Special Projections of the Elbow

0.0(0)
studied byStudied by 0 people
full-widthCall with Kai
GameKnowt Play
learnLearn
examPractice Test
spaced repetitionSpaced Repetition
heart puzzleMatch
flashcardsFlashcards
Card Sorting

1/22

encourage image

There's no tags or description

Looks like no tags are added yet.

Study Analytics
Name
Mastery
Learn
Test
Matching
Spaced

No study sessions yet.

23 Terms

1
New cards

AP Partial Flexion 

these 2 elbow images are in what position (2 for 1!!)

2
New cards

Humerus 

in this AP Partial Flexion is the humerus or forearm parallel

3
New cards

Forearm

in this AP Partial Flexion is the humerus or forearm parallel

4
New cards

acute flexion

these 2 images of the elbow are in what position (2 for 1!) CR perpendicular to humerus and then CR perpendicular to forearm

5
New cards

distal humerus 

this acute flexion of the elbow image is showing the __ __

6
New cards

proximal forearm 

this acute flexion of the elbow image is showing the __ __

7
New cards

AP Partial Flexion, Acute Flexion

what 2 position (2 images each) compromises for an AP elbow radiograph

8
New cards

Coyle Method

what position compromises for medial or lateral oblique images of the elbow

9
New cards

radial head

which coyle method is this image showing (toward shoulder)

10
New cards

coronoid process 

which coyle method is this image showing (away from shoulder)

11
New cards

90

for the radial head coyle method the elbow needs to be flexed at __ degrees

12
New cards

80

for the coronoid process coyle method the elbow needs to be flexed at __ degrees

13
New cards

45

for any coyle method the CR needs to be angles at __ degrees (either away from or towards the shoulder)

14
New cards

radial head 

this is an image of what coyle method projection

15
New cards

coronoid process

this is an image of what coyle method projection

16
New cards

lateral oblique 

this image is what projection of the elbow 

17
New cards

medial oblique 

this image is what projection of the elbow 

18
New cards

radial head

which coyle method projection compromises for a lateral oblique

19
New cards

coronoid process

which coyle method projection compromises for a medial oblique

20
New cards

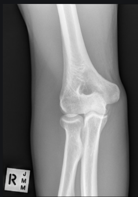
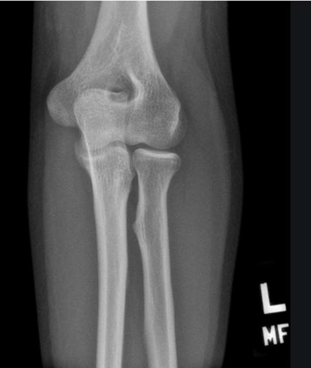
-All anatomy present (humerus, radius, and ulna)

-Only should be partial superimposition of the radius and ulna (this image they are fully separated)

-They are laterally rotated (fix by medially rotating them and feeling the epicondyles)

-Epicondyles not perfectly in profile (due to rotation)

-Olecranon in olecranon fossa

-Open Joint Space = pretty good

-No crowning of radial head (good)

  • REPEAT

Critique this AP Elbow Image

21
New cards

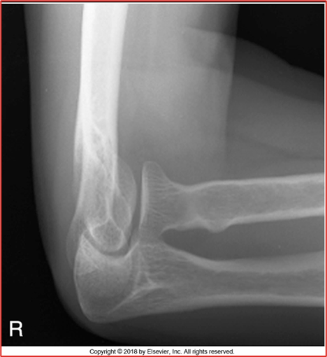
-All anatomy present

-Collimation is tight, want to open up some more

-Totally body positioning was not utilized because you cannot see the 3 concentric arches (trochlear notch, trochlear sulcus, ridges of the capitulum and trochlea)

-Not fully bent 90 degrees but close

-Coronoid process and radial head should be half superimposed (this image is a little more than half)

-Olecranon is in profile

-No marker

-REPEAT cause not in a true lateral position

Critique this lateral elbow image

22
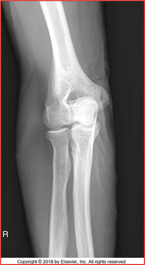
New cards

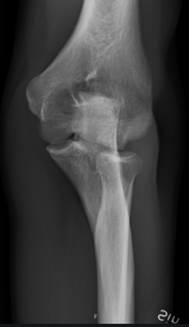
-Not complete superimposition of radial head and ulna (NOT enough rotation) need more medial rotation

-Should see the coronoid process and trochlea in profile

-Olecranon should be in olecranon fossa

-NO Marker

-REPEAT

critique this medial oblique elbow image

23
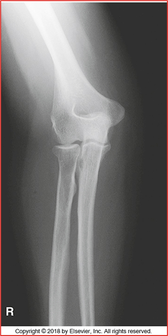
New cards

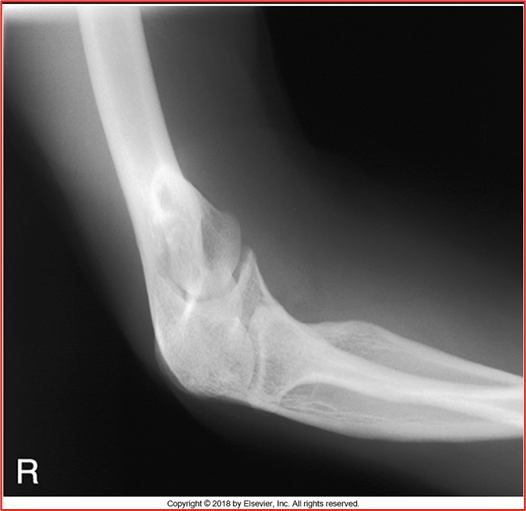
-Radius and ulna should be completely separated (almost there but not fully)

-There is crowning of the radial head (should NOT be present, should be flat) meaning they are not fully extended

-Capitulum and radial head present

-REPEAT because of crowning

critique this lateral oblique elbow image