1/56
Looks like no tags are added yet.
Name | Mastery | Learn | Test | Matching | Spaced |
|---|
No study sessions yet.

A
aorta

B
pulmonary trunk

C
superior vena cava

D
right internal jugular vein

E
left common carotid artery e

F
abdominal aorta

G
left common iliac artery

H
left external iliac artery

I
right internal iliac artery

J
left renal vein

K
right subclavian vein

L
left brachiocephalic vein

A
right atrium

C
pulmonary trunk

D
aorta

E
right brachiocephalic artery

F
left common carotid artery

G
left subclavian artery

H
pulmonary valve

J
left ventricle

K
pulmonary vein

L
mitral/bicuspid valve

1
lumen

2
valve

3
endothelium/tunica interna

4
connective tissue

5
tunica media (smooth muscle)

6
tunica externa

which one is artery, which one is vein
L artery, R vein

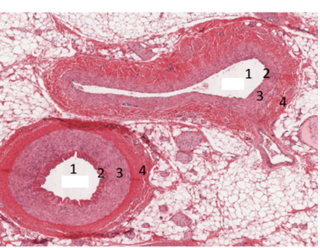
1
lumen

2
endothelium/tunica interna

3
tunica media (smooth muscle)

4
tunica externa

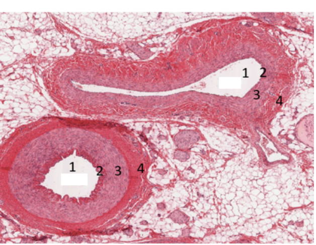
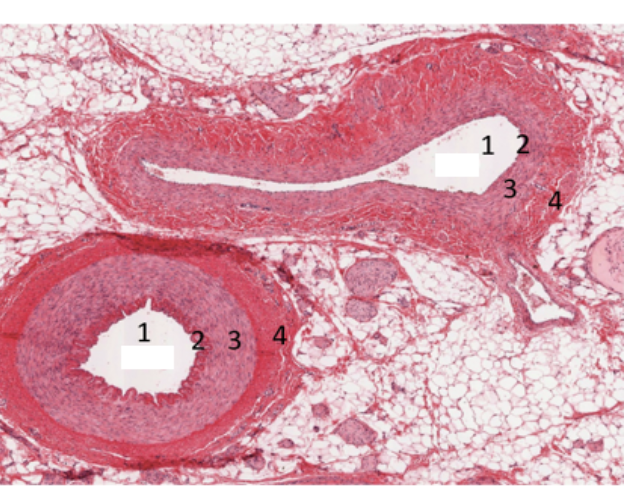
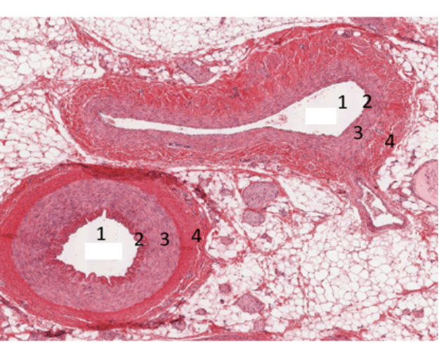
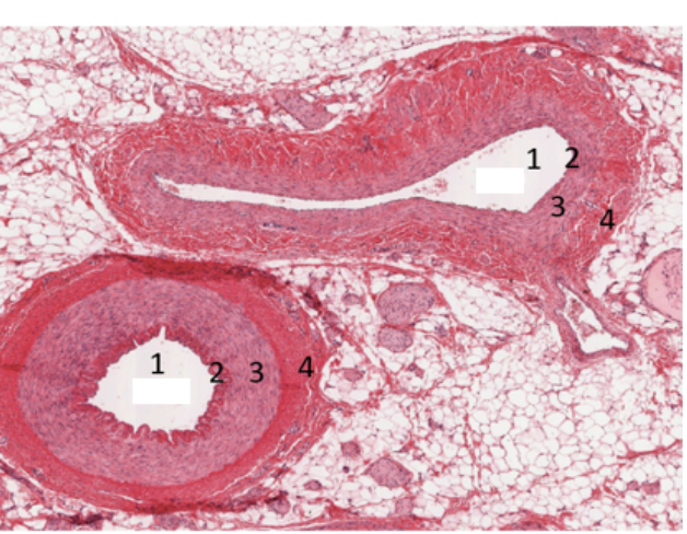
which one is artery, which one is vein
BL artery, TR vein

1
aortic arch

2
right brachiocephalic artery

3
left common carotid artery 3

4
left subclavian artery

6
superior vena cava

7
inferior vena cava

8
right common carotid artery

9
right subclavian artery

11
abdominal aorta

12
celiac trunk

13
superior mesenteric artery

14
inferior mesenteric artery

15
renal artery

16
renal vein

17
right common iliac artery

18
external iliac artery

19
left internal iliac artery

20
left common iliac vein

21
left external iliac vein

22
left internal iliac vein

23
right brachiocephalic vein

24
left subclavian vein

25
right internal jugular vein 25