1/19
Looks like no tags are added yet.
Name | Mastery | Learn | Test | Matching | Spaced |
|---|
No study sessions yet.
simple squamous
location- excretory, respiratory, cardiovascular
function- filtration, secretion, diffusion

simple cuboidal
location- excretory, reproductive
function- secretion, absorption

simple columnar
location- digestive
function- absorption, secretion

ciliated simple columnar
location- respiratory, reproductive
function- propels

pseudostratified columnar
location- reproductive
function- secretion

pseudostratified ciliated columnar
location- respiratory
function- propels

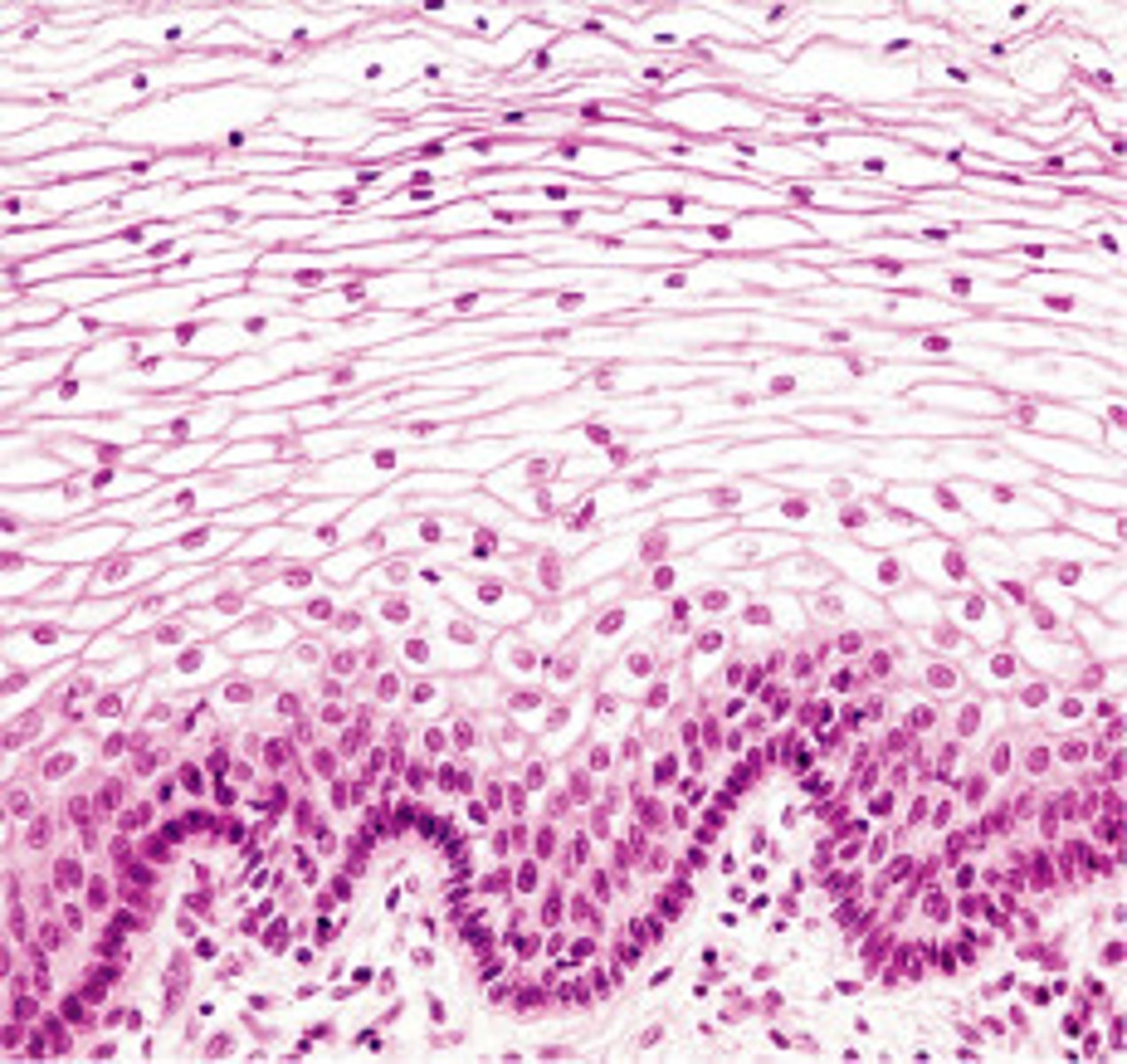
stratified squamous
location- digestive, reproductive, integumentary
function- protect

transitional
location- excretory
function- stretches

adipose
location- integumentary
function- insulates, supports, protects, reserve fuel

dense regular
location- skeletal, muscular
function- attaches, provides strength

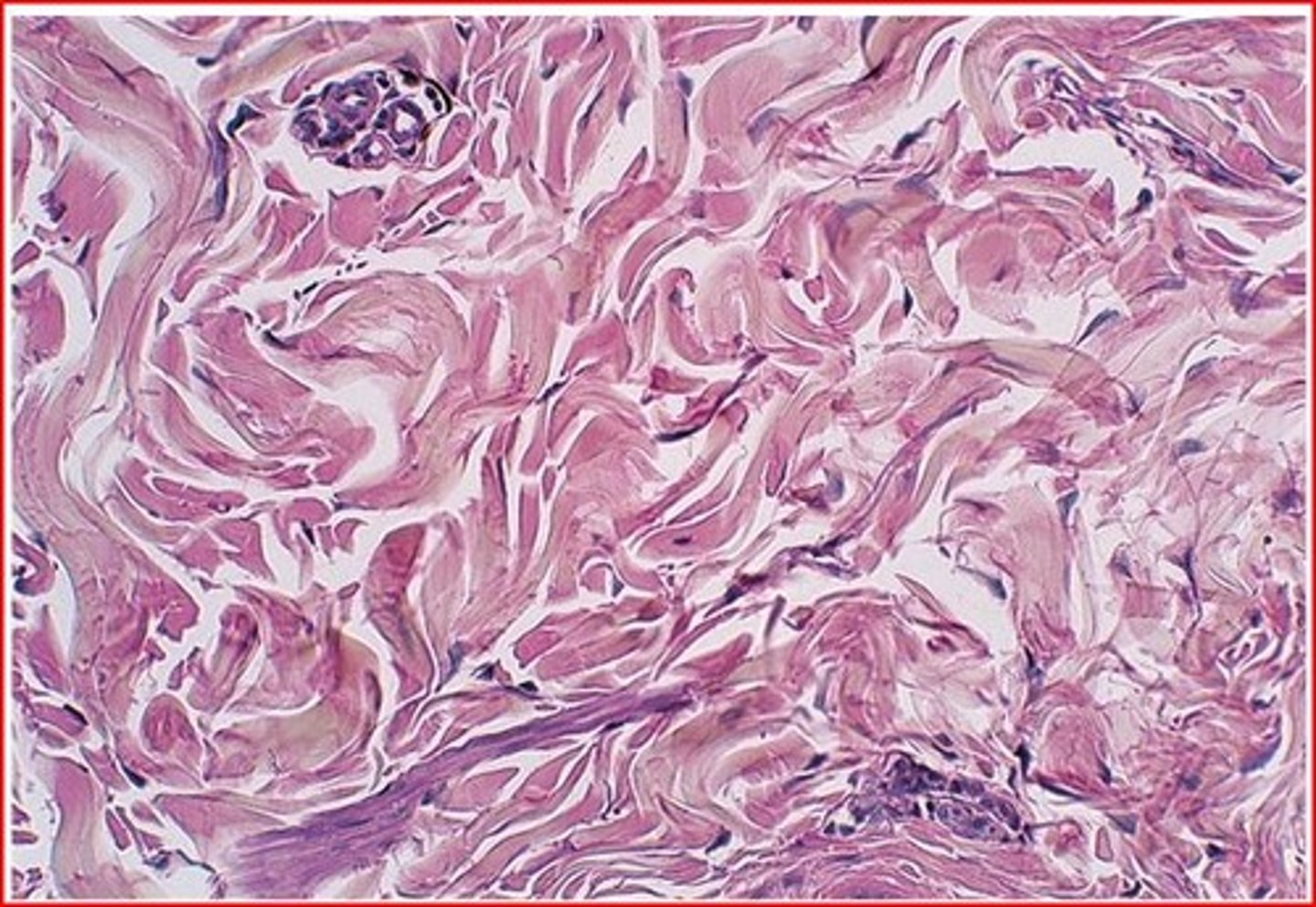
dense irregular
location- integumentary, digestive, skeletal
function- tension, provides strength

hyaline
location- skeletal, integumentary, respiratory
function- support, reinforce, cushion

elastic
location- integumentary, digestive
function- flexibility, provides shape

fibrocartilage
location- skeletal
function- strength, allows compression

osseous
location- skeletal
function- supports, protects, stores

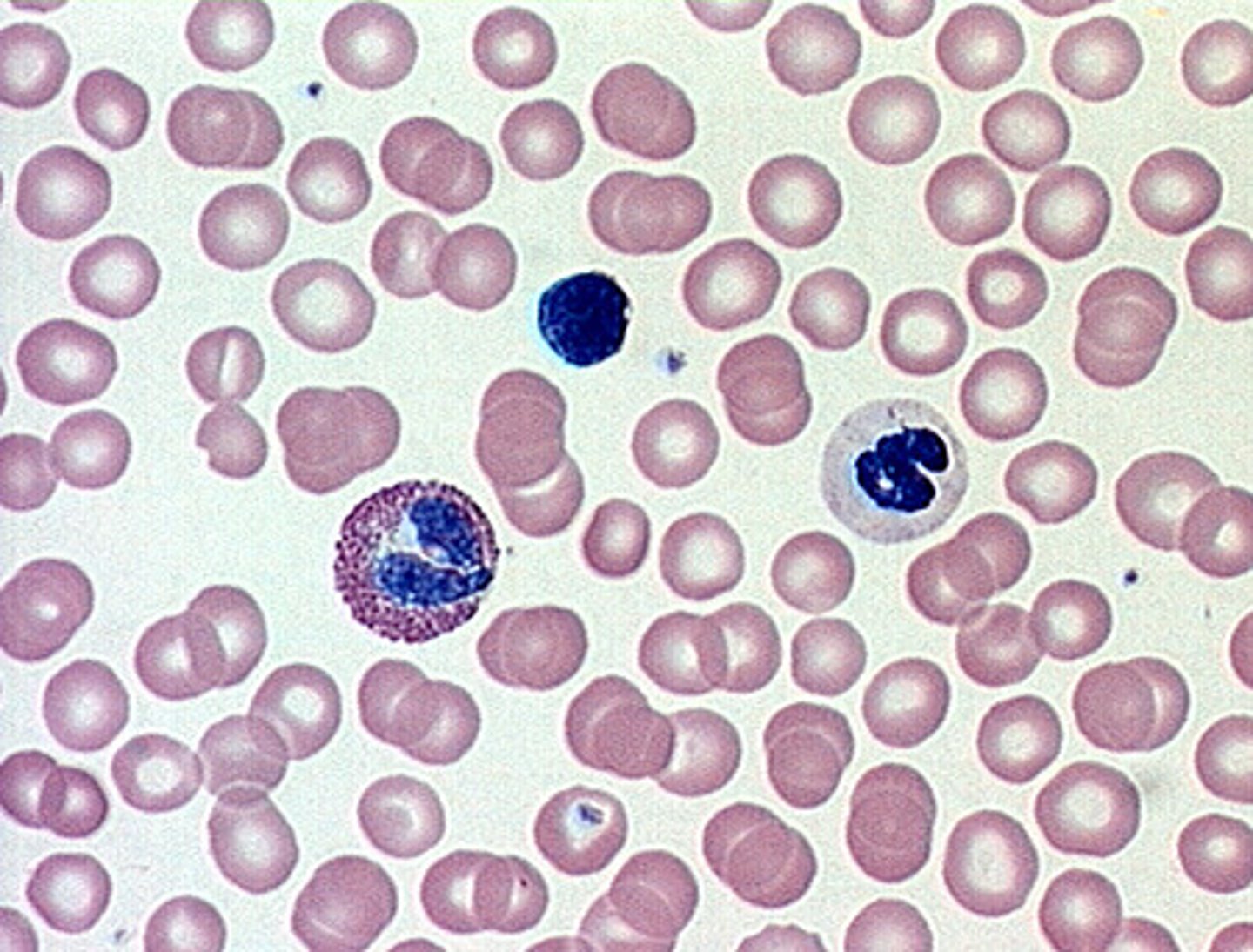
blood
location- cardiovascular
function- transport

nerve
location- nervous
function- transmits
skeletal muscle
location- muscular
function- movement

smooth muscle
location- digestive
function- propels

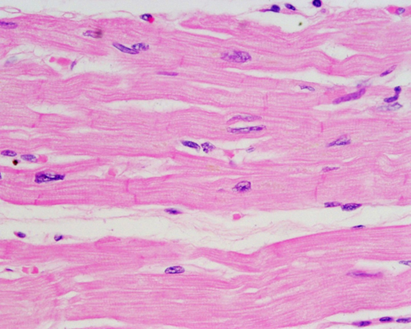
cardiac muscle
location- cardiovascular
function- contracts, propels
