P1.5 - Benign Bone Tumors

0.0(0)
studied byStudied by 0 people
0.0(0)
full-widthCall with Kai
GameKnowt Play
New
learnLearn
examPractice Test
spaced repetitionSpaced Repetition
heart puzzleMatch
flashcardsFlashcards
Card Sorting

1/74

encourage image

There's no tags or description

Looks like no tags are added yet.

Study Analytics
Name
Mastery
Learn
Test
Matching
Spaced

No study sessions yet.

75 Terms

1
New cards

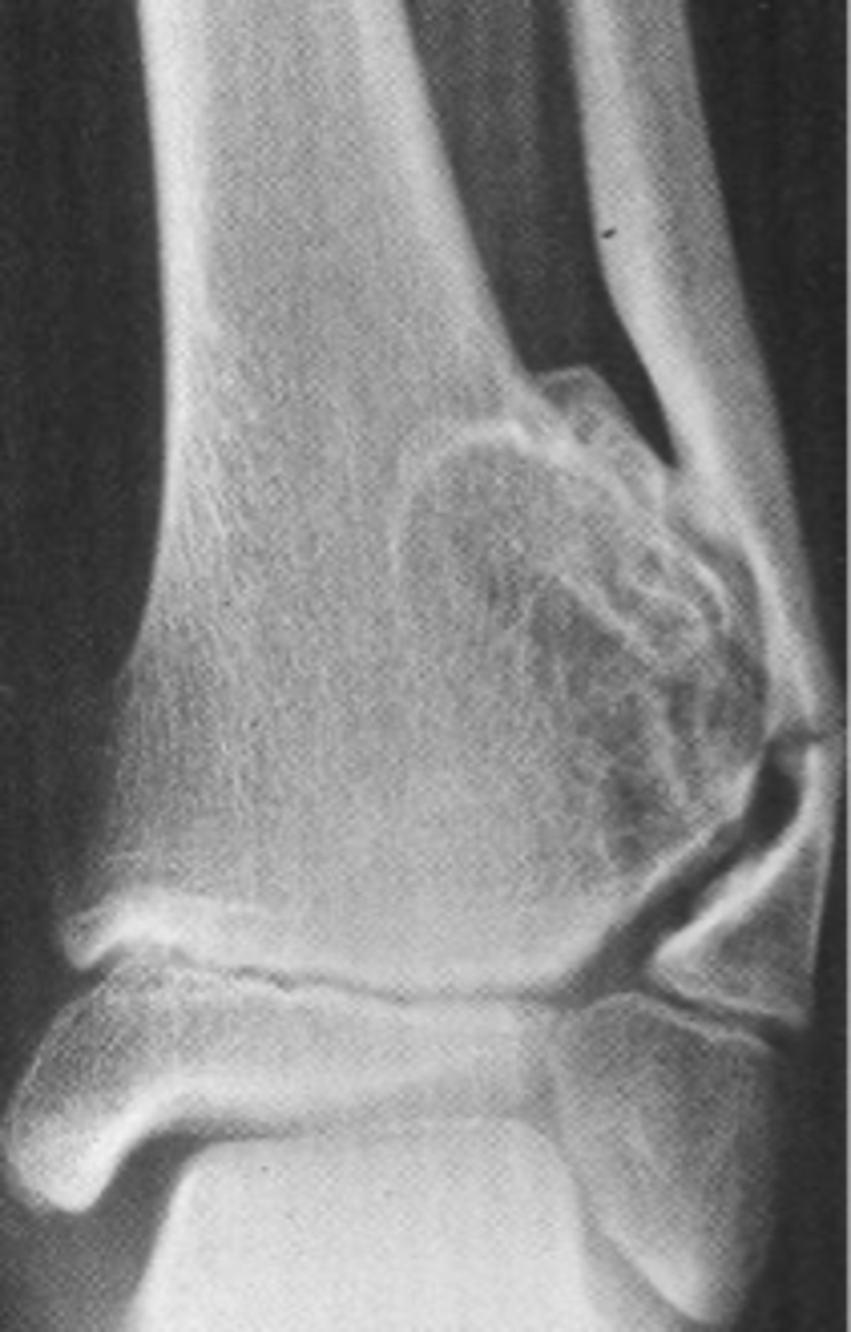
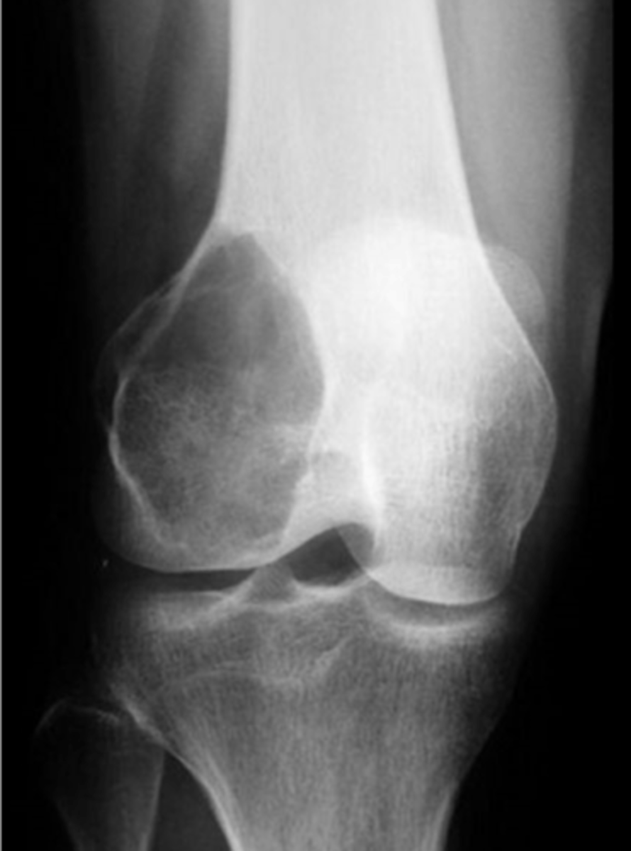
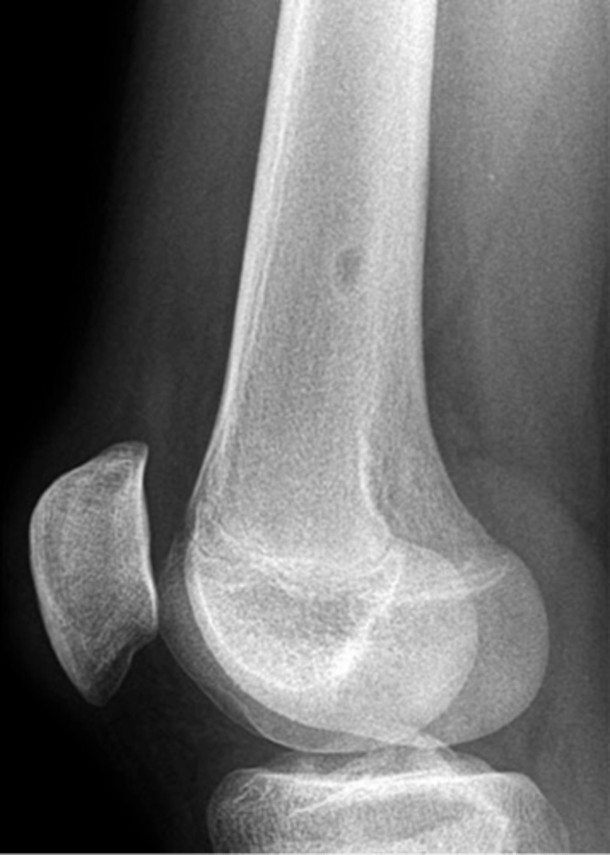
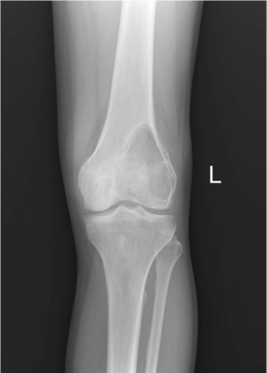
Osteoclastoma

Another term for giant cell tumor

<p>Another term for giant cell tumor</p>
2
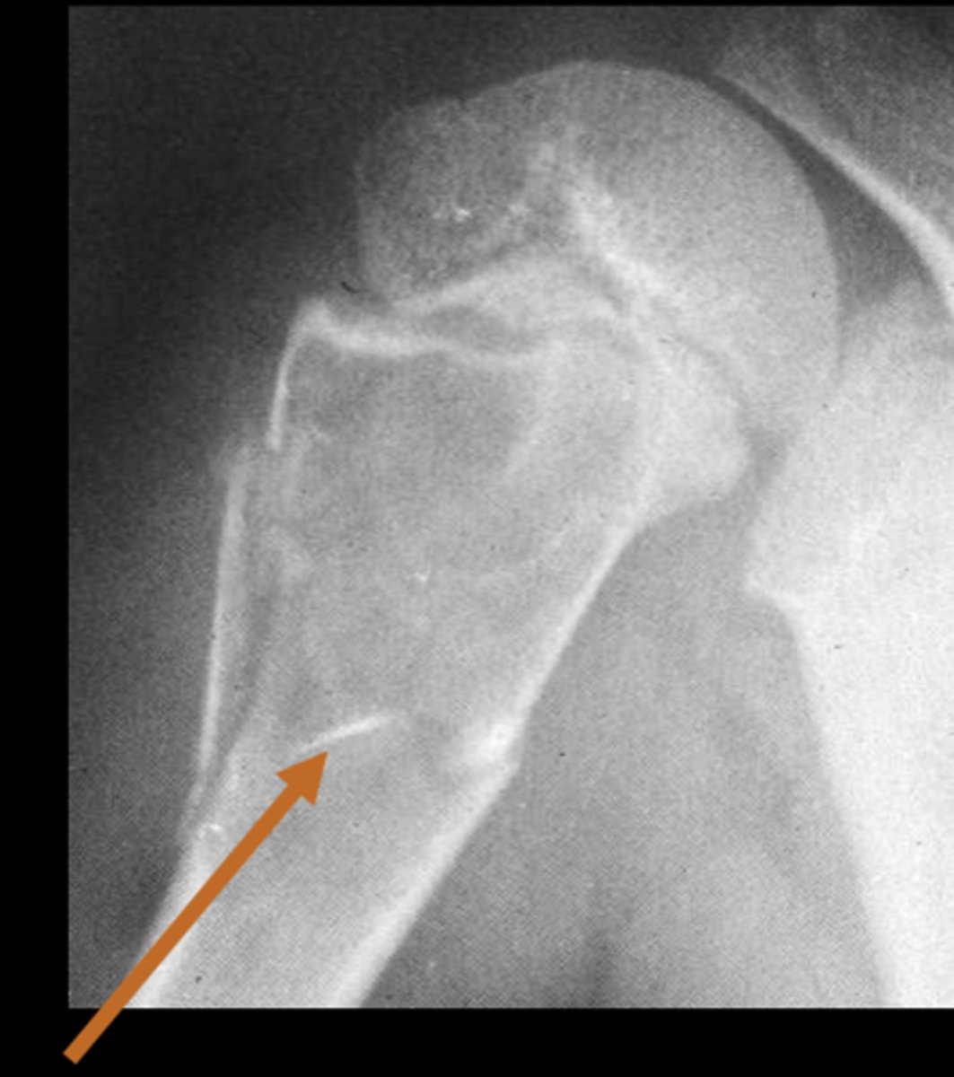
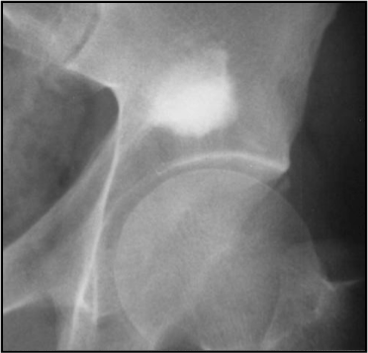
New cards

- 80%

- 20%

Giant cell tumor pathology:

- _____ benign (F:M, 3:2)

- _____ malignant (M:F, 3:1)

<p>Giant cell tumor pathology:</p><p>- _____ benign (F:M, 3:2)</p><p>- _____ malignant (M:F, 3:1)</p>
3
New cards

- 20-40 y.o.

- Knee (tibia and femur)

- Localized pain and aching

- Joint pain and restricted motion

State the clinical features of giant cell tumor

<p>State the clinical features of giant cell tumor</p>
4
New cards

- Osteolytic

- Geographic

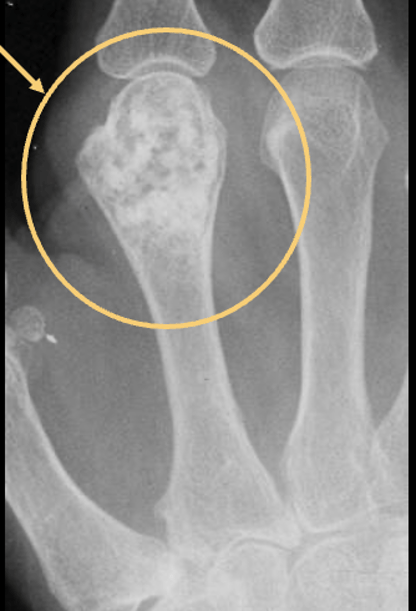
- Multiloculated and septated

- Begin in metaphysis

- Extend to subarticular bone

- Expansion

- Eccentric

- Quasi-malignant (can't tell benign from malignant)

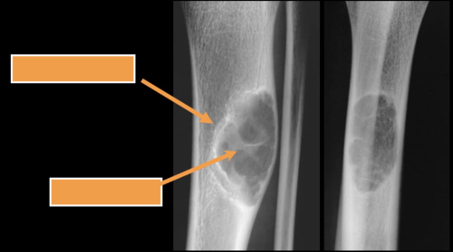
State the imaging features of giant cell tumor

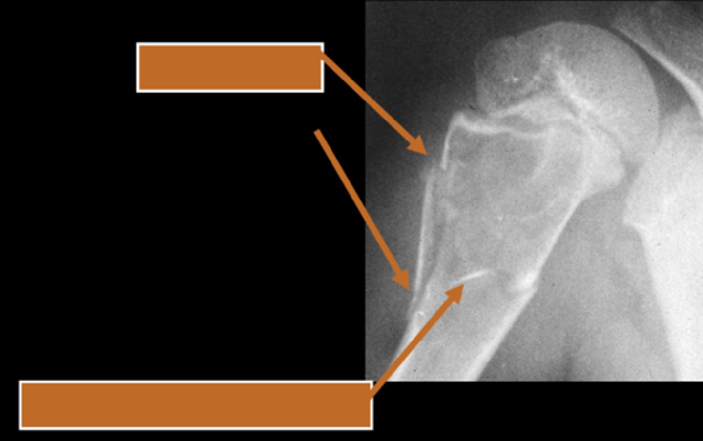
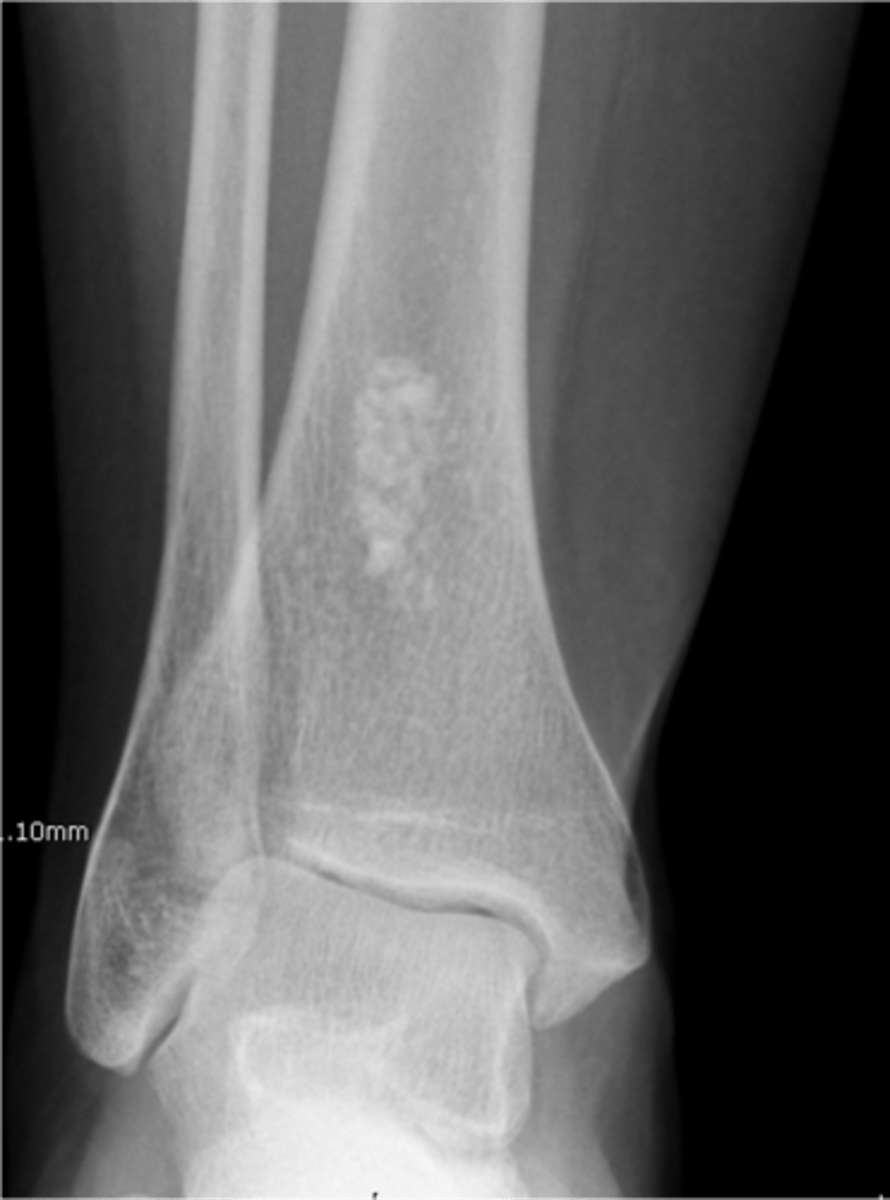
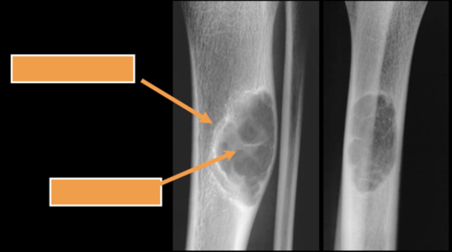
<p>State the imaging features of giant cell tumor</p>
5
New cards

Biopsy

We need to do a _____ to tell if giant cell tumor is benign or malignant

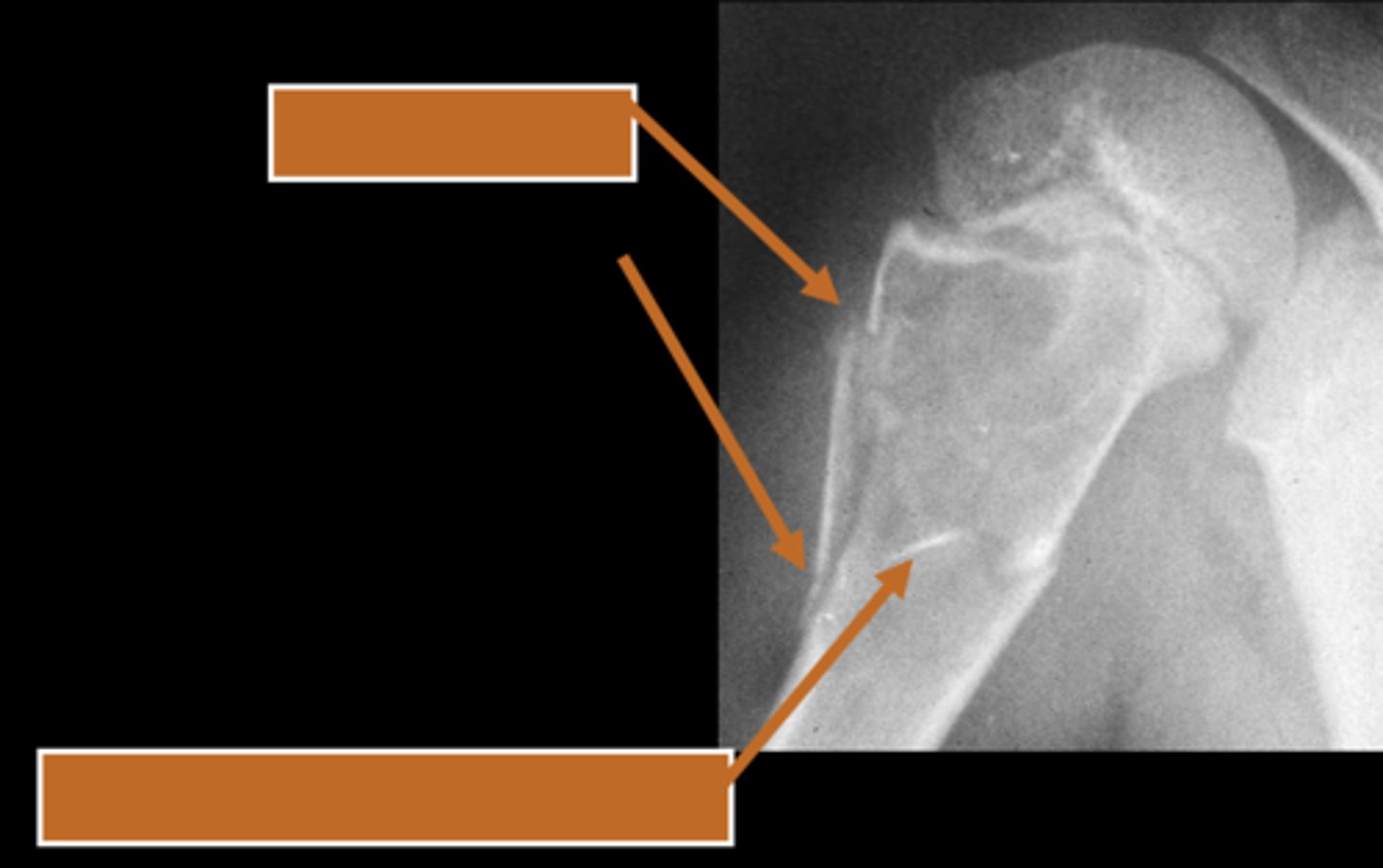
6
New cards

Solitary osteochondroma

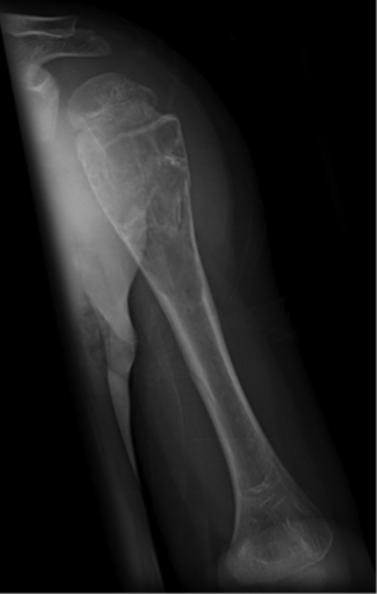
- Most common benign skeletal growth or tumor

- 50% of all benign bone tumors

- 10-15% of all primary bone tumors

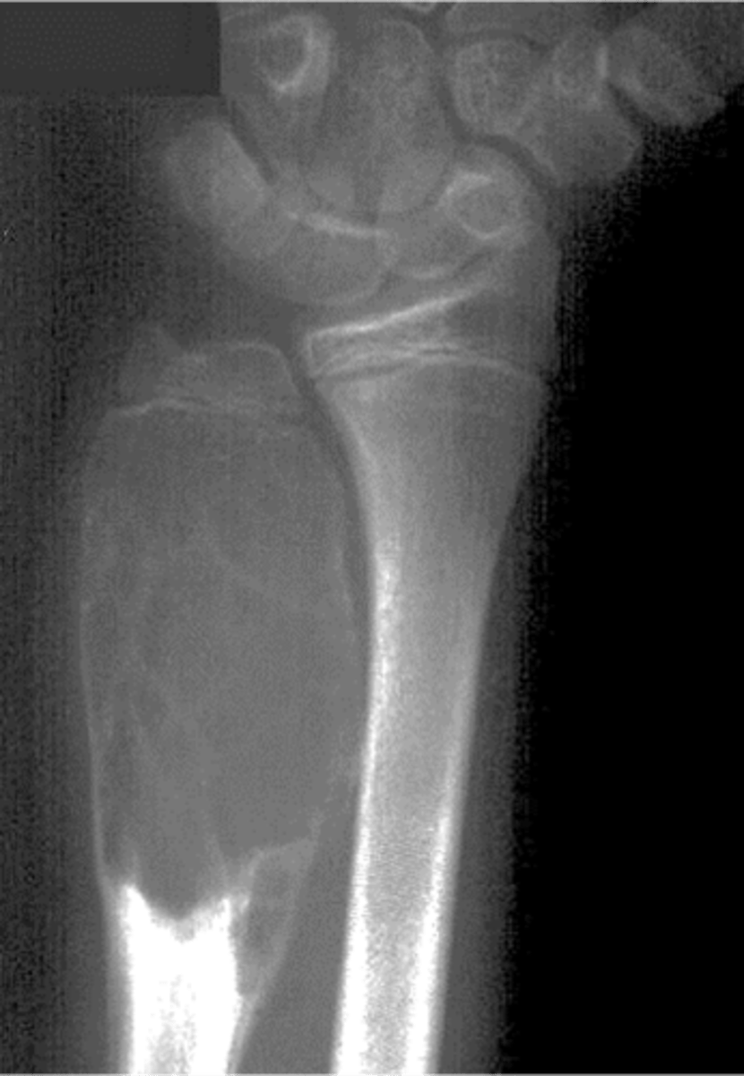
- 75% <20 y.o.

- M:F, 2:1

- Malignant transformation <1%

<p>- Most common benign skeletal growth or tumor</p><p>- 50% of all benign bone tumors</p><p>- 10-15% of all primary bone tumors</p><p>- 75% &lt;20 y.o.</p><p>- M:F, 2:1</p><p>- Malignant transformation &lt;1%</p>
7
New cards

- Mostly asymptomatic

- Painless, hard mass

- Stalk may fracture

- Pain and rapid growth = malignant transformation

State the clinical features of solitary osteochondroma

<p>State the clinical features of solitary osteochondroma</p>
8
New cards

Pedunculated

_____ solitary osteochondroma:

- Metaphyseal

- Thin, elongated stalk

- Cortex and medulla continuous

- Calcified cap

- Projects away from joint

- Lucent when en face (on end)

<p>_____ solitary osteochondroma:</p><p>- Metaphyseal</p><p>- Thin, elongated stalk</p><p>- Cortex and medulla continuous</p><p>- Calcified cap</p><p>- Projects away from joint</p><p>- Lucent when en face (on end)</p>
9
New cards

Sessile

_____ solitary osteochondroma:

- Broad-based

- Metaphyseal

- Wide, broad metaphysis

- Lucent when en face (on end)

- Cartilage cap uncommon

<p>_____ solitary osteochondroma:</p><p>- Broad-based</p><p>- Metaphyseal</p><p>- Wide, broad metaphysis</p><p>- Lucent when en face (on end)</p><p>- Cartilage cap uncommon</p>
10
New cards

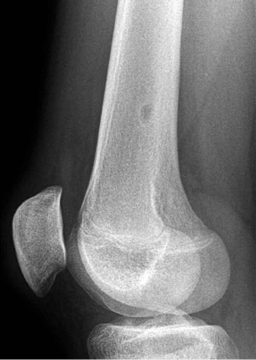
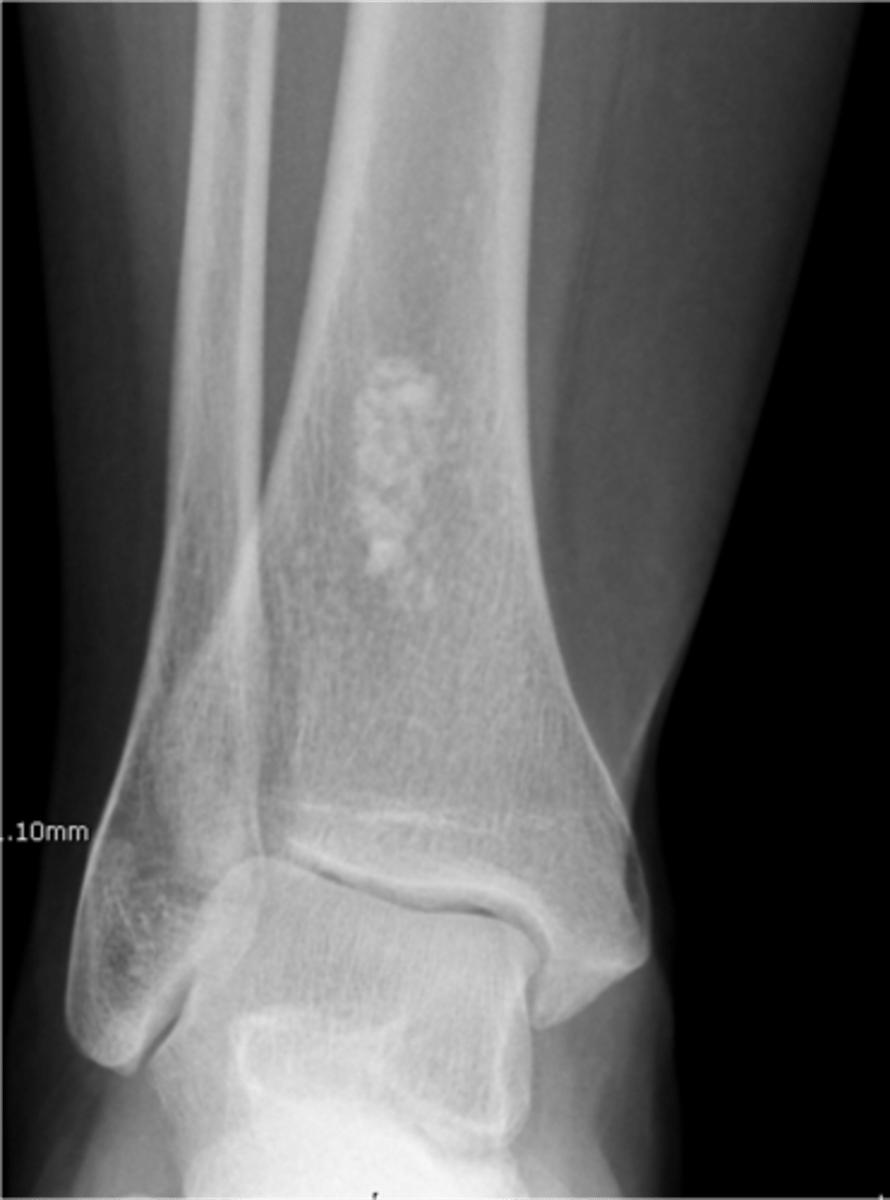
Cartilage cap

What is this?

<p>What is this?</p>
11
New cards

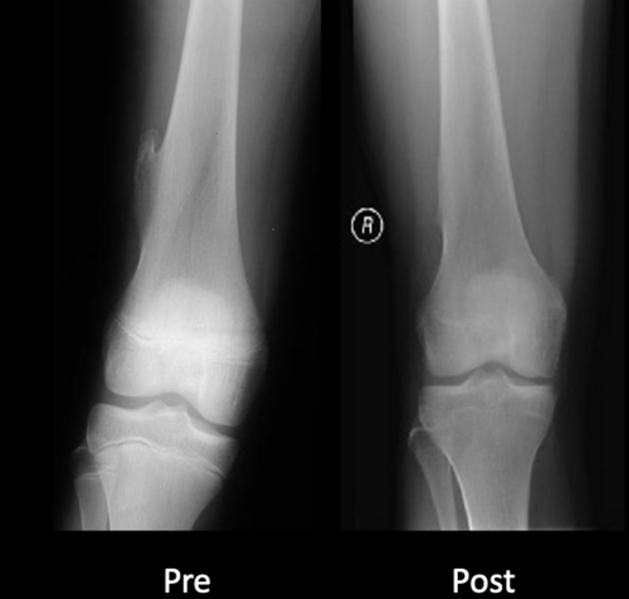
- Usually leave it alone

- Surgical removal if symptomatic

State osteochondroma treatments

<p>State osteochondroma treatments</p>
12
New cards

Patient will live

State osteochondroma prognosis

<p>State osteochondroma prognosis</p>
13
New cards

Hereditary multiple exostoses

- Inherited metaphyseal overgrowth

- Multiple painless osteochondromas

- Identical to solitary

- Discovered 2-10 y.o.

- Knee, ankle, shoulder, wrist

<p>- Inherited metaphyseal overgrowth</p><p>- Multiple painless osteochondromas</p><p>- Identical to solitary</p><p>- Discovered 2-10 y.o.</p><p>- Knee, ankle, shoulder, wrist</p>
14
New cards

5-25%

Hereditary multiple exostoses malignant transformation rate

<p>Hereditary multiple exostoses malignant transformation rate</p>
15
New cards

Bone island

- Any age

- Adults > children

- Asymptomatic

- Usually solitary

- Any bone (except skull)

<p>- Any age</p><p>- Adults &gt; children</p><p>- Asymptomatic</p><p>- Usually solitary</p><p>- Any bone (except skull)</p>
16
New cards

Enostoma/enostosis

Normal tissue in an abnormal area

<p>Normal tissue in an abnormal area</p>
17
New cards

- Epiphyseal, metaphyseal

- Medullary

- Round/oval

- Radiating border ("brush border")

- Radiodense

- May change size

- May be warm on bone scan

State the radiologic features of a bone island (enostoma/enostosis)

<p>State the radiologic features of a bone island (enostoma/enostosis)</p>
18
New cards

- Ischium

- Ilium

- Sacrum

- Proximal femur

- Humerus

- Vertebra

- Talus

- Scaphoid

State the locations for a bone island

<p>State the locations for a bone island</p>
19
New cards

No

Bone island pain

20
New cards

Solitary

Bone island number

21
New cards

Warm

Bone island bone scan

22
New cards

Any

Bone island age

23
New cards

Occasionally

Bone island change in size

24
New cards

Yes

Osteoblastic metastasis pain

25
New cards

Multiple

Osteoblastic metastasis number

26
New cards

Hot

Osteoblastic metastasis bone scan

27
New cards

>45

Osteoblastic metastasis age

28
New cards

Yes

Osteoblastic metastasis change in size

29
New cards

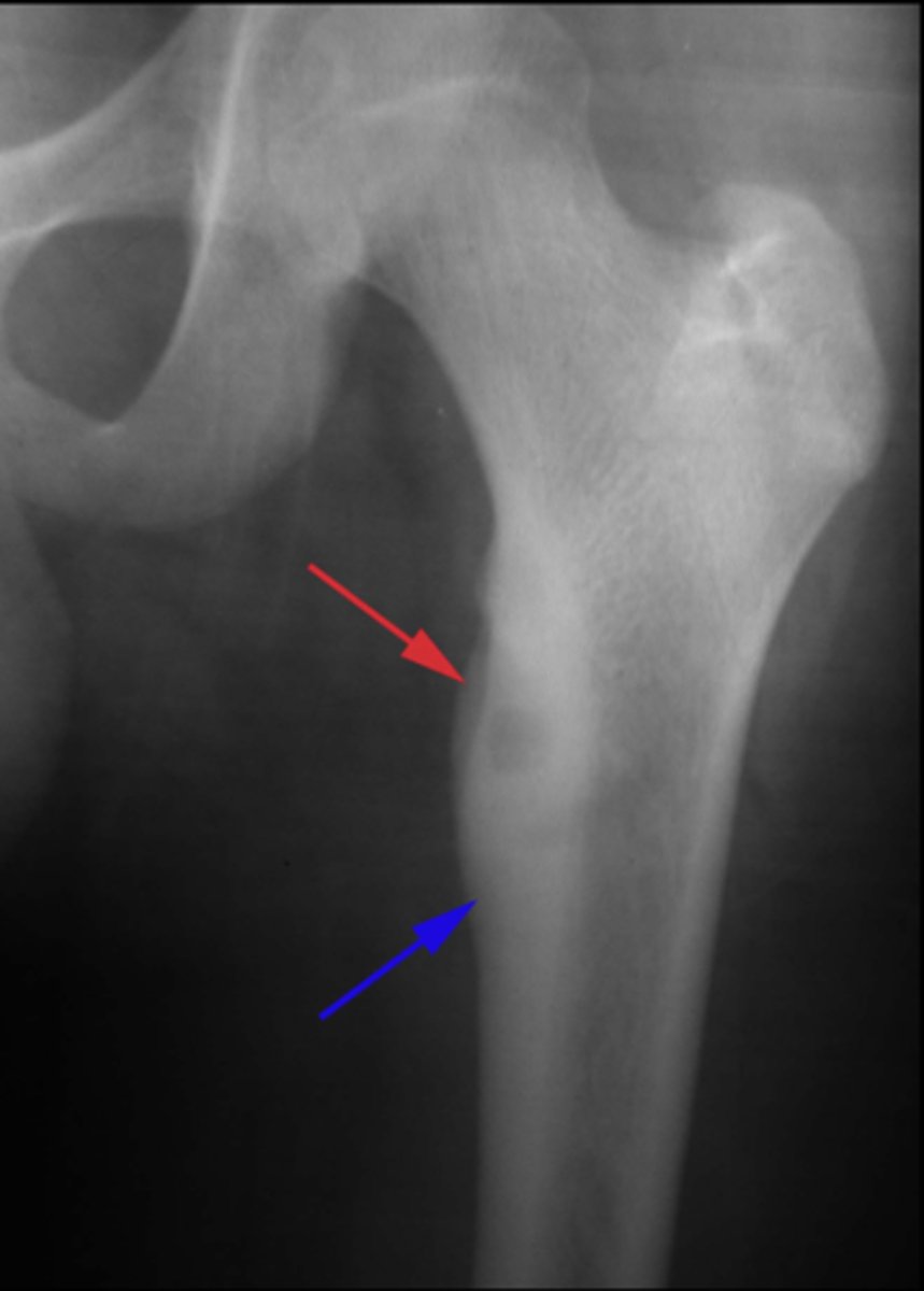
Giant bone islands

ID

<p>ID</p>
30
New cards

- Bone island

- Kidney stone*

22 y.o. male with L/S pain, post motor vehicle accident

- Differential diagnosis?

<p>22 y.o. male with L/S pain, post motor vehicle accident</p><p>- Differential diagnosis?</p>
31
New cards

Osteopoikilosis

Diagnosis?

<p>Diagnosis?</p>
32
New cards

Osteoid osteoma

- 11% of all benign bone tumors

- M:F, 2:1

- 10-25 y.o.

- Severe pain (worse at night)

- 50% femur and tibia

- 10% spine (neural arch)

<p>- 11% of all benign bone tumors</p><p>- M:F, 2:1</p><p>- 10-25 y.o.</p><p>- Severe pain (worse at night)</p><p>- 50% femur and tibia</p><p>- 10% spine (neural arch)</p>
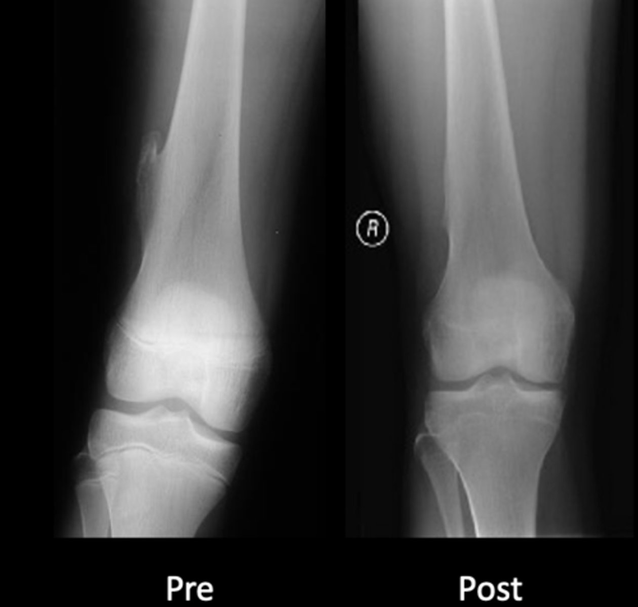
33
New cards

Aspirin

The severe pain caused by osteoid osteoma is relieved by _____

<p>The severe pain caused by osteoid osteoma is relieved by _____</p>
34
New cards

- Central radiolucent nidus <1 cm

- Surrounding sclerosis

- Central calcific fleck

- Metaphyseal and diaphyseal

- Positive bone scan

State the radiologic features of osteoid osteoma

<p>State the radiologic features of osteoid osteoma</p>
35
New cards

- 10% in spine

- Neural arch

- Painful scoliosis

- Dense

• Pedicle

• Lamina

• Facet

- Lesion on concave side

State the spinal radiologic features of osteoid osteoma

<p>State the spinal radiologic features of osteoid osteoma</p>
36
New cards

50%

_____ of osteoid osteoma occurs in the tibia or femur

<p>_____ of osteoid osteoma occurs in the tibia or femur</p>
37
New cards

Nidus

ID radiographic feature of osteoid osteoma

<p>ID radiographic feature of osteoid osteoma</p>
38
New cards

- CT

- Orthopedic referral

Osteoid osteoma follow-up:

- _____ demonstrates nidus

- _____

• Radiofrequency ablation

• Resection

• Watch and wait?

39
New cards

Osteoma

- Asymptomatic (can have headaches)

- Most common benign bone tumor of the nose and paranasal sinuses

<p>- Asymptomatic (can have headaches)</p><p>- Most common benign bone tumor of the nose and paranasal sinuses</p>
40
New cards

Osteoblastoma

- 10-20 y.o. (3-78 y.o. reported)

- M:F, 2:1

- Spine

• Painful scoliosis

• Posterior elements

- Femur, foot, ankle

• Nidus >2cm

<p>- 10-20 y.o. (3-78 y.o. reported)</p><p>- M:F, 2:1</p><p>- Spine</p><p>• Painful scoliosis</p><p>• Posterior elements</p><p>- Femur, foot, ankle</p><p>• Nidus &gt;2cm</p>
41
New cards

Vertebral hemangioma

- Solitary vascular neoplasm

- Slow growing

<p>- Solitary vascular neoplasm</p><p>- Slow growing</p>
42
New cards

- 2-3% of all spine tumors (radiographs)

- 11% of all spines (autopsy)

- Most common benign tumor of the spine

State the incidence of vertebral hemangioma

<p>State the incidence of vertebral hemangioma</p>
43
New cards

- First seen over 40 y.o.

- F>M

- Most asymptomatic

- 75% in spine and skull

- Lower thoracic and upper lumbar

- Vertebral body

• Extension into vertebral arch (10-15%)

State the clinical features of vertebral hemangioma

<p>State the clinical features of vertebral hemangioma</p>
44
New cards

- Vertical striations (corduroy cloth)

- Expansion (rare) may result in neurologic findings

- Skull ("sand dollar")

- Paravertebral swelling

State the radiographic features of vertebral hemangioma

<p>State the radiographic features of vertebral hemangioma</p>
45
New cards

Expansile

_____ vertebral hemangioma

<p>_____ vertebral hemangioma</p>
46
New cards

- Left: Paget Disease

- Middle: Vertebral hemangioma

- Right: Osteoporosis

Complete the DDx for vertebral hemangioma

<p>Complete the DDx for vertebral hemangioma</p>
47
New cards

- M=F

- 10-30 y.o.

- Hands and feet

- Usually painless

- Most common benign tumor of hand

- 10% of all benign bone tumors

- <1% malignant transformation

State the clinical features of solitary enchondroma

<p>State the clinical features of solitary enchondroma</p>
48
New cards

- Central

- Geographic

- Metaphyseal and diaphyseal

- Endosteal scalloping

- Cortical thinning/expansion

- Stippled calcification (50%)

State the radiographic features of solitary enchondroma

<p>State the radiographic features of solitary enchondroma</p>
49
New cards

Matrix calcification

ID feature of solitary enchondroma

<p>ID feature of solitary enchondroma</p>
50
New cards

Endosteal scalloping

ID feature of solitary enchondroma

<p>ID feature of solitary enchondroma</p>
51
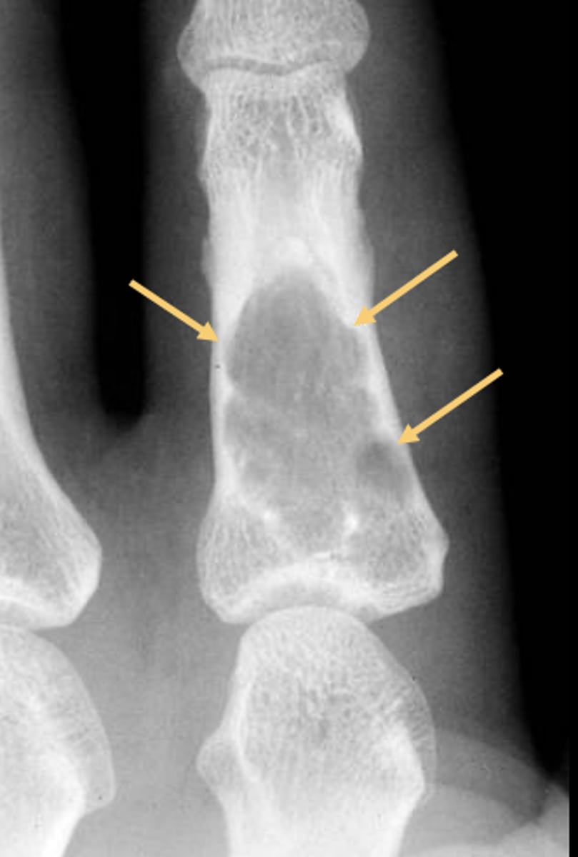
New cards

Multiple enchondromas

ID benign tumor

<p>ID benign tumor</p>
52
New cards

Ollier's disease

- Multiple enchondromas

- Malignant transformation (10-50%)

<p>- Multiple enchondromas</p><p>- Malignant transformation (10-50%)</p>
53
New cards

Maffucci's syndrome

- Rare

- Multiple enchondromas

- Soft tissue hemangiomas

- Malignant transformation (25-50%)

<p>- Rare</p><p>- Multiple enchondromas</p><p>- Soft tissue hemangiomas</p><p>- Malignant transformation (25-50%)</p>
54
New cards

Non-ossifying fibroma

- Kids (<20 y.o.)

• Fibrous cortical defect (older term)

• Younger patient and smaller <2-3 cm

- M:F, 2:1

- Lower extremities

- Present in 30-40% of normal children

- Most asymptomatic (unless pathologic fracture)

<p>- Kids (&lt;20 y.o.)</p><p>• Fibrous cortical defect (older term)</p><p>• Younger patient and smaller &lt;2-3 cm</p><p>- M:F, 2:1</p><p>- Lower extremities</p><p>- Present in 30-40% of normal children</p><p>- Most asymptomatic (unless pathologic fracture)</p>
55
New cards

8 cm

Larger non-ossifying fibroma lesions >_____ may fracture

<p>Larger non-ossifying fibroma lesions &gt;_____ may fracture</p>
56
New cards

- Distal tibia

- Distal femur

- Proximal tibia

- Humerus

- Fibula

- Bones of the lower extremity (80-90%)

State the common locations for non-ossifying fibroma

<p>State the common locations for non-ossifying fibroma</p>
57
New cards

- Solitary

- Eccentric

- Geographic

- Multiloculated

- No malignant transformation

State the radiographic features of non-ossifying fibroma

<p>State the radiographic features of non-ossifying fibroma</p>
58
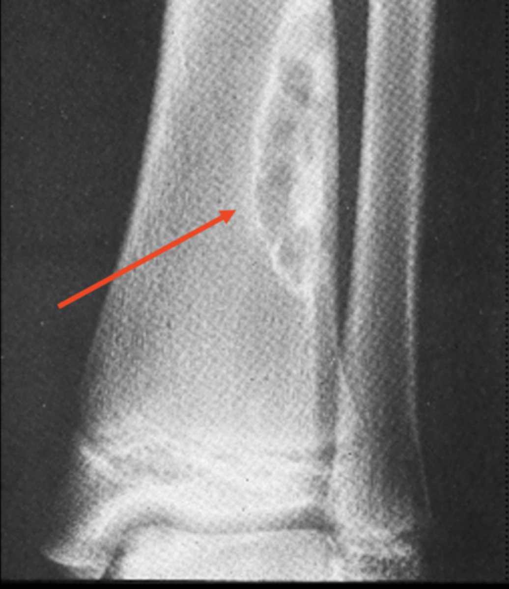
New cards

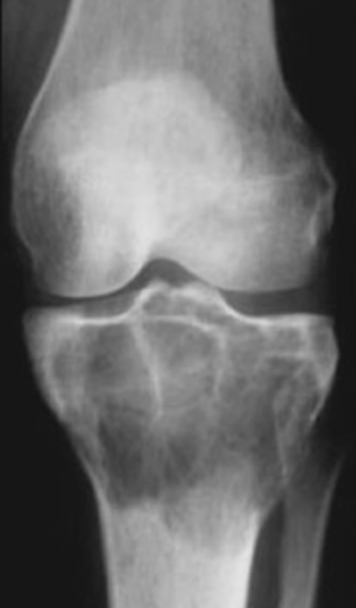
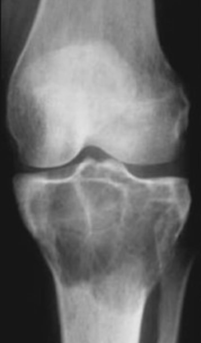
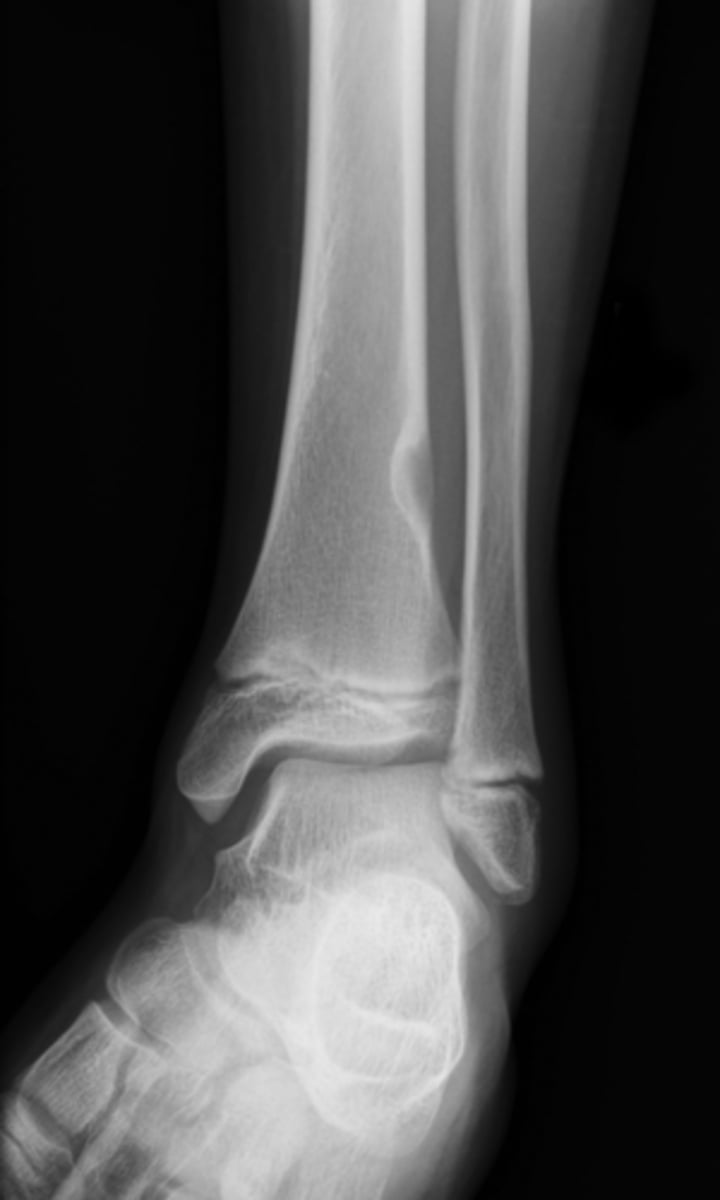
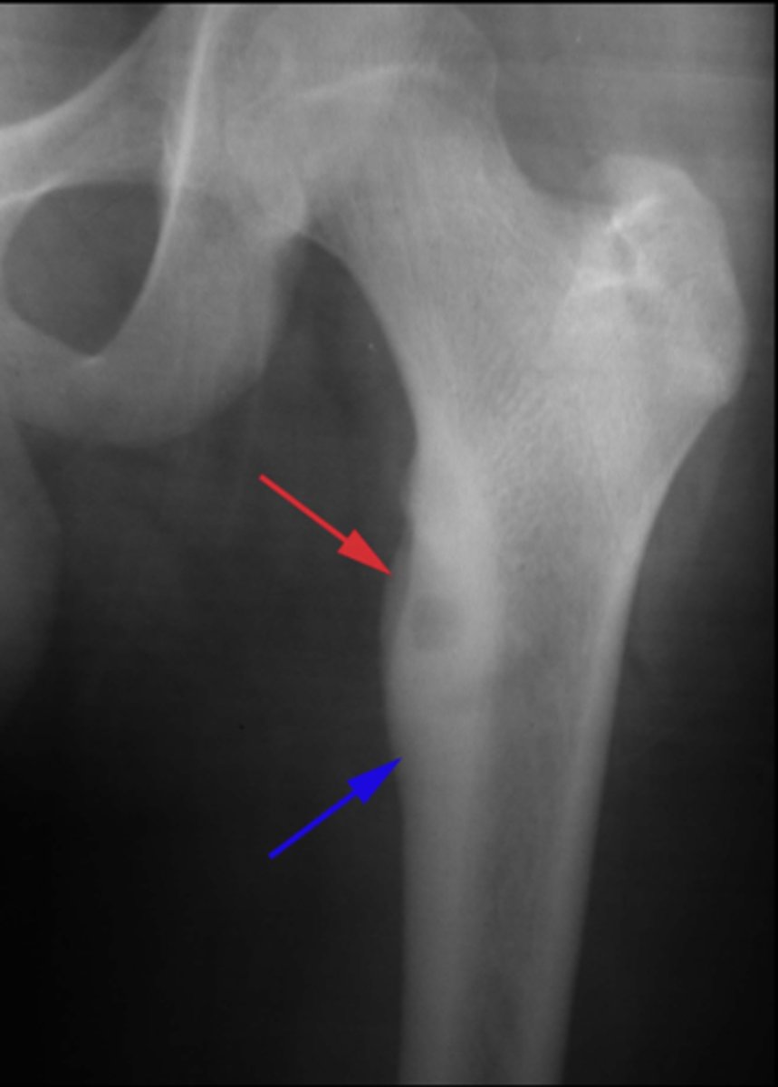
Geographic bone blister

ID radiographic feature of non-ossifying fibroma indicated by top arrow

<p>ID radiographic feature of non-ossifying fibroma indicated by top arrow</p>
59
New cards

Septations

ID radiographic feature of non-ossifying fibroma indicated by bottom arrow

<p>ID radiographic feature of non-ossifying fibroma indicated by bottom arrow</p>
60
New cards

Pathologic fracture

Non-ossifying fibroma with _____

<p>Non-ossifying fibroma with _____</p>
61
New cards

Simple bone cyst

- M:F, 2:1

- 3-14 y.o.

- Asymptomatic until fracture

- Proximal humerus (50%)

- Proximal femur (25%)

- Metaphyseal

- Migrate from physis with growth

<p>- M:F, 2:1</p><p>- 3-14 y.o.</p><p>- Asymptomatic until fracture</p><p>- Proximal humerus (50%)</p><p>- Proximal femur (25%)</p><p>- Metaphyseal</p><p>- Migrate from physis with growth</p>
62
New cards

- Mildly expansile

- Geographic

- Pseudoloculated

- Metaphyseal

- Central

- 30-40% recurrence

State the radiographic features of simple bone cyst

<p>State the radiographic features of simple bone cyst</p>
63
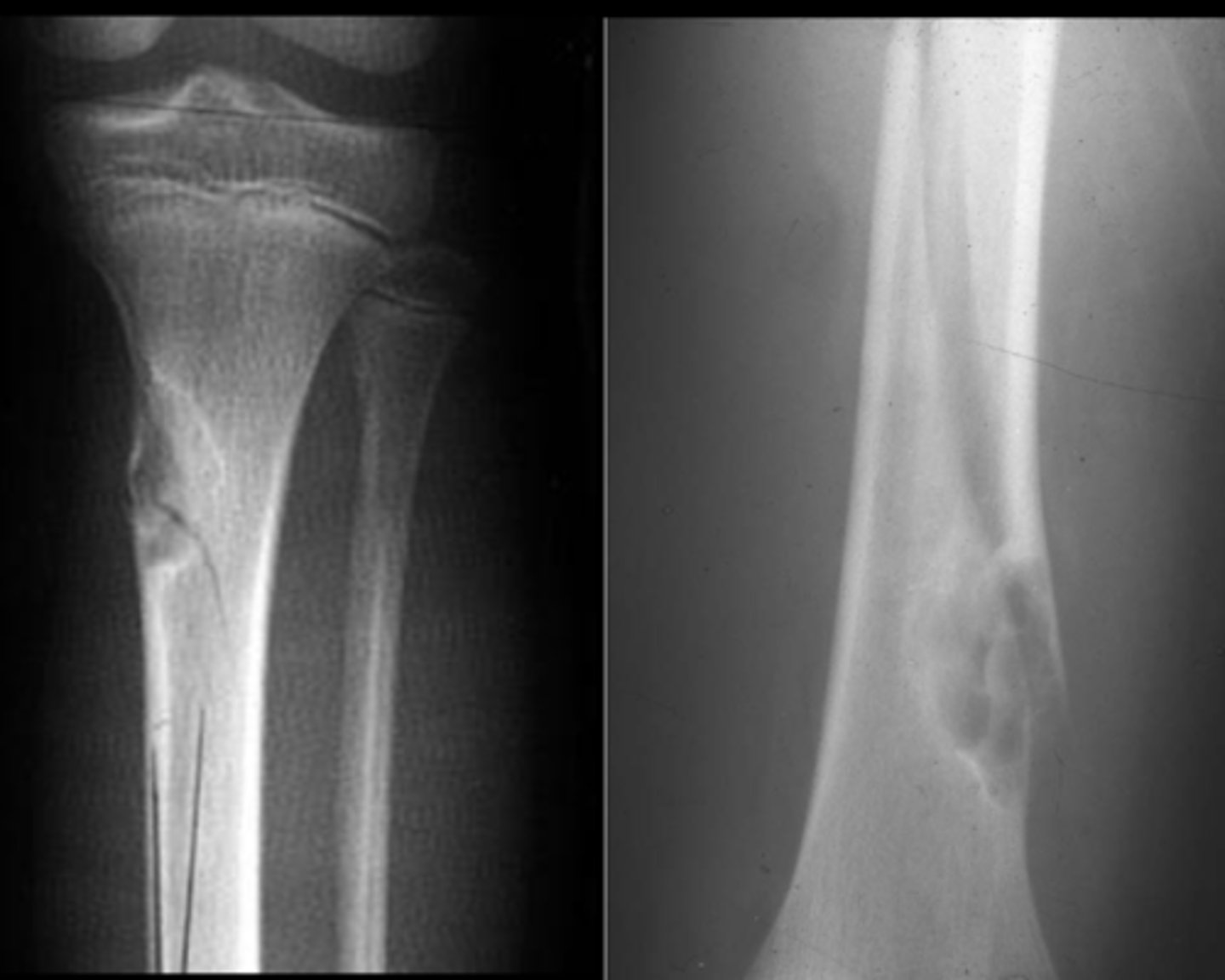
New cards

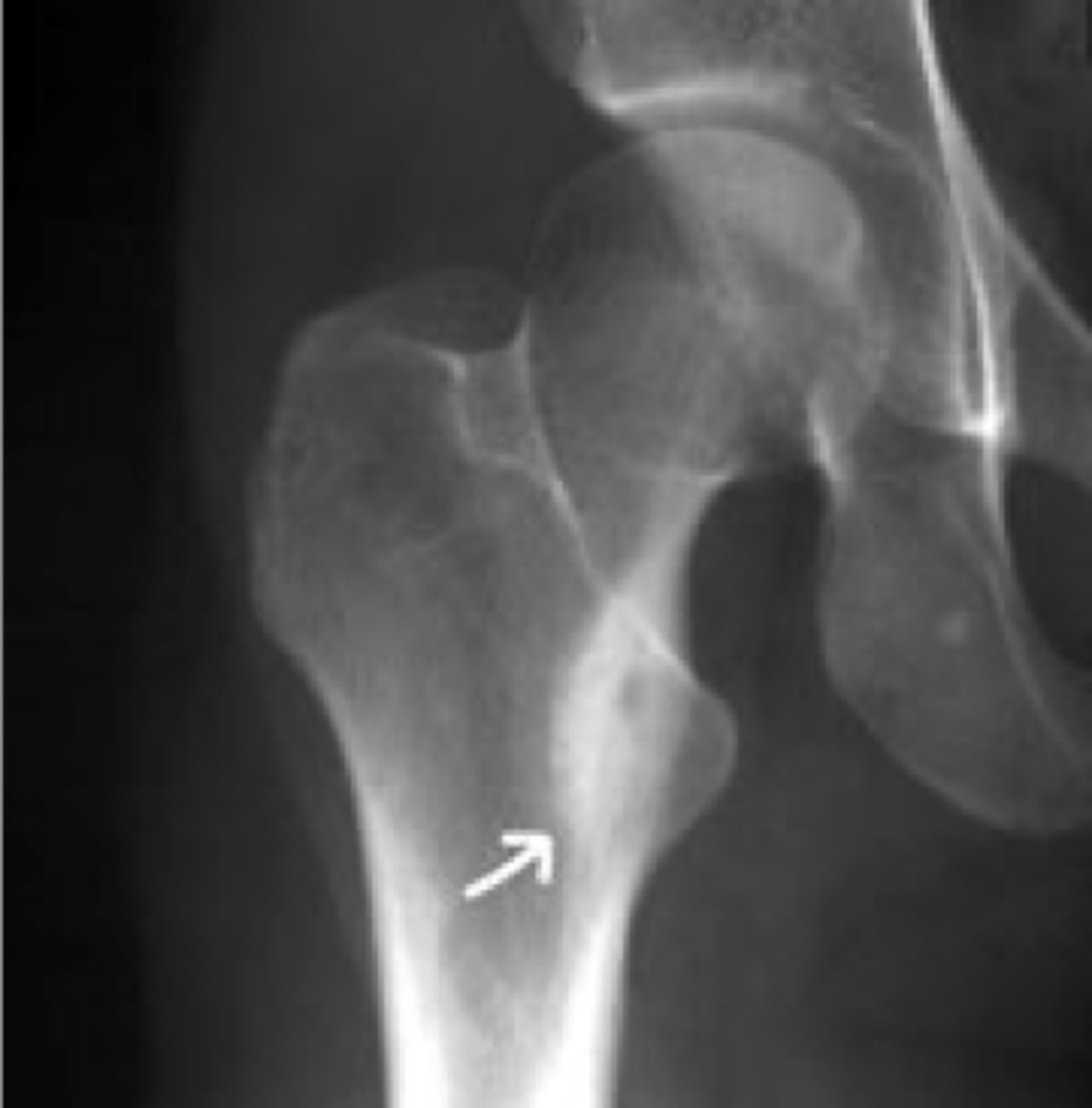
Pathologic fracture

ID radiographic feature of simple bone cyst indicated by the top arrow

<p>ID radiographic feature of simple bone cyst indicated by the top arrow</p>
64
New cards

Fallen fragment sign

ID radiographic feature of simple bone cyst indicated by the bottom arrow

<p>ID radiographic feature of simple bone cyst indicated by the bottom arrow</p>
65
New cards

Fallen fragment sign (10%)

- Cortex broke off

- Pathognomonic

<p>- Cortex broke off</p><p>- Pathognomonic</p>
66
New cards

Aneurysmal bone cyst

- 1% of biopsied primary bone tumors

- M:F, 2:3

- 5-20 y.o.

- Acute pain

- Previous trauma

- 80% tubular bones and spine

<p>- 1% of biopsied primary bone tumors</p><p>- M:F, 2:3</p><p>- 5-20 y.o.</p><p>- Acute pain</p><p>- Previous trauma</p><p>- 80% tubular bones and spine</p>
67
New cards

- Eccentric

- Metaphyseal

- Osteolytic with fine trabeculae

- Saccular ballooning of cortex

- May cross epiphysis

- Periosteal buttressing

State the radiographic features of aneurysmal bone cyst in tubular bones

<p>State the radiographic features of aneurysmal bone cyst in tubular bones</p>
68
New cards

Fluid-Fluid Levels

- Most compatible with aneurysmal bone cyst

- Also seen in giant cell tumors, simple bone cysts, and telangiectatic osteosarcoma

<p>- Most compatible with aneurysmal bone cyst</p><p>- Also seen in giant cell tumors, simple bone cysts, and telangiectatic osteosarcoma</p>
69
New cards

Intraosseous lipoma

- M=F

- 5-70 y.o.

- Asymptomatic

- Central target sequestrum

- Calcaneus

- Tibial metaphysis

- Fibular metaphysis

<p>- M=F</p><p>- 5-70 y.o.</p><p>- Asymptomatic</p><p>- Central target sequestrum</p><p>- Calcaneus</p><p>- Tibial metaphysis</p><p>- Fibular metaphysis</p>
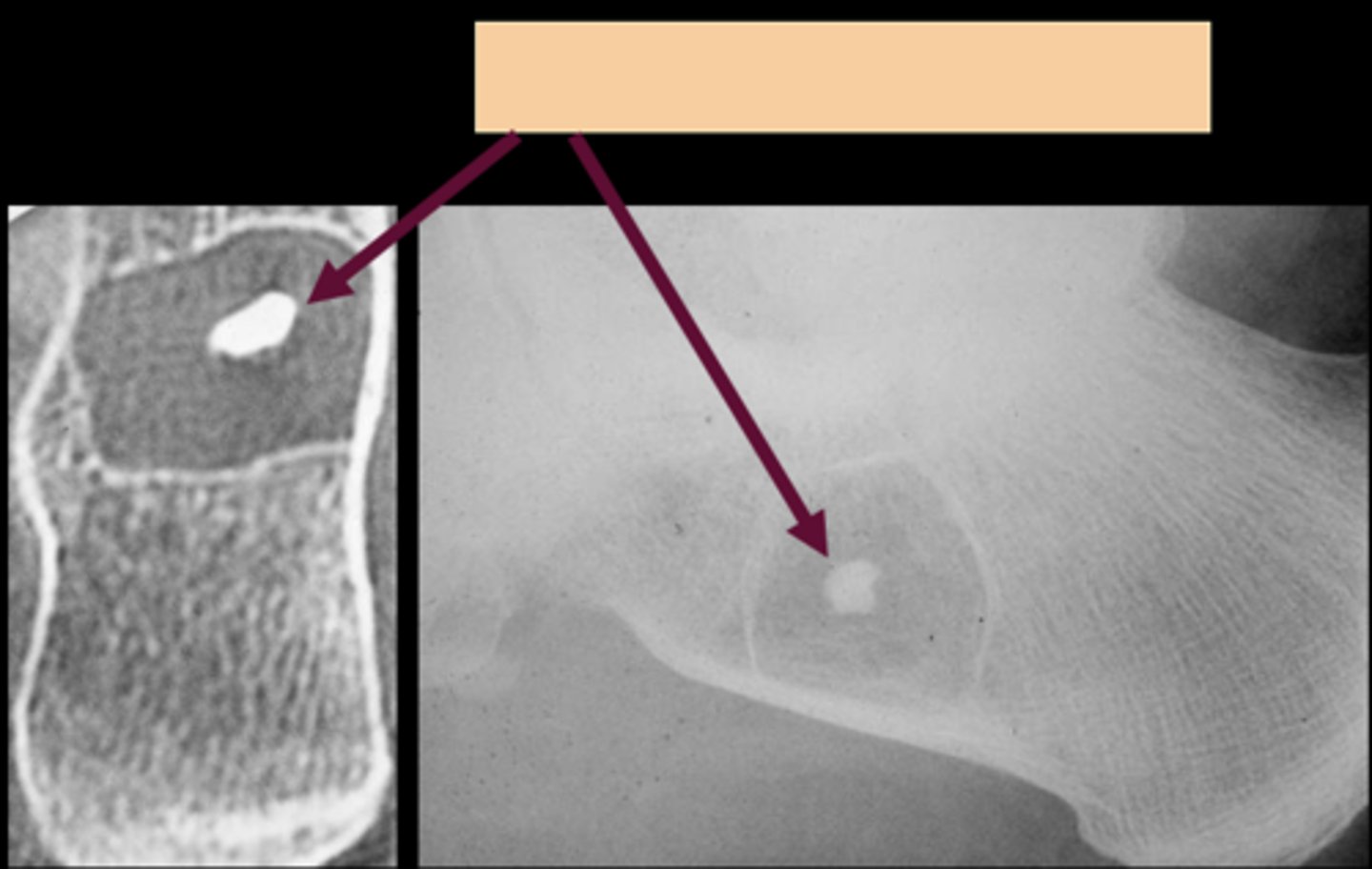
70
New cards

Target sequestrum

ID sign of intraosseous lipoma

<p>ID sign of intraosseous lipoma</p>
71
New cards

Langerhans Cell Histiocytosis

Eosinophilic granuloma is a type of _____

<p>Eosinophilic granuloma is a type of _____</p>
72
New cards

Eosinophilic granuloma

- <20 y.o. (peak 5-10 y.o.)

- Skull, mandible, pelvis, spine

- Monostotic > polyostotic

<p>- &lt;20 y.o. (peak 5-10 y.o.)</p><p>- Skull, mandible, pelvis, spine</p><p>- Monostotic &gt; polyostotic</p>
73
New cards

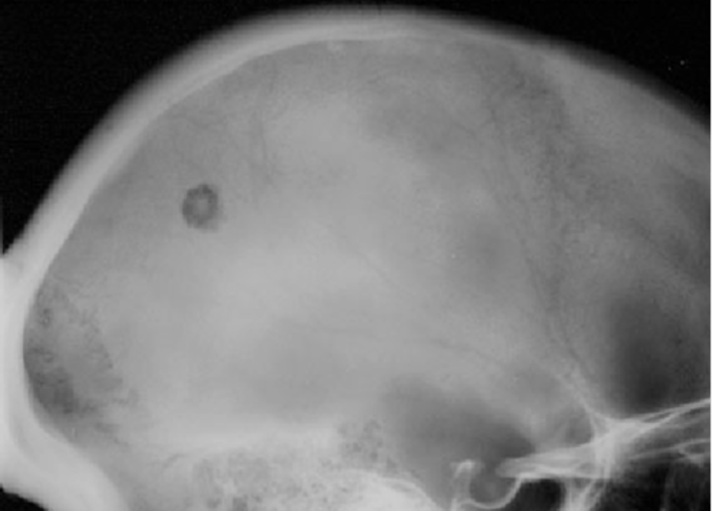
Beveled edge

ID radiographic feature of eosinophilic granuloma in the skull

<p>ID radiographic feature of eosinophilic granuloma in the skull</p>
74
New cards

Button sequestrum

ID radiographic feature of eosinophilic granuloma in the skull

<p>ID radiographic feature of eosinophilic granuloma in the skull</p>
75
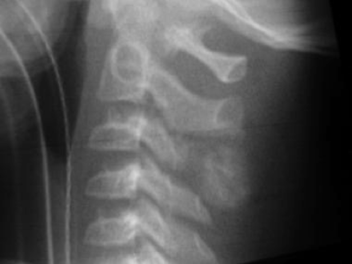
New cards

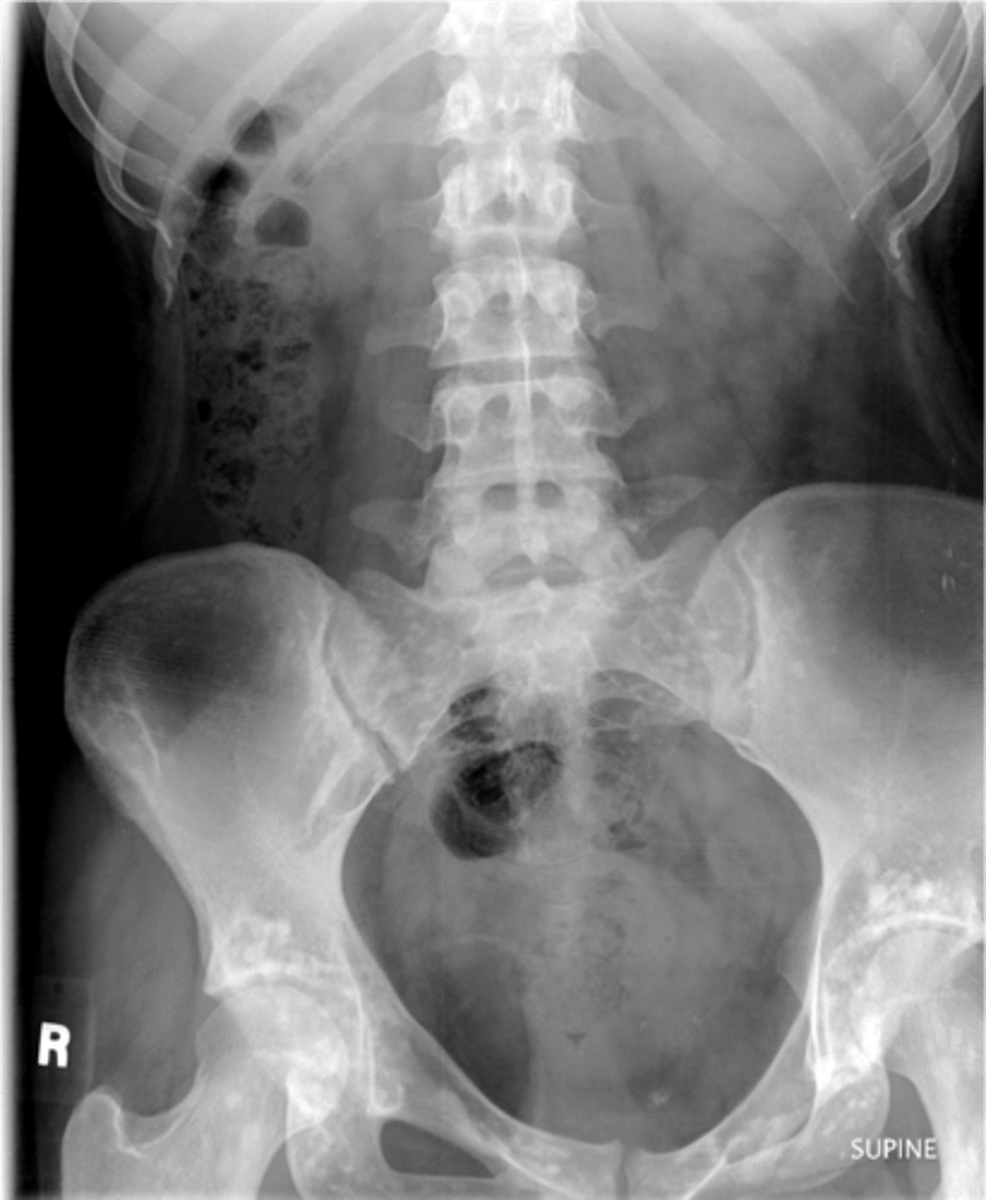
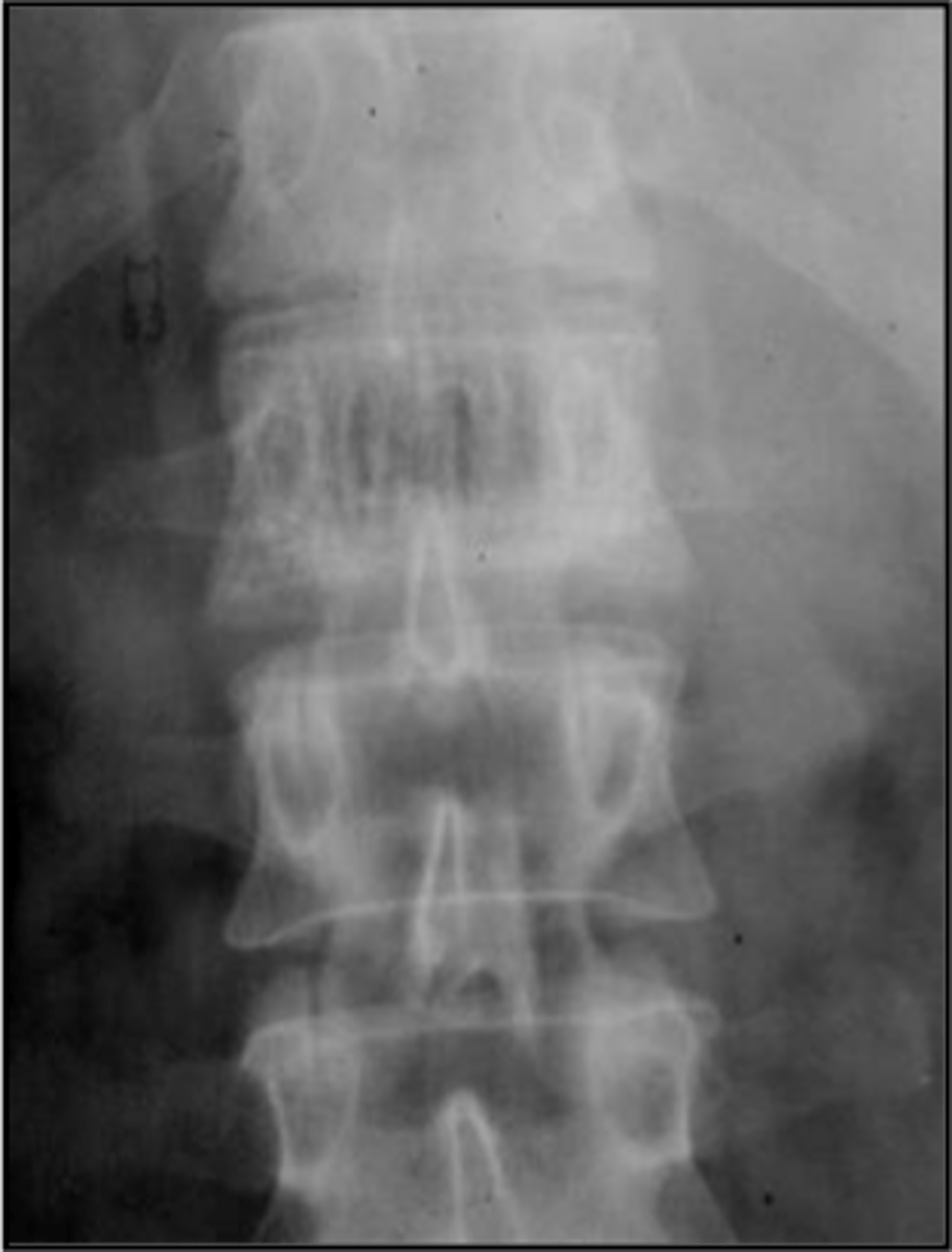
Eosinophilic granuloma in the spine

ID benign tumor

<p>ID benign tumor</p>