Anatomy of Systemic Circulation

0.0(0)
studied byStudied by 0 people
0.0(0)
full-widthCall with Kai
GameKnowt Play
New
learnLearn
examPractice Test
spaced repetitionSpaced Repetition
heart puzzleMatch
flashcardsFlashcards
Card Sorting

1/53

Study Analytics
Name
Mastery
Learn
Test
Matching
Spaced

No study sessions yet.

54 Terms

1
New cards

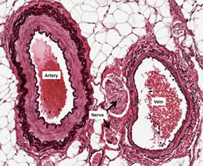
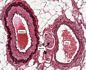
microscopic structure of veins

a three—layered wall called the tunica intimate, tunica media and tunica adventitia, which encloses a central space called the lumen.

<p>a three—layered wall called the tunica intimate, tunica media and tunica adventitia, which encloses a central space called the lumen.</p>
2
New cards

microscopic structure of arteries

consists of three distinct layers — tunica intimacy, tunica media, and tunica adventitia; elastic 

<p>consists of three distinct layers — tunica intimacy, tunica media, and tunica adventitia; elastic&nbsp;</p>
3
New cards

veins and arteries of the head and neck

common carotid artery, internal carotid artery, external carotid artery, external jugular vein, internal jugular vein, brachiocephalic artery and vein, subclavian artery and vein, superior vena cava

<p>common carotid artery, internal carotid artery, external carotid artery, external jugular vein, internal jugular vein, brachiocephalic artery and vein, subclavian artery and vein, superior vena cava</p>
4
New cards

common carotid artery

a large blood vessel in the neck that supplies oxygenated blood to the head and neck.

<p>a large blood vessel in the neck that supplies oxygenated blood to the head and neck.</p>
5
New cards

internal carotid artery

a major blood vessel that supplies blood to the brain and other structures in the head and neck; originates from the common carotid artery and then ascends through the carotid canal in the temporal bone and enters the skull; supplies oxygenated blood

<p>a major blood vessel that supplies blood to the brain and other structures in the head and neck; originates from the common carotid artery and then ascends through the carotid canal in the temporal bone and enters the skull; supplies oxygenated blood</p>
6
New cards

external carotid artery

a major blood vessel in the neck that supplies blood to the face, scalp, and neck; branches from the common carotid artery and has 8 major branches which terminate near the neck of the mandible

<p>a major blood vessel in the neck that supplies blood to the face, scalp, and neck; branches from the common carotid artery and has 8 major branches which terminate near the neck of the mandible</p>
7
New cards

external jugular vein

a superficial vein located in the anterior and lateral neck; plays a crucial role in draining blood from the head, face, and neck regions; originates at the angle of the mandible and then descends vertically along the posterior border of the sternocleidomastoid muscle

<p>a superficial vein located in the anterior and lateral neck; plays a crucial role in draining blood from the head, face, and neck regions; originates at the angle of the mandible and then descends vertically along the posterior border of the sternocleidomastoid muscle</p>
8
New cards

internal jugular vein

a large, deep, vein located in the neck; runs along the lateral border of the common carotid artery and vagus nerve within the carotid sheath, joins with the subclavian vein to form the superior vena cava

<p>a large, deep, vein located in the neck; runs along the lateral border of the common carotid artery and vagus nerve within the carotid sheath, joins with the subclavian vein to form the superior vena cava</p>
9
New cards

brachiocephalic artery

two large blood vessels that branch off the aortic arch; supply oxygenated blood to the right upper extremity and the right side of the head and neck; both originate from aortic arch and divide into common carotid artery and right subclavian artery

<p>two large blood vessels that branch off the aortic arch; supply oxygenated blood to the right upper extremity and the right side of the head and neck; both originate from aortic arch and divide into common carotid artery and right subclavian artery</p>
10
New cards

brachiocephalic vein

a large pair of veins in the upper chest that carry deoxygenated blood from the head, neck, and arms back to the heart; formed by the union of the internal jugular vein and subclavian vein with the left and right veins merging to form the superior vena cava

<p>a large pair of veins in the upper chest that carry deoxygenated blood from the head, neck, and arms back to the heart; formed by the union of the internal jugular vein and subclavian vein with the left and right veins merging to form the superior vena cava</p>
11
New cards

subclavian artery

a large blood vessel that supplies oxygenated blood to the upper extremities, head, and neck; runs along the lower border of the clavicle on both sides of the body; right originates from the brachiocephalic trunk while left originates directly from aortic arch, passes over the first rib and becomes the axillary artery

<p>a large blood vessel that supplies oxygenated blood to the upper extremities, head, and neck; runs along the lower border of the clavicle on both sides of the body; right originates from the brachiocephalic trunk while left originates directly from aortic arch, passes over the first rib and becomes the axillary artery</p>
12
New cards

subclavian vein

a large, deep, vein located in the upper chest, just below the clavicle; plays a crucial role in draining blood from the upper extremities back to the heart; originates at the lateral border of the first rib where it continues as axillary vein and runs medially and posterior to the clavicle where it joins with the internal jugular vein at sternoclavicular joint to make the brachiocephalic vein

<p>a large, deep, vein located in the upper chest, just below the clavicle; plays a crucial role in draining blood from the upper extremities back to the heart; originates at the lateral border of the first rib where it continues as axillary vein and runs medially and posterior to the clavicle where it joins with the internal jugular vein at sternoclavicular joint to make the brachiocephalic vein</p>
13
New cards

superior vena cava

a large vein that carries deoxygenated blood from the head, neck, arms, and chest back to the heart, originates at the junction of the two brachiocephalic veins and empties into the right atrium of the heart; plays a crucial role in the CV by returning deoxygenated blood from the upper body to the heart for oxygenation.

<p>a large vein that carries deoxygenated blood from the head, neck, arms, and chest back to the heart, originates at the junction of the two brachiocephalic veins and empties into the right atrium of the heart; plays a crucial role in the CV by returning deoxygenated blood from the upper body to the heart for oxygenation.</p>
14
New cards

veins and arteries of the thoracic and abdominal cavity

inferior vena cava, thoracic aorta, abdominal aorta (Celiac trunk, superior mesenteric artery, inferior mesenteric artery), hepatic artery and vein, left gastric artery, splenic artery, renal artery and vein

<p>inferior vena cava, thoracic aorta, abdominal aorta (Celiac trunk, superior mesenteric artery, inferior mesenteric artery), hepatic artery and vein, left gastric artery, splenic artery, renal artery and vein</p>
15
New cards

inferior vena cava

a large vein that carries deoxygenated blood from the lower body to the right atrium of the heart; located posterior to the right side of the vertebral column in the abdominal, originates at the junction of the right and left common iliac veins; largest vein in the human body and is not equipped with valves. 

<p>a large vein that carries deoxygenated blood from the lower body to the right atrium of the heart; located posterior to the right side of the vertebral column in the abdominal, originates at the junction of the right and left common iliac veins; largest vein in the human body and is not equipped with valves.&nbsp;</p>
16
New cards

thoracic aorta

the portion of the aorta that extends through the chest cavity; a continuation of the ascending aorta and extends downward from the aortic arch to the diaphragm; divided into the ascending and descending aorta; located behind the heart and passes through the mediastinum; carries oxygenated blood from the hear to the rest of the body; main artery that supplies blood to the organs and tissues of the chest

<p>the portion of the aorta that extends through the chest cavity; a continuation of the ascending aorta and extends downward from the aortic arch to the diaphragm; divided into the ascending and descending aorta; located behind the heart and passes through the mediastinum; carries oxygenated blood from the hear to the rest of the body; main artery that supplies blood to the organs and tissues of the chest</p>
17
New cards

abdominal aorta

composed of three branches — celiac trunk, superior mesenteric artery and inferior mesenteric artery; a continuation of the descending thoracic aorta, located in the abdomen; the largest artery in the boy, carrying oxygenated blood from the heart to the organs and tissues in the lower body; extends from diaphragm to ~L4 vertebrae and then bifurcates into right and left common iliac arteries, lies left of the inferior vena cava.

<p>composed of three branches — celiac trunk, superior mesenteric artery and inferior mesenteric artery; a continuation of the descending thoracic aorta, located in the abdomen; the largest artery in the boy, carrying oxygenated blood from the heart to the organs and tissues in the lower body; extends from diaphragm to ~L4 vertebrae and then bifurcates into right and left common iliac arteries, lies left of the inferior vena cava.</p>
18
New cards

celiac trunk

part of hepatic portal system; a short, major artery that branches off the abdominal aorta and supplies blood to the upper abdominal organs, including the stomach, liver, spleen and pancreas; divides into three branches — left gastric artery, common hepatic artery and splenic artery; carries oxygenated blood to the organs of foregut; originates from abdominal aorta at ~T12/L1

<p>part of hepatic portal system; a short, major artery that branches off the abdominal aorta and supplies blood to the upper abdominal organs, including the stomach, liver, spleen and pancreas; divides into three branches — left gastric artery, common hepatic artery and splenic artery; carries oxygenated blood to the organs of foregut; originates from abdominal aorta at ~T12/L1</p>
19
New cards

superior mesenteric artery

part of hepatic portal system; a major branch of the abdominal aorta that supplies blood to the majority of the small intestine (jejunum & ileum), as well as the ascending and transverse colon; originates from the anterior aspect of the aorta around L1, just inferior to celiac trunk

<p>part of hepatic portal system; a major branch of the abdominal aorta that supplies blood to the majority of the small intestine (jejunum &amp; ileum), as well as the ascending and transverse colon; originates from the anterior aspect of the aorta around L1, just inferior to celiac trunk</p>
20
New cards

inferior mesenteric artery

a branch of the abdominal aorta that supplies blood to the distal part of the large intestine (handout); arises from the anterior aspect of the abdominal aorta around L3 and runs inferiorly and to the left, passing behind the duodenum and pancreas

<p>a branch of the abdominal aorta that supplies blood to the distal part of the large intestine (handout); arises from the anterior aspect of the abdominal aorta around L3 and runs inferiorly and to the left, passing behind the duodenum and pancreas</p>
21
New cards

hepatic artery

a major blood vessel that supplies the liver with oxygen and nutrients; originates from the celiac trunk; branches off into proper hepatic artery and gastrodudenal artery; part of the hepatic portal system which carries blood from the gastrointestinal tract to the liver for detoxification and processing.

<p>a major blood vessel that supplies the liver with oxygen and nutrients; originates from the celiac trunk; branches off into proper hepatic artery and gastrodudenal artery; part of the hepatic portal system which carries blood from the gastrointestinal tract to the liver for detoxification and processing.</p>
22
New cards

hepatic vein

referred to as hepatic portal vein; a system of blood vessels that carry deoxygenated blood from the liver to the inferior vena cava; broken down into right, middle and left hepatic veins

<p>referred to as hepatic portal vein; a system of blood vessels that carry deoxygenated blood from the liver to the inferior vena cava; broken down into right, middle and left hepatic veins</p>
23
New cards

left gastric artery

arises from the celiac trunk and runs along the superior portion of the lesser curvature of the stomach

<p>arises from the celiac trunk and runs along the superior portion of the lesser curvature of the stomach</p>
24
New cards

splenic artery

part of hepatic portal system; a major blood vessel that supplies the spleen with oxygenated blood; a branch of the celiac trunk; travels horizontally across the posterior part of the stomach and superior to the pancreas, then follows a tortuous path along the superior border of the pancreas to the spleen

<p>part of hepatic portal system; a major blood vessel that supplies the spleen with oxygenated blood; a branch of the celiac trunk; travels horizontally across the posterior part of the stomach and superior to the pancreas, then follows a tortuous path along the superior border of the pancreas to the spleen</p>
25
New cards

renal artery

two large blood vessels that carry oxygenated blood from the heart to the kidneys; support the kidneys with blood for filtration and excretion of waste products and helps regulate blood pressure and electrolyte balance; originates from the aorta and then divides into posterior and anterior branches upon entering the kidney

<p>two large blood vessels that carry oxygenated blood from the heart to the kidneys; support the kidneys with blood for filtration and excretion of waste products and helps regulate blood pressure and electrolyte balance; originates from the aorta and then divides into posterior and anterior branches upon entering the kidney</p>
26
New cards

renal vein

large veins that carry deoxygenated blood from the kidneys to the inferior vena cava; originates in the renal hilum and travels along the lateral border of the kidneys, eventually joining inferior vena cava

<p>large veins that carry deoxygenated blood from the kidneys to the inferior vena cava; originates in the renal hilum and travels along the lateral border of the kidneys, eventually joining inferior vena cava</p>
27
New cards

veins and arteries of the arms and legs

axillary artery and vein, racial artery and vein, radial artery and vein, ulnar artery and vein superficial palmar artery and vein, common iliac artery and vein, internal iliac artery and vein, external ilic artery and vein, femoral artery and vein

28
New cards

axillary artery

a major blood vessel that supplies the upper extremity; a continuation of the subclavian artery and runs through the axilla before becoming the brachial artery; extends from the lateral border of the first rib to the inferior border of the teres major muscle; supplies blood to muscles, skin, and other tissues of the upper extremity

<p>a major blood vessel that supplies the upper extremity; a continuation of the subclavian artery and runs through the axilla before becoming the brachial artery; extends from the lateral border of the first rib to the inferior border of the teres major muscle; supplies blood to muscles, skin, and other tissues of the upper extremity</p>
29
New cards

axillary vein

a major vein in the armpit that collects deoxygenated blood from the upper arm and drains into the subclavian vein; begins at the lower border of the teres major tendon and latissimus dorsi muscle

<p>a major vein in the armpit that collects deoxygenated blood from the upper arm and drains into the subclavian vein; begins at the lower border of the teres major tendon and latissimus dorsi muscle</p>
30
New cards

brachial artery

a major blood vessel located in the upper arm; continuation of the axillary artery and supplies blood to the muscles, skin and other tissues of the arm, originates at the lower border of the teres major muscle and runs on the anterior surface of the arm, medial to the biceps brachia muscle and terminates at the cubital fossa

<p>a major blood vessel located in the upper arm; continuation of the axillary artery and supplies blood to the muscles, skin and other tissues of the arm, originates at the lower border of the teres major muscle and runs on the anterior surface of the arm, medial to the biceps brachia muscle and terminates at the cubital fossa</p>
31
New cards

brachial vein

a deep vein that accompanies the brachial artery in the region of the arm; formed by the unification of the ulnar and redial veins at the elbow

<p>a deep vein that accompanies the brachial artery in the region of the arm; formed by the unification of the ulnar and redial veins at the elbow</p>
32
New cards

radial artery

located on the lateral side of the forearm, running parallel to the ulnar artery; originates from the brachial artery at the level of the elbow join and extends distally to the wrist; supplies blood to the forearm, wrist, and lateral three fingers (thumb-middle)

<p>located on the lateral side of the forearm, running parallel to the ulnar artery; originates from the brachial artery at the level of the elbow join and extends distally to the wrist; supplies blood to the forearm, wrist, and lateral three fingers (thumb-middle)</p>
33
New cards

radial vein

a deep vein in the forearm that runs alongside the radial artery; collects venous blood from the deep structures of the hand and the lateral aspect of the forearm; joins with the ulnar vein at the elbow to form the brachial vein

<p>a deep vein in the forearm that runs alongside the radial artery; collects venous blood from the deep structures of the hand and the lateral aspect of the forearm; joins with the ulnar vein at the elbow to form the brachial vein</p>
34
New cards

ulnar artery

a major branch of the brachial artery, located in the forearm; runs along the medial side of the forearm and passes through the carpal tunnel at the wrist; supplies blood to the muscles, skin, and bones of the forearm and hand

<p>a major branch of the brachial artery, located in the forearm; runs along the medial side of the forearm and passes through the carpal tunnel at the wrist; supplies blood to the muscles, skin, and bones of the forearm and hand</p>
35
New cards

ulnar vein

deep veins in the forearm that accompany the ulnar artery and unite at the elbow with the radial veins to form the brachial veins

<p>deep veins in the forearm that accompany the ulnar artery and unite at the elbow with the radial veins to form the brachial veins</p>
36
New cards

superficial palmar artery

formed predominantly by the ulnar artery with a superficial palmar branch of the radial artery; referred to as the superficial palmar arch

<p>formed predominantly by the ulnar artery with a superficial palmar branch of the radial artery; referred to as the superficial palmar arch</p>
37
New cards

superficial palmar vein

formed by the union of the common palmar digital veins and drains into the median ante brachial vein; shunts blood to the dorsal venous network via intercapitular veins; accompanied y superficial palmar artery/arch; referred to as a venous arch occasionally 

<p>formed by the union of the common palmar digital veins and drains into the median ante brachial vein; shunts blood to the dorsal venous network via intercapitular veins; accompanied y superficial palmar artery/arch; referred to as a venous arch occasionally&nbsp;</p>
38
New cards

common iliac artery

paired blood vessels located in the pelvis that supply blood to the lower limbs and pelvic organs; arise from the bifurcation of the abdominal aorta at around l4, descend laterally along pelvic brim (anterior to sacroiliac joints) and then bifurcates into internal and external iliac arteries

<p>paired blood vessels located in the pelvis that supply blood to the lower limbs and pelvic organs; arise from the bifurcation of the abdominal aorta at around l4, descend laterally along pelvic brim (anterior to sacroiliac joints) and then bifurcates into internal and external iliac arteries</p>
39
New cards

common iliac vein

two large veins that collect deoxygenated blood from the pelvis and lower body and drain into the inferior vena cava; formed by the union of the external and internal iliac veins and located on either side of the spine, joining ~L5 to create the inferior vena cava; no valves — more susceptible to blood clots

<p>two large veins that collect deoxygenated blood from the pelvis and lower body and drain into the inferior vena cava; formed by the union of the external and internal iliac veins and located on either side of the spine, joining ~L5 to create the inferior vena cava; no valves — more susceptible to blood clots</p>
40
New cards

internal iliac artery 

a major blood vessel in the pelvis that supplies the pelvic organs, buttocks and lower extremities; arises from the bifurcation of the common iliac artery at the level of L5-S1; descends medially through the pelvis, crossing anterior to the sacrum and posterior to the internal iliac vein

<p>a major blood vessel in the pelvis that supplies the pelvic organs, buttocks and lower extremities; arises from the bifurcation of the common iliac artery at the level of L5-S1; descends medially through the pelvis, crossing anterior to the sacrum and posterior to the internal iliac vein</p>
41
New cards

internal iliac vein

a large vein in the pelvis that collects blood from the pelvic organs, gluteal region and perineum; formed by several smaller veins joining together and terminates by merging with the external iliac vein to form the common iliac vein

<p>a large vein in the pelvis that collects blood from the pelvic organs, gluteal region and perineum; formed by several smaller veins joining together and terminates by merging with the external iliac vein to form the common iliac vein</p>
42
New cards

external iliac artery

a major blood vessel in the lower abdomen that supplies blood to the lower limb; originates from the bifurcation of the common iliac artery in the pelvis, runs along the medial border of the psoas major muscle and passes under the inguinal ligament and becomes the femoral artery in the thigh

<p>a major blood vessel in the lower abdomen that supplies blood to the lower limb; originates from the bifurcation of the common iliac artery in the pelvis, runs along the medial border of the psoas major muscle and passes under the inguinal ligament and becomes the femoral artery in the thigh</p>
43
New cards

external iliac vein

an upward continuation of the femoral veins in the thighs; starts behind the inguinal ligament and merges with the common iliac vein

<p>an upward continuation of the femoral veins in the thighs; starts behind the inguinal ligament and merges with the common iliac vein</p>
44
New cards

femoral artery

the main artery supplying oxygenated blood to the leg, originating in the groin and running down the thigh; a continuation of the external iliac artery and becomes the popliteal artery once it passes through the adductor hiatus; clinically significant for providing a pulse point

<p>the main artery supplying oxygenated blood to the leg, originating in the groin and running down the thigh; a continuation of the external iliac artery and becomes the popliteal artery once it passes through the adductor hiatus; clinically significant for providing a pulse point</p>
45
New cards

femoral vein

the main deep vein of the thigh, accompanying the superficial and common femoral arteries; forms from the popliteal vein

<p>the main deep vein of the thigh, accompanying the superficial and common femoral arteries; forms from the popliteal vein</p>
46
New cards

hepatic portal system

celiac trunk, superior mesenteric artery, splenic artery, gastric artery, hepatic portal vein; a network of veins/arteries that carry blood from the digestive organs to the liver; plays a crucial role in processing nutrients, toxins and other substances absorbed from the gastrointestinal tract

<p>celiac trunk, superior mesenteric artery, splenic artery, gastric artery, hepatic portal vein; a network of veins/arteries that carry blood from the digestive organs to the liver; plays a crucial role in processing nutrients, toxins and other substances absorbed from the gastrointestinal tract</p>
47
New cards

gastric artery

supplies the funds and proximal body of the stomach by branching from the splenic hilum; tends to be broken down into right and left arteries

<p>supplies the funds and proximal body of the stomach by branching from the splenic hilum; tends to be broken down into right and left arteries</p>
48
New cards

hepatic portal vein

a vein conveying blood to the liver from the spleen, stomach, pancreas, and intestines; primary function is to carry nutrient rich blood from the digestive organs directly to the liver for processing

<p>a vein conveying blood to the liver from the spleen, stomach, pancreas, and intestines; primary function is to carry nutrient rich blood from the digestive organs directly to the liver for processing</p>
49
New cards

fetal circulation

composed of placenta, umbilical cord and umbilical artery and vein; placenta issued for gas and nutrient exchange, bypassing the mature lungs and liver via the umbilical vein

<p>composed of placenta, umbilical cord and umbilical artery and vein; placenta issued for gas and nutrient exchange, bypassing the mature lungs and liver via the umbilical vein</p>
50
New cards

placenta

a temporary organ that connects the baby to the uterus during pregnancy; develops shortly after conception and attaches to the wall of the uterus; umbilical vein carries oxygenated blood from this organ to fetus and umbilical arteries carrying deoxygenated blood from the fetus bring it back here. 

<p>a temporary organ that connects the baby to the uterus during pregnancy; develops shortly after conception and attaches to the wall of the uterus; umbilical vein carries oxygenated blood from this organ to fetus and  umbilical arteries carrying deoxygenated blood from the fetus bring it back here.&nbsp;</p>
51
New cards

umbilical cord

a structure that connects a developing fetus to the placenta during pregnancy; composed of two umbilical arteries and one umbilical vein surrounded by Wharton’s jelly and an amniotic membrane

<p>a structure that connects a developing fetus to the placenta during pregnancy; composed of two umbilical arteries and one umbilical vein surrounded by Wharton’s jelly and an amniotic membrane</p>
52
New cards

umbilical artery

two blood vessels that carry deoxygenated blood from the fetus to the placenta; located within the umbilical cord which connects the fetus to placenta; transports waste and CO2 from the fetus to the placenta for removal

<p>two blood vessels that carry deoxygenated blood from the fetus to the placenta; located within the umbilical cord which connects the fetus to placenta; transports waste and CO2 from the fetus to the placenta for removal</p>
53
New cards

umbilical vein

a blood vessel that carries oxygenated blood from the placenta to the fetus during pregnancy

<p>a blood vessel that carries oxygenated blood from the placenta to the fetus during pregnancy</p>
54
New cards

fetal heart

3 notable differences from adult heart — foramen oval, ductus arteriosus and ductus vensous; circulation of blood involves the ductus venosus shutting blood from the umbilical vein past the liver to the inferior vena cava, while the foramen oval moves blood from the right atrium to the left atrium, and the ductus arteriosus directs blood from the pulmonary artery to the aorta

<p>3 notable differences from adult heart — foramen oval, ductus arteriosus and ductus vensous; circulation of blood involves the ductus venosus shutting blood from the umbilical vein past the liver to the inferior vena cava, while the foramen oval moves blood from the right atrium to the left atrium, and the ductus arteriosus directs blood from the pulmonary artery to the aorta</p>