1/13
Looks like no tags are added yet.
Name | Mastery | Learn | Test | Matching | Spaced |
|---|
No study sessions yet.
Cerebellum

Corpus Callosum

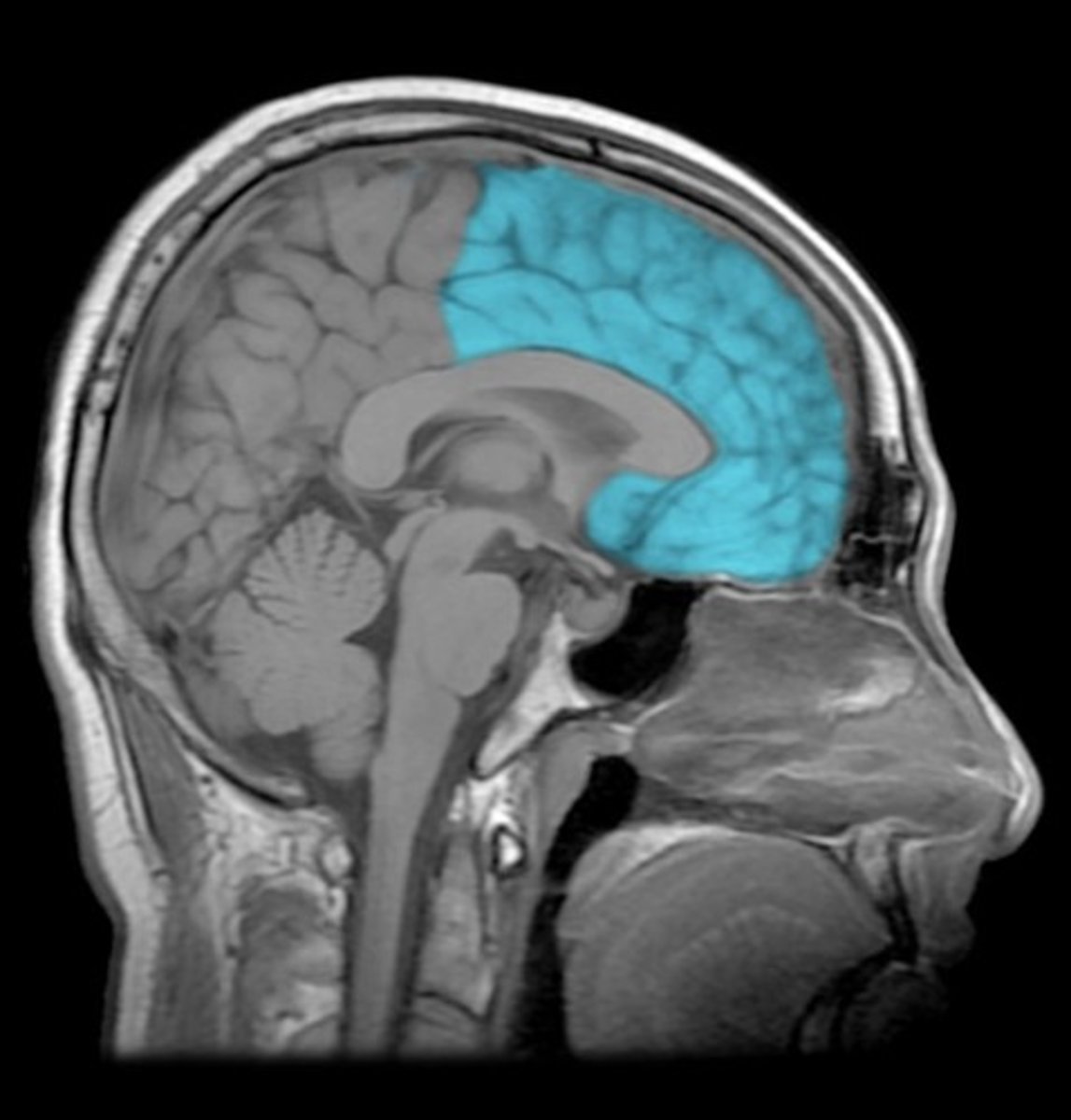
Frontal Lobe

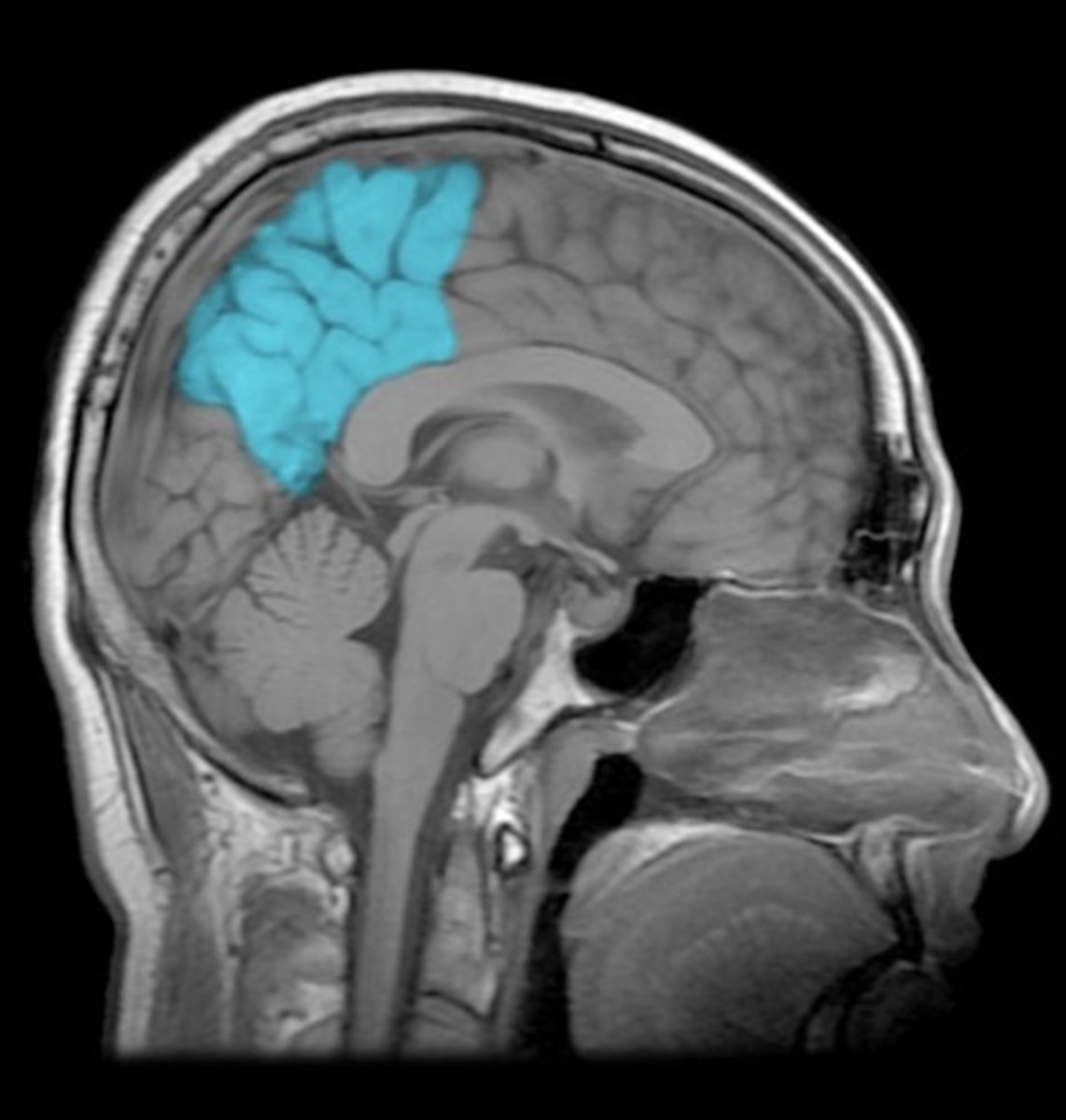
Parietal Lobe

Occipital Lobe

Third Ventricle

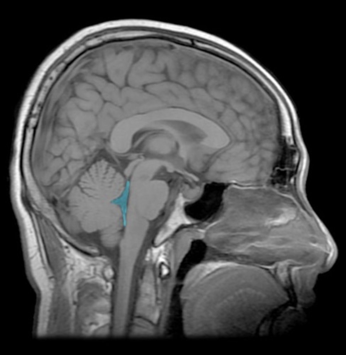
Fourth Ventricle

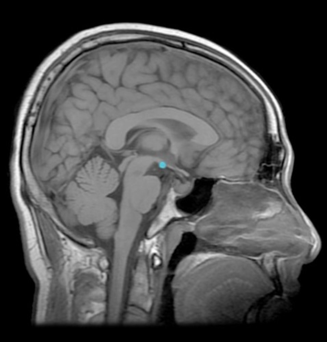
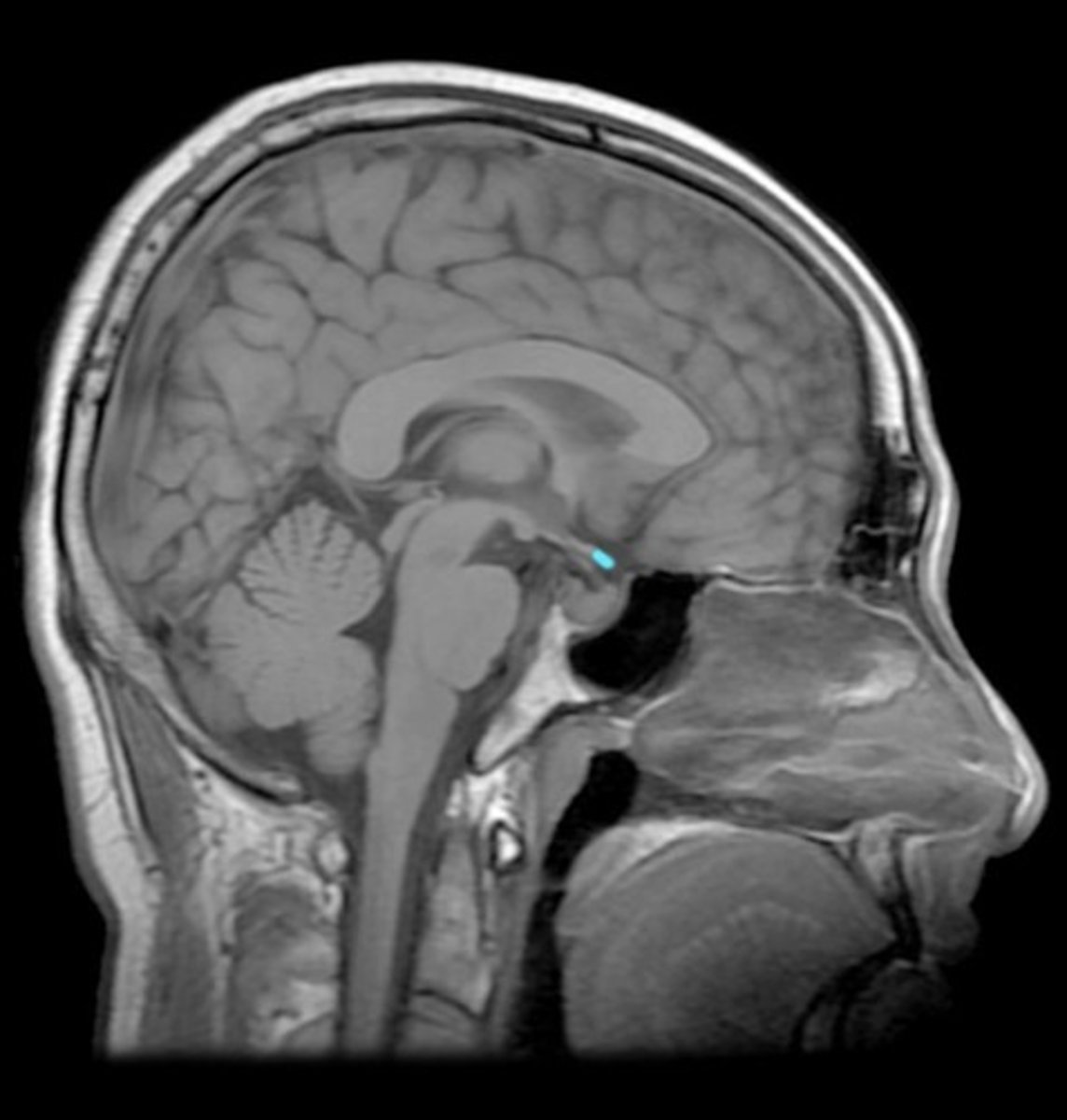
Mammillary Body

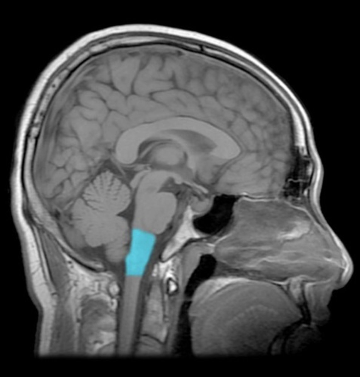
Medulla Oblongata

Midbrain

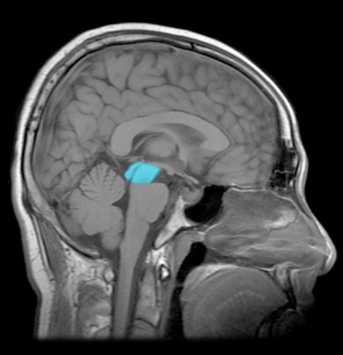
Pons

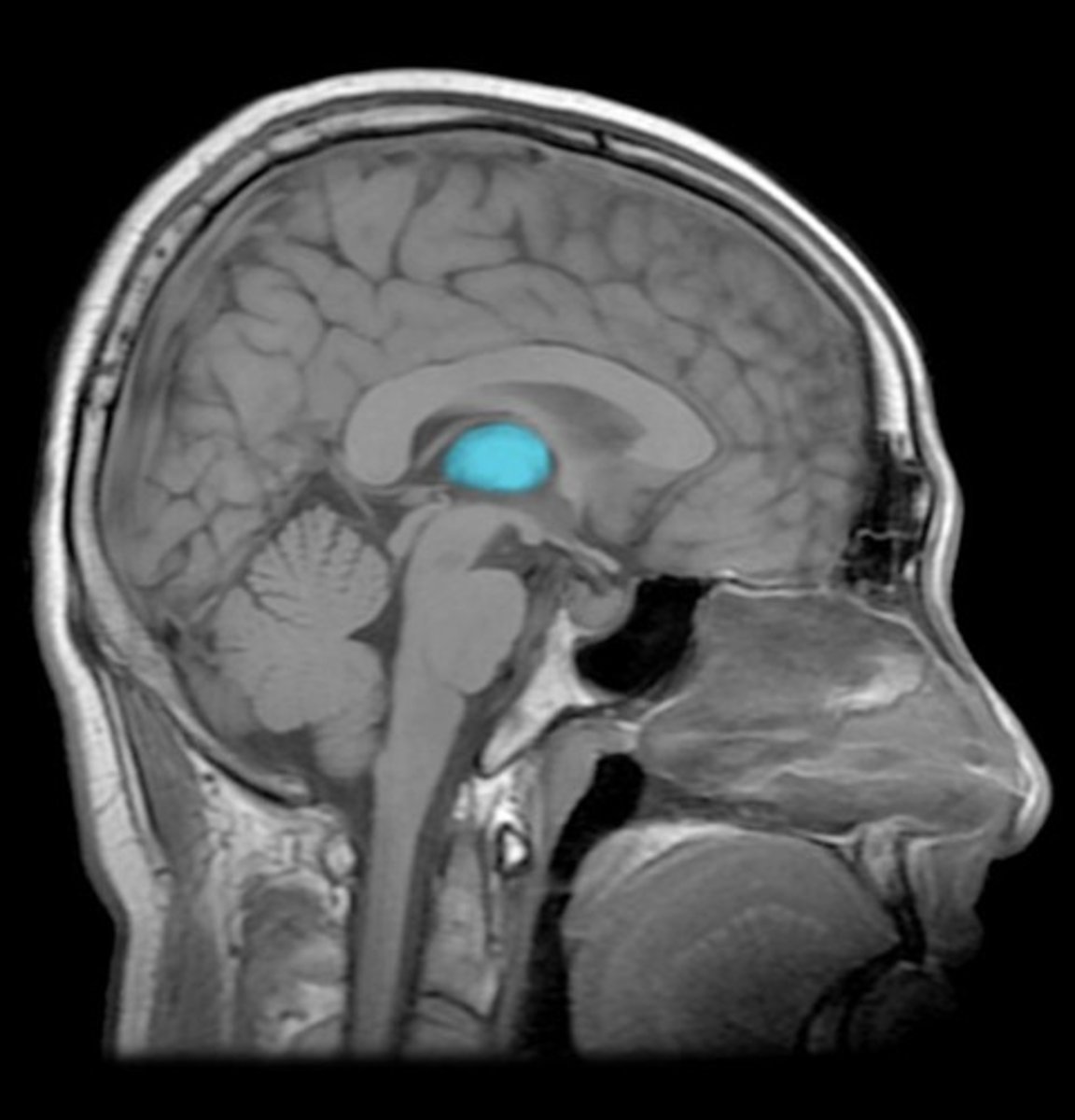
Thalamus

Optic Nerve

Spinal Cord
