A+P I Lec Exam 2 Ch 4-6

0.0(0)
studied byStudied by 0 people
0.0(0)
full-widthCall with Kai
GameKnowt Play
New
learnLearn
examPractice Test
spaced repetitionSpaced Repetition
heart puzzleMatch
flashcardsFlashcards
Card Sorting

1/199

encourage image

There's no tags or description

Looks like no tags are added yet.

Study Analytics
Name
Mastery
Learn
Test
Matching
Spaced

No study sessions yet.

200 Terms

1
New cards

histology

study of tissues

2
New cards

4 basic tissue types

epithelial tissue

connective tissue

muscle tissue

neural tissue

3
New cards

tight junction (cell junction)

weblike strands of transmembrane proteins that fuse together

tight enough to prevent water and solutes passage bw cells

4
New cards

adherens junction (cell junction)

proteins attach to membrane proteins + cytoskeleton microfilaments

form extensive zones → adhesion belts that circle the cell

epithelial resist separation during contractile activities

transmembrane glycoproteins = cadherins

5
New cards

desmosome (cell junction)

link bw CAMs and proteoglycans

connect to cytoskeleton

very strong!

6
New cards

hemidesmosome (cell junction)

transmembrane glycoproteins = integrins

cell to basement membrane connection

7
New cards

gap junction (cell junction)

membrane channel = connexons

ions and small molecules can pass from cell to cell

8
New cards

epithelial tissue

covers every exposed surface of body + internal linings

many cells tightly packed together

no extracellular matrix

9
New cards

cellularity (characteristics of epithelial tissue)

layers of cells bound tightly together

10
New cards

polarity (characteristics of epithelial tissue)

structural/functional differences within same cell

11
New cards

attachment (characteristics of epithelial tissue)

epithelia are attached to basement membrane

12
New cards

avascularity (characteristics of epithelial tissue)

lack of blood vessels but do have nerve supply

13
New cards

regeneration (characteristics of epithelial tissue)

continuously replaced by stem cell divisions

14
New cards

epithelial cells

selective barrier that limits/aids substances in/out of body

protective surface that resists env influences

15
New cards

germinative cells

epithelial stem cells

located near basement membrane

16
New cards

connective tissue

few scattered cells surrounded by large amts of extracellular matrix

-specialized cells

-extracellular protein fibers

-fluid (ground substance)

17
New cards

simple squamous epithelium

cells are thin and flat

location: lines heart, blood vessels, alveoli of lungs

function: reduces friction, controls vessel permeability

<p>cells are thin and flat</p><p>location: lines heart, blood vessels, alveoli of lungs</p><p>function: reduces friction, controls vessel permeability</p>
18
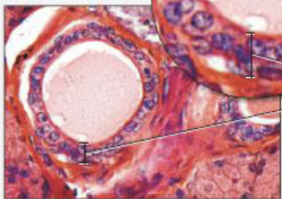
New cards

simple cuboidal epithelium

cells look like boxes

location: glands, ducts, thyroid gland

function: protection, secretion, absorption

<p>cells look like boxes</p><p>location: glands, ducts, thyroid gland</p><p>function: protection, secretion, absorption</p>
19
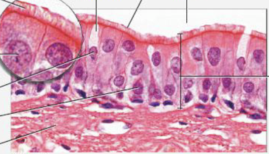
New cards

nonciliated simple columnar epithelium

tall slender cells

location: stomach lining, intestine, gallbladder

function: protection, secretion, absorption

<p>tall slender cells</p><p>location: stomach lining, intestine, gallbladder</p><p>function: protection, secretion, absorption</p>
20
New cards

ciliated simple columnar epithelium

tall slender cells

typically have microvilli

location: uterine tube

function: move mucus + foreign particles to throat → cough

<p>tall slender cells</p><p>typically have microvilli</p><p>location: uterine tube</p><p>function: move mucus + foreign particles to throat → cough</p>
21
New cards

nonciliated pseudostratified columnar epithelium

tall slender cells

nuclei at various levels, some cells don’t extend to apical surface

location: parotid gland duct lining

function: absorption and secretion

<p>tall slender cells</p><p>nuclei at various levels, some cells don’t extend to apical surface</p><p>location: parotid gland duct lining</p><p>function: absorption and secretion</p><img src="https://knowt-user-attachments.s3.amazonaws.com/8d526dd6-6022-45f8-b7f1-6adb1536194f.png" data-width="100%" data-align="center"><p></p>
22
New cards

ciliated pseudostratified columnar epithelium

nuclei at various levels, some cells don’t extend to apical surface

appears stratified but not really, every cell touches basement membrane

location: trachea, bronchi, nasal cavity lining

function: protection, secretion, move mucus with cilia

<p>nuclei at various levels, some cells don’t extend to apical surface</p><p>appears stratified but not really, every cell touches basement membrane</p><p>location: trachea, bronchi, nasal cavity lining</p><p>function: protection, secretion, move mucus with cilia</p><img src="https://knowt-user-attachments.s3.amazonaws.com/3d5f675a-582c-4755-84f7-8ccb8cfcd5d3.png" data-width="75%" data-align="center"><p></p>
23
New cards

stratified squamous epithelium

found where mechanical stresses are severe

keratinized - skin (tough, water resistant)

nonkeratinized - mouth, throat, rectum, anus, vagina

<p>found where mechanical stresses are severe</p><p>keratinized - skin (tough, water resistant)</p><p>nonkeratinized - mouth, throat, rectum, anus, vagina</p>
24
New cards

stratified cuboidal epithelium

has 2+ layers of cells

cells in apical layer are cube-shaped

location: esophagus, sweat glands, mammary glands

<p>has 2+ layers of cells</p><p>cells in apical layer are cube-shaped</p><p>location: esophagus, sweat glands, mammary glands</p>
25
New cards

stratified columnar epithelium

basal layers are shortened, irregularly shaped cells, only apical layer has columnar cells

<p>basal layers are shortened, irregularly shaped cells, only apical layer has columnar cells</p>
26
New cards

transitional epithelium

appears cuboidal when relaxed

appears squamous when stretched

location: bladder, pelvis, ureters

function: expansion and recoil after stretching

27
New cards

glandular epithelium

single cell or mass of epithelial cells adapted for secretion

endocrine + exocrine

28
New cards

matrix

combo of extracellular fibers + ground substances

largest volume of connective tissue

in the spaces bw connective tissue cells

never exposed to outside env

15% water, 30% collagen fibers, 55% mineral salts

29
New cards

functions of connective tissue

structural framework for body

transports fluids + dissolved materials

protects delicate organs

supports + interconnects other tissue types

stores energy reserves

defends body

30
New cards

embryonic (connective tissue)

mesenchyme

mucus

31
New cards

mature (connective tissue)

loose

dense

cartilage

bone

blood

32
New cards

collage fibers (connective tissue)

long, straight, unbranched

most common

flexible, yet strong

33
New cards

reticular fibers

branching, interwoven

made of collagen but arranged differently

forms network called stroma

stabilizes functional cells of organs

34
New cards

elastic fibers

branched, wavy

composed of elastin

can stretch and return to og length

35
New cards

loose (connective tissue)

packing material of body

fills spaces

cushions/stabilizes organs

supports epithelia

areolar tissue

adipose tissue

reticular tissue

36
New cards

dense (connective tissue)

majority of volume is made of collagen fibers

elastic tissue

irregular tissue

regular tissue

37
New cards

areolar tissue (loose connective tissue)

widely distributed

least specialized

has extensive blood supply

has all cell types and fiber types

38
New cards

adipose tissue (loose connective tissue)

adipocytes filled w triglyceride droplet cytoplasm

nucleus pushed to periphery of cell

white fat and brown fat

39
New cards

reticular tissue (loose connective tissue)

fine interlacing network of fibers → stroma to support parenchyma

location: liver, kidney, spleen

function: supporting framework

40
New cards

regular tissue (dense connective tissue)

shiny white extracellular matrix

mainly collagen fibers bundled with fibroblast

collagen fibers run parallel to each other

41
New cards

elastic tissue (dense connective tissue)

stretches organs, strong and can recoil to og shape after stretching

42
New cards

irregular tissue (dense connective tissue)

fibers form meshwork w no consistent pattern

can stand many stresses

perichondrium

periosteum

43
New cards

cartilage (connective tissue)

firm gel that has chondroitin sulfates complex w protein

44
New cards

chondrocyte

found in lacunae

found in chondroitin which makes cartilage

45
New cards

hyaline cartilage

appears in body as blue-white

most abundant

smooth surface for movement at joints, flexibility, and support

weakest type + can be fractured

46
New cards

elastic cartilage

chondrocytes in network of elastic fibers within extracellular matrix

perichondreum present

maintains shape, provides strength, elasticity

resilient + flexible

47
New cards

fibrocartilage

no perichondreum, very little ground substance, matrix is densely interwoven cartilage fibers

very durable and tough

48
New cards

bone

very little ground substance, has mix of calcium salts, reinforced w collagen fibers

steel = collagen fibers

concrete = mineralized matrix

has osteons that contain lamella, lacunae, osteocytes, canaliculi, and central canals

made of osseous tissue

levels of structure: gross, microscopic, chemical

49
New cards

osteocyte (bone cell)

mature bone cells found within lacunae

50
New cards

canaliculi

connect osteocytes together

hairlike canals that connect osteocytes + lacuna to each other and to central canal

51
New cards

blood (fluid connective tissue)

plasma =watery matrix

cells = formed elements

RBC (erythrocytes), WBC (leukocytes), Platelets (thrombocytes)

52
New cards

arteries

carry blood away from heart

53
New cards

veins

carry blood to heart

54
New cards

capillaries

smallest vessels; site of exchange

55
New cards

lymph

forms when interstitial fluid enters lymphatic vessels

fluid returns to bloodstream

monitered by immune system

56
New cards

membranes

flat sheets of pliable tissue that cover body part

epithelial

-mucus

serous

-cutaneous

synovial

57
New cards

muscular tissue

has fibers that provide motion, maintain posture, produce heat

-skeletal

-cardiac

-smooth

58
New cards

skeletal (muscle tissue)

large cells w many nuclei

can’t divide

stem cells allow for partial repair

actin and myosin organized in striations

aka striated voluntary muscle

59
New cards

cardiac (muscle tissue)

cardiocytes - smaller than skeletal muscle

only one nucleus

intercalated discs - connections bw cells (ex. desmosomes, gap junctions)

very limited ability for repair

aka striated involuntary muscle

60
New cards

smooth (muscle tissue)

small, spindle-shaped cells w 1 nucleus

able to divide; regenerate after injury

actin and myosin arranged differently (no striations)

aka nonstriated involuntary muscle

61
New cards

neural tissue

neuron - longest cells in the body

can’t divide, poor ability for repair

3 regions: dendrites, cell body, axon

neuroglia - supporting cells

62
New cards

tissue repaid

replaces worn out, damaged, dead cells

epithelial tissue replaced by stem/undifferentiated cells

not all connective tissues can repair

muscle cells have limited repair

nervous cells repair is 50/50

63
New cards

fibrosis

formation of scar tissue

64
New cards

integumentary system

cutaneous membrane = skin

hair

glands (sudoriferous + sebaceous)

nails

sensory receptors

65
New cards

epidermis

superficial layer, has epithelial tissue

avascular, keratinized stratified squamous epithelium

many layers of cells

66
New cards

dermis

under epidermis

mostly dense irregular connective tissue

has nerves, blood/lymphatic vessels, hair follicles, oil and sweat glands

67
New cards

hypodermis

subq/subcutaneous fat makes up 80% of body fat

deep to skin

not part of skin, shares some functions

made of adipose tissue, some areolar tissue

anchors skin to underlying tissue

68
New cards

keratinocyte

specialized for producing keratin

69
New cards

melanocyte

produces melanin pigment

protects nucleus from UV damage

70
New cards

langerhans/dendritic cell

aka intraepidermal macrophage

immune cells

defense against microorganisms that penetrate upper layers

71
New cards

merkel cell

tactile epithelial cells

sensory receptors that sense touch

72
New cards

stratum corneum (layers of epidermis)

multiple layers of flattened, dead, interlocking keratinocytes

water resistant

permits slow water loss by insensible perspiration

73
New cards

stratum lucidum (layers of epidermis)

appears as glassy layer in thick skin only

74
New cards

stratum grandulosum (layers of epidermis)

keratinocytes make keratin

keratin fibers get thinner and flatter

cell membranes thicken and cells die

75
New cards

stratum spinosum (layers of epidermis)

keratinocytes bound by desmosomes

76
New cards

stratum basale (layers of epidermis)

deepest layer

attached to basement membrane

has stem/basal cells, melanocytes, + merkel cells

77
New cards

keratinization

newly formed cells slowly pushed up

accumulate more and more keratin

undergo apoptosis and then replaced

78
New cards

thin hairy skin

covers most body parts

79
New cards

thick hairless skin

covers palms, digits, and soles

80
New cards

papillary (layers of dermis)

areolar tissue thin collagen fibers

dermal ridges house capillaries, free nerve endings

81
New cards

reticular (layers of dermis)

irregular connective tissue

lots of collagen fibers → strength, resiliency

bind water, keep skin hydrated

elastic fibers → stretch-recoil fibers

extends into papillary layer + hypodermis to bind everything together

82
New cards

ceavage lines

tension

caused by many collagen fibers running parallel to skin - externally invisible

83
New cards

stretch marks

when dermis is extremely extorted

rapid weight gain or pregnancy

84
New cards

epidermal ridges + dermal papillae

more surface area for attachment to basement membrane → ridges in the skin (ex. fingerprints)

ridges on fingers + toes increase friction → secure grip + sense of touch

85
New cards

melanin

pigment formed by melanocytes in epidermis

pheomelanin - yellow → red

eumelanin - brown → black

skin color differs due to amt of melanin

darker ppl have more melanin

protects (epi)dermis from UV radiation

86
New cards

albinism

genetic condition causing absence of melanin production in skin, hair, eyes

87
New cards

hemoglobin

red pigment in RBC

88
New cards

carotene

orange pigment in epidermal cells

most apparent in light-skinned ppl

can be converted to Vit A

helps maintain epidermis + eye photoreceptors

89
New cards

UV radiation

can cause DNA mutation → skin cancer

destroys folate (folic acid)

necessary for Vit D production

90
New cards

cyanosis

bluish coloration of skin

lack of oxygen or extreme cold

easiest to see on thin skin (lips, under nails)

91
New cards

jaundice

too much bilirubin in skin (liver disorders)

yellowish coloration of skin

92
New cards

pallor

paleness of the skin

can be caused by shock, anemia, low blood pressure

93
New cards

erythema

redness of the skin

due to skin injury, inflammation, heat exposure, infection

94
New cards

sebaceous gland

oil gland

widely distributed

connected to hair follicles

secretes sebum, inhibits bacterial growth, softens hair + skin

inactive during childhood, activated by hormones during puberty (ex. androgens)

95
New cards

sudoriferous gland

sweat gland

all skin except nipples + external genitalia

eccrine + apocrine

96
New cards

myoepithelial cell

contract upon nervous system stimulation to force sweat into ducts

97
New cards

eccrine (sudoriferous gland)

most numerous

ducts connect to pores on skin surface

98
New cards

apocrine (sudoriferous gland)

mainly in hairy skin areas

ducts empty into hair follicles

99
New cards

ceruminous gland

modified apocrine gland in ear canal

100
New cards

mammary gland

secrete milk