1/87
Looks like no tags are added yet.
Name | Mastery | Learn | Test | Matching | Spaced | Call with Kai |
|---|
No study sessions yet.
The basal lamina of a muscle fiber is part of which structure?
a. Perimysium
b. Epimysium
c. Fascia
d. Endomysium
e. Sarcoplasmic reticulum
D. Endomysium
With the transmission electron microscope skeletal muscle fibers can be seen to contain structures called triads. What do the two lateral components of a triad represent?
a. Attachment sites for thick myofilaments
b. Sites for calcium sequestration and release
c. Sites for impulse conduction into the fiber
d. Sites for ATP production
e. Sites for synthesis of proteins to be secreted outside the cell
The answer is B. The triad consists of the T-tubule surrounded by two terminal cisternae of the sarcoplasmic reticulum. The sarcoplasmic reticulum is a special structure in muscle cells that holds and releases calcium.
Which characteristic is unique to cardiac muscle?
a. Contain centrally located nuclei
b. Striated
c. Often branched
d. Multinucleated
e. Lack T-tubules
The answer is C. Cardiac muscle is often branched.
In smooth muscle calcium released by the smooth ER initiates contraction by binding to what protein?
a. Actin
b. Calmodulin
c. Desmin
d. Myosin light chain kinase
e. Tropomyosin
The answer is B. In smooth muscle calcium released by the smooth ER initiates contraction by binding to calmodulin. Calmodulin then binds and activates myosin light-chain kinase, which phosphorylates the light chains of myosin and activates myosin.
Which feature typifies T-tubules?
a. Evaginations of the sarcoplasmic reticulum
b. Sequester calcium during muscle relaxation, releasing it during contraction
c. Carry depolarization to the muscle fiber interior
d. Overlie the A-I junction in cardiac muscle cells
e. Rich supply of acetylcholine receptors
The answer is C. T-tubules carry depolarization to the muscle fiber interior.
Which characteristic is unique to smooth muscle?
a. T-tubules lie across Z lines
b. Each thick filament is surrounded by six thin filaments
c. Thin filaments attach to dense bodies
d. Cells are multinucleated
e. Cells have centrally located nuclei
The answer is C. In smooth muscle, thin actin filaments attatch to dense bodies.
In one type of muscle, numerous gap junctions, desmosomes, and adherens junctions are specifically localized in which structures?
a. Myofilaments
b. Dense bodies
c. Sarcomeres
d. Neuromuscular spindles
e. Intercalated discs
The answer is E. In cardiac muscle, numerous gap junctions, desmosomes, and adherens junctions are specifically localized in intercalaated discs.
A 66-year-old man who lives alone has a severe myocardial infarction and dies during the night. The medical examiner's office is called the following morning and describes the man's body as being in rigor mortis. This state of rigor mortis is due to which one of the following?
a. Inhibition of Ca2+ leakage from the extracellular fluid and sarcoplasmic reticulum
b. Enhanced retrieval of Ca2+ by the sarcoplasmic reticulum
c. Failure to disengage tropomyosin and troponin from the myosin active sites
d. Absence of ATP preventing detachment of the myosin heads from actin
e. Increased lactic acid production
The answer is D. Rigor mortis is fixed muscular contraction after death caused by an absence of ATP (loss of mitochondrial activity after death), which creates actin-myosin cross bridges that become stable.
A 5-year-old boy sustains a small tear in his gastrocnemius muscle when he is involved in a bicycle accident. Regeneration of the muscle will occur through which of the following mechanisms?
a. Dedifferentiation of muscle cells into myoblasts
b. Differentiation of muscle satellite cells
c. Fusion of damaged myofibers to form new myotubes
d. Hyperplasia of existing muscle fibers
e. Differentiation of fibroblasts to form myoblasts
The answer is B. Skeletal muscle regenerates through the differentiation of muscle satellite cells.
A healthy 32-year-old man lifts weights regularly as part of his workout. In one of his biceps muscle fibers at rest, the length of the I band is 1.0 μm and the A band is 1.5 μm. Contraction of that muscle fiber results in a 10% shortening of the length of the sarcomere. What is the length of the A band after the shortening produced by muscle contraction?
a. 1.50 μm
b. 1.35 μm
c. 1.00 μm
d. 1.90 μm
e. 0.45 μm
The answer is A. The A band remains constant during muscle contraction.
What is the function of the sarcoplasmic reticulum in skeletal muscle?
A. Ca²⁺ release from the transverse tubules during muscle relaxation
B. Cellular storage of Ca²⁺
C. Cellular storage of glycogen
D. Degradation of cellular glycogen
E. Transport of Ca²⁺ into the terminal cisternae during muscle contraction
The answer is B. Ca²⁺ is responsible for the coupling of excitation and contraction in skeletal muscle. The sarcoplasmic reticulum is a modified endoplasmic reticulum. Ca²⁺ is concentrated in the lumen of the sarcoplasmic reticulum (B). Glycogen is stored as droplets in the cytoplasm (C). The transverse tubule system, or T system, is an extension of the cell membrane of the myofiber (sarcolemma). The T system allows for simultaneous contraction of all myofibrils because it encircles the A-I bands in each sarcomere of every myofibril (A). It is important to note that cardiac muscle also has a T system, although it is not as elaborate and well organized as that found in skeletal muscle (e.g., dyads are present rather than the triads of skeletal muscle, and there are fewer T tubules in the atrial versus ventricular muscle).
A 66-year-old man who lives alone has a severe myocardial infarction and dies during the night. The medical examiner's office is called the following morning and describes the man's body as being in rigor mortis. The state of rigor mortis is due to which of the following?
A. Absence of adenosine triphosphate (ATP) preventing detachment of the myosin heads from actin
B. Enhanced retrieval of Ca²⁺ by the sarcoplasmic reticulum
C. Failure to disengage tropomyosin and troponin from the myosin active sites
D. Increased lactic acid production
E. Inhibition of Ca²⁺ leakage from the extracellular fluid and sarcoplasmic reticulum
The answer is A. There is a small amount of production of adenosine triphosphate (ATP) after death through anaerobic and phosphagen pathways. However, there is insufficient ATP to induce the detachment of the myosin heads from actin. Ca²⁺ continues to leak from the extracellular fluid and the sarcoplasmic reticulum (E); however, the sarcoplasmic reticulum is no longer able to retrieve the Ca²⁺ (B). Tropomyosin and troponin are disengaged from the myosin active sites (C). Lactic acid is produced during rigor mortis through anaerobic pathways. The high levels of lactic acid cause deterioration of the skeletal muscle and end the state of rigor mortis (D).
Duchenne muscular dystrophy is a progressive X-linked recessive disease caused by mutation in the gene that codes for the protein dystrophin. This disease results in damage to mature muscle and is often fatal. What is the normal function of dystrophin in healthy muscle?
A. Holds thick and thin filaments in the proper alignment to allow efficient sliding
B. Links actin filaments in myofibrils to membrane proteins in the sarcolemma
C. Links sarcomeres together in myofibrils
D. Promotes regeneration of damaged myofibers
E. Sequesters Ca²⁺ when contraction is complete
The answer is B. Dystrophin is part of a multisubunit complex that links actin filaments in myofibrils to integral membrane proteins in the sarcolemma, which are also bound to the endomysium. This ensures that when the sarcomere shortens, the myofiber shortens, and that the force of shortening is transmitted to the muscle's connective tissue wrappings.
Neurotransmitter released from motor nerve terminals sets off a sequence of events that ultimately results in contraction of skeletal muscle. Arrange in the correct order the events that occur when neurotransmitter is released.
1 = depolarization of the sarcolemma
2 = binding of Ca2+ to troponin
3 = depolarization of T tubules
4 = shift in the position of tropomyosin to expose myosin-binding sites on actin
5 = release of Ca2+ from the sarcoplasmic reticulum
6 = repeated binding and release of myosin to actin
A. 1-2-3-4-5-6
B. 1-3-5-4-2-6
C. 1-5-3-2-4-6
D. 1-3-5-2-4-6
E. 1-2-4-3-5-6
The answer is D. When cytoplasmic Ca²⁺ levels are low, tropomyosin blocks the myosin-binding site on actin. Following an action potential, membrane depolarization at the neuromuscular junction rapidly spreads down the T tubules, triggering release of Ca²⁺ from the sarcoplasmic reticulum. Ca²⁺ binds to troponin, releasing the troponin complex from actin, which allows tropomyosin to shift its position on actin and expose the myosin-binding site. This allows myosin heads to bind to actin, activating the myosin adenosine triphosphatase (ATPase). The repeated binding and release of myosin to actin is responsible for filament sliding and muscle contraction.
Gap junctions allow the signal to contract and spread in a wave from one cardiac muscle cell to another, synchronizing contraction. Gap junctions are located in which of the following subcellular structures?
A. Caveolae
B. Dense bodies
C. Dyads
D. Intercalated discs
E. Sarcoplasmic reticulum
F. Transverse tubules
G. Triads
The answer is D. Intercalated discs are complex cellular junctions that provide both mechanical and electrical connections between adjacent cardiac muscle cells. The transverse portions of intercalated discs bond the two cells together and function as hemi Z lines to link the contractile apparatus of the two cells. The longitudinal portions of intercalated discs contain gap junctions, which transmit depolarization to a neighboring cell, synchronizing contraction.
Which cellular structure is thought to regulate Ca²⁺ in smooth muscle cells?
A. Caveolae
B. Dense bodies
C. Intercalated discs
D. Sarcoplasmic reticulum
E. T tubules
The answer is A. Smooth muscle cells lack T tubules. Instead, membrane specializations called caveolae are thought to be involved in Ca²⁺ in these cells. Caveolae are invaginations of the plasma membrane that contain Ca²⁺ pumps, Ca²⁺ channels, and hormone receptors. It is thought that caveolae may be responsible for the direct entry of Ca²⁺ from outside the cells via ion channels and its removal by pumping. They may also signal release and reuptake of Ca²⁺ from the smooth endoplasmic reticulum.
Which of the following is true for mammalian skeletal muscle?
(A) T tubules are located at the Z disk.
(B) T tubules are absent.
(C) Troponin is absent.
(D) It possesses triads.
(E) It possesses caveolae.
The answer is D. The T tubules of skeletal muscle cells are positioned so that they form triads with the terminal cisternae of the SR at the interface of the A and I bands.
Which of the following is true for cardiac muscle?
(A) T tubules are located at the Z disk.
(B) T tubules have a smaller diameter than those of skeletal muscle.
(C) Troponin is absent.
(D) It possesses triads.
(E) Oxytocin triggers contraction.
The answer is A. The T tubules of cardiac muscle cells are wider than those of skeletal muscle cells and are lined by external lamina (a basal lamina-like material). In contrast to skeletal muscle, the T tubules are located at the Z disk, where they often form dyads, not triads.
Which of the following is true for smooth muscle?
(A) T tubules are located at the Z disk.
(B) It possesses dyads.
(C) Caveolae store and release calcium ions.
(D) It possesses triads.
(E) T tubules are located at the A-I interface.
The answer is C. Smooth muscle cells do not have T tubules. Contraction may be initiated by stretching, neural impulses, the intercellular passage of small molecules via gap junctions, or the action of hormones such as oxytocin. Contraction is not dependent on troponin, which is absent from the thin filament of smooth muscle. Instead, Ca²⁺ controlled by sarcolemmal vesicles known as caveolae is released into the cytosol, where it binds with calmodulin. The calcium-calmodulin complex activates myosin light-chain kinase, which participates in the contraction process.
Contraction in all types of muscle requires calcium ions. Which of the
following muscle components can bind or sequester calcium ions?
(A) Rough endoplasmic reticulum
(B) Tropomyosin
(C) Troponin
(D) Active sites on actin
(E) Titin
The answer is C. Binding of Ca²⁺ to the TnC subunit of troponin leads to the uncovering of myosinbinding sites on actin (thin filaments).
Each smooth muscle cell
(A) has triads associated with its contraction.
(B) has dyads associated with its contraction.
(C) possesses a single central nucleus.
(D) is characterized by the absence of sarcolemmal vesicles.
(E) contains troponin.
The answer is C. Smooth muscle cells contain one centrally located nucleus.
Thick filaments are anchored to Z disks by
(A) C protein.
(B) nebulin.
(C) titin.
(D) myomesin.
(E) α-actinin.
The answer is C. Titin forms an elastic lattice that anchors thick filaments to Z disks.
The endomysium is a connective tissue investment that surrounds
(A) individual muscle fibers.
(B) muscle fascicles.
(C) individual myofibrils.
(D) an entire muscle.
(E) small bundles of muscle cells.
The answer is A. The endomysium is a thin connective tissue layer composed of reticular fibers and an external lamina that invests individual muscle fibers (cells). The epimysium surrounds the entire muscle, and the perimysium surrounds bundles (fascicles) of muscle fibers.
Which of the following statements concerning triads in mammalian skeletal muscle is true?
(A) They are located in the Z disk.
(B) They consist of two terminal cisternae of the SR separated by a T tubule.
(C) They can be observed with the light microscope.
(D) They are characterized by a T tubule that sequesters calcium ions.
(E) They consist of two T tubules separated by a central terminal cisterna.
The answer is B. A triad in skeletal muscle is composed of three components, a T tubule and two terminal cisternae of the SR that flank it. The SR, not the T tubules, sequesters Ca²⁺.
Which one of the following statements concerning cardiac muscle cells is true?
(A) They are spindle shaped.
(B) They require an external stimulus to undergo contraction.
(C) They are multinuclear cells.
(D) They are joined together end to end by intercalated disks.
(E) They possess numerous caveolae.
The answer is D. Cardiac muscle cells are joined together end to end by a unique junctional specialization called the intercalated disk.
A 19-year-old male patient and his mother arrive in the emergency department, both with nausea, vomiting, and visual disorders. The physician taking their history notes that they both had canned green beans that tasted funny. Which of the following possibilities should the physician consider?
(A) Duchenne muscular dystrophy
(B) Amyotrophic lateral sclerosis
(C) Botulism
(D) Myasthenia gravis
(E) Myocardial infarct
The answer is C. Botulism is the only possible consideration, especially since they both had canned food. Duchenne muscular dystrophy is most common in young men but very rare in older women. It would be highly unlikely that both mother and son would show symptoms of amyotrophic lateral sclerosis or myasthenia gravis or have myocardial infarct at the same time.

A portion of the sartorius muscle, obtained at autopsy, is prepared using routine H&E staining and examined by light microscopy (shown in the image). Identify the structures indicated by the arrows.
(A) Muscle fascicles
(B) Muscle fibers
(C) Myofibrils
(D) Myofilaments
(E) Sarcomeres
The answer is B. Unlike connective tissue fibers (e.g., collagenous fibers, elastic fibers, reticular fibers), a muscle fiber is actually a muscle cell. These elongated cells (myocytes) are organized into parallel arrays to form muscle tissue. In skeletal muscle, a muscle fiber is a multinucleated syncytium formed by the fusion of several embryonic myoblasts. In longitudinal sections, skeletal muscle cells appear as long cylindrical fibers with multiple, long oval nuclei located at the periphery of the cells. Myofibrils (choice C) are longitudinal arrays of contractile filaments in the cytoplasm of muscle cells. Myofibrils are composed of thick (myosin) and thin (actin) myofilaments (choice D). A sarcomere (choice E) is the segment of a myofibril that forms the basic functional unit of skeletal muscle. Muscle fascicles (choice A) are bundles of muscle fibers bound together by a connective tissue sheath.

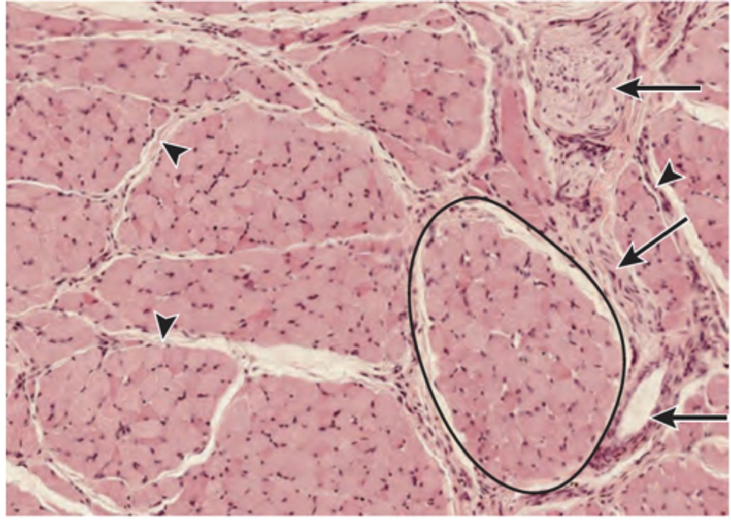
A section of the lip that shows transverse sections of skeletal muscle is examined by a group of first-year medical students (shown in the image). Identify the structure indicated by the oval line.
(A) Muscle fascicle
(B) Muscle fiber
(C) Myofibril
(D) Myofilament
(E) Sarcomere
The answer is A. Skeletal muscles are invested with distinct layers of connective tissue: (1) endomysium surrounds individual muscle fibers (2) perimysium surrounds bundles of muscle fibers; and (3) epimysium surrounds the external surface of muscles. Groups of muscle fibers surrounded by perimysium are referred to as muscle fascicles or muscle bundles. As shown in the image, large blood vessels and nerves (indicated by arrows) travel within the perimysium (indicated by arrowheads) to supply the muscle fascicles. Muscle fibers (choice B) exhibit a polygonal shape in cross section and feature multiple peripheral nuclei. None of the other structures exhibit the distinctive histologic features of muscle fascicles.

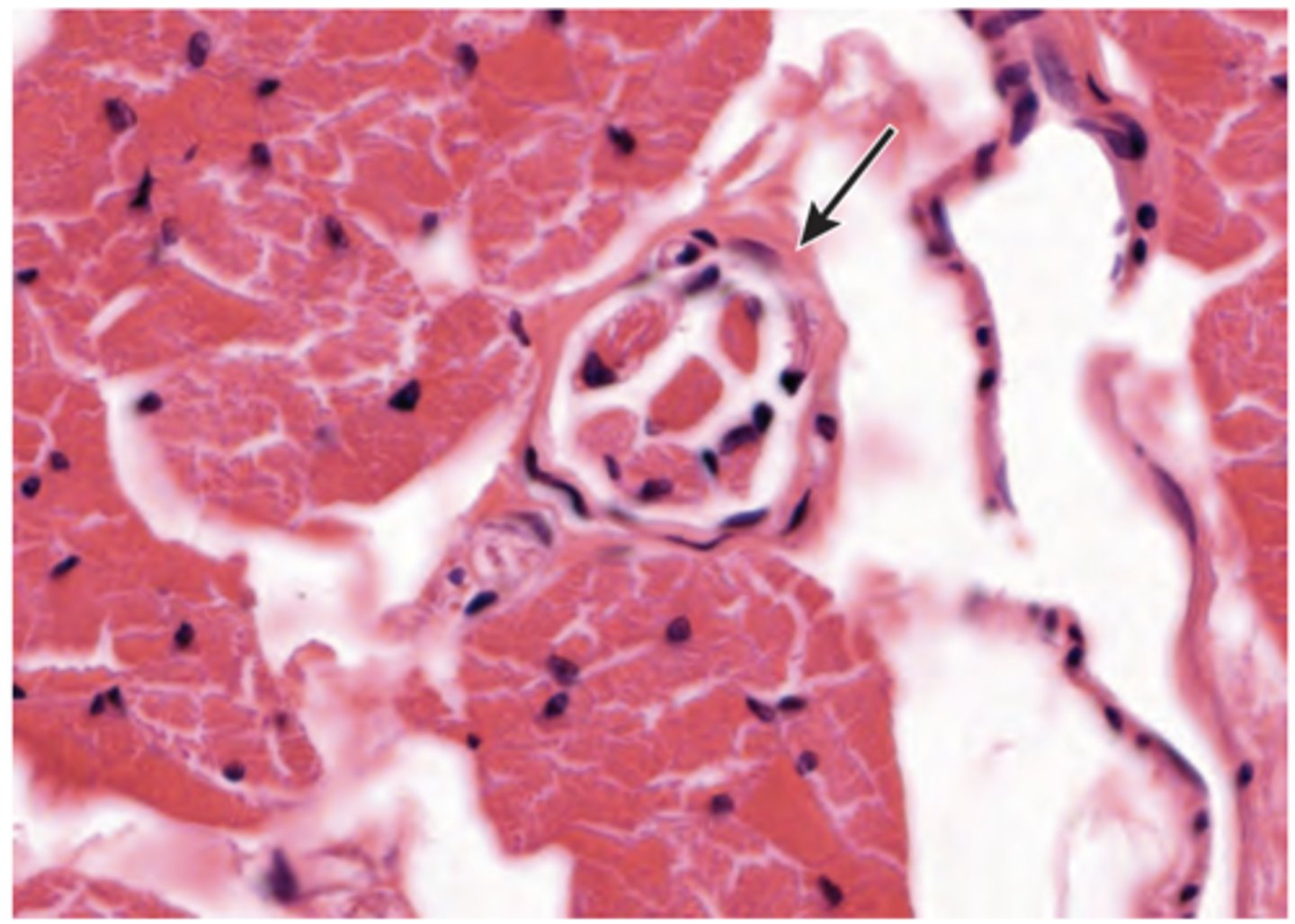
Examination of a thin section of striated muscle at high magnification reveals longitudinal muscle fibers and cross sections of muscle fibers (shown in the image). Identify the structure that forms the space indicated by the arrowheads.
(A) Endomysium
(B) Epimysium
(C) Myofibril
(D) Perimysium
(E) Sarcoplasmic reticulum
The answer is A. A delicate connective tissue (indicated by the arrowheads) composed of a basal lamina and reticular fibers surrounds individual muscle fibers (indicated by the arrows). This connective tissue layer is endomysium. Numerous capillaries travel through the endomysium to supply muscle fibers with oxygen and nutrients. Epimysium (choice B) is the dense connective tissue sheath that envelops an entire muscle. It provides the investing fascia that is described in gross anatomy. It is continuous with the tendon or aponeurosis that anchors a muscle to its attachment site. Thin connective tissue septa arising from the epimysium extend into
the muscle and surround muscle fascicles. These connective septa form the perimysium (choice D). Sarcoplasmic reticulum (choice E) is a highly organized, tubular network of smooth endoplasmic reticulum that separates bundles of myofilaments into myofibrils (choice C).

For the muscle fibers shown in the image, which of the following terms describes the pink-stained dots visible in cross sections, and the longitudinal lines visible in longitudinal sections?
(A) A bands
(B) Myofibrils
(C) Myofilaments
(D) Myosins
(E) Thin filaments
The answer is B. When examined in cross section at high magnification, skeletal muscle fibers appear stippled because of the presence of numerous myofibrils in the cytoplasm. In longitudinal sections, myofibrils demonstrate cross-striations with alternating regions of light-stained I bands and dark-stained A bands. The precise lateral alignment of light- and dark-stained bands gives skeletal muscle its distinctive striated appearance; hence the term "striated muscle." Myofibrils are bundles of the actin and myosin myofilaments (choice C) that produce muscle fiber contraction. Two types of myofilaments are found in skeletal muscle cells: thick filaments contain myosin (choice D), whereas thin filaments (choice E) contain primarily actin.

A thin plastic section of skeletal muscle is examined at high magnification in the histology laboratory. Identify the lines that bisect the light-stained I bands (arrows, shown in the image).
(A) A bands
(B) H zones
(C) I bands
(D) M lines
(E) Z lines
The answer is E. As described above, alternating A and I bands form cross-striations that are a characteristic feature of skeletal muscle fibers. When examined by polarized light microscopy, the dark A bands (anisotropic bands) exhibit birefringence, whereas the light I bands (isotropic bands) exhibit monorefringence. When examined at high magnification, dense Z lines (Z disks) are observed to bisect the light-stained I bands. The Z lines appear as zigzag lines in longitudinal sections. The major protein found in Z lines is the actin-binding protein, α-actinin. α-Actinin anchors thin filaments to Z lines. A less dense region, termed the H zone (H band), is observed to bisect the dark-stained A bands. A narrow dense line, the M line, is located at the center point of the H zone. H zones and M lines are not visible by light microscopy, but they are revealed when skeletal muscle fibers are examined by electron micro
During a small group seminar, you are asked to discuss the physiology of muscle contraction. The sarcomere is the basic contractile unit of skeletal muscle. It lies between which of the following paired structures in myofibrils?
(A) Adjacent A bands
(B) Adjacent I bands
(C) Adjacent M lines
(D) Adjacent Z lines
(E) Z line and M line
The answer is D. Sarcomeres are the repetitive functional units of striated muscle fibers. They are defined as the segments of myofibrils that lie between adjacent Z lines. Sarcomeres extend about 2.5 μm in resting muscle, but the length of a sarcomere is reduced to about 1 μm during muscle contraction. The explanation for this observation is that during muscle contraction, thin filaments in I bands slide into A bands. Thus, the length of I bands becomes shorter during muscle contraction, whereas the length of A bands remains unchanged. A single skeletal muscle fiber may contain over 100,000 sarcomeres.
Which of the following portions of the sarcomere contains both thick and thin filaments?
(A) A band
(B) H zone
(C) I band
(D) M line
(E) Z line
The answer is A. Thick filaments composed of myosin extend along the entire length of the A band. The center point of the A band is the dense M line that contains a myosin-binding protein, myomesin. This protein links thick filaments together, forming the M line. The less-dense H zone that flanks the M line consists exclusively of thick filaments. The thin filament anchored to the Z line extends over one-half of the I band and, therefore, overlaps with a portion of the A band. Thus, portions of the A band that flank the H zone contain both thin and thick filaments. These thin and thick filaments are organized so that each thick filament is in contact with six thin filaments. During muscle contraction, longer portions of the thin filaments slide into the A bands. As result of these molecular changes, H zones become thinner and I bands become shorter during muscle contraction.

A frozen section of a skeletal muscle biopsy is stained by enzyme histochemistry using an alkaline pH reaction for myosin ATPase. Identify the structures indicated by the arrows (shown in the image).
(A) Intermediate fibers
(B) Myofibrils
(C) Myofilaments
(D) Type I fibers
(E) Type II fibers
The answer is E. Three types of muscle fibers are found in skeletal muscle, namely red, white, and intermediate. These muscle fibers differ in their color, diameter, and enzyme biochemistry. Histochemical reactions detecting myosin ATPase can be used to distinguish type I (slow-twitch) fibers from type II (fast-twitch) fibers. The rationale for this observation is that myosin ATPase activity is positively correlated with muscle contraction velocity. When stained for myosin ATPase, type I fibers appear pale and type II fibers appear dark (shown in the image). In fresh tissue, type I fibers are small and red. They tend to have more mitochondria and more myoglobin. Type I fibers are characterized by a slow velocity of the myosin ATPase reaction, which results in slow/prolonged contractions (i.e., slow-twitch fibers). By contrast, type II fibers exhibit high anaerobic enzyme activity and they produce faster, shorter, a
A 30-year-old woman begins a vigorous program of bodybuilding. After 6 months, her muscles have become prominent and strong. Which of the following physiologic changes underlies muscle enlargement in this woman?
(A) Deposition of newly formed adipocytes
(B) Increase in the diameter of individual muscle fibers
(C) Increase in the number of muscle fibers
(D) Thickening of the endomysium
(E) Thickening of the perimysium
The answer is B. Muscle fiber diameter varies according to physiologic demand. The size of muscle fibers also varies as a function of age, sex, and nutrition. It is commonly known that physical training and exercise leads to muscle enlargement. This enlargement is caused by increased diameter of individual muscle fibers (i.e., increased cell volume). Exercise stimulates the production of new intracellular myofibrils that increase the diameter of individual muscle fibers. This process, growth by increased cell size, is referred as hypertrophy. Skeletal muscle has limited capacity to regenerate in response to injury, and does not respond to increased workload by increasing the number of muscle fibers (hyperplasia, choice C). Exercise reduces fat deposition in muscles (choice A) and does not increase the abundance of interstitial connective tissue (choices D and E).
The parents of a 5-year-old boy are concerned that their son tires easily. Physical examination reveals enlargement of the child's calf muscles. Serum levels of creatine kinase are elevated. A biopsy of calf muscle reveals muscle fiber necrosis, regenerating fibers, and fibrosis. The child is subsequently diagnosed with Duchenne muscular dystrophy. This X-linked recessive disease is caused by mutations in the gene for which of the following muscle proteins?
(A) Creatine kinase
(B) Desmin
(C) Dystrophin
(D) Glycogen phosphorylase
(E) Myosin
The answer is C. Dystrophin is a rod-shaped cytoplasmic protein located beneath the sarcolemma (plasma membrane). It links actin filaments of the outmost layer of the myofilaments to the inner surface of the plasma membrane (sarcolemma). It interacts with many other muscle proteins and forms a dystrophin-associated protein complex that links cytoplasmic proteins with extracellular structural proteins. Duchenne muscular dystrophy is a severe, progressive, X-linked, inherited condition characterized by progressive degeneration of muscles, particularly those of the pelvic and shoulder girdles. Dystrophin deficiency leads to impaired force transmission from thin filaments to the sarcolemma. The resulting weakness is noted mainly around the pelvic and shoulder girdles (proximal muscle weakness) and is progressive. Enlargement of the patient's calf muscles is referred to as "pseudohypertrophy." Healthy muscle tissue is r

A biopsy of the biceps brachii muscle is prepared using a special stain and examined in the pathology department (shown in the image). Identify the structure indicated by the arrows.
(A) Motor end plates
(B) Motor unit
(C) Muscle spindles
(D) Myelinated axons
(E) Tendon organs
The answer is A. Neuromuscular junctions (or motor end plates) are functional contactsbetween a motor nerve fiber and a muscle fiber. At this junction, the terminal end of an axon (or terminal twig of an axon) forms a synapse with the plasma membrane (sarcolemma) of the target muscle fiber. Synaptic vesicles stored in the terminal axon bulb contain acetylcholine. Nerve impulses cause acetylcholine to be released into the synaptic cleft. Binding of this neurotransmitter to its receptor initiates muscle cell contraction. Motor nerves containing myelinated axons travel within the perimysium. The axons lose their myelin sheath at the neuromuscular junction. None of the other structures exhibit histologic features of a motor end plate.
During a clinical conference, you are asked to discuss skeletal muscle anatomy and physiology. Which of the following best describes histologic features of a "motor unit"?
(A) A single axonal branch and the muscle fibers it innervates
(B) A single nerve axon and the muscle fiber(s) it innervates
(C) A single peripheral nerve and the muscle(s) it innervates
(D) The muscle spindle and the muscle fibers it innervates
(E) The nerve fiber(s) that innervate a single muscle fascicle
The answer is B. Muscles that control precise and delicate movements (e.g., extraocular muscles and intrinsic hand muscles) are richly innervated. In these muscles, a single nerve fiber usually innervates a single muscle fiber. By contrast, muscles that produce large and coarse movements (e.g., back and limb muscles) are typically innervated by nerve fibers with hundreds of terminal branches (twigs). In these muscles, axon twigs (not individual axons) form synapses with myofibers. Thus, a motor unit is best described as a single nerve axon and the muscle fiber or fibers that it innervates. None of the other choices describe histologic features of a motor unit.
A 36-year-old woman complains of impaired speech and frequent aspiration of food. Physical examination reveals double vision (diplopia) and drooping eyelids (ptosis). The patient is subsequently diagnosed with myasthenia gravis. The symptoms of muscle weakness in this patient are caused by autoantibodies directed against which of the following cellular components?
(A) Acetylcholine
(B) Acetylcholine receptor
(C) Calcium channel
(D) Rheumatoid factor
(E) Thyroid-stimulating hormone receptor
The answer is B. Myasthenia gravis is a type II hypersensitivity disorder caused by autoantibodies that bind to the acetylcholine receptor. These antibodies interfere with the transmission of neural impulses at the neuromuscular junction, causing muscle weakness and easy fatigability. External ocular and eyelid muscles are most often affected, but the disease is often progressive and may cause death, owing to respiratory muscle paralysis.
Skeletal muscle patterns in the developing embryo (e.g., shape, origin, insertion) are regulated by interactions between undifferentiated myoblasts and which of the following cells or tissues?
(A) Connective tissue
(B) Endothelial cells
(C) Neural tube
(D) Notochord
(E) Peripheral nerves
The answer is A. Skeletal muscle develops from myoblasts that migrate throughout the embryo. During migration, myoblasts receive biochemical signals and cues from the surrounding connective tissue. In the head region of the embryo, connective tissue is primarily of neural crest origin. In the limbs, the connective tissue is derived from lateral plate parietal (somatic) mesoderm. The cellular and molecular mechanisms that pattern the size, shape, and attachments of muscles are largely unknown. None of the other cells or tissues are known to regulate the patterning of skeletal muscles during embryonic development.

A section of skeletal muscle is examined in the histology laboratory (shown in the image). Identify the structure indicated by the arrow.
(A) Muscle fascicle
(B) Muscle fiber
(C) Muscle spindle
(D) Myofibril
(E) Perimysium
The answer is C. Muscle spindles are encapsulated sensory receptors that are situated among muscle fascicles. They are proprioceptors that continuously monitor changes in muscle fiber length during body movement. As shown in the image, muscle spindles consist of a connective tissue capsule that surrounds a few small muscle fibers. These small fibers are said to be "intrafusal," whereas the surrounding large muscle fibers are said to be "extrafusal." Unlike extrafusal fibers, intrafusal fibers are not striated. Sensory nerve fibers penetrate the capsule and synapse with individual intrafusal fibers. Muscle spindles constantly monitor muscle stretching and relay this information to the spinal cord for processing. Muscle spindles generate essential reflexes that maintain posture and coordinate the actions of opposing muscle groups during body movement.

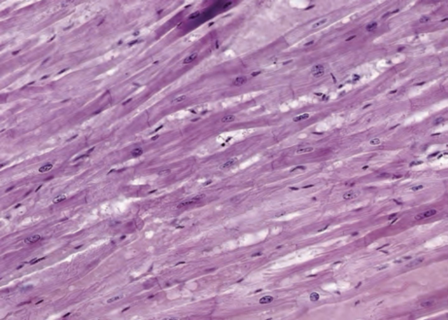
The myocardium of a woman who died of a cardiac arrhythmia is examined in the pathology department (shown in the image). Which of the following statements describes an important feature of cardiac muscle that helps distinguish cardiac from skeletal muscle in routine H&E slide preparations?
(A) Connective tissue contains a rich capillary network.
(B) Muscle fibers are composed of multiple cells.
(C) Muscle fibers exhibit cross-striations.
(D) Sarcomeres are located between adjacent Z lines.
(E) Thin filaments contain actin.
The answer is B. Unlike skeletal muscle, where muscle fibers are multinucleated cells, cardiac muscle fibers are composed of multiple cells that make tight end-to-end connections. Cardiac muscle cells may split and unite, giving cardiac muscle a typical "branching" morphology. Cardiac and skeletal muscles both exhibit cross-striations—their thick and thin contractile filaments exhibit the same organization (choices C, D, E). The nuclei of cardiac and skeletal muscle are, however, distinctly different. The nuclei of skeletal muscle cells are located at the periphery of the fiber, whereas the nucleus of a cardiac myocyte is located in the center of the cell (shown in the image). This difference in nuclear location provides a useful means for distinguishing cardiac from skeletal muscle. Cardiac and skeletal muscle fibers are both invested with connective tissue that conveys nerves and capillaries (choice A).

Thin sections of the cardiac muscle are examined at high magnification (shown in the image). Identify the structures indicated by the arrows.
(A) A bands
(B) I bands
(C) Intercalated disks
(D) M lines
(E) Z lines
The answer is C. Intercalated disks are a distinctive histologic feature of cardiac muscle. In routine H&E histologic preparations, intercalated disks appear as darker-stained lines that cross the muscle fibers. They represent highly specialized regions of cell-cell adhesion. They are composed of junctional complexes that form strong molecular bridges between cardiac myocytes. When examined by scanning electron microscopy, intercalated disks appear as steplike disks with transverse and lateral regions. In the transverse region, fascia adherens (the equivalent of zonula adherens in epithelial cells) and desmosomes mediate cell adhesion. Gap junctions and desmosomes are found in the lateral region of the intercalated disk. The other structures (lines and bands) are present in cardiac myocytes, but they do not contribute to the morphology of intercalated disks, and they would not be visible at this magnification.
In addition to Purkinje fibers, which of the following cellular structures distributes electrochemical signals between cardiac myocytes to ensure a normal heart rhythm?
(A) Endomysium
(B) Fascia adherens
(C) Gap junctions
(D) Macula adherens
(E) Sarcomere
The answer is C. Gap junctions are molecular pores that permit ions and other small molecules to pass between adjacent cells. Gap junctions are found in the lateral regions of the intercalated disks in cardiac muscle. They permit electrochemical signals to move between cardiac myocytes (ionic coupling). Gap junction communication enables cardiac muscle cells to form an electrochemical syncytium that helps maintain a normal heart rhythm.

The wall of the colon is examined at autopsy (shown in the image). Identify the tissue.
(A) Dense regular connective tissue
(B) Elastic connective tissue
(C) Nerve fibers
(D) Skeletal muscle
(E) Smooth muscle
The answer is E. Smooth muscle is an involuntary and nonstriated muscle that is widely distributed in the body. For example, smooth muscle is found in the gastrointestinal tract, blood vessels, urinary bladder, uterus, male/female reproductive tracts, and iris of the eye. In longitudinal sections, smooth muscle fibers appear as elongated fusiform cells with central nuclei and uniformly eosinophilic cytoplasm (illustrated in the image). Depending on location, the length of smooth muscle fibers varies from 20 μm (media of small blood vessel) to 500 μm (myometrium of pregnant uterus). Smooth muscle fibers are typically arranged into bundles or sheets. None of the other tissues exhibit the distinctive histologic features of smooth muscle.
Which of the following cells synthesizes the basal lamina and endomysium that surrounds smooth muscle fibers?
(A) Endothelial cells of capillaries
(B) Epithelial cells
(C) Fibroblasts in the perimysium
(D) Schwann cells of peripheral nerves
(E) Smooth muscle cells
The answer is E. In addition to their contractile properties, smooth muscle cells demonstrate the characteristic features of secretory cells. For example, endomysium, a thin layer of connective tissue, and the basal lamina that surrounds smooth muscle fibers are produced and deposited by smooth muscle cells. Reticular fibers in the endomysium form an intricate network that supports the parenchymal cells and binds them together. In large blood vessels, smooth muscle cells secrete type I collagen and elastic tissue components.
A 73-year-old male has been seen in the clinic many times for erectile dysfunction that occurred 5 years ago after a motor vehicle crash. The patient has been recently prescribed amyl nitrate for heart problems and has noticed that his erectile dysfunction has lessened. Amyl nitrate has the same pharmacologic action as nitric oxide. Which of the following junctional complexes facilitates the spread of nitric oxide molecules in the smooth muscle to permit erection?
A. Macula adherens
B. Zonula adherens
C. Zonula occludens
D. Gap junctions
E. Hemidesmosomes
The answer is D. Gap junctions facilitates the spread of nitric oxide molecules in the smooth muscle to permit erection because they allow cell-cell communication via adjacent cells.

A 40-year-old woman with a suspected disorder undergoes a muscle biopsy. The microscopic image, shown above demonstrates the tissue after processing and staining. Which of the following best describes this tissue biopsy?
A. Non-striated muscle with peripheral nuclei stained with hematoxylin and eosin
B. Non-striated muscle with a single, central nucleus stained with hematoxylin and eosin
C. Non-striated muscle with peripheral nuclei stained with Periodic acid-Schiff
D. Striated muscle with a single, central nucleus stained with hematoxylin and eosin
E. Striated muscle with peripheral nuclei stained with hematoxylin and eosin
The answer is E. This image shows skeletal muscle, which is a striated muscle with peripheral nuclei. The image is stained with hematocylin and eosin.
In an experimental setup, a skeletal muscle strip is electrically stimulated and a contraction could not be elicited. It is established that the sarcoplasmic reticulum is functional and can release and pump ions back in response to electrical stimulation in this setup. Which one of the following defects in the skeletal muscle contraction mechanism explains the lack of muscle contraction in this experiment?
A. Lack of Acetylcholine Receptors
B. Defective Na+ channels in membrane
C. Dysfunctional Calmodulin
D. Defective Troponin C
E. Dysfunctional L-type Calcium channels
The answer is D. When electrically stimulated skeletal muscle will generate an action potential which will open the L-Type Ca++ channels that will lead to the opening of the sarcoplasmic reticulum calcium channels mechanically. Ca++ will be released from SR to cytoplasm, Ca++ will bind to troponin C and will result in contraction. In this experiment, the SR is functional therefore all the steps before this point is functional. Electrical stimulation does not need Acetylcholine receptors, therefore, the lack of these receptors cannot explain the lack of contraction. If Na+ channels were dysfunctional there wouldn't be an electrical stimulation that leads to Ca++ release from SR. Calmodulin binds calcium in smooth muscle not in skeletal muscle. Defective troponin C cannot bind Ca++.
Skeletal muscle contraction is being tested in a low oxygen chamber. Which one of the following would be observed due to low oxygen conditions?
A. Actin groove will not be exposed
B. Sarcoplasmic reticulum will be dysfunctional
C. Cross- bridges cannot form
D. Calcium cannot bind Troponin
E. Myosin head will not detach from actin
The answer is E. Under low oxygen, skeletal muscle will generate lesser ATP. ATP is required to detach the myosin head from myosin binding sites on actin.
A medical student is comparing the contraction mechanisms of smooth muscle and skeletal muscle for a scientific project. Which one of the following can only be observed in the smooth muscle?
A. ATP dependent contractions
B. Contractions without an action potential
C. Actin-myosin cross bridge formation
D. Ca++ requirement for contractions
E. Contractions initiated by action potentials
The answer is B. In smooth muscle, chemicals, drugs, hormones, and neurotransmitters can initiate a contraction without an action potential. This is called pharmaco-mechanic coupling.
When a striated muscle fiber actively shortens, all of the following occur EXCEPT:
A. the A band shortens
B. the I band shortens
C. the H band shortens
D. the distance between Z lines shortens
E. myosin cross-bridges hydrolyze ATP
The answer is A. When a striated muscle fiber actively shortens, the only band that remains the same is the A band.
In striated muscle, rigor results from
A. dephosphorylation of myosin light chains
B. a low Ca2+ concentration in the sarcomeres
C. relaxation of the myosin-actin interaction
D. a low ATP concentration in the sarcomeres
E. relaxation of the tropomyosin-troponin interaction
The answer is D. In striated muscle, rigor results from a low ATP concentration in the sarcomeres. As a result, the myosin heads remain attached to the actin filaments.
In smooth muscle cells, regulation of the myosin cross-bridge cycle requires
A. calcium and calmodulin
B. calcium and troponin
C. calcium and T-tubules
D. intercalated discs
E. inorganic phosphate
The answer is A. In smooth muscle cells, regulation of the myosin cross-bridge cycle requires calcium and calmodulin.
Triads are found in
A. cardiac and smooth muscle
B. the motor end plate
C. intercalated discs
D. skeletal muscle
E. smooth and skeletal muscle
The answer is D. A triad is the structure formed by a T tubule with a sarcoplasmic reticulum (SR) known as the terminal cisterna on either side found in the skeletal muscle. They are typically located at the A-I junction. A diad is a structure in the cardiac myocyte located at the sarcomere Z-line. It is composed of a single t-tubule paired with a terminal cisterna of the sarcoplasmic reticulum.

The diagram shows the length-tension relationship for a single sarcomere. Why is the tension development maximal between points B and C?
A) Actin filaments are overlapping each other
B) Myosin filaments are overlapping each other
C) The myosin filament is at its minimal length
D) The Z discs of the sarcomere abut the ends of the myosin filament
E) There is optimal overlap between the actin and myosin filaments
F) There is minimal overlap between the actin and myosin filaments
The answer is E. Tension development in a single sarcomere is directly proportional to the number of active myosin cross-bridges attached to actin filaments. Overlap between the myosin and actin filaments is optimal at sarcomere lengths of about 2.0 to 2.5 micrometers, which allows maximal contact between myosin heads and actin filaments. At lengths less than 2.0 micrometers, the actin filaments protrude into the H band, where no myosin heads exist. At lengths greater than 2.5 micrometers, the actin filaments are pulled toward the ends of the myosin filaments, again reducing the number of possible cross-bridges.
Excitation-contraction coupling in skeletal muscle involves all of the following events EXCEPT one. Which one is this EXCEPTION?
A) ATP hydrolysis
B) Binding of Ca++ to calmodulin
C) Conformational change in dihydropyridine receptor
D) Depolarization of the transverse tubule (T tubule) membrane
E) Increased Na+ conductance of sarcolemma
The answer is B. Excitation-contraction coupling in skeletal muscle begins with an excitatory depolarization of the muscle fiber membrane (sarcolemma). This depolarization triggers the all-or-none opening of voltage-sensitive Na+ channels and an action potential that travels deep into the muscle fiber via the T tubule network. At the T tubule-sarcoplasmic reticulum "triad," the depolarization of the T tubule causes a conformational change in the dihydropyridine receptor and subsequently in the ryanodine receptor on the sarcoplasmic reticulum. The latter causes the release of Ca++ into the sarcoplasm and the binding of Ca++ to troponin C (not to calmodulin) on the actin filament.
A single contraction of skeletal muscle is most likely to be terminated by which of the following actions?
A) Closure of the postsynaptic nicotinic acetylcholine receptor
B) Removal of acetylcholine from the neuromuscular junction
C) Removal of Ca++ from the terminal of the motor neuron
D) Removal of sarcoplasmic Ca++
E) Return of the dihydropyridine receptor to its resting conformation
The answer is D. Skeletal muscle contraction is tightly regulated by the concentration of Ca++ in the sarcoplasm. As long as sarcoplasmic Ca++ is sufficiently high, none of the remaining events—removal of acetylcholine from the neuromuscular junction, removal of Ca++ from the presynaptic terminal, closure of the acetylcholine receptor channel, and return of the dihydropyridine receptor to its resting conformation—would have any effect on the contractile state of the muscle.
Which of the following best describes an attribute of visceral smooth muscle not shared by skeletal muscle?
A) Contraction is ATP dependent
B) Contracts in response to stretch
C) Does not contain actin filaments
D) High rate of cross-bridge cycling
E) Low maximal force of contraction
The answer is B. An important characteristic of visceral smooth muscle is its ability to contract in response to stretch. Stretch results in depolarization and potentially the generation of action potentials. These action potentials, coupled with normal slow-wave potentials, stimulate rhythmical contractions. Like skeletal muscle, smooth muscle contraction is both actin and ATP dependent. However, the cross-bridge cycle in smooth muscle is considerably slower than in skeletal muscle, which allows for a higher maximal force of contraction.
Calmodulin is most closely related, both structurally and functionally, to which of the following proteins?
A) G-actin
B) Myosin light chain
C) Tropomyosin
D) Troponin C
The answer is D. In smooth muscle, the binding of four Ca++ ions to the protein calmodulin permits the interaction of the Ca++-calmodulin complex with myosin light chain kinase. This interaction activates myosin light chain kinase, resulting in the phosphorylation of the myosin light chains and, ultimately, muscle contraction. In skeletal muscle, the activating Ca++ signal is received by the protein troponin C. Like calmodulin, each molecule of troponin C can bind with up to four Ca++ ions. Binding results in a conformational change in the troponin C protein that dislodges the tropomyosin molecule and exposes the active sites on the actin filament.
During a demonstration for medical students, a neurologist uses magnetic cortical stimulation to trigger firing of the ulnar nerve in a volunteer. At relatively low-amplitude stimulation, action potentials are recorded only from muscle fibers in the index finger. As the amplitude of the stimulation is increased, action potentials are recorded from muscle fibers in both the index finger and the biceps muscle. What is the fundamental principle underlying this amplitude-dependent response?
A) Large motor neurons that innervate large motor units require a larger depolarizing stimulus
B) Recruitment of multiple motor units requires a larger depolarizing stimulus
C) The biceps muscle is innervated by more motor neurons
D) The motor units in the biceps are smaller than those in the muscles of the fingers
E) The muscles in the fingers are innervated only by the ulnar nerve
The answer is A. Muscle fibers involved in fine motor control are generally innervated by small motor neurons with relatively small motor units, including those that innervate single fibers. These neurons fire in response to a smaller depolarizing stimulus compared with motor neurons with larger motor units. As a result, during weak contractions, increases in muscle contraction can occur in small steps, allowing for fine motor control. This concept is called the size principle.
Similarities between smooth and cardiac muscle include which of the following?
A) Ability to contract in the absence of an action potential
B) Dependence of contraction on Ca++ ions
C) Presence of a T tubule network
D) Role of myosin kinase in muscle contraction
E) Striated arrangement of the actin and myosin filaments
The answer is B. The strongest common denominator among smooth, skeletal, and cardiac muscle contraction is their shared dependence on Ca++ for the initiation of contraction. Cardiac and skeletal muscles exhibit several characteristics not shared by smooth muscle. For example, the contractile proteins in both cardiac and skeletal muscles are organized into discrete sarcomeres. Both muscle types also possess some semblance of a T tubule system and are dependent on the generation of action potentials for their contraction. Smooth muscle, in contrast, is relatively less organized, is uniquely regulated by myosin light chain phosphorylation, and can contract in vivo in the absence of action potentials.
In a normal, healthy muscle, what occurs as a result of propagation of an action potential to the terminal membrane of a motor neuron?
A) Opening of voltage-gated Ca++ channels in the presynaptic membrane
B) Depolarization of the T tubule membrane follows
C) Always results in muscle contraction
D) Increase in intracellular Ca++ concentration in the motor neuron terminal
E) All of the above are correct
The answer is E. The neuromuscular junction is equipped with a so-called safety factor that ensures that every nerve impulse that travels to the terminal of a motor neuron results in an action potential in the sarcolemma. Given a normal, healthy muscle, contraction is also ensured. The voltage sensitivity of the Ca++ channels in the presynaptic membrane and the high concentration of extracellular Ca++ ensure an influx of Ca++ sufficient to stimulate the fusion of synaptic vesicles to the presynaptic membrane and the release of acetylcholine. The overabundance of acetylcholine released guarantees a depolarization of the postsynaptic membrane and the firing of an action potential.
Which of the following decreases in length during the contraction of a skeletal muscle fiber?
A) A band of the sarcomere
B) I band of the sarcomere
C) Thick filaments
D) Thin filaments
E) Z discs of the sarcomere
The answer is B. The physical lengths of the actin and myosin filaments do not change during contraction. Therefore, the A band, which is composed of myosin filaments, does not change either. The distance between Z discs decreases, but the Z discs themselves do not change. Only the I band decreases in length as the muscle contracts.
A cross-sectional view of a skeletal muscle fiber through the H zone would reveal the presence of what?
A) Actin and titin
B) Actin, but no myosin
C) Actin, myosin, and titin
D) Myosin and actin
E) Myosin, but no actin
The answer is E. The H zone is the region in the center of the sarcomere composed of the lighter bands on either side of and including the M line. In this region, the myosin filaments are centered on the M line, and there are no overlapping actin filaments. Therefore, a cross-section through this region would reveal only myosin.
Tetanic contraction of a skeletal muscle fiber results from a cumulative increase in the intracellular concentration of which of the following?
A) ATP
B) Ca++
C) K+
D) Na+
E) Troponin
The answer is B. Muscle contraction is dependent on an elevation of intracellular Ca++ concentration. As the twitch frequency increases, the initiation of a subsequent twitch can occur before the previous twitch has subsided. As a result, the amplitude of the individual twitches is summed. At very high twitch frequencies, the muscle exhibits tetanic contraction. Under these conditions, intracellular Ca++ accumulates and supports sustained maximal contraction.
Malignant hyperthermia is a potentially fatal genetic disorder characterized by a hyper-responsiveness to inhaled anesthetics and results in elevated body temperature, skeletal muscle rigidity, and lactic acidosis. Which of the following molecular changes could account for these clinical manifestations?
A) Decreased voltage sensitivity of the dihydropyridine receptor
B) Enhanced activity of the sarcoplasmic reticulum Ca++-ATPase
C) Prolonged opening of the ryanodine receptor channel
D) Reduction in the density of voltage-sensitive Na+ channels in the T tubule membrane
The answer is C. As long as the ryanodine receptor channel on the sarcoplasmic reticulum remains open, Ca++ will continue to flood the sarcoplasm and stimulate contraction. This prolonged contraction results in heat production, muscle rigidity, and lactic acidosis. In contrast, factors that either inhibit Ca++ release or stimulate Ca++ uptake into the sarcoplasmic reticulum, or that prevent either the depolarization of the T tubule membrane or the transduction of the depolarization into Ca++ release, would favor muscle relaxation.
Weightlifting can result in a dramatic increase in skeletal muscle mass. This increase in muscle mass is primarily attributable to which of the following?
A) Fusion of sarcomeres between adjacent myofibrils
B) Hypertrophy of individual muscle fibers
C) Increase in skeletal muscle blood supply
D) Increase in the number of motor neurons
E) Increase in the number of neuromuscular junctions
The answer is B. Prolonged or repeated maximal contraction results in a concomitant increase in the synthesis of contractile proteins and an increase in muscle mass. This increase in mass, or hypertrophy, is observed at the level of individual muscle fibers.
The delayed onset and prolonged duration of smooth muscle contraction, as well as the greater force generated by smooth muscle compared with skeletal muscle, are all consequences of which of the following?
A) Greater amount of myosin filaments present in smooth muscle
B) Higher energy requirement of smooth muscle
C) Physical arrangement of actin and myosin filaments
D) Slower cycling rate of the smooth muscle myosin cross bridges
E) Slower uptake of Ca++ ions following contraction
The answer is D. The slower cycling rate of the cross-bridges in smooth muscle means that a higher percentage of possible cross-bridges is active at any point in time. The more active cross-bridges there are, the greater the force that is generated. Although the relatively slow cycling rate means that it takes longer for the myosin head to attach to the actin filament, it also means that the myosin head remains attached longer, prolonging muscle contraction. Because of the slow cross bridge cycling rate, smooth muscle actually requires less energy to maintain a contraction compared with skeletal muscle.
An experimental drug is being tested as a potential therapeutic treatment for asthma. Preclinical studies have shown that this drug induces the relaxation of cultured porcine tracheal smooth muscle cells pre-contracted with acetylcholine. Which of the following mechanisms of action is most likely to induce this effect?
A) Decreased affinity of troponin C for Ca++
B) Decreased plasma membrane K+ permeability
C) Increased plasma membrane Na+ permeability
D) Inhibition of the sarcoplasmic reticulum Ca++-ATPase
E) Stimulation of adenylate cyclase
The answer is E. The stimulation of either adenylate or guanylate cyclase induces smooth muscle relaxation. The cyclic nucleotides produced by these enzymes stimulate cAMPand cGMP-dependent kinases, respectively. These kinases phosphorylate, among other things, enzymes that remove Ca++ from the cytosol, and in doing so they inhibit contraction. In contrast, either a decrease in K+ permeability or an increase in Na+ permeability results in membrane depolarization and contraction. Likewise, inhibition of the sarcoplasmic reticulum Ca++-ATPase, one of the enzymes activated by cyclic nucleotide-dependent kinases, would also favor muscle contraction. Smooth muscle does not express troponin.

The diagram illustrates the single isometric twitch characteristics of two skeletal muscles, A and B, in response to a depolarizing stimulus.
Which of the following best describes muscle B, when compared to muscle A?
A) Adapted for rapid contraction
B) Composed of larger muscle fibers
C) Fewer mitochondria
D) Innervated by smaller nerve fibers
E) Less extensive blood supply
The answer is D. Muscle B is characteristic of a slow twitch muscle (Type 1) composed of predominantly slow twitch muscle fibers. These fibers are smaller in size and are innervated by smaller nerve fibers. They typically have a more extensive blood supply, a greater number of mitochondria, and large amounts of myoglobin, all of which support high levels of oxidative phosphorylation.

The diagram illustrates the single isometric twitch characteristics of two skeletal muscles, A and B, in response to a depolarizing stimulus.
The delay between the termination of the transient depolarization of the muscle membrane and the onset of muscle contraction observed in both muscles A and B reflects the time necessary for which of the following events to occur?
A) ADP to be released from the myosin head
B) ATP to be synthesized
C) Ca++ to accumulate in the sarcoplasm
D) G-actin to polymerize into F-actin
E) Myosin head to complete one cross-bridge cycle
The answer is C. Muscle contraction is triggered by an increase in sarcoplasmic Ca++ concentration. The delay between the termination of the depolarizing pulse and the onset of muscle contraction, also called the "lag," reflects the time necessary for the depolarizing pulse to be translated into an increase in sarcoplasmic Ca++ concentration. This process involves a conformational change in the voltage-sensing, or dihydropyridine receptor, located on the T tubule membrane; the subsequent conformational change in the ryanodine receptor on the sarcoplasmic reticulum; and the release of Ca++ from the sarcoplasmic reticulum.
A 55-year-old woman visits her physician because of double vision, eyelid droop, difficulty chewing and swallowing, and general weakness in her limbs. All these symptoms are made worse with exercise and occur more frequently late in the day. The physician suspects myasthenia gravis and orders a Tensilon test. The test is positive.
The increased muscle strength observed during the Tensilon test is due to an increase in which of the following?
A) Amount of acetylcholine (ACh) released from the motor nerves
B) Levels of ACh at the muscle end-plates
C) Number of ACh receptors on the muscle end-plates
D) Synthesis of norepinephrine
The answer is B. Myasthenia gravis is an autoimmune disease in which antibodies damage postsynaptic nicotinic acetylcholine receptors. This damage prevents the firing of an action potential in the postsynaptic membrane. Tensilon is a readily reversible acetylcholinesterase inhibitor that increases acetylcholine levels in the neuromuscular junction, thereby increasing the strength of muscle contraction.
A 55-year-old woman visits her physician because of double vision, eyelid droop, difficulty chewing and swallowing, and general weakness in her limbs. All these symptoms are made worse with exercise and occur more frequently late in the day. The physician suspects myasthenia gravis and orders a Tensilon test. The test is positive.
What is the most likely basis for the symptoms described in this patient?
A) Autoimmune response
B) Botulinum toxicity
C) Depletion of voltage-gated Ca++ channels in certain motor neurons
D) Development of macro motor units following recovery from poliomyelitis
E) Overexertion
The answer is A. Myasthenia gravis is an autoimmune disease characterized by the presence of anti-acetylcholine receptor antibodies in the plasma. Overexertion can cause junction fatigue, and both a decrease in the density of voltage-sensitive Ca++ channels in the presynaptic membrane and botulinum toxicity can cause muscle weakness. However, these effects are presynaptic and therefore would not be reversed by acetylcholinesterase inhibition. Although the macro-motor units formed during reinnervation following poliomyelitis compromise the patient's fine motor control, they do not affect muscle strength.
A 55-year-old woman visits her physician because of double vision, eyelid droop, difficulty chewing and swallowing, and general weakness in her limbs. All these symptoms are made worse with exercise and occur more frequently late in the day. The physician suspects myasthenia gravis and orders a Tensilon test. The test is positive.
Which of the following drugs would likely alleviate this patient's symptoms?
A) Atropine
B) Botulinum toxin antiserum
C) Curare
D) Halothane
E) Neostigmine
The answer is E. Neostigmine is an acetylcholinesterase inhibitor. Administration of this drug would increase the amount of acetylcholine (ACh) present in the synapse and its ability to sufficiently depolarize the postsynaptic membrane and trigger an action potential. Botulinum toxin antiserum is effective only against botulinum toxicity. Curare blocks the nicotinic ACh receptor and causes muscle weakness. Atropine is a muscarinic ACh receptor antagonist, and halothane is an anesthetic gas. Neither atropine nor halothane has any effect on the neuromuscular junction.
Smooth muscle contraction is terminated by which of the following?
A) Dephosphorylation of myosin kinase
B) Dephosphorylation of myosin light chain
C) Efflux of Ca++ ions across the plasma membrane
D) Inhibition of myosin phosphatase
E) Uptake of Ca++ ions into the sarcoplasmic reticulum
The answer is B. Smooth muscle contraction is regulated by both Ca++ and myosin light chain phosphorylation. When the cytosolic Ca++ concentration decreases following the initiation of contraction, myosin kinase becomes inactivated. However, cross-bridge formation continues, even in the absence of Ca++, until the myosin light chains are dephosphorylated through the action of myosin light chain phosphatase.
A 56-year-old man sees a neurologist because of weakness in his legs that improves over the course of the day or with exercise. Extracellular electrical recordings from a single skeletal muscle fiber reveal normal miniature end-plate potentials. Low-frequency electrical stimulation of the motor neuron, however, elicits an abnormally small depolarization of the muscle fibers. The amplitude of the depolarization is increased after exercise.
Based on these findings, which of the following is the most likely cause of this patient's leg weakness?
A) Acetylcholinesterase deficiency
B) Blockade of postsynaptic acetylcholine receptors
C) Impaired presynaptic voltage-sensitive Ca++ influx
D) Inhibition of Ca++ re-uptake into the sarcoplasmic reticulum
E) Reduced acetylcholine synthesis
The answer is C. The normal miniature end-plate potentials indicate sufficient synthesis and packaging of ACh and the presence and normal function of ACh receptor channels. The most likely explanation for this patient's symptoms is a presynaptic deficiency—in this case, an impairment of the voltage-sensitive Ca++ channels responsible for the increase in cytosolic Ca++ that triggers the release of ACh into the synapse. The increase in postsynaptic depolarization observed after exercise is indicative of an accumulation of Ca++ in the presynaptic terminal after multiple action potentials have reached the nerve terminal.
A 56-year-old man sees a neurologist because of weakness in his legs that improves over the course of the day or with exercise. Extracellular electrical recordings from a single skeletal muscle fiber reveal normal miniature end-plate potentials. Low-frequency electrical stimulation of the motor neuron, however, elicits an abnormally small depolarization of the muscle fibers. The amplitude of the depolarization is increased after exercise.
A preliminary diagnosis is confirmed by the presence of which of the following?
A) Antibodies against the acetylcholine receptor
B) Antibodies against the voltage-sensitive Ca++ channel
C) Mutation in the gene that codes for the ryanodine receptor
D) Relatively few vesicles in the presynaptic terminal
E) Residual acetylcholine in the neuromuscular junction
The answer is B. Inhibition of the presynaptic voltage-sensitive Ca++ channels is most consistent with the presence of antibodies against this channel. Antibodies against the ACh receptor, a mutation in the ryanodine receptor, and residual ACh in the junction are all indicative of postsynaptic defects. Although it is a presynaptic defect, a deficit of ACh vesicles is unlikely in this scenario, given the normal miniature end-plate potentials recorded in the postsynaptic membrane.
A 56-year-old man sees a neurologist because of weakness in his legs that improves over the course of the day or with exercise. Extracellular electrical recordings from a single skeletal muscle fiber reveal normal miniature end-plate potentials. Low-frequency electrical stimulation of the motor neuron, however, elicits an abnormally small depolarization of the muscle fibers. The amplitude of the depolarization is increased after exercise.
The molecular mechanism underlying these symptoms is most similar to which of the following?
A) Acetylcholine
B) Botulinum toxin
C) Curare
D) Neostigmine
E) Tetrodotoxin
The answer is B. Botulinum toxin inhibits muscle contraction presynaptically by decreasing the amount of ACh released into the neuromuscular junction. In contrast, curare acts post-synaptically, blocking the nicotinic ACh receptors and preventing the excitation of the muscle cell membrane. Tetrodotoxin blocks voltage-sensitive Na+ channels, impacting both the initiation and the propagation of action potentials in the motor neuron. Both ACh and neostigmine stimulate muscle contraction.
Smooth muscle that exhibits rhythmical contraction in the absence of external stimuli also necessarily exhibits which of the following?
A) "Slow" voltage-sensitive Ca++ channels
B) Intrinsic pacemaker wave activity
C) Higher resting cytosolic Ca++ concentration
D) Hyperpolarized membrane potential
E) Action potentials with "plateaus"
The answer is B. For a muscle to contract spontaneously and rhythmically, there must be an intrinsic rhythmical "pacemaker." Intestinal smooth muscle, for example, exhibits a rhythmical slow-wave potential that transiently depolarizes and repolarizes the muscle membrane. This slow wave does not stimulate contraction itself, but if the amplitude is sufficient, it can trigger one or more action potentials that result in Ca++ influx and contraction. Although they are typical of smooth muscle, neither "slow" voltage-sensitive Ca++ channels nor action potentials with "plateaus" play a necessary role in rhythmical contraction. A high resting cytosolic Ca++ concentration would support a sustained contraction, and hyperpolarization would favor relaxation.
A 12-year-old boy presents with a 4-month history of diminished vision and diplopia. He also experiences tiredness toward the end of the day. There are no other symptoms. On examination, the patient has ptosis of the left eye that improves after a period of sleep. Clinical examination is otherwise normal. There is no evidence of weakness of any other muscles. Additional testing indicates the presence of antiacetylcholine antibodies in the plasma, a normal thyroid function test, and a normal CT scan of the brain and orbit. What is the initial diagnosis?
A) Astrocytoma
B) Graves disease
C) Hashimoto thyroiditis
D) Juvenile myasthenia gravis
E) Multiple sclerosis
The answer is D. Myasthenia gravis is an acquired autoimmune disease causing skeletal muscle fatigue and weakness. The disease is associated with (caused by) IgG antibodies to acetylcholine receptors at post-synaptic membranes of neuromuscular junctions. The major symptom is muscle weakness, which gets worse with activity. Patients often feel well in the morning, but become weaker as the day goes on. The muscle weakness usually causes symptoms of double vision (diplopia) and drooping eyelids (ptosis). The presence of anti acetylcholine antibodies in the plasma is specific for myasthenia gravis and thus rules out the other answer choices. In addition, the normal CT scan of the brain and orbit specifically rules out the possibility of an astrocytoma (choice A), that is, brain tumor, that could compress cranial nerves. Double vision
commonly occurs in Graves disease (choice B); however, the thyroid test was normal (wh
The sensitivity of the smooth muscle contractile apparatus to calcium is known to increase in the steady-state under normal conditions. This increase in calcium sensitivity can be attributed to a decrease in the levels of which of the following substances?
A) Actin
B) Adenosine Triphosphate (ATP)
C) Calcium-calmodulin complex
D) Calmodulin
E) Myosin light chain phosphatase (MLCP)
The answer is E. Smooth muscle is unique in its ability to generate various degrees of tension at a constant concentration of intracellular calcium. This change in calcium sensitivity of smooth muscle can be attributed to differences in the activity of MLCP. Smooth muscle contracts when the myosin light chain is phosphorylated by the actions of myosin light chain kinase (MLCK). MLCP is a phosphatase that can dephosphorylate the myosin light chain, rendering it inactive and therefore attenuating the muscle contraction. Choice A: Both actin and myosin are important components of the smooth muscle contractile apparatus much like that of skeletal muscle and cardiac muscle, but these do not play a role in calcium sensitivity. Choice B: ATP is required for smooth muscle contraction. Decreased ATP levels would be expected to decrease the ability of smooth muscle to contract even in the face of high calcium levels. Choice
The correct temporal sequence for events at the neuromuscular junction is
(A) action potential in the motor nerve; depolarization of the muscle end plate; uptake of Ca2+ into the presynaptic nerve terminal
(B) uptake of Ca2+ into the presynaptic terminal; release of acetylcholine (ACh); depolarization of the muscle end plate
(C) release of ACh; action potential in the motor nerve; action potential in the muscle
(D) uptake of Ca2+ into the motor end plate; action potential in the motor end plate; action potential in the muscle
(E) release of ACh; action potential in the muscle end plate; action potential in the muscle
The answer is B. Acetylcholine (ACh) is stored in vesicles and is released when an action potential in the motor nerve opens Ca2+ channels in the presynaptic terminal. ACh diffuses across the synaptic cleft and opens Na+ and K+ channels in the muscle end plate, depolarizing it (but not producing an action potential). Depolarization of the muscle end plate causes local currents in adjacent muscle membrane, depolarizing the membrane to threshold and producing action potentials.
Which characteristic or component is shared by skeletal muscle and smooth muscle?
(A) Thick and thin filaments arranged in sarcomeres
(B) Troponin
(C) Elevation of intracellular [Ca2+] for excitation-contraction coupling
(D) Spontaneous depolarization of the membrane potential
(E) High degree of electrical coupling between cells
The answer is C. An elevation of intracellular [Ca2+] is common to the mechanism of excitation-contraction coupling in skeletal and smooth muscle. In skeletal muscle, Ca2+ binds to troponin C, initiating the cross-bridge cycle. In smooth muscle, Ca2+ binds to calmodulin. The Ca2+-calmodulin complex activates myosin lightchain kinase, which phosphorylates myosin so that shortening can occur. The striated appearance of the sarcomeres and the presence of troponin are characteristic of skeletal, not smooth, muscle. Spontaneous depolarizations and gap junctions are characteristics of unitary smooth muscle but not skeletal muscle.
Repeated stimulation of a skeletal muscle fiber causes a sustained contraction (tetanus). Accumulation of which solute in intracellular fluid is responsible for the tetanus?
(A) Na+
(B) K+
(C) Cl-
(D) Mg2+
(E) Ca2+
(F) Troponin
(G) Calmodulin
(H) Adenosine triphosphate (ATP)
The answer is E. During repeated stimulation of a muscle fiber, Ca2+ is released from the sarcoplasmic reticulum (SR) more quickly than it can be reaccumulated; therefore, the intracellular [Ca2+] does not return to resting levels as it would after a single twitch. The increased [Ca2+] allows more cross-bridges to form and, therefore, produces increased tension (tetanus). Intracellular Na+ and K+ concentrations do not change during the action potential. Very few Na+ or K+ ions move into or out of the muscle cell, so bulk concentrations are unaffected. Adenosine triphosphate (ATP) levels would, if anything, decrease during tetanus.
A 42-year-old man with myasthenia gravis notes increased muscle strength when he is treated with an acetylcholinesterase (AChE) inhibitor. The basis for his improvement is increased
(A) amount of acetylcholine (ACh) released from motor nerves
(B) levels of ACh at the muscle end plates
(C) number of ACh receptors on the muscle end plates
(D) amount of norepinephrine released from motor nerves
(E) synthesis of norepinephrine in motor nerves
The answer is B. Myasthenia gravis is characterized by a decreased density of acetylcholine (ACh) receptors at the muscle end plate. An acetylcholinesterase (AChE) inhibitor blocks degradation of ACh in the neuromuscular junction, so levels at the muscle end plate remain high, partially compensating for the deficiency of receptors.
Which of the following temporal sequences is correct for excitation-contraction coupling in skeletal muscle?
(A) Increased intracellular [Ca2+]; action potential in the muscle membrane; cross-bridge formation
(B) Action potential in the muscle membrane; depolarization of the T tubules; release of Ca2+ from the sarcoplasmic reticulum (SR)
(C) Action potential in the muscle membrane; splitting of adenosine triphosphate (ATP); binding of Ca2+ to troponin C
(D) Release of Ca2+ from the SR; depolarization of the T tubules; binding of Ca2+ to troponin C
The answer is B. The correct sequence is action potential in the muscle membrane; depolarization of the T tubules; release of Ca2+ from the sarcoplasmic reticulum
(SR); binding of Ca2+ to troponin C; cross-bridge formation; and splitting of adenosine triphosphate (ATP).
In skeletal muscle, which of the following events occurs before depolarization of the T tubules in the mechanism of excitation-contraction coupling?
(A) Depolarization of the sarcolemmal membrane
(B) Opening of Ca2+ release channels on the sarcoplasmic reticulum (SR)
(C) Uptake of Ca2+ into the SR by Ca2+-adenosine triphosphatase (ATPase)
(D) Binding of Ca2+ to troponin C
(E) Binding of actin and myosin
The answer is A. In the mechanism of excitation-contraction coupling, excitation always precedes contraction. Excitation refers to the electrical activation of the muscle cell, which begins with an action potential (depolarization) in the sarcolemmal membrane that spreads to the T tubules. Depolarization of the T tubules then leads to the release of Ca2+ from the nearby sarcoplasmic reticulum (SR), followed by an increase in intracellular Ca2+ concentration, binding of Ca2+ to troponin C, and then contraction.