1/16
Looks like no tags are added yet.
Name | Mastery | Learn | Test | Matching | Spaced |
|---|
No study sessions yet.

Identify the regions of the vertebral column
A. Cervical Vertebrae
B. Thoracic Vertebrae
C. Lumbar Vertebrae
D. Sacrum
E. Coccyx

Identify the structures of the cervical vertebrae
A. Transverse Process
B. Dens of C2
C. Superior Articular Facet for Atlas

Identify the structures of the Cervical Vertebrae - Atlas (C1) & Axis (C2) Superior View
A. Anterior Tubercle (C1)
B. Dens (C2)
C. Anterior Arch (C1)
D. Transverse Foramen
E. Transverse Process
F. Superior Articular Surface (C1)
G. Vertebral Foramen
H. Posterior Arch (C1)
I. Posterior Tubercle (C1)
J. Spinous Process (C2)

Identify the Structures of the Cervical Vertebrae - Inferior View
A. Spinous Process (C2)
B. Inferior Articular Facet (C2)
C. Vertebral Foramen (C2)
D. Transverse Foramen (C2)
E. Body of C2
F. Transverse Process (C2)
G. Transverse Foramen (C1)
H. Transverse Process (C1)
I. Anterior Tubercle (C1)

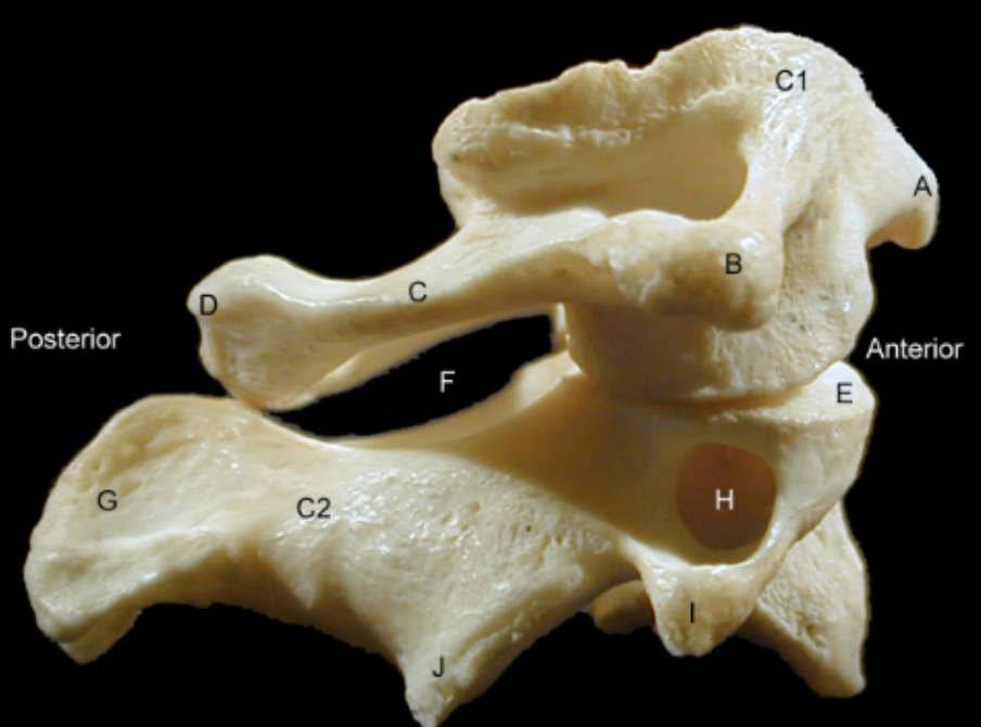
Identify the Structures of the Cervical Vertebrae - Lateral View
A. Anterior Tubercle (C1)
B. Transverse Process (C1)
C. Posterior Arch (C1)
D. Posterior Tubercle (C1)
E. Superior Articular Facet (C2)
F. Intervetebral Foramen
G. Spinous Process (C2)
H. Transverse Foramen (C2)
I. Transverse Process (C2)
J. Inferior Articular Process (C2)

Identify the Structures of the Cervical Vertebrae - Posterior View
A. Dens (C2)
B. Superior Articular Surface (C1)
C. Transverse Process (C1)
D. Posterior Tubercle (C1)
E. Posterior Arch (C1)
F. Spinous Process (C2)
G. Inferior Articular Process (C2)
H. Transverse Process (C2)

Identify the Structures of the Cervical Vertebrae - C6 Superior View
A. Body
B. Transverse Foramen
C. Transverse Process
D. Pedicle
E. Superior Articular Process
F. Vertebral Foramen
G. Lamina
H. Inferior Articular Process
I. Spinous Process
Identify the Structures of the Cervical Vertebrae - C6 Inferior View
A. Body
B. Transverse Foramen
C. Vertebral Foramen
D. Pedicle
E. Transverse Process
F. Inferior Articular Process
G. Lamina
H. Spinous Process

Identify Thoracic Vertebrae - T7 Inferior View
A. Body
B. Inferior Costal Facet
C. Pedicle
D. Vertebral Foramen
E. Inferior Articular Process
F. Lamina
G. Transverse Process
H. Spinous Process

Identify the Structures of the Thoracic Vertebrae - Lateral View
A. Intervetebral Foramen
B. Body
C. Transverse Costal Facet on Transverse Process
D. Spinous Process
E. Superior Articular Process
F. Inferior Articular Process
G. Inferior Costal Facet
H. Superior Costal Facet
I. Transverse Proces

Identify the Structures of the Lumbar Vertebrae - L3 Inferior View
A. Body
B. Transverse Process
C. Pedicle
D. Vertebral Foramen
E. Inferior Articular Process
F. Spinous Process

Identify the Structures of the Lumbar Vertebrae - L3 Superior View
A. Body
B. Pedicle
C. Superior Articular Process
D. Lamina
E. Transverse Process
F. Spinous Process
G. Vertebral Foramen

Identify the structures of the Sacrum & Coccyx - Anterior View
A. Lumbosacral Surface
B. Sacral Promontory
C. Transverse Ride
D. Anterior Sacral Foramina
E. Superior Articular Process
F. Ala (Wing) of Sacrum
G. Coccyx

Identify the structures of the Sacrum & Coccyx - Posterior View
A. Facets of Superior Articular Processes
B. Median Sacral Crest
C. Posterior Sacral Foramina
D. Sacral Hiatus
E. Sacral Tuberosity
F. Sacral Cornu (Horn)
G. Coccyx

Identify the structures of the Sacrum & Coccyx - Superior View
A. Lumbosacral Articular Surface
B. Superior Articular Process
C. Median Sacral Process
D. Sacral Canal
E. Ala of Sacrum
F. Coccyx

Identify the structures of the Sacrum & Coccyx - Lateral View
A. Articular Surface
B. Median Sacral Crest
C. Posterior Sacral Foramen
D. Coccyx

Identify the structures of the Sacrum & Coccyx with Ilium - Posterior View
A. Iliac Crest
B. Posterior Superior Iliac Spine
C. Facet of Superior Articular Process
D. Median Sacral Crest
E. Posterior Sacral Foramen