Lab 10 - Gross and Microscopic Anatomy of Arterial System

0.0(0)
studied byStudied by 0 people
full-widthCall with Kai
GameKnowt Play
learnLearn
examPractice Test
spaced repetitionSpaced Repetition
heart puzzleMatch
flashcardsFlashcards
Card Sorting

1/221

encourage image

There's no tags or description

Looks like no tags are added yet.

Study Analytics
Name
Mastery
Learn
Test
Matching
Spaced

No study sessions yet.

222 Terms

1
New cards

Arteries

Vessels that carry blood away from the heart (usually oxygen-rich)

2
New cards

Arteries

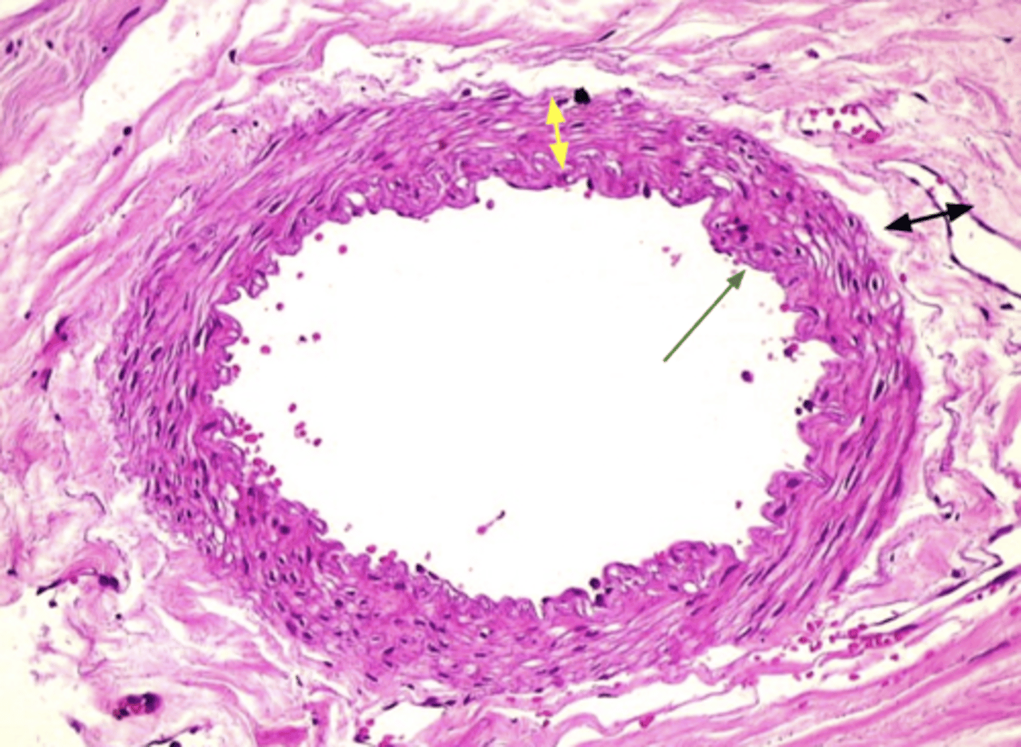
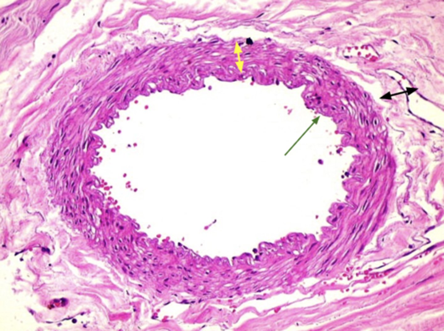
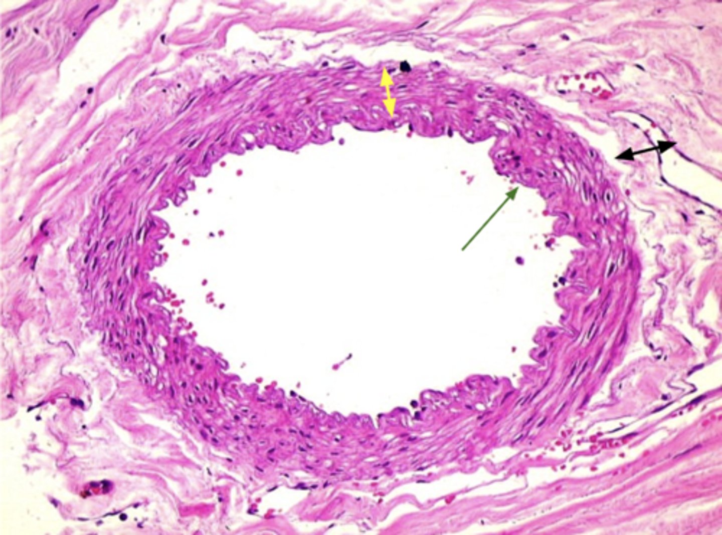
Thick walls and high pressure

3
New cards

Veins

Vessels that carry blood to the heart (usually oxygen-poor)

4
New cards

Veins

Thin walls, valves, and low pressure

5
New cards

Veins

What is the black box?

<p>What is the black box?</p>
6
New cards

Artery

What is the purple box?

<p>What is the purple box?</p>
7
New cards

Lumen

Arteries and veins have 3-layered walls that surround a central ...

8
New cards

Tunic

Each vascular layer of the artery/vein is known as a

9
New cards

Tunica intima

The innermost layer is known as

10
New cards

simple squamous epithelium

Tunic intima is composed of

11
New cards

Lumen

Tunic intima lines the _______

12
New cards

Tunica media

The middle layer is known as ___________

13
New cards

smooth muscle tissue

Tunica media is composed of

14
New cards

Responsible for changes in vessel diameter.

Function of tunica media?

15
New cards

Vasoconstriction

Constriction of the smooth muscle in the tunica media results in...

16
New cards

Vasodilation

Relaxation of the smooth muscle in the tunica media results in...

17
New cards

increases; decreases

Vasocontrsiction _________ resistance to blood flow in vessel while vasodilation _________ resistance

18
New cards

Tunica externa

The outermost layer is known as

19
New cards

Anchor and stabilize the vessel

Function of tunica externa?

20
New cards

Dense irregular connective tissue

Tunica externa consists of...

21
New cards

Thic

Arteries ned a (thick or thin) tunica media to deal with high pressure generated by ventricular systole

22
New cards

Tunica intima

What are the blue arrows?

<p>What are the blue arrows?</p>
23
New cards

Venous valves

What are the pink arrows?

<p>What are the pink arrows?</p>
24
New cards

Tunica media

What are the green arrows?

<p>What are the green arrows?</p>
25
New cards

Tunica externa

What are the purple arrows?

<p>What are the purple arrows?</p>
26
New cards

Prevent backflow.

Function of venous valves?

27
New cards

Arms and legs

Venous valves are abundant in the veins of the

28
New cards

Tunica intima

What are the green arrows?

<p>What are the green arrows?</p>
29
New cards

Tunica media

What are the yellow arrows?

<p>What are the yellow arrows?</p>
30
New cards

Tunica externa

What are the black arrows?

<p>What are the black arrows?</p>
31
New cards

Tunica intima

What are the green arrows?

<p>What are the green arrows?</p>
32
New cards

Pulmonary trunk

What structure is 1?

<p>What structure is 1?</p>
33
New cards

Right pulmonary artery

What structure is 2?

<p>What structure is 2?</p>
34
New cards

Left pulmonary artery

What structure is 3?

<p>What structure is 3?</p>
35
New cards

Ascending aorta

What structure is 4?

<p>What structure is 4?</p>
36
New cards

Aortic arch

What structure is 5?

<p>What structure is 5?</p>
37
New cards

Brachiocephalic artery

What structure is 6?

<p>What structure is 6?</p>
38
New cards

Left common carotid artery

What structure is 7?

<p>What structure is 7?</p>
39
New cards

Left subclavian artery

What structure is 8?

<p>What structure is 8?</p>
40
New cards

Ascending aorta

What artery is 1?

<p>What artery is 1?</p>
41
New cards

Aortic arch

What artery is 2?

<p>What artery is 2?</p>
42
New cards

Descending thoracic aorta

What artery is 3?

<p>What artery is 3?</p>
43
New cards

Descending abdominal aorta

What artery is 4?

<p>What artery is 4?</p>
44
New cards

Posterior intercostal artery

What artery is 5?

<p>What artery is 5?</p>
45
New cards

Brachiocephalic artery

What artery is 6?

<p>What artery is 6?</p>
46
New cards

Left common carotid artery

What artery is 7?

<p>What artery is 7?</p>
47
New cards

Left subclavian artery

What artery is 8?

<p>What artery is 8?</p>
48
New cards

Right common carotid artery

What artery is 9?

<p>What artery is 9?</p>
49
New cards

Right subclavian artery

What artery is 10?

<p>What artery is 10?</p>
50
New cards

Interbal thoracic artery

What artery is 11?

<p>What artery is 11?</p>
51
New cards

Anterior intercostal artery

What artery is 12?

<p>What artery is 12?</p>
52
New cards

Right vertebral artery

What artery is 13?

<p>What artery is 13?</p>
53
New cards

Right axillary artery

What artery is 14?

<p>What artery is 14?</p>
54
New cards

Right brachial artery

What artery is 15?

<p>What artery is 15?</p>
55
New cards

Right brachial artery

What is 1?

<p>What is 1?</p>
56
New cards

Right radial artery

What is 2?

<p>What is 2?</p>
57
New cards

Right ulnar artery

What is 3?

<p>What is 3?</p>
58
New cards

Right superficial palmar arch

What is 4?

<p>What is 4?</p>
59
New cards

Right digital artery

What is 5?

<p>What is 5?</p>
60
New cards

Aortic arch

What is 1?

<p>What is 1?</p>
61
New cards

Brachiocephalic artery

What is 2?

<p>What is 2?</p>
62
New cards

Right subclavian artery

What is 3?

<p>What is 3?</p>
63
New cards

Right common carotid artery

What is 4?

<p>What is 4?</p>
64
New cards

Right vertebral artery

What is 5?

<p>What is 5?</p>
65
New cards

Right internal carotid artery

What is 6?

<p>What is 6?</p>
66
New cards

Right external carotid artery

What is 7?

<p>What is 7?</p>
67
New cards

Vertebral artery

What artery is 1?

<p>What artery is 1?</p>
68
New cards

Basilar artery

What artery is 2?

<p>What artery is 2?</p>
69
New cards

Posterior cerebral artery

What artery is 3?

<p>What artery is 3?</p>
70
New cards

Internal cerebral artery

What artery is 4?

<p>What artery is 4?</p>
71
New cards

Middle cerebral artery

What artery is 5?

<p>What artery is 5?</p>
72
New cards

Anterior cerebral artery

What artery is 6?

<p>What artery is 6?</p>
73
New cards

Superior phrenic artery

What artery is 1?

<p>What artery is 1?</p>
74
New cards

Left gastric artery

What artery is 2?

<p>What artery is 2?</p>
75
New cards

Splenic artery

What artery is 3?

<p>What artery is 3?</p>
76
New cards

Common hepatic artery

What artery is 4?

<p>What artery is 4?</p>
77
New cards

Right suprarenal artery

What artery is 5?

<p>What artery is 5?</p>
78
New cards

Superior mesenteric artery

What artery is 6?

<p>What artery is 6?</p>
79
New cards

Right renal artery

What artery is 7?

<p>What artery is 7?</p>
80
New cards

Left gonadal artery

What artery is 8?

<p>What artery is 8?</p>
81
New cards

Right lumbar artery

What artery is 9?

<p>What artery is 9?</p>
82
New cards

Inferior mesenteric artery

What artery is 10?

<p>What artery is 10?</p>
83
New cards

Descending abdominal aorta

What artery is 11?

<p>What artery is 11?</p>
84
New cards

Right common iliac artery

What artery is 12?

<p>What artery is 12?</p>
85
New cards

Descending abdominal aorta

What artery is 1?

<p>What artery is 1?</p>
86
New cards

Right common ilica artery

What artery is 2?

<p>What artery is 2?</p>
87
New cards

Right internal iliac artery

What artery is 3?

<p>What artery is 3?</p>
88
New cards

Right external artery

What artery is 4?

<p>What artery is 4?</p>
89
New cards

Right femoral artery

What artery is 5?

<p>What artery is 5?</p>
90
New cards

Right popliteal artery

What artery is 6?

<p>What artery is 6?</p>
91
New cards

Right popliteal artery

What is 1?

<p>What is 1?</p>
92
New cards

Right anterior tibial artery

What is 2?

<p>What is 2?</p>
93
New cards

Right fibular artery

What is 3?

<p>What is 3?</p>
94
New cards

Right posterior tibial artery

What is 4?

<p>What is 4?</p>
95
New cards

Right lateral plantar artery

What is 5?

<p>What is 5?</p>
96
New cards

Right medial later

What is 6?

<p>What is 6?</p>
97
New cards

Right anterior tibial artery

What is 1?

<p>What is 1?</p>
98
New cards

Right dorsalis pedis artery

What is 2?

<p>What is 2?</p>
99
New cards

Ascending aorta

What is 1?

<p>What is 1?</p>
100
New cards

Aortic arch

What is 2?

<p>What is 2?</p>