Epithelium microscopes

0.0(0)
studied byStudied by 0 people
0.0(0)
full-widthCall with Kai
GameKnowt Play
New
learnLearn
examPractice Test
spaced repetitionSpaced Repetition
heart puzzleMatch
flashcardsFlashcards
Card Sorting

1/33

encourage image

There's no tags or description

Looks like no tags are added yet.

Study Analytics
Name
Mastery
Learn
Test
Matching
Spaced

No study sessions yet.

34 Terms

1
New cards
term image

simple squamous epithelia- single layer of flattened cells

2
New cards
<p></p>

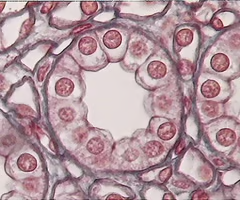
simple cuboidal epithelium- single layer of cube shaped cell

3
New cards
term image

free space

4
New cards
term image

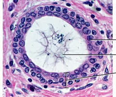
basement membrane-between epithelium and underlying connective tissue

5
New cards
term image

stratified cuboidal epithelium- multiple layers of cube shaped cells

6
New cards
term image

simple columnar epithelium- single layer of column shaped cells

7
New cards
term image

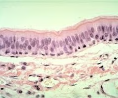
stratified columnar epithelium- multiple layers of column shaped cells

8
New cards
term image

areolar connective tissue- loose connective tissue,

9
New cards
term image

collagen fibers- provides flexability and strength

10
New cards
term image

elastic fibers- flexible and stretchy

11
New cards
term image

ground substance

12
New cards
term image

fibroblasts- cells that secrete the proteins of the fibers 

13
New cards
term image

adipose tissue- cells that store fat

14
New cards
term image

adipocytes- fat cells

15
New cards
term image

regular dense connective tissue- found in ligaments and tendons

16
New cards
term image

irregular connective tissue- found in dermis

17
New cards
term image

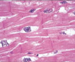
cardiac muscle 

18
New cards
term image

intercalated discs- attachment sites between cardiac muscle cells

19
New cards
term image

skeletal muscle- attaches to bones and provides force to move

20
New cards
term image

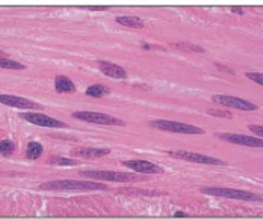
smooth muscle- found inside many internal organs 

21
New cards
<p>subcutaneous </p>

subcutaneous

fat layer under the skin

22
New cards
<p>sweat glands</p>

sweat glands

secretes perspiration 

23
New cards
<p>sebaceous glands</p>

sebaceous glands

secretes oil into the hair follicles 

24
New cards
<p>hair follicles&nbsp;</p>

hair follicles 

sacs within each hair grows 

25
New cards
term image

hyaline- flexible, firm gel matrix, reinforces and supports

26
New cards
term image

elastic cartilage

27
New cards
term image

fibrocartilage- more organized collagen fiber that can resist compressive force

28
New cards
term image

lacunas host chondrocytes (cartilage cells)

29
New cards
term image

spongy bone

30
New cards
term image

osteon 

31
New cards
term image

central canal

32
New cards
term image

lacunae- small cavities that contain osteocytes

33
New cards
term image

canaliculi- connects lacunae and central canal

34
New cards
term image

concentric lamellae-layers of bony matrix