1/114
Looks like no tags are added yet.
Name | Mastery | Learn | Test | Matching | Spaced |
|---|
No study sessions yet.
what is the specifc nucleus of the hypothalamus where the GnRH releasing neurons live?
pre-optic nulceus
whihc ovary products feedback and do a negative feedback loop?
inhibin A
inhibin B
estradiol
progesterone
do the negative feedback products work at the level of :
a) hypothalamus
b) pituitary gland
c) both
both

is the positive feedback mechanism always present?
no, it only happens during certain phases of the menstrual cycle
— and — regulate oviduct (fallopian tubes) physiology and morphology
estradiol and progesterone
Implantation in the uterus happens after the embryo reaches the — stage
blastocyst
what 3 I’mportant things happen in the oviduct
gamete transport (egg goes out from ovary, sperm travels up there)
site of fertilization
site of first few cleavages
in the uterus, you have one layer called the endometrium, which is tightly regulated by
estrogen and progesterone, and by extension, the hypothalamus
Folliculogenesis is the process by which —- in the ovary
ovarian follicles develop and mature
in the medulla area of the ovary, we have mostly
capillaries

where in the ovary does folliculogenesis occur?
a) medulla
b) cortex
B) cortex

t or f
in the ovary, you can find follicles in all different states of development
true, its staggered
—- are recruited cyclically to undergo folliculogenesis
primordial follicles (from the pool)
where do the primordial follicles come from?
they come from primordial germ cells which were in the yolk sac and migrated to the gonadal ridge
okay remember oocytes and follicles have 2 different naming systems so:
when the primordial germ cells migrate to the gonadal ridge, there’s no follicle yet, we don’t call them primordial follicles yet, we call them —-
oogonia
between weeks 6-10, this is when oogonia —- like crazy
do mitosis like crazyyyy, this is the time when it’s making all the eggs for LIFE it can never go back and do mitosis again
what is happening between weeks 10-16?
some oogonia are still doing mitosis
but little by little, some oogonia are being recruited to enter meiosis 1
when an oogonia enters meiosis 1, it is now called a —-
primary occyte
The moment an oogonium starts meiosis I, it becomes a primary oocyte, This happens before any—-
follicle forms around it
the somatic cells of the gonadal ridge are differentiating into —- around the same time that oogonia enter meiosis 1
pre-granulosa cells
As the primary oocytes appear, these pre-granulosa cells organize around each primary oocyte, forming individual “packets” called —
the follicles
aka a primordial follicle at this stage
Each primordial follicle has a primary oocyte arrested in —
prophase I
there are 2 fates of the pool of primordial follicles between BIRTH and PUBERTY
1st option:
They stay quiescent (metabolically quiet/dormant) in the ovarian cortex, waiting for hormonal signals from puberty to be recruited
they just stay in prophase 1 in the pool
what is the second fate from birth to puberty
atresia
there are 2 parts to a primordial follcile:
one oocyte arrested in prophase 1
flat granulosa cells surrounding it
okay so from birth to puberty, at what stage are the follciles when they undergo atresia?
secondary follcile
so explain how these primoridal follciles undergo atresia from birth to puberty
every month, a few primordial follicles are “recruited” to turn into primary follicles
then secondary follicles
then atresia

what is the name of this “phase” of development/atresia that is happenign between birth and puberty?
gonadotropin-independant pre-antral follicle growth
so what is a primary follicle?
its called that when:
the oocyte has increased in size
the granulosa cells have become cuboidal instead of flat
whats the difference between a primary and secondary follcile?
more granulosa cell layers
appearance of thecal cells
after ovulation, the granulosa cells undergo a process called —- to form the —
luteogenesis to form the corpus luteum
after secondary follcile, whats the next stage?
antral follcile where you get pockets of follicular fluid
after antral follcile, what stage?
pre-ovulatory follicle
okay so just for completeness, name the stages of folliculogenesis
primoridla follicle
primary follcile
secondary follicle
antral follicle
pre- ovulatory
ovulation
corpus luteum formation
, the period before ovulation is characterized by — dominance,
oestrogen
the period after ovulation is characterized by — dominance
progestagen

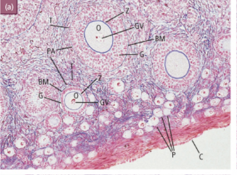
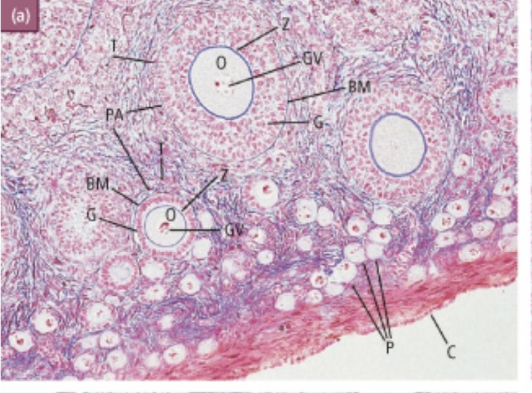
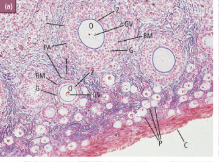
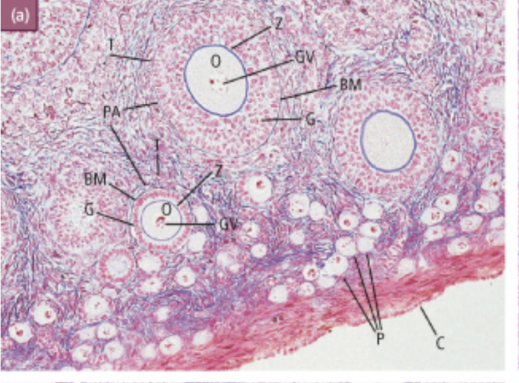
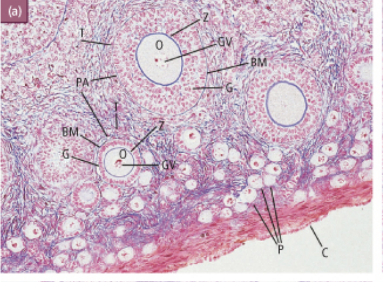
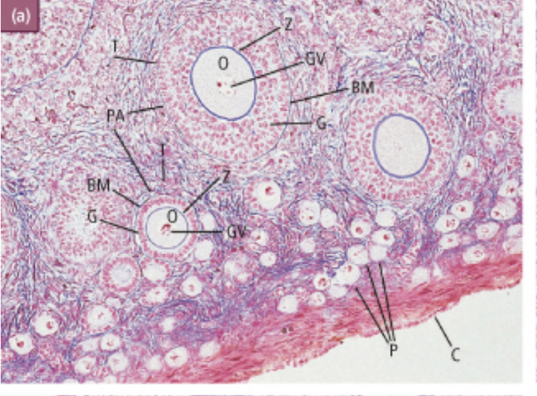
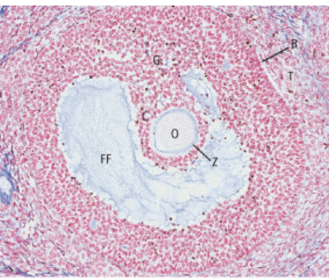
P
primordial follciles

c
coloemic epithelium

O
oocye

GV
nucleus

Z
zona pellucida

BM
basement membrane

FF
folicular fluid in antrum

C
cumulus granulosa cells

B
basemement membrane
where is the vascularity inside the thecal cells?
in the theca interna only I think

in the pre-ovulatory phase, with the fully formed antrum, descibe the state of the granulosa cells
there’s some nearby the oocyte: cumulus cells
some are pushed near the edge: mural cells

The zona separates the oocyte from the surrounding granulosa cells, but are they fully seprated?
No, there are those trasnzonal processes
where does follicular fkuid come from?
granulosa cell secretions
Positive recruitment of primordial follicles into primary follciles seems to involve — expressed by granulosa cells and —- expressed on the oocyte
kit-ligand
its receptor kit
BMPs and GDG (growth differentiationg fcators) are part of what super family?
transforming growth factor β (TGFβ)

removal of the pituitary (hypophysectomy) prevents the completion of —
antral follicle development.
same if you have no gonadotropins*

atresia is rescued by— and —
follicle-stimulating hormone (FSH) and luteinizing hormone (LH)
t or f
FSH alone is sufficient for initial follicular growth, but LH assists further antral expansion
true
like its talking about growth in the gonadotropin dependnt phase
only the cells of the—- bind LH
theca interna
only the — bind FSH
granulosa cells
The antral follicles produce increasing amounts of steroids as they grow under the influence of the —
gonadotrophins.
Antral follicles also account for 30–70% of the circulating — found in women
androgens
what androgens are antral follciles producing?
androstenedione and testosterone
which part of the antral follcile makes andorgens?
thecal cells
the synthesis of androgens from cholestrrol in thcal cells is greatly stimuated by —
LH
t or f
Only very limited oestrogen synthesis by thecal cells is possible
t
If the granulosa cells are supplied with exogenous androgens, they possess enzymes that will readily convert them to —
oestrogens
s granulosa mediated aromatization of androgens to oestrogens is stimulated by —
FSH
T or f
The granulosa cells, in contrast, are incapable of forming androgens.
cautiously, I’m saying true, but this is just what the textbook says, this might just be at certain stages**
androgens stimulate aromatase activity, thereby promoting—
oestrogen synthesis.
Thus, the rising thecal output of androgens fuels a massive increase in —-
estrogen
there is a big surge in — from the most advanced follicle(s) towards the end of antral expansion
estrogen
Daily monitoring of oestrogen levels therefore provides a good guide to the state of—
maturity of the most mature follicles
in females carrying mutations that prevent oestrogen synthesis or binding to receptors, follicular development arrests in the —
antral stages.
aka they can’t ovulate
The— is the Postovulatory ‘Follicle’
Corpus Luteum
normal levels of estrogen act in a —- manner
negative feedback
extremely high levels of esrtogen (200–400%) act in a — manner
positive feedback
The inhibins A and B act to decrease — secretion
FSH
when does the zona pellucida appear?
I don’t think its there when its a primordial follicle but appears when its a primary follicle
at what stage does it finish meiosis 1?
I think it’s somehwere in between the antral phase and the graffian phase
during the graffian phase (pre-ovulatory) it should be fully done meiosis 1 and now you have the secondary oocyte and the polar body
the steroidogenic cells are the —
granulosa cells
theca interna cells
the hormones produced form the ovarian cycle, orchestrates the —
uterine cycle
the hormones produced by the granulosa cells during the follicular phase will promote proliferation of—-
endometrial cells (lining gets thicker)

Once the ovarian cycle enters the luteal phase, lots of progesteorne is being made, this increase in progesterone does what to the uterine cycle?
it takes the endometrial cells out of “proliferation mode”
puts them into “secretory mode”
what are the endometrial cells from the uterine cycle actually “secreting”?
nutrients
not progestrerone
not blood
whats the fancy term enrrico used for what the endometrium secretes?
histotrophic nutrition (glycogen, lipids, etc)
specifically, what is the ratio of hormone sin the follicular phase that cause the uterus to be in proliferative phase?
high estrogen
low progestrone


why are estrogen and progestrone low at “day 1”
because basically at the end of the previous cycle, when there was no embryo, they drop a lot, so they’re still low
what causes menses?
the low drop in estrogen and progestrone c=from the previous cycle not getting an embryo

why is there a sudden drop in estrogen after ovulation?
BECUASE the granulosa cells basically get blown up, so they’re not producing estrogens anymore
AND what’s more, the granulosa cells start lutenizing so they become the corpus luteum now
what ratio of estrogen and progestrone induces the secretory phase of the uterus?
high progestrone
relatively high estrogen (but lower than P)

what are the stages of the secretory phase?
early
mid
late
what is the ONLY stage at which the embryo/blastocyst can implant into the uterus?
the mid-secretory phase
if no embryo is implanated, in the mid-secretory phase, then what happens?
we start getting luteolysis (breakdown of corpus luteum)
THIS IS WHY WE GET LESS PROGESTERONE in the late secretrory phase!!!
I think it’s also lack of hCG that triggers luteolysis

However, if an embyro is implanted, what hormone is produced?
hCG
I was confused because I thought this came from the placenta
BUT the placental cells (trophoblast) come from the embryo
how/why does progestrorne secretion continue if an embryo implants?
embryo produces hCG
hCG is an LH mimic
it makes the corpus lutuem continue to produce progestrone
primordial follicle survival is independant of —-
FSH and LH
why is it independant?
rememeber, now we are back at the persceptive of a growing fetus, so the fetus does not yet have fucntioning FSH/LH
inside a primoridla follicle NUCLEUS , there are —
transcription factors
what are these TFs doing?
they are keeping the oocyte ARRESTED in meiosis 1
what are the names of these 2 TFs
FOXO3A
LHX8

in the primordial follicle, what is happening in the flat granulosa cells (moeluclar part)
there is a protein called TSC ½
it is inhibiting the mTORC pathway in granulosa cells

is TSC also in the oocyte?
yes, TSC is in the granulosa cells AND the CYTOPLASM of the oocyte
in both cases it is inhibiting the mTORC pathway

what is the mTORC pathway?
its for CELL GROWTH
so this makes perfect sense, we inhibit it, until we want it to grow