A7 - Lower Extremity Lab

0.0(0)
studied byStudied by 0 people
full-widthCall with Kai
GameKnowt Play
learnLearn
examPractice Test
spaced repetitionSpaced Repetition
heart puzzleMatch
flashcardsFlashcards
Card Sorting

1/166

encourage image

There's no tags or description

Looks like no tags are added yet.

Study Analytics
Name
Mastery
Learn
Test
Matching
Spaced

No study sessions yet.

167 Terms

1
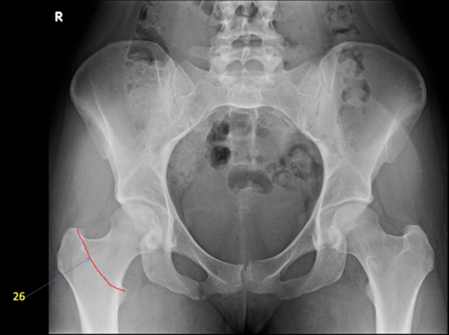
New cards

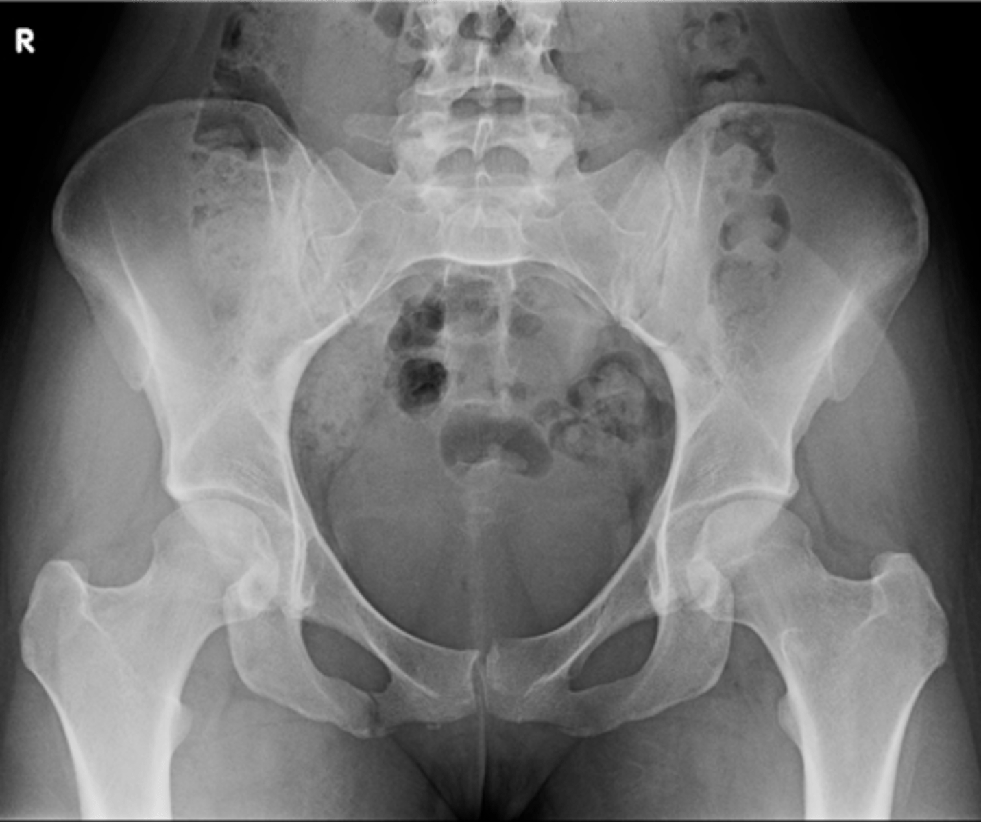
AP pelvis

View?

<p>View?</p>
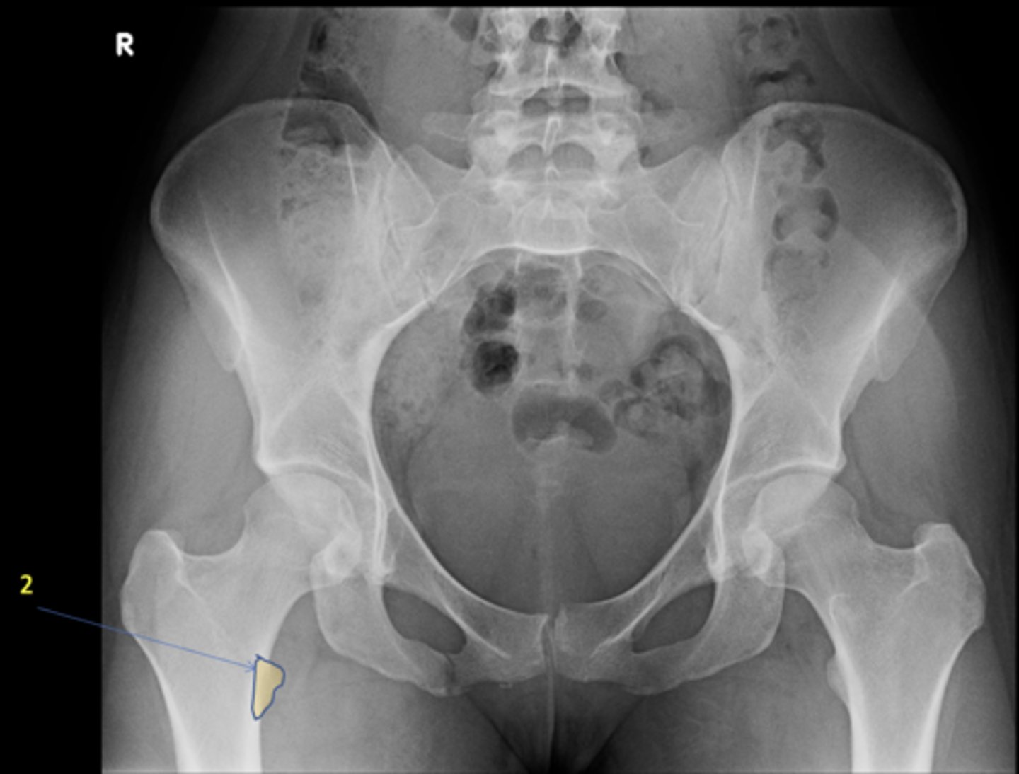
2
New cards

Right lesser trochanter

ID 2

<p>ID 2</p>
3
New cards

Left greater trochanter

ID 3

<p>ID 3</p>
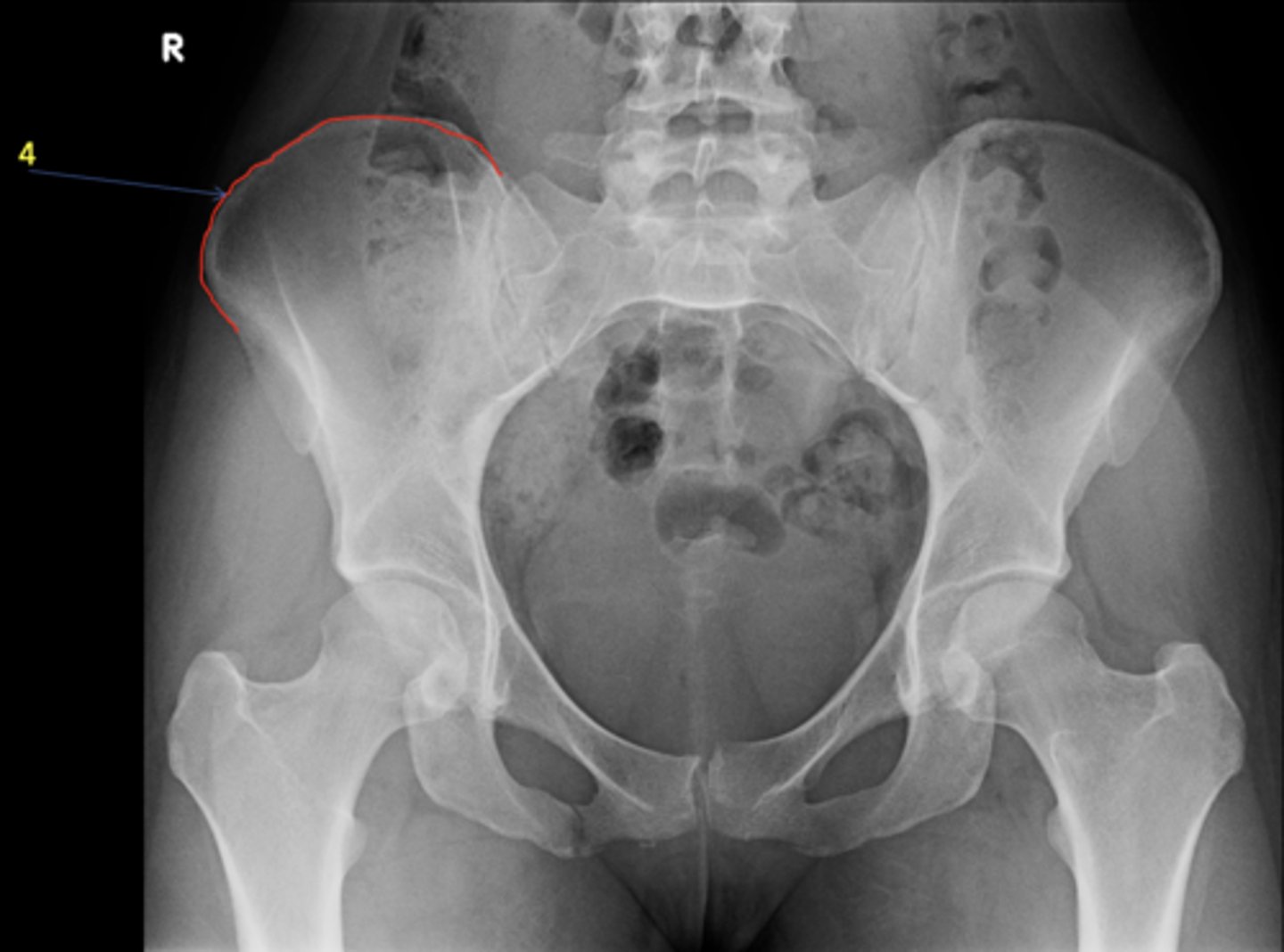
4
New cards

Right iliac crest

ID 4

<p>ID 4</p>
5
New cards

Right iliac fossa

ID 5

<p>ID 5</p>
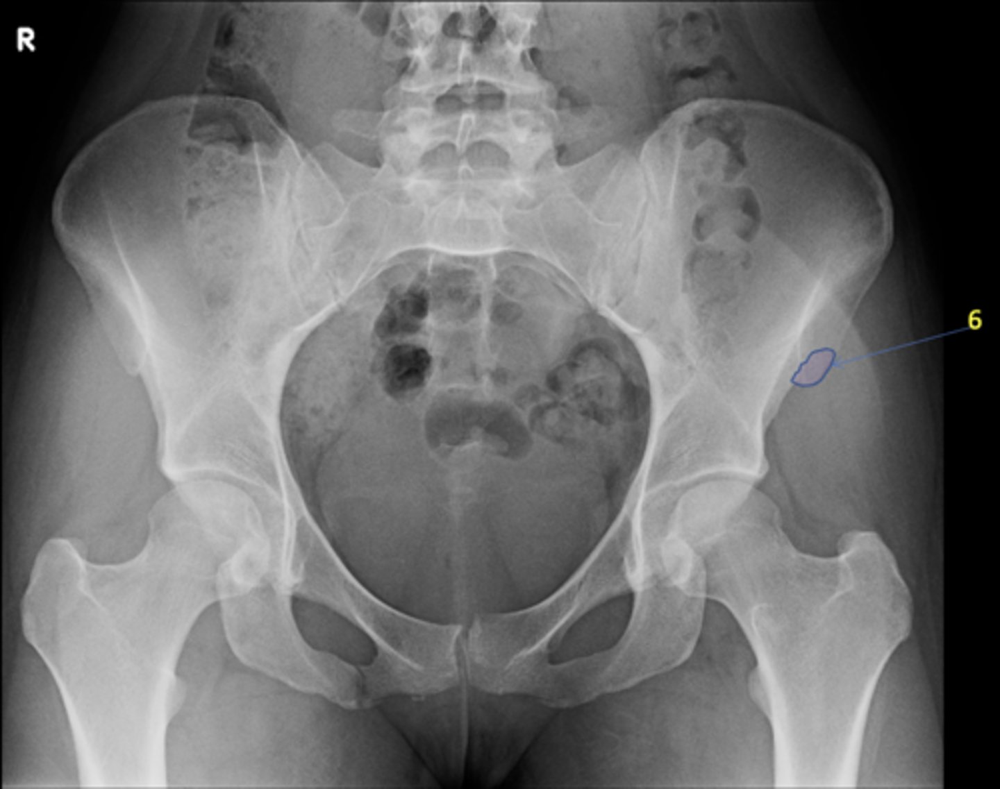
6
New cards

Left anterior superior iliac spine

ID 6

<p>ID 6</p>
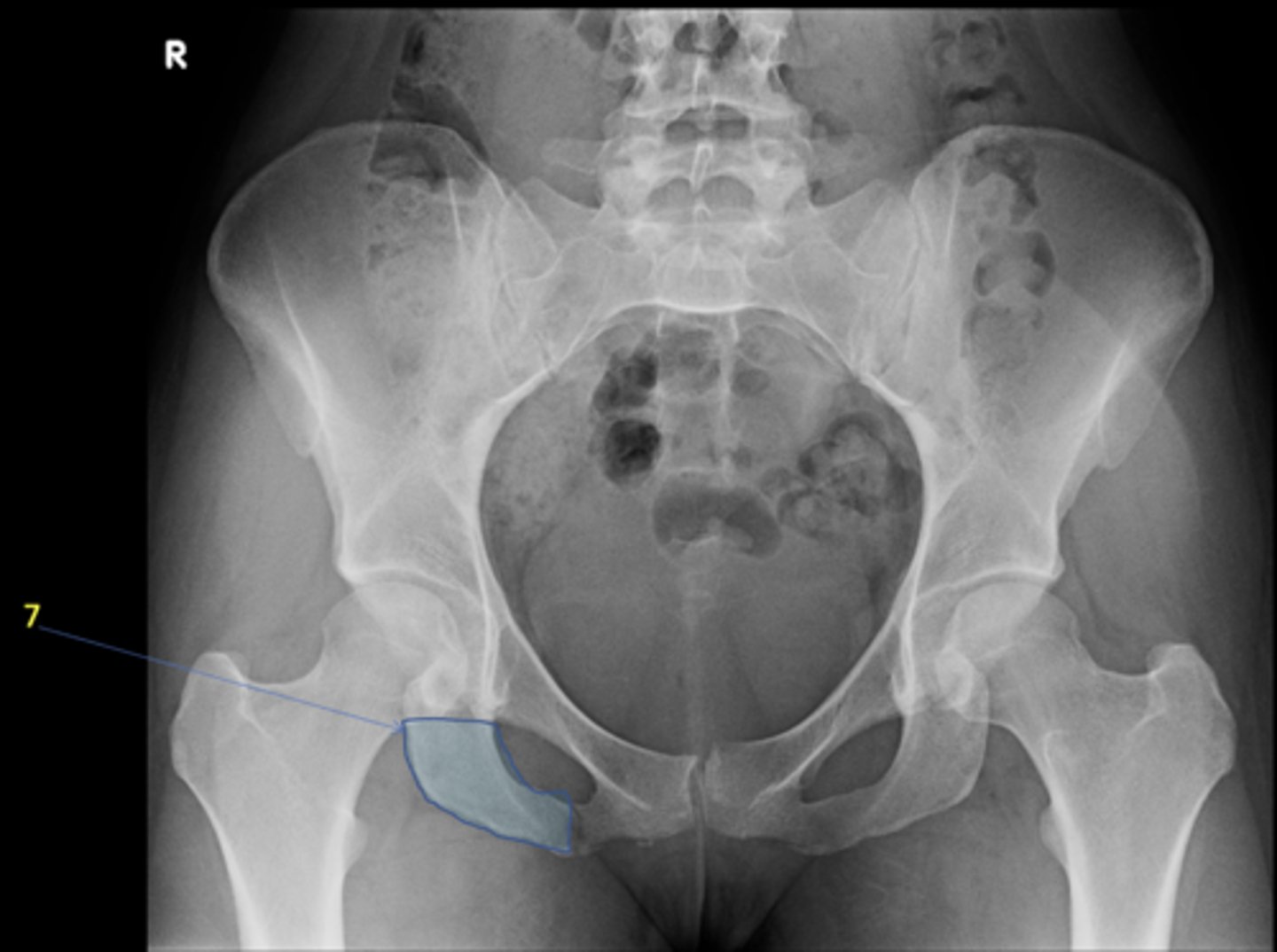
7
New cards

Right ischium

ID 7

<p>ID 7</p>
8
New cards

Left ischial spine

ID 8

<p>ID 8</p>
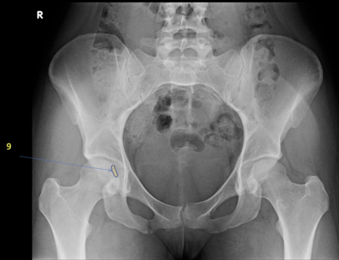
9
New cards

Right fovea capitis

ID 9

<p>ID 9</p>
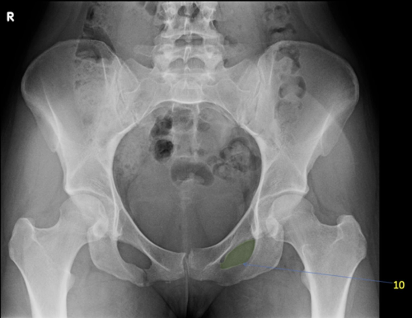
10
New cards

Left obturator foramen

ID 10

<p>ID 10</p>
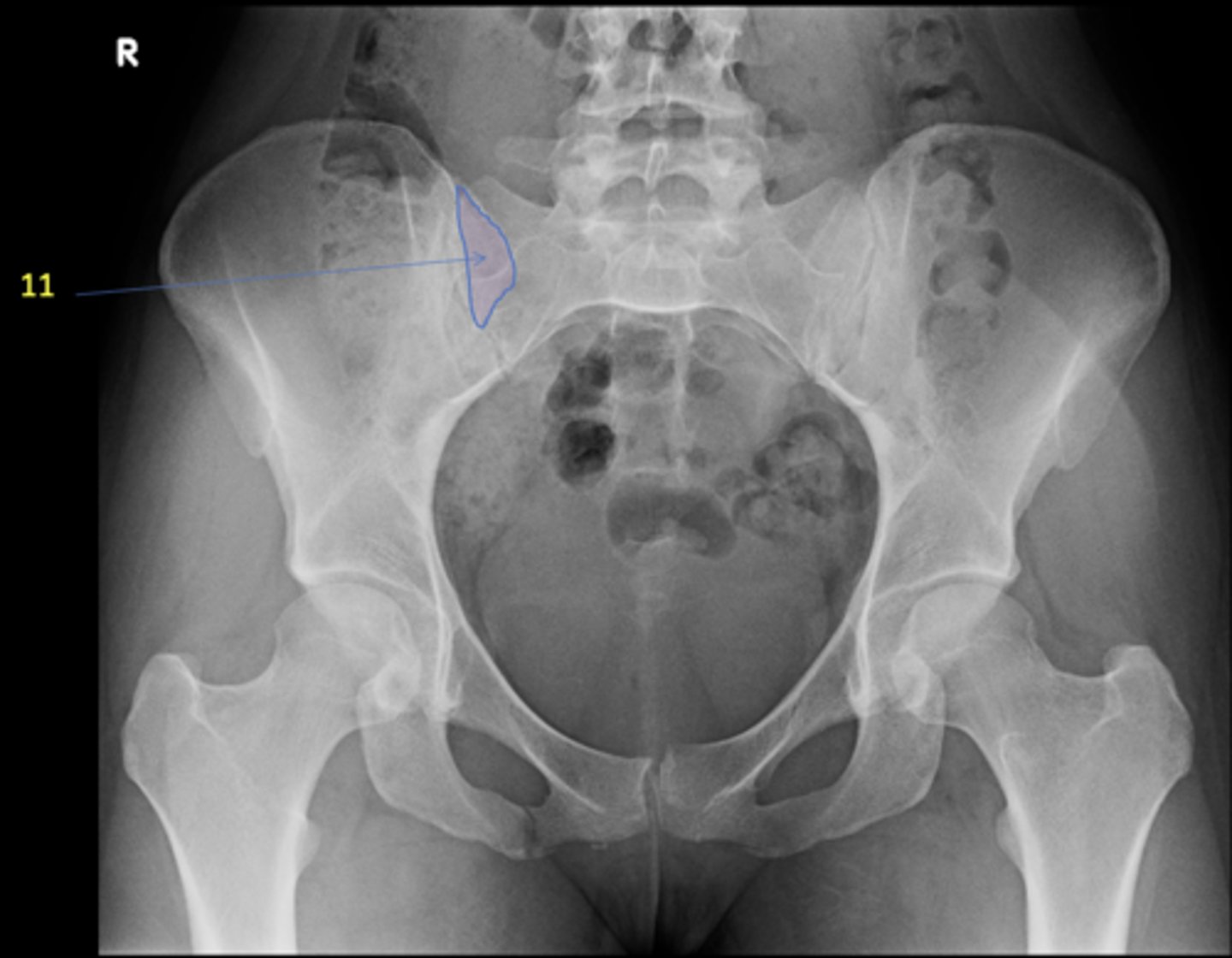
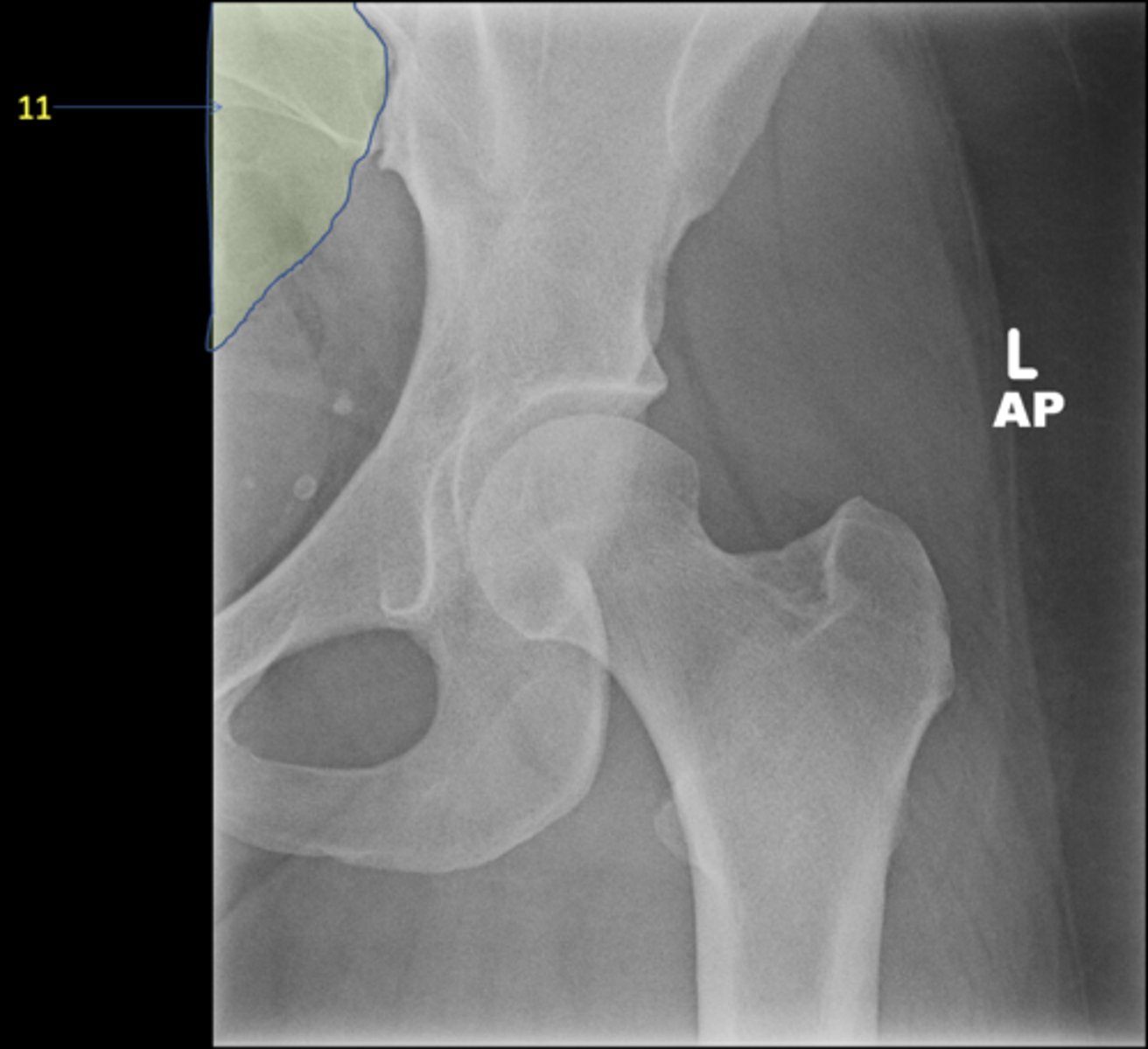
11
New cards

Right posterior superior iliac spine

ID 11

<p>ID 11</p>
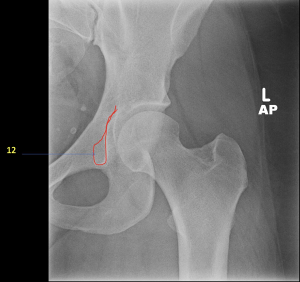
12
New cards

Left femoral neck

ID 12

<p>ID 12</p>
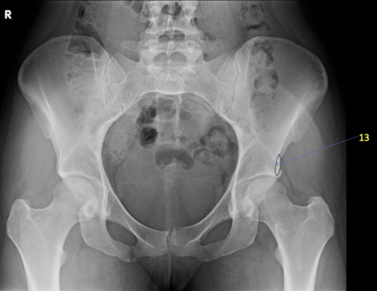
13
New cards

Left anterior inferior iliac spine

ID 13

<p>ID 13</p>
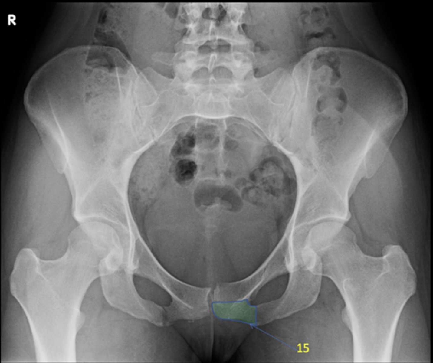
14
New cards

Left inferior pubic ramus

ID 15

<p>ID 15</p>
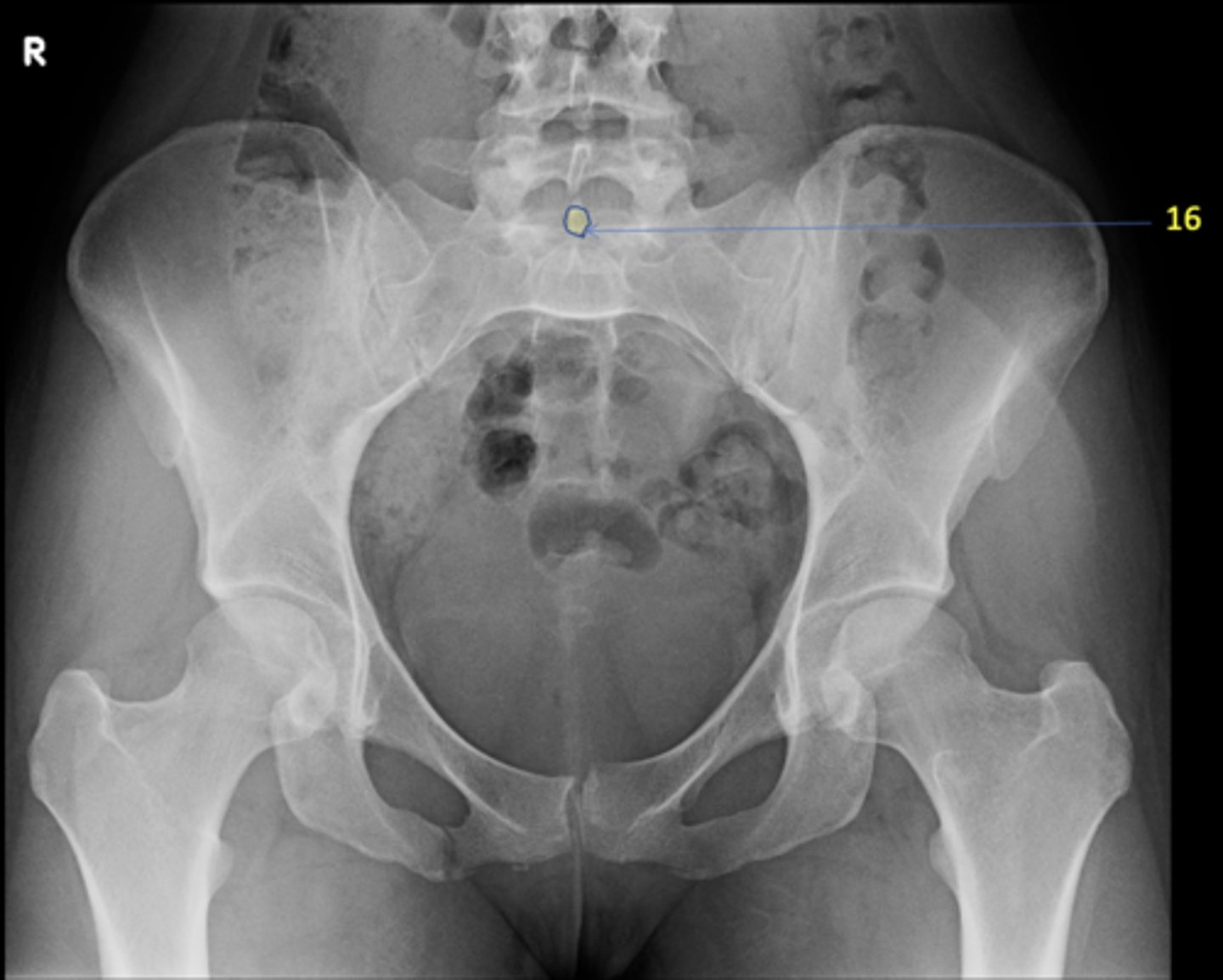
15
New cards

S1 tubercle

ID 16

<p>ID 16</p>
16
New cards

Left sacral ala

ID 17

<p>ID 17</p>
17
New cards

Right femoral head

ID 19

<p>ID 19</p>
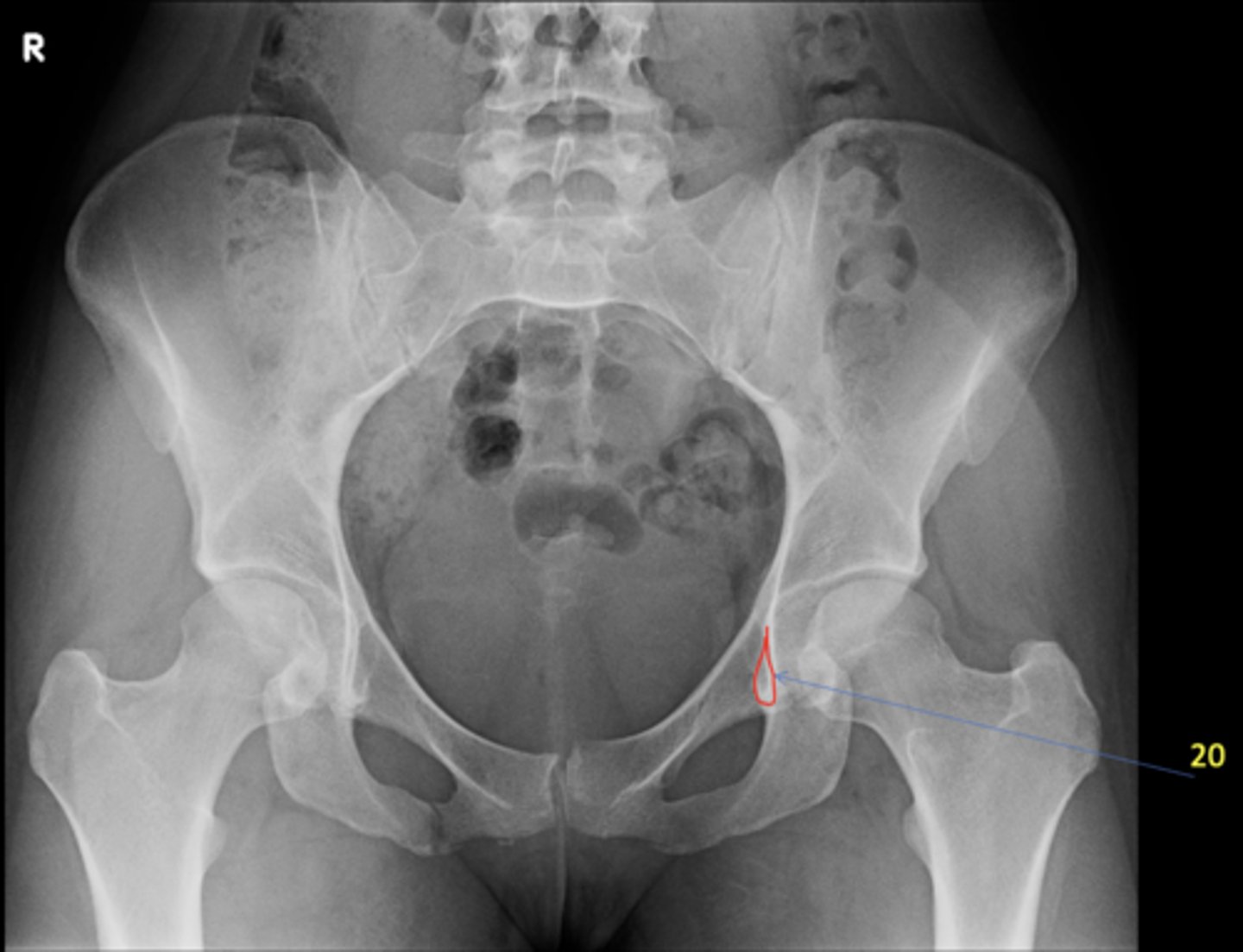
18
New cards

Kohler's teardrop

ID 20

<p>ID 20</p>
19
New cards

Right pubis

ID 21

<p>ID 21</p>
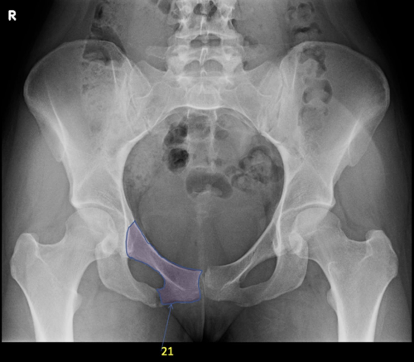
20
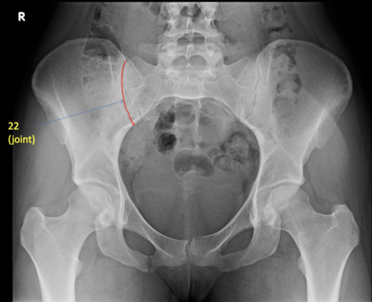
New cards

Right anterior sacroiliac joint

ID 22 (joint)

<p>ID 22 (joint)</p>
21
New cards

Left superior pubic ramus

ID 24

<p>ID 24</p>
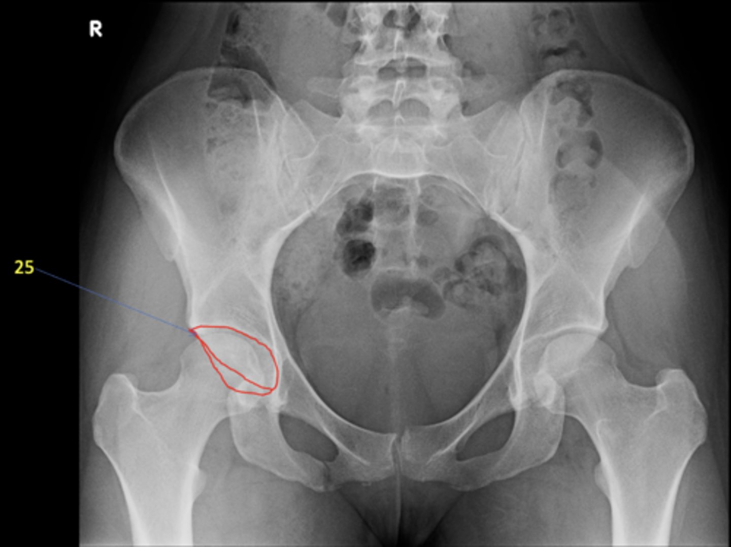
22
New cards

Right acetabulum

ID 25

<p>ID 25</p>
23
New cards

Right intertrochanteric crest

ID 26

<p>ID 26</p>
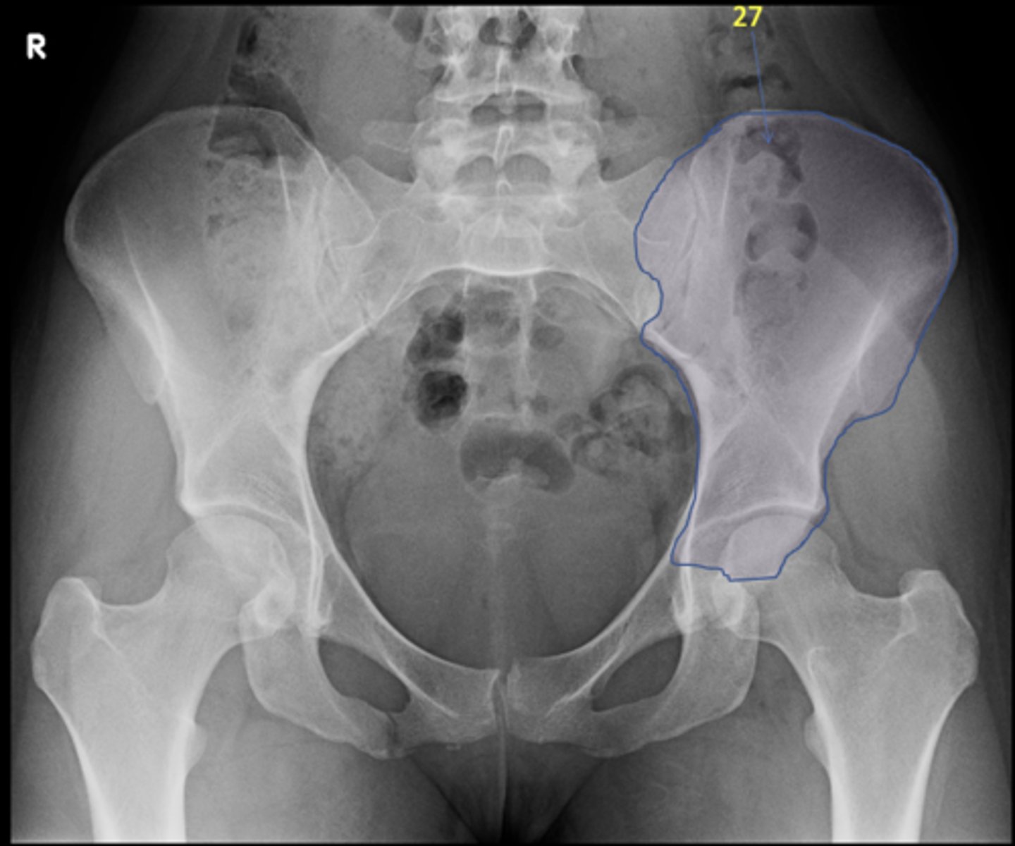
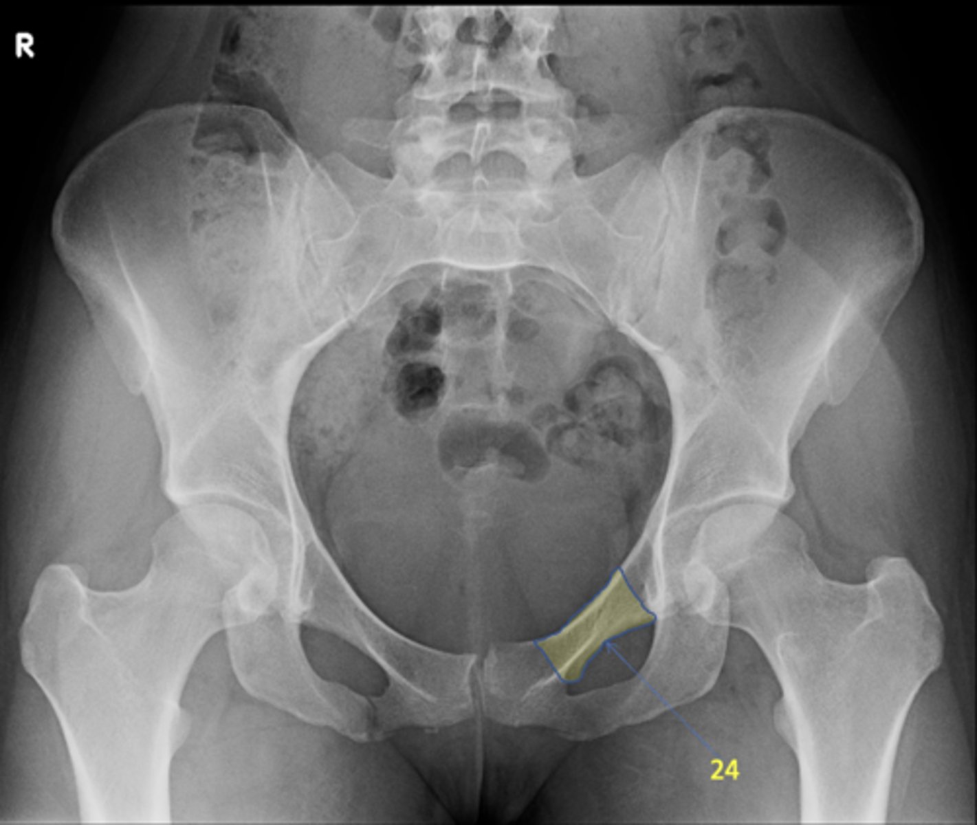
24
New cards

Left ilium

ID 27

<p>ID 27</p>
25
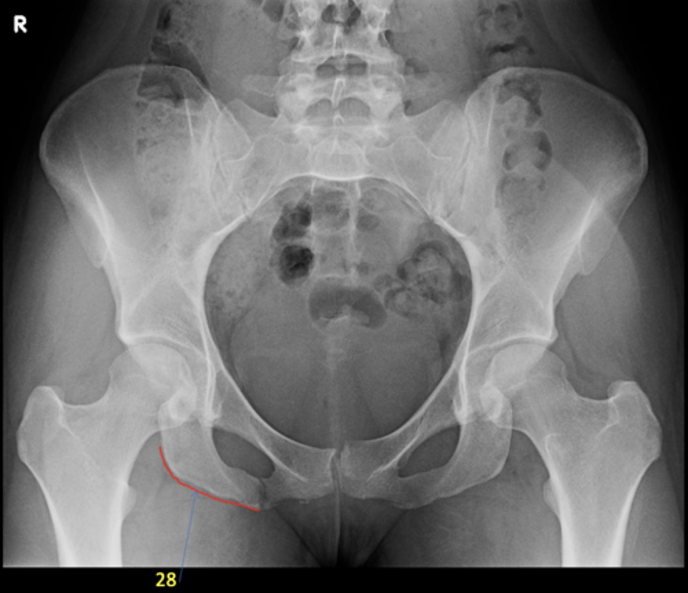
New cards

Right ischial tuberosity

ID 28

<p>ID 28</p>
26
New cards

Bladder

ID 29

<p>ID 29</p>
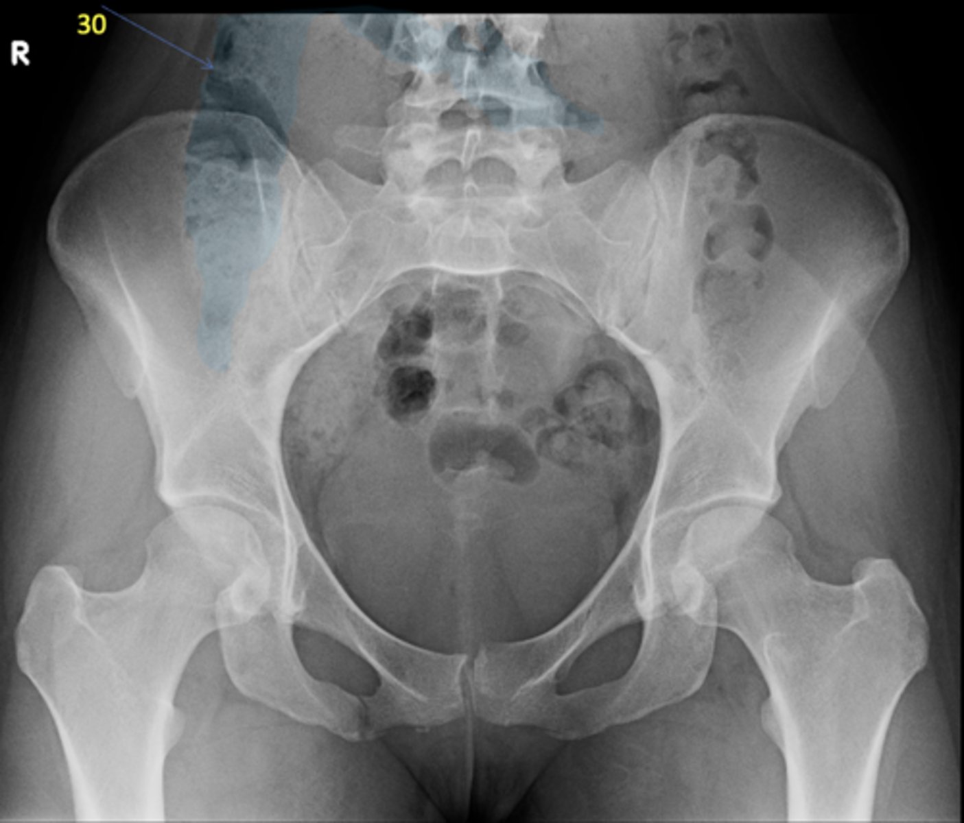
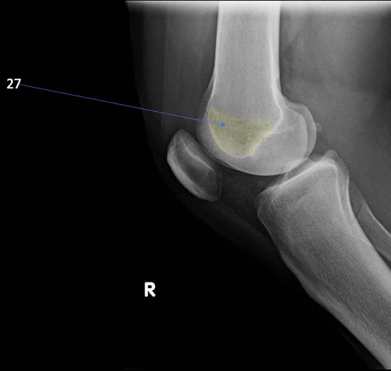
27
New cards

Ascending colon

ID 30

<p>ID 30</p>
28
New cards

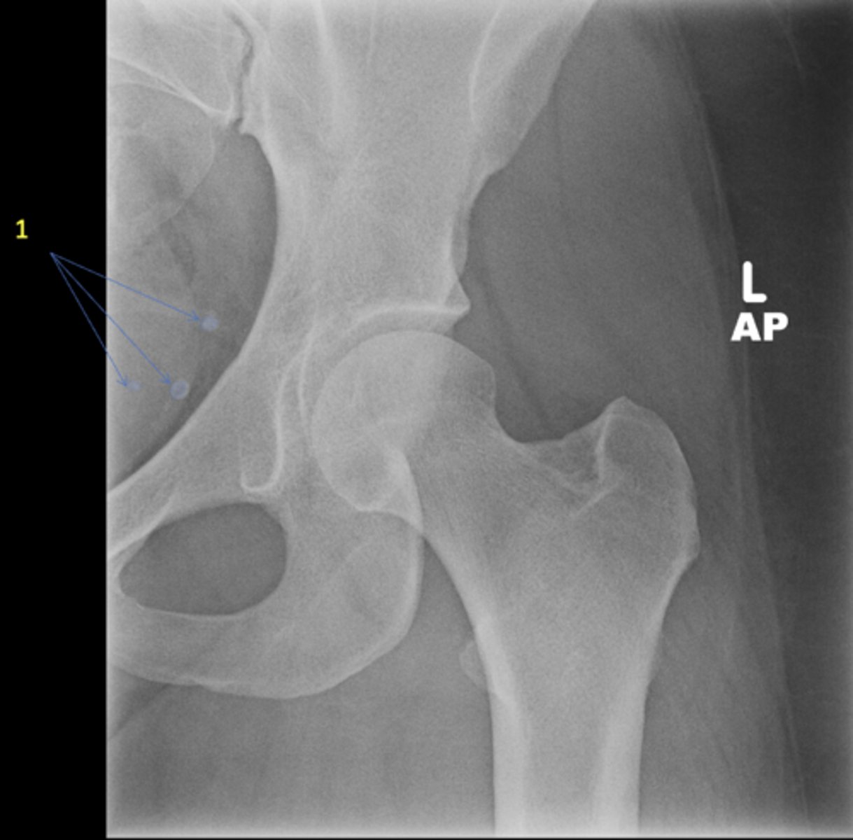
Left AP hip

View?

<p>View?</p>
29
New cards

Phleboliths

ID 1

<p>ID 1</p>
30
New cards

Obturator foramen

ID 2

<p>ID 2</p>
31
New cards

Kohler's teardrop

ID 3

<p>ID 3</p>
32
New cards

Gluteus medius

ID 4

<p>ID 4</p>
33
New cards

Ischial tuberosity

ID 5

<p>ID 5</p>
34
New cards

Acetabulum

ID 6

<p>ID 6</p>
35
New cards

Anterior inferior iliac spine

ID 8

<p>ID 8</p>
36
New cards

Lesser trochanter

ID 8

<p>ID 8</p>
37
New cards

Greater trochanter

ID 9

<p>ID 9</p>
38
New cards

Sacroiliac joint

ID 10 (joint)

<p>ID 10 (joint)</p>
39
New cards

Sacrum

ID 11 (bone)

<p>ID 11 (bone)</p>
40
New cards

Kohler's teardrop

ID 12

<p>ID 12</p>
41
New cards

Anterior superior iliac spine

ID 13

<p>ID 13</p>
42
New cards

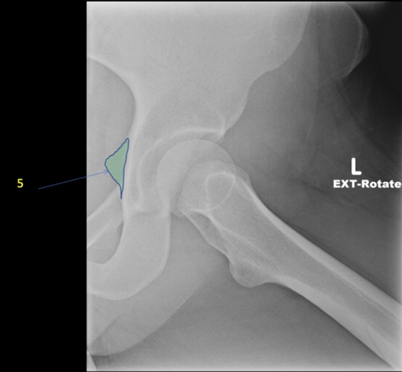
Left frog-leg hip

View?

<p>View?</p>
43
New cards

Acetabulum

ID 1

<p>ID 1</p>
44
New cards

Greater trochanter

ID 2

<p>ID 2</p>
45
New cards

Lesser trochanter

ID 3

<p>ID 3</p>
46
New cards

Femoral head

ID 4

<p>ID 4</p>
47
New cards

Ischial spine

ID 5

<p>ID 5</p>
48
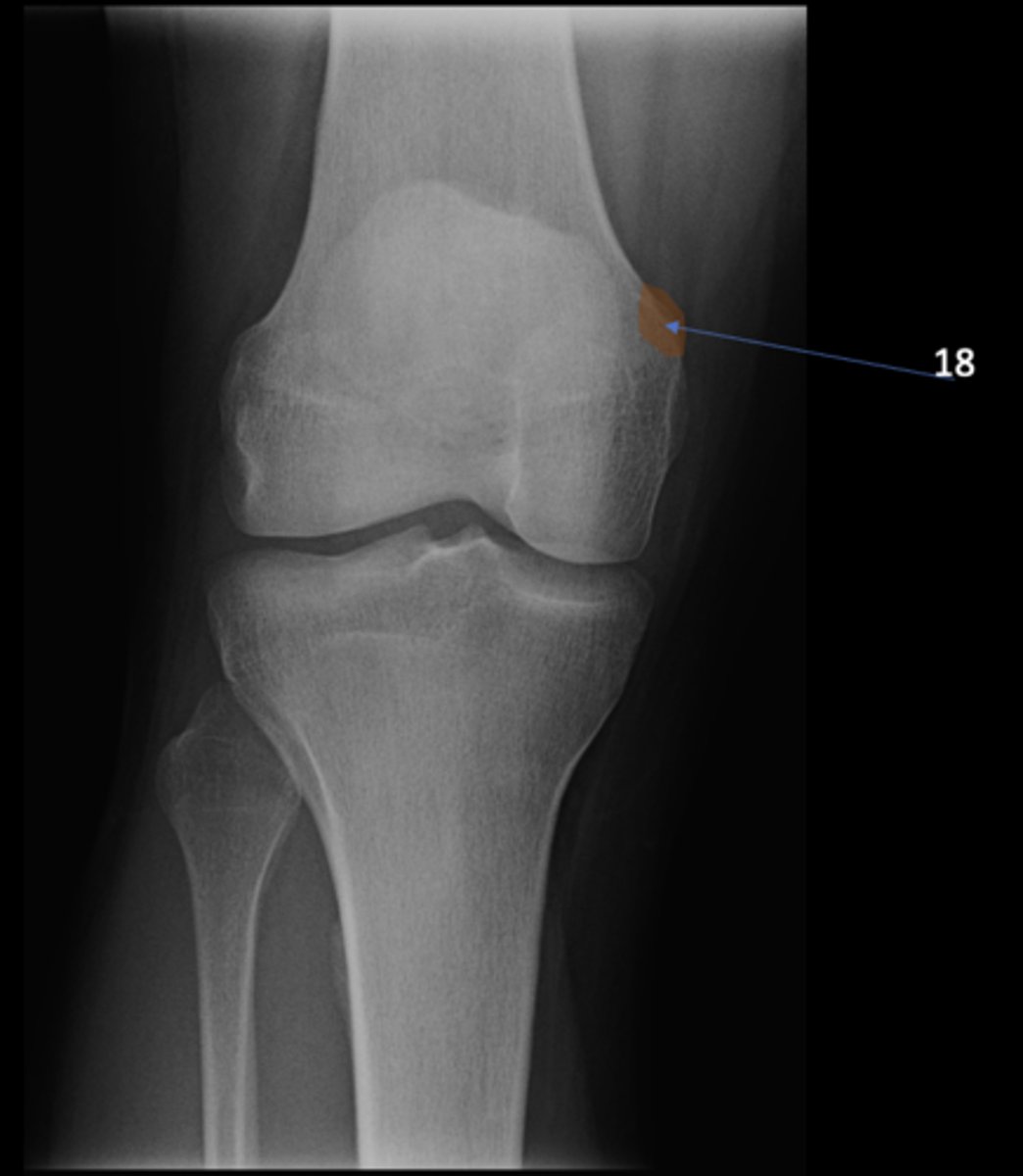
New cards

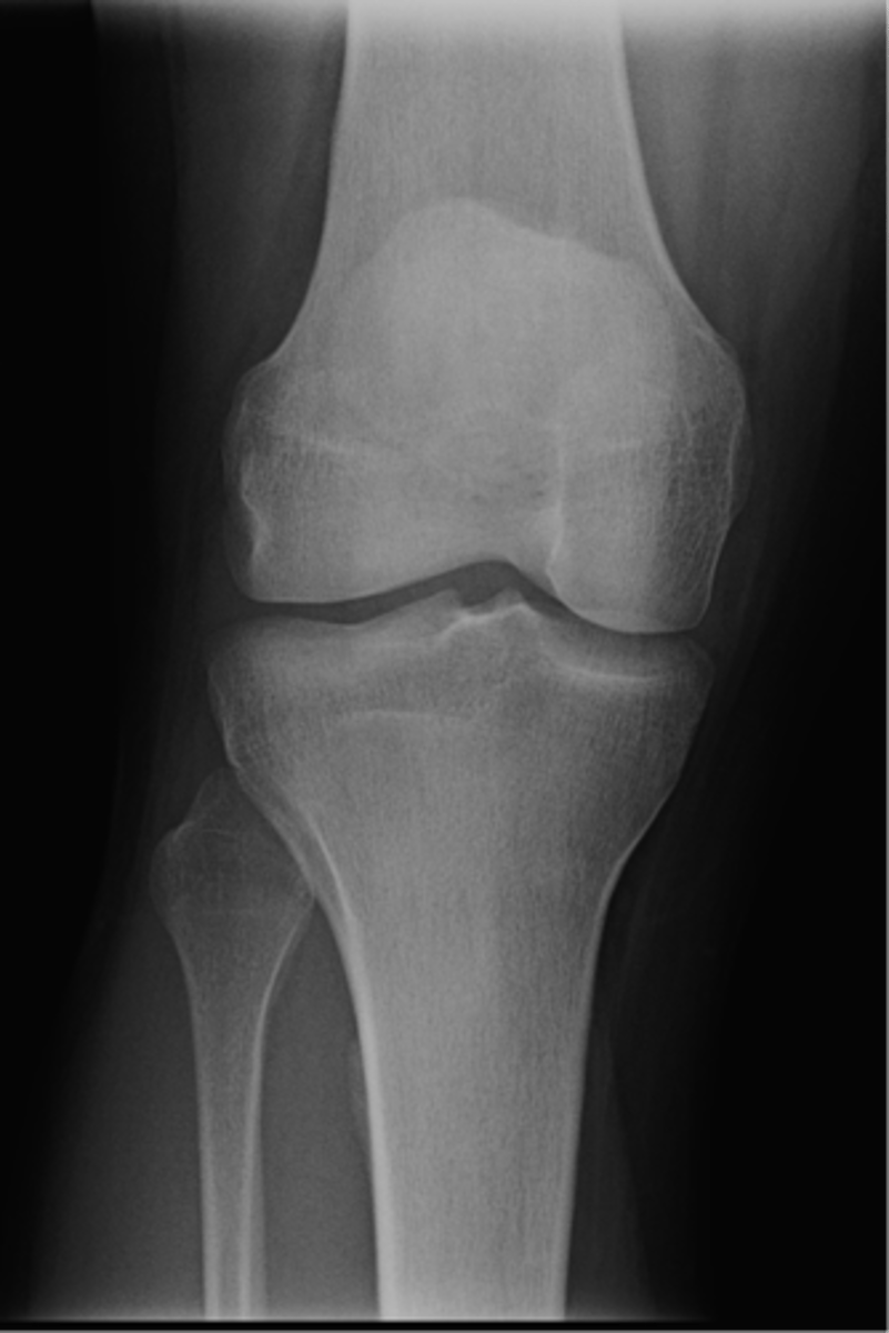
AP knee

View?

<p>View?</p>
49
New cards

Fibular head

ID 1

<p>ID 1</p>
50
New cards

Apex of fibular head

ID 2

<p>ID 2</p>
51
New cards

Fossa for popliteal tendon

ID 3

<p>ID 3</p>
52
New cards

Intercondylar eminence

ID 4

<p>ID 4</p>
53
New cards

Superior aspect of patella

ID 5

<p>ID 5</p>
54
New cards

Lateral femoral condyle

ID 6

<p>ID 6</p>
55
New cards

Medial femoral condyle

ID 7

<p>ID 7</p>
56
New cards

Intercondylar fossa

ID 8

<p>ID 8</p>
57
New cards

Apex of patella

ID 9

<p>ID 9</p>
58
New cards

Lateral femoral epicondyle

ID 10

<p>ID 10</p>
59
New cards

Medial femoral epicondyle

ID 11

<p>ID 11</p>
60
New cards

Tibial tuberosity

ID 12

<p>ID 12</p>
61
New cards

Medial tibial plateau

ID 13

<p>ID 13</p>
62
New cards

Lateral tibial plateau

ID 14

<p>ID 14</p>
63
New cards

Medial tibial condyle

ID 15

<p>ID 15</p>
64
New cards

Lateral tibial condyle

ID 16

<p>ID 16</p>
65
New cards

Physeal scar

ID 17

<p>ID 17</p>
66
New cards

Adductor tubercle

ID 18

<p>ID 18</p>
67
New cards

Right lateral knee

View?

<p>View?</p>
68
New cards

Tibial tuberosity

ID 19

<p>ID 19</p>
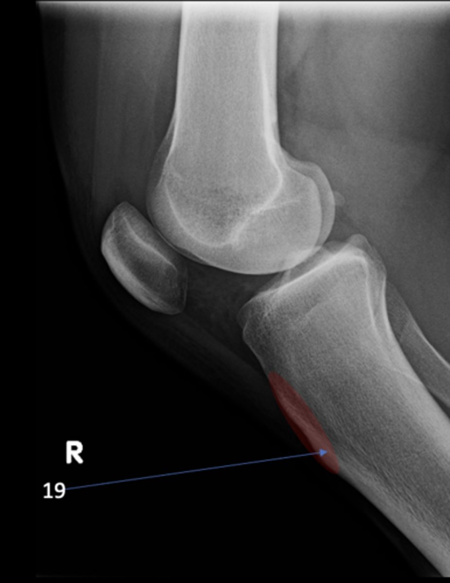
69
New cards

Intercondylar eminence

ID 20

<p>ID 20</p>
70
New cards

Both tibial condyles

ID 21

<p>ID 21</p>
71
New cards

Fibular head

ID 22

<p>ID 22</p>
72
New cards

Apex of patella

ID 24

<p>ID 24</p>
73
New cards

Superior aspect of patella

ID 25

<p>ID 25</p>
74
New cards

Ludloff's spot/patch

ID 27

<p>ID 27</p>
75
New cards

Apex of fibular head

ID 28

<p>ID 28</p>
76
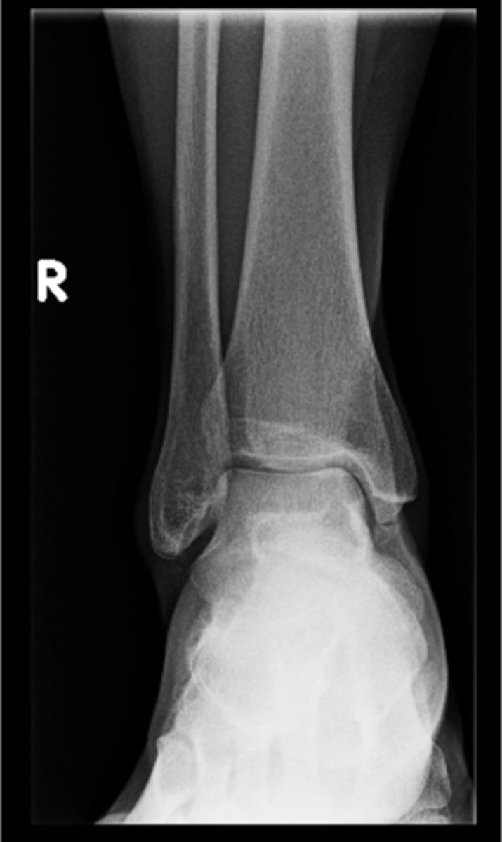
New cards

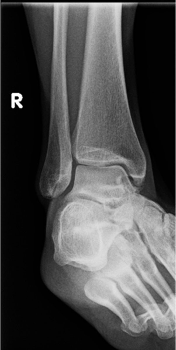
Right AP ankle

View?

<p>View?</p>
77
New cards

Lateral malleolus

ID 11

<p>ID 11</p>
78
New cards

Tibial plafond

ID 12

<p>ID 12</p>
79
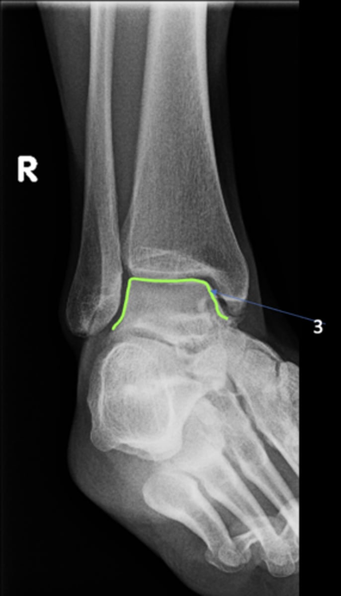
New cards

Trochlea of talus

ID 13

<p>ID 13</p>
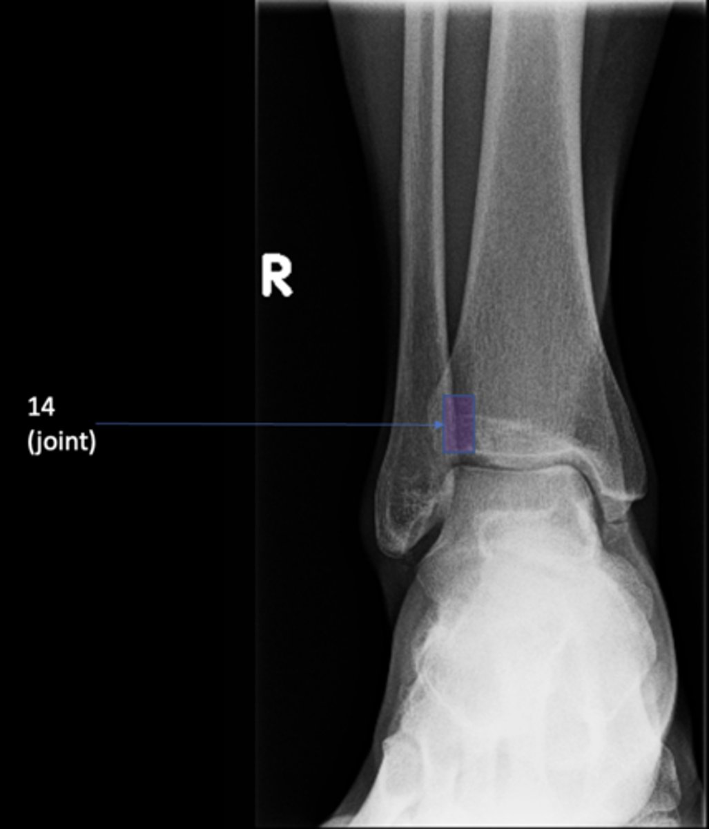
80
New cards

Distal tibiofibular joint

ID 14 (joint)

<p>ID 14 (joint)</p>
81
New cards

Tibiotalar joint

ID 17 (joint)

<p>ID 17 (joint)</p>
82
New cards

Right medial oblique ankle

View?

<p>View?</p>
83
New cards

Lateral malleolus

ID 1

<p>ID 1</p>
84
New cards

Tibial plafond

ID 2

<p>ID 2</p>
85
New cards

Trochlea of talus

ID 3

<p>ID 3</p>
86
New cards

Talocalcaneal joint

ID 4 (joint)

<p>ID 4 (joint)</p>
87
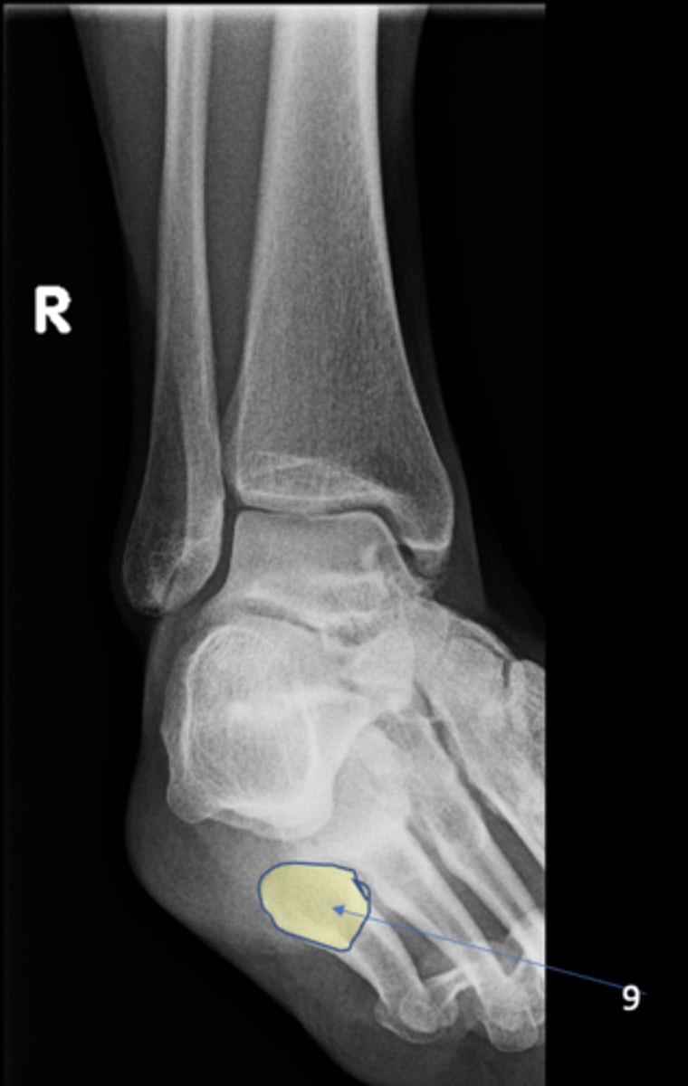
New cards

Sinus tarsi

ID 8

<p>ID 8</p>
88
New cards

Base of 5th metatarsal

ID 9

<p>ID 9</p>
89
New cards

Medial malleolus

ID 10

<p>ID 10</p>
90
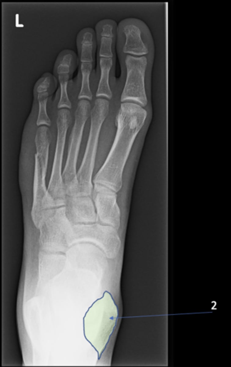
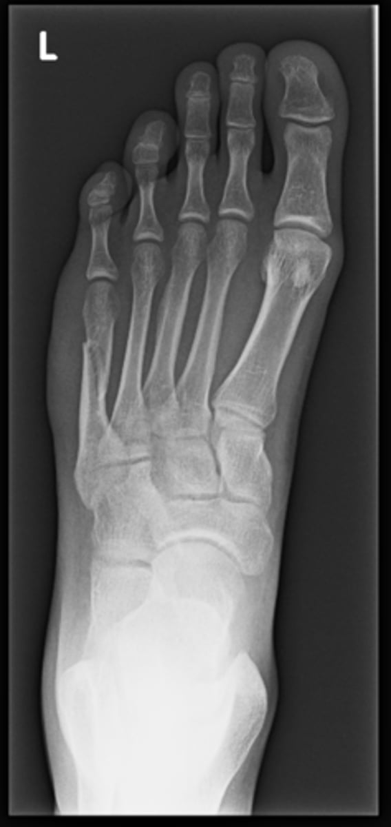
New cards

Left AP foot

View?

<p>View?</p>
91
New cards

Talus

ID 1

<p>ID 1</p>
92
New cards

Medial malleolus

ID 2

<p>ID 2</p>
93
New cards

Navicular

ID 3

<p>ID 3</p>
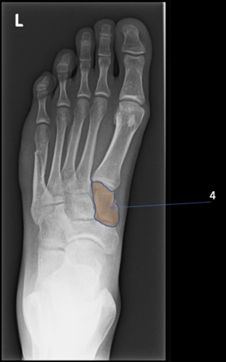
94
New cards

Medial cuneiform

ID 4

<p>ID 4</p>
95
New cards

Base of 1st metatarsal

ID 5

<p>ID 5</p>
96
New cards

Head of 1st metatarsal

ID 6

<p>ID 6</p>
97
New cards

Lateral sesamoid bone

ID 7

<p>ID 7</p>
98
New cards

Medial sesamoid bone

ID 8

<p>ID 8</p>
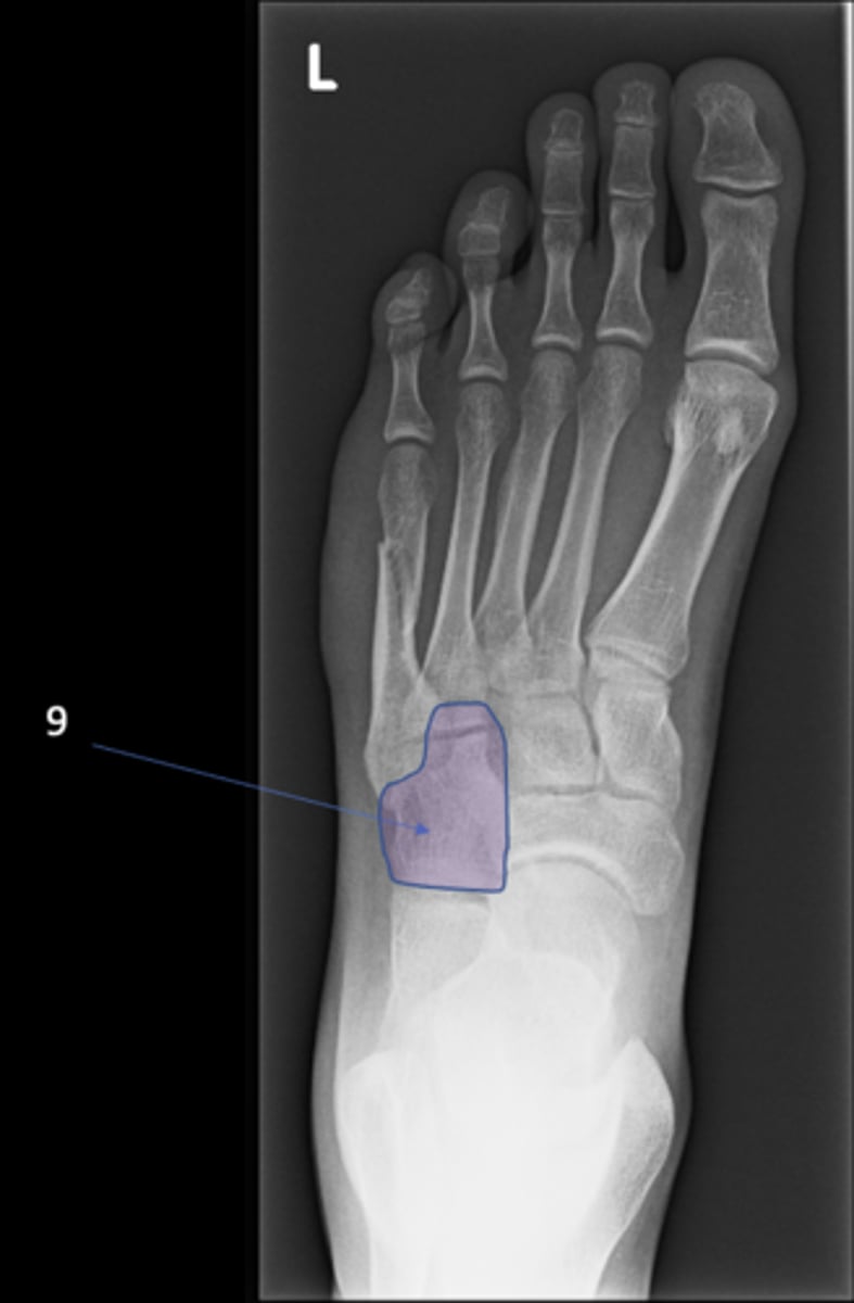
99
New cards

Cuboid

ID 9

<p>ID 9</p>
100
New cards

Base of 5th metatarsal

ID 10

<p>ID 10</p>