = malignant peripheral nerve sheath tumor (MPNST)
neurofibromatosis type 1 (frequent): multipele neurofibromen
kenmerken:
multipele neurofibromen
pigmentvlekken (vooral in oksel): cafe-au-lait-vlekken
laaggradige astrocytaire tumoren van de hersenen
perineural cel:
perineurioma (niet frequent)
samenstelling zenuwweefsel: synapsen
= speciale plaatsen voor doorgeven zenuwimpulsen (unidirectioneel) van:
neuron naar ander neuron
neuronen naar effectorcel, zoals:
spiercel
kliercel
samenstelling zenuwweefsel: synapsen → algemene structuur van synaps
3 delen:
presynaptisch axonuiteinde (presynaptisch eindknopje/ bouton terminal)
vesikels gevuld met neurotransmitter
neurotransmitters:
kleine moleculen die binden aan specifieke receptoren & die ionenkanalen openen of sluiten, of second-messenger-cascades initiëren
synaptische spleet
± 20 nm breed
thv synaps: presynaptische & postsynaptische celmembraan verdikt
postsynaptische celmembraan
met receptoren voor neurotransmitters
thv synaps:
elektrisch signaal (zenuwimpuls) van presynaptische cel omgezet in chemisch signaal dat postsynaptische cel beïnvloedt
werking van synaps:
zenuwimpuls komt aan → calciumkanalen openen
calciuminflux → creëert neurotransmitter release door exocytose
neurotransmittermoleculen diffunderen doorheen synaptische spleet & binden aan receptoren op postsynaptische celmembraan
postsynaptische membraanpotentiaal verandert → informatie wordt overgedragen van 1 cel naar andere
synapsen: niet lichtmicroscopisch te zien, wel elektronenmicroscopisch

samenstelling zenuwweefsel: synapsen → algemene indeling van verschillende synapsen
interneuronale synaps (tss 2 neuronen):
axodendritische synapsen
axosomatische synapsen
axo-axonale synapsen
neuro-effectorsynaps (tss neuron & effectorcel):
myoneuraal (tss axon & spiervezel):
willekeurig zenuwstelsel: dwarsgestreepte spiervezel (motorische eindplaat)
autonoom zenuwstelsel: gladde spiervezel
neuroglandulair (tss axon & kliercel)
neuroreceptor:
vrije afferente zenuwuiteinden
specifieke orgaantjes (eindlichaampjes)
→ uit specifieke receptorcellen & afferente zenuwuiteinden: kunnen stimuli van chemische en/ of fysische aard omzetten tot zenuwimpulsen & zo informatie doorgeven naar CZS
→ rol bij registratie van oa pijn, warmte & druk
motorische eindplaat/ neuromusculaire junctie
→ voorbeeld van neuro-effectorsynaps
axon valt uit in veel telodendria → 1 zenuwvezel kan meerdere dwarsgestreepte spiervezels bezenuwen
telodendrion/ terminale takje: presynaptisch eindknopje
ongemyeliniseerd, MAAR: wel bedekt met Schwann-cellen + bovenop Schwann-celcytoplasma
bevat vesikels met neurotransmitter acetylcholine
thv synaps:
basale membraan van Schwann-cel gaat over in basale membraan van dwarsgestreepte spiervezel
eindknopje ligt in inham van dwarsgestreepte spiervezel
nauwe synaptische spleet (primaire synaptische spleet)
tussen eindknopje & celmembraan van dwarsgestreepte spiervezel (sarcolemma)
secundaire synaptische spleten:
sarcolemma van dwarsgestreepte spiervezel: maakt thv synaps diepe instulpingen in cytoplasma
zorgt voor vergroting van oppervlak van postsynaptische celmembraan → aantal acetylcholinereceptoren kan sterk toenemen
binding van acetylcholine met acetylcholine-receptor (nicotine-receptor): influx van Na+ → depolarisatie van sarcolemma → vrijstelling van Ca uit sarcoplasmatisch reticulum → Ca zorgt voor inschuiven van actinefilamenten in myosinefilamenten
acetylcholine afgebroken door extracellulaire enzym acetylcholine-esterase
zorgt dat synaptische overgang stopt
axon van 1 motorneuron: kan synaps vormen met enkele tot meer dan duizend spiervezels
een groep van spiervezels, bezenuwd door 1 zenuwvezel = motorische eenheid (motor unit)

motorische eindplaat/ neuromusculaire junctie → inhibitoren van nicotinereceptor & blokkers van acetylcholine-esterase
inhibitoren van nicotinereceptor:
α-bungarotoxine
gemaakt door slangen
curare
in plantenextract
iemand verlammen in volle bewustzijn (in anesthesie gebruikt)
blokkers van acetylcholine-esterase:
om synaptische transmissie te verbeteren
pyridostigmine
medische toepassing: myastenia gravis
auto-immune ziekte gekenmerkt door spierzwakte
auto-antilichamen tegen acetylcholine-receptor
verstoorde transmissie
behandeling: geven van acetylcholine-esterase inhibitor (bv. pyridostigmine)
innervatie van glad spierweefsel
→ minder gespecialiseerd
echte motorische eindplaten zijn er niet
axonen die gladde spiervezels innerveren → tonen over verloop varicositeiten gevuld met synaptische vesikels
axonen: niet gemyeliniseerd (autonoom zenuwstelsel)
synaptische vesikels: met acetylcholine & noradrenaline
sarcolemma van gladde spiervezels: toont geen gespecialiseerde postsynaptische celmembraan & kan over volledig oppervlak prikkels opnemen
via nexucontacten (gap junctions): prikkel doorgeven van gladde spiercel tot gladde spiercel

axonregeneratie: neuronregeneratie
gedifferentieerde neuronen kunnen niet delen om beschadigde neuronen te vervangen
want: zijn verbonden via talrijke connecties met andere neuronen → ingewikkelde synaptische contacten
4 plaatsen waar regeneratie van neuronen mogelijk is:
granulaire cellaag van bulbus olfactorius
granulaire cellaag van gyrus dentatus van hippocampus
olfactorische cellen in olfactorisch epitheel (= reukmucosa)
neuronale stamcellen in wand van ventrikels
nog onderzoek naar
axonregeneratie
→ enkel mogelijk in PZS
Schwann-cellen stimuleren regeneratie (door neurotrofe factoren)
oligodendrocyten inhiberen regeneratie
axonregeneratie: axonregeneratie in PZS
Walleriaanse degeneratie
na beschadiging (of doorsnijden) van axon:
distale deel van axon gaat degenereren
proximale deel van axon degenereert tot aan eerstvolgende knoop van Ranvier
myelineschede rond degenererende axon degenereert & desintegreert
gedegenereerde axon & myeline dan opgeruimd door macrofagen
Schwann-cellen zelf sterven niet af → delen zich & proliferen binnen perineurium
bij beschadiging van axon: veranderingen waargenomen in perikaryon dat hoort bij axon:
perikaryon zwelt
chromatolysis
= verlies van Nisslse substantie
kern komt excentrisch te liggen
spiervezels geïnnerveerd door beschadigde axon: atrofiëren
bij regeneratie van axon:
terug toename van Nisslse substantie
zwelling van perikaryon verdwijnt
na 3-tal weken:
regenererende axonen groeien traag in kolommen gevormd door prolifererende Schwann-cellen
Schwann-celkolommen = banden van Bünger
snelheid waarom axon regenereert → overeenkomend met deze van trage axonale transport
± 1mm per dag
na meerdere maanden: succesvolle regeneratie van zenuwvezel mogelijk
terug functionele connecties met dwarsgestreepte spiervezels gevormd
spiervezels gaan herstellen
amputatieneuroom/ traumatisch neuroom
bij amputaties of grote onderbrekingen van zenuwvezels → prolifererende Schwann-cellen kunnen defect niet overbruggen
uiteinde van beschadigde zenuw: toont wanordelijke proliferatie van Schwann-cellen met ertussen takjes van axonen die proberen te regenereren
je kan afstanden overbruggen (bv. hand eraanzetten), maar geen extreme afstanden (bv. arm eraan zal niet lukken)

histologie van het centraal zenuwstelsel:
→ cytoarchitectuur van het centraal zenuwstelsel:
cerebrum
hippocampus
cerebellum
ruggenmerg
hersenvliezen
grijze stof vs. witte stof
grijze stof:
cellichamen van neuronen (& hun dendrieten)
gemyeliniseerde & vooral niet-gemyeliniseerde zenuwvezels
gliacellen
witte stof:
gemyeliniseerde axonen
gliacellen (vooral oligodendrocyten)
cerebrum: inleiding
grijze stof:
cortex/ hersenschors:
iso-/ neocortex = nieuwer deel
allocortex = ouder deel
archicortex: hippocampus & gyrus dentatus
paleocortex: reukcortex
hersenkernen
bv. thalamus, putamen, globus pallidus…
cerebrum: inleiding → neocortex - paleocortex - archicortex
neocortex:
enkel bij zoogdieren
90% van cerebrale cortex
6-lagig
paleocortex:
3- tot 5-lagig
archicortex:
3-lagig
→ neuronen in cerebrale cortex: georganiseerd in kolommen
hoogte van kolom komt overeen met dikte van cortex
kolommen met breedte van ± 0,5mm = functionele eenheid
columnaire organisatie: als bepaalde kolom wordt geprikkeld door afferente prikkels → alle cellen in de kolom worden geprikkeld
cerebrum: area’s
cortex → indeling in area’s
area’s van Brodmann (52 area’s)
gebaseerd op neurontype, aantal neuronen & specifieke schikking
→ verschillen tussen area’s niet voldoende specifiek om bepaalde area microscopisch te herkennen zonder kennis van plaats waar hersenbiopt werd genomen
BEHALVE:
primaire motorische cortex (area 4)
primaire visuele cortex (area 17)

cerebrum: cytoarchitectuur van de neocortex → lagen van de neocortex
(dikte van neocortex: van 4,5mm tot 1,5mm)
I. moleculaire laag (lamina molecularis of plexiformis)
II. buitenste granulaire laag (lamina granularis externa)
III. buitenste piramidale laag (lamina pyramidalis externa)
IV. binnenste granulaire laag (lamina granularis interna)
V. binnenste piramidale laag (lamina pyramidalis interna)
VI. multiforme of polymorfe laag (lamina multiformis)
→ lagen niet scherp van elkaar afgelijnd
→ in alle lagen ook gliacellen

I. moleculaire laag (lamina molecularis of plexiformis)
vlak onder pia mater
vooral uitlopers van cellen uit diepere lagen → cel-arm
vezels in laag lopen vooral parallel aan oppervlak
voorkomende neuronen: horizontale cellen van Cajal (C)
axon loopt horizontaal & maakt synaps met dendrieten van piramidale cellen
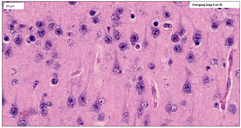
II. buitenste granulaire laag (lamina granularis externa)
kleine piramidale cellen (P) & stellaire cellen (S)
naarmate piramidale cellen dieper in cortex liggen worden ze groter
piramidale cellen:
apicale dendrieten → lopen naar oppervlak van hersenen
lateraal: dendrieten die horizontaal lopen
basaal: axon dat naar diepere lagen toeloopt
III. buitenste piramidale laag (lamina pyramidalis externa)
uit middelgrote piramidale cellen
axon loopt naar witte hersenstof
cellen van Martinotti
= kleine multipolaire cellen met korte dendrieten & axon dat opstijgt naar laag I
in laag I: axon vertakt T-vormig
vertakkingen van axon lopen horizontaal in moleculaire laag
deze cellen: ook in diepere lagen te zien
IV. binnenste granulaire laag (lamina granularis interna)
vooral dicht bij elkaar liggende stellaire cellen
zeer veel axonen die horizontaal lopen → vorming dense band zenuwvezels
= externe band van Baillarger
vooral prominent in primaire visuele cortex (zowel macroscopisch als microscopisch herkenbaar) → daarom te onderscheiden van andere area’s
in primaire visuele cortex: band = stria (lijn) van Gennari
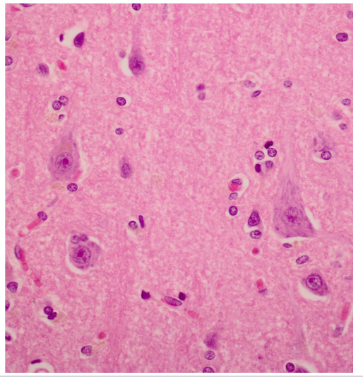
V. binnenste piramidale laag (lamina pyramidalis interna)
grote piramidale cellen
in primaire motorische cortex (gyrus precentralis):
opvallend sterk ontwikkeld (in aantal & afmetingen)
= cellen van Betz
cellichaam tot 120 µm
= uppermotorneuronen
diep in deze laag: interne band van Baillarger
bestaat ook uit horizontaal verlopende axonen
VI. multiforme of polymorfe laag (lamina multiformis)
verschillende types neuronen (kleine piramidale cellen, stellaire cellen, cellen van Martinotti) → dus daarom: multiform
speciaal celtype in deze laag: fusiforme cellen (F)
loodrecht georiënteerd op hersenschors
axon ontspringt zijdelings op cellichaam & loopt naar lamina I
axon vaak naar onder (naar witte stof)
kunnen ook in andere lagen voorkomen
HISTOLOGIE: lagen van de neocortex (HE)

HISTOLOGIE: lagen van de neocortex (HE): sterke vergroting van laag II & III

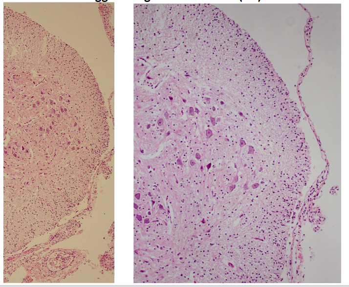
HISTOLOGIE: lagen van de neocortex (HE): cellen van Betz in lamina pyramidalis interna van primaire motorische cortex

HISTOLOGIE: lijn van Gennari (primaire visuele cortex)

cerebrum: witte stof
subcorticale witte stof (onder de cortex):
vezels in meerdere richting
bundel/ tractus:
vezels in dezelfde richting
macroscopisch zichtbaar
associatievezels:
verbinden 2 verschillende corticale zones binnen dezelfde hemisfeer
commissurale vezels:
verbinden gelijkaardige zones van 2 hemisferen
projectievezels:
verbinden cortex met subcorticale gebieden
→ naast radiaal gerichte (tov cortex) vezels, ook tangentiële vezels (bv. banden van Baillarger)
HISTOLOGIE: lagen van neocortex: tangentiële vezels in lijn van Gennari (myelinekleuring: luxol fast blue)

hippocampus: inleiding
deel van limbisch systeem
limbisch systeem = functioneel hersensysteem
componenten niet gelokaliseerd in 1 welbepaald hersengebied, maar netwerk van neuronen die samenwerken & grote afstanden overbruggen in de hersenen
functie limbisch systeem:
voortbestaan van het individu (bv. voedsel zoeken)
voortbestaan van de soort (voorplanting & seksualiteit)
(vooral afferentie ontvangen vanuit reukcentra)
beleving van emoties (amygdala)
hippocampus → belangrijk voor geheugen


hippocampus: hippocampale formatie
gyrus dentatus (archicortex)
eigenlijke hippocampus (archicortex)
in bodem & mediaal van temporale hoorn van laterale ventrikel
tegen hippocampus: fornix
= efferente bundel die hippocampus verbindt met corpora mammillaria
eigenlijke hippocampus = cornu ammonis/ hoorn van Ammon
uit archicortex
subiculum
gyrus parahippocampalis (entorhinale cortex)
→ vooral goed te zien op coronale snede door rostrale deel van gyrus parahippocampalis
→ cortex van hippocampus & amygdala: wordt gezien als subcorticale structuur van limbisch systeem
MAAR: eigenlijk een naar binnen geplooide schorsformatie, die uitpuilt in temporale hoorn van laterale ventrikel
(occipitotemporalis lateralis = gyrus fusiformis)


hippocampus: cellulaire organisatie
(mediaal: links - lateraal: rechts) (anterieur: door het scherm - posterieur: naar jou toe)
hippocampus & gyrus dentatus: archicorticale cytoarchitectuur
3 cellagen
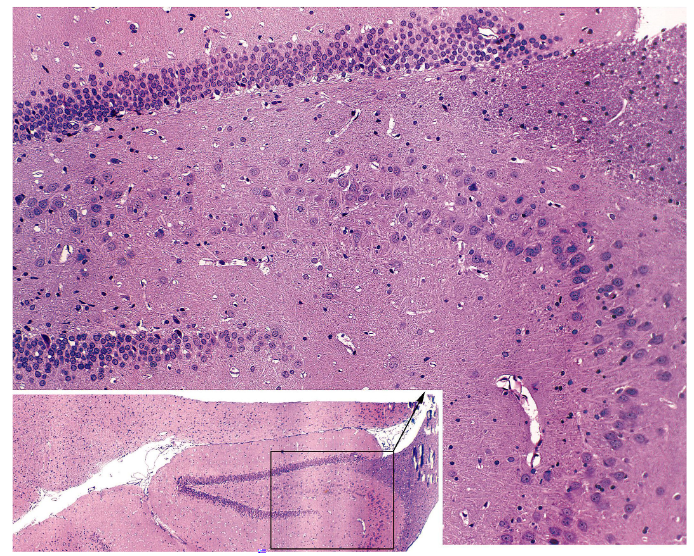
cellagen van de hippocampus:
moleculaire laag
piramidale laag
polymorfe (multiforme) laag
cellagen van de gyrus dentatus:
moleculaire laag
granulaire laag
polymorfe (multiforme) laag
subiculum & gyrus parahippocampalis (entorhinale cortex): overgangscortex (paleocortex)
piramidale cellen van hippocampus & subiculum:
hebben axonen die lopen naar alveus
alveus
= dun laagje witte stof die hippocampus bedekt
hierin: projectievezels van hippocampus & subiculum
vezels lopen dan verder in fimbria fornicis & zo naar fornix
korrelcellen = projectieneuronen van gyrus dentatus
axonen maken synaps met dendrieten van piramidale cellen in hippocampus
→ cytoarchitectuur van hippocampus vrij uniform
MAAR: toch variaties in morfologie van samenstellende neuronen & in gevolgde banen van vezels
DUS: hippocampus opgesplitst in sectoren:
CA1, CA2, CA3 & CA4
CA = cornu ammonis
CA4: bij mens weinig ontwikkeld, ligt in hilus van gyrus dentatus

HISTOLOGIE: hippocampus & gyrus dentatus: cellulaire organisatie

hippocampus: functionele organisatie → intrinsieke connecties
→ verwerkingsstations binnen hippocampale formatie (gyrus dentatus, hippocampus, subiculum & entorhinale cortex)
→ eenvoudig circuit: uit seriële ketting van neuronen
informatie komt binnen in hippocampus via perforant path
perforant path: neuronen van entorhinale cortex naar korrelcellen van gyrus dentatus
entorhinale cortex: associatiecortex van reukindrukken
6-lagig, maar beschouwd als overgangscortex (allocortex)
axonen van korrelcellen in gyrus dentatus maken synaps met dendrieten van piramidale cellen van CA3-sector van hippocampus
axonen = mosvezels (mossy fibers)
piramidale cellen van CA3 zenden axonen naar fornix & collateralen naar CA1
collateralen naar CA1 = Schäffer-collateralen
maken synaps met piramidale cellen van CA1-sector
CA1-piramidale cellen: projecteren naar subiculum
neuronen van subiculum: projecteren naar entorhinale cortex
vanuit entorhinale cortex dan perforant path naar gyrus dentatus
intrinsieke connecties: vormen gesloten lus & continue pathway:
begint in entorhinale cortex, dan doorheen hippocampus & terug naar entorhinale cortex
belangrijke rol in kortetermijngeheugen
stimulatie van perforant path, mossy fibers & Schäffer-collateralen: long-term potentiation (LTP)
= vergemakkelijken van excitatorische synaptische transmissie naar granulaire cellen van gyrus dentatus, piramidale cellen van CA3 & piramidale cellen van CA1

hippocampus: functionele organisatie → extrinsieke connecties
efferent systeem van de hippocampale formatie:
vertrekt van piramidale cellen van hippocampus & subiculum
axonen van deze neuronen: projecteren op subcorticale gebieden (thalamus, hypothalamus & amygdala)
fornix: belangrijke wittestofbaan
tussen hippocampus & amygdala: rechtstreekse verbindingen via witte stof van temporaalkwab

medische toepassing: rol van piramidale neuronen in CA1 bij hersenaandoeningen
ziekte van Alzheimer
zeer gevoelig voor ischemie & epilepsie

medische toepassing: patiënt H.M.
1 hippocampus wegnemen → doet niets want 2e hippocampus compenseert
bilaterale temporaliskwabresectie:
kortetermijngeheugen volledig weg
rest van geheugen wel in orde
anterograde amnesie (want kon niets meer vasthouden in langetermijngeheugen aangezien kortetermijngeheugen niet meer werkte)

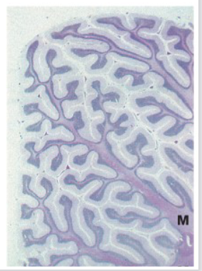
cerebellum: inleiding
grijze stof
cortex (sulci & folia)
cerebellaire kernen
witte stof (corpus medullare) (M)
→ cortex van cerebellum: speciale cytoarchitectuur
sulci: veelvuldiger dan in cerebrum, maar minder diep
DUS: zo ontstaan folia ipv gyri/ windingen
cerebellum:
± 10% van totale volume van hersenen
in cortex van cerebellum: bijzonder hoge densiteit van neuronen
grootste deel: kleine excitatorische neuronen = granulaire cellen
aantal granulaire cellen in cerebellum is ongeveer gelijk aan aantal neuronen in rest van CZS
grootste neuron in cerebellaire cortex = inhibitorische Purkinje-cel

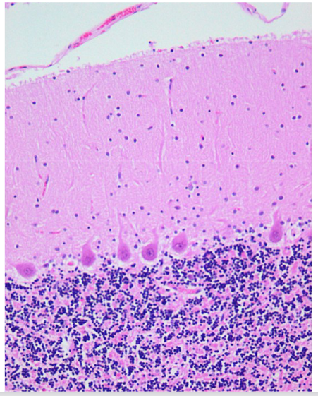
cerebellum: cellagen
cytoarchitectuur van cortex in alle gebieden van kleine hersenen (archi-, paleo- & neocerebellum) dezelfde
5 celtypes
3 cellagen → van oppervlakkig naar diep:
moleculaire laag
Purkinje-cellaag
granulaire laag

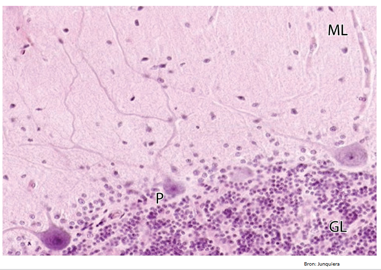
I. moleculaire laag (stratum moleculare/ ML)
cel-arm (zoals moleculaire laag van cerebrale cortex)
2 types cellen:
korfcellen (basket cells)
stellaire cellen (outer stellate cells)
meest oppervlakkig
→ beiden: inhiberende interneuronen die synaps vormen met Purkinje-cellen
krijgen input van granulaire cellen via parallelle vezels
talrijke neurieten van cellen in dieper gelegen lagen
(dendrieten van Purkinje-cellen, parallelle vezels van granulaire cellen & dendrieten van Golgi-cellen)

II. Purkinje-cellaag (stratum ganglionare/ P)
Purkinje-cel = bipolair neuron
perikarya van Purkinje-cellen: in 1 laag regelmatig naast elkaar geschikt
perikarya: bijzonder groot & gemakkelijk lichtmicroscopisch herkend
dendriet: vertakt enorm in stratum moleculare
krijgen excitatorische input van parallelle vezels van granulaire cellen & via klimvezels, afkomstig van nucleus olivaris inferior
krijgen inhibitorische input van stellaire cellen & korfcellen in stratum moleculare
1 fijn axon: loopt naar kleine hersenkernen
hersenkernen: nucleus fastigii, nucleus dentatus, nucleus globosus & nucleus emboliformis)

III. granulaire laag (stratum granulare/ GL)
= zeer dense laag met talrijke kleine neuronen
2 types neuronen:
granulaire cellen (‘kleine granulaire cellen’)
Golgi-cellen (‘grote granulaire cellen’)
axonen van granulaire cellen: lopen naar moleculaire laag
splitsen T-vormig
maken synaps met dendrieten van Purkinje-cellen, stellaire cellen, korfcellen & Golgi-cellen
DUS: parallelle vezels
granulaire cellen:
4 à 5 korte dendrieten
dendrieten: maken synaps met axonen vanuit witte stof van cerebellum (afkomstig van kernen in ruggenmerg & hersenstam (oa formatio reticularis & nuclei pontis))
axonen/ vezels = mosvezels/ mossy fibers
synapsen: zeer complex → cerebellaire glomeruli
Golgi-cellen:
groter dan granulaire cellen
dendrieten: langer & lopen naar moleculaire laag
axonen: vormen inhibitorische synapsen met dendrieten van granulaire cellen
DUS: deel van cerebellaire glomeruli
krijgen (zoals Purkinje-cellen) excitatorische input van parallelle vezels


HISTOLOGIE: lagen van cerebellaire cortex (HE)


cerebellum: afferente vezels van cerebellaire cortex
→ bedoeling kleine hersenen: vergelijken van het plan (in motorische cortex) met wat er op het terrein gebeurt (proprioceptie)
klimvezels (climbing fibers)
brengen proprioceptieve informatie over naar Purkinje-cellen
perikarya: in nucleus olivaris inferior
uitlopers van de neuronen:
niet vertakt, draaien als klimplant rond lichaam & dendrietenboom van Purkinje-cel (1 vezel per Purkinje-cel)
excitatorisch
mosvezels (mossy fibers)
ontvangen proprioceptieve input + input vanuit motorische cortex
geven deze informatie door via parallelle vezels van granulaire cellen naar Purkinje-cellen
sterke convergentie van granulaire cellen naar Purkinje-cellen:
100.000 parallelle vezels maken synaptisch contact met 1 Purkinje-cel
excitatorisch

cerebellum: circuits
(excitatorisch = groen, inhibitorisch = rood)
Purkinje-cel: ingeschakeld in complex neuronaal circuit
circuit bestaat uit:
2 afferente vezelsystemen (excitatorische klim- & mosvezels)
3 inhiberende interneuronen: stellaire cellen, korfcellen & Golgi-cellen
→ verbindingen opsplitsen:
inhibitorisch circuit van Purkinje-cellen
mosvezels stimuleren granulaire cellen die met parallelle vezels excitatorische synapsen vormen met:
dendrieten van Purkinje-cellen
dendrieten van korfcellen & stellaire cellen
axonen van korfcellen & stellaire cellen: vormen inhibitorische synapsen met Purkinje-cellen
inhibitorisch circuit van granulaire cellen:
stimuli van mosvezels worden via parallelle vezels van granulaire cellen overgedragen op dendrieten van Golgi-cellen
Golgi-cellen maken dan inhibitorische synapsen met dendrieten van granulaire cellen
excitatorische input op Purkinje-cellen
klim- & mosvezels → stimuleren Purkinje-cellen via excitatorische synapsen
→ geheel vormt basiscircuit in cerebellaire cortex


cerebellum: efferente vezels
enige efferente vezels van cerebellaire cortex: axonen van Purkinje-cellen
projecteren op diepe cerebellaire kernen
diepe cerebellaire kernen: projecteren naar diverse motorische systemen
Purkinje-cel-output: volledig inhibitorisch (GABA-erg)
mosvezels & klimvezels: geven ook collateralen af → maken rechtstreeks synaps met diepe cerebellaire kernen
collateralen: stimuleren diepe cerebellaire kernen
korte excitatorische lus = hoofdlus
inhibitorische corticale zijlus:
basiscircuit in cortex van kleine hersenen kan hoofdlus moduleren & beïnvloeden
gelijktijdige stimulatie van klimvezels & parallelle vezels (beide excitatorisch):
geeft transiënte vermindering van Purkinje-celresponsen → vermindering van output van Purkinje-cellen
DUS: inhibitie, uitgeoefend door Purkinje-cel op diepe cerebellaire nuclei, wordt geremd
= long-term depression (LTD)
→ belangrijke rol in motorische leerprocessen (impliciet geheugen)

functie van cerebellum:
vergelijken plan met uitvoering
bijsturen
motorisch leren
→ symptomen bij cerebellair letsel:
ataxie
= bewegingen ongecoördineerd
verminderde fijne motoriek
verminder evenwicht
verminderd motorisch leren
ruggenmerg/ medulla spinalis
centraal gelegen grijze stof
vlindervormig (of H-vormig) geschikt rond nauw centraal kanaal (canalis spinalis)
canalis spinalis: afgelijnd door ependymcellen
in grijze stof: perikarya van morfologisch & functioneel verschillende neuronen
ertussen: gliacellen & zenuwvezels die grijze stof verlaten
laminae te onderscheiden (10) = laminae van Rexed
errond: witte stof
in witte stof: gemyeliniseerde vezels & gliacellen
→ omgekeerde van grote & kleine hersenen!
(tussen anterieure & posterieure hoorn: laterale hoorn → van T1 tot L2 met neuronen van orthosympathicus)

HISTOLOGIE: ruggenmerg anterolateraal (HE)

hersenvliezen/ meningen
hersenen & ruggenmerg: omhuld door 3 concentrische bindweefselhulsels
= meningen/ hersenvliezen
van buiten naar binnen:
dura mater (pachymeninx)
arachnoidea
pia mater
→ arachnoidea & pia mater: vaak nauw met elkaar verbonden
= leptomeningen (arachnoida & pia mater samen)

dura mater
dik & stevig vlies
uit dens fibreus bindweefsel (dens collageneus bindweefsel)
craniale dura mater: onmiddellijk tegen periost van schedel
veneuze sinussen
= ontdubbelingen van dura mater, afgelijnd door endotheel
hierin: veneuze bloed van schedelholte verzameld
uitstulpingen van arachnoidea in sinussen
= arachnoïdale villi (villi arachnoidales)
vooral bij oudere mensen prominent & macroscopisch zichtbaar in sinus sagittalis superior
= granulationes arachnoidales (granulaties) van Pacchioni
in wervelkanaal: tussen dura mater in periost van wervels een ruimte
= epidurale ruimte
bevat talrijke venen (epidurale veneuze plexus) & verder gevuld met losmazig bindweefsel & vetweefsel
spinale & craniale dura mater: gescheiden van arachnoidea door smalle (virtuele) subdurale ruimte
tegen subdurale ruimte aan: dura mater wordt afgelijnd door dunne laag afgeplatte plaveiselvormige cellen
= meningotheelcellen

arachnoidea
= dun avasculair bindweefselvliesje
uit collageenvezels, elastische vezels, fibroblasten & meningotheelcellen
uitwendig oppervlak: glad
vanaf inwendig oppervlak vetrekken talrijke vertakkende bindweefseltrabekels (trabeculae arachnoidea)
hechten vast op pia mater
arachnoidea: avasculair → DUS: geen capillairtjes
MAAR: tussen bindweefseltrabekels verlopen grotere cerebrale arteries & venen
ruimte tussen arachnoidea & pia mater = subarachnoïdale ruimte
ruimte overbrugd door arachnoïdale bindweefseltrabekels
gevuld met cerebrospinaal vocht (CSV)
op aantal plaatsen thv hersenen: ruimte sterk verbreed
verbredingen: bevatten weinig of geen bindweefseltrabekels
= cisternen
meningotheelcellen:
bedekken binnenste & buitenste oppervlak van arachnoidea (dus ook van villi arachnoidales), bindweefseltrabekels in sub-arachnoïdale ruimte & buitenste oppervlak van pia mater
verbonden door zonulae occludentes (tight junctions) & maculae adherentes (desmosomen)
DUS: spelen rol in barrière tussen bloed & CSV (blood-brain barrier)
