Bio 314 Week 5 Lab Objectives

0.0(0)
studied byStudied by 0 people
full-widthCall with Kai
GameKnowt Play
learnLearn
examPractice Test
spaced repetitionSpaced Repetition
heart puzzleMatch
flashcardsFlashcards
Card Sorting

1/101

encourage image

There's no tags or description

Looks like no tags are added yet.

Study Analytics
Name
Mastery
Learn
Test
Matching
Spaced

No study sessions yet.

102 Terms

1
New cards

Artery

A blood vessel that carries blood away from the heart

<p>A blood vessel that carries blood away from the heart</p>
2
New cards

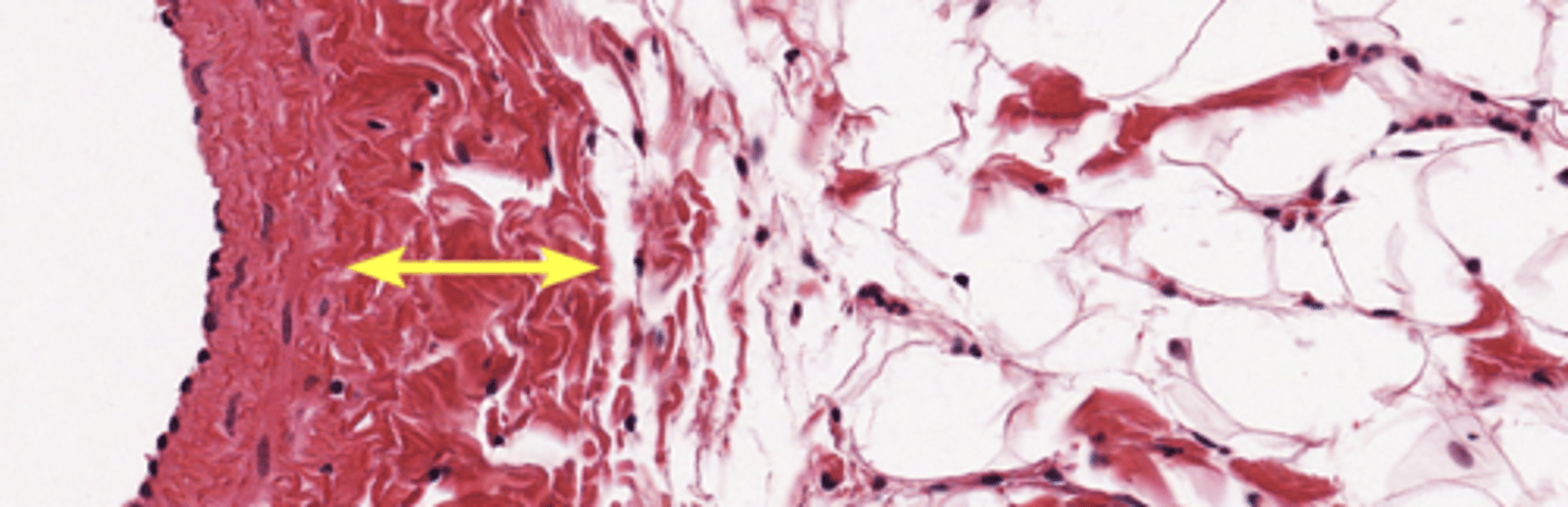
Tunica Externa of artery

What structure is this?

<p>What structure is this?</p>
3
New cards

Vasa Vasorum of Artery

What structure is this?

<p>What structure is this?</p>
4
New cards

Tunica media of artery

middle layer of smooth muscle and elastic connective tissue

<p>middle layer of smooth muscle and elastic connective tissue</p>
5
New cards

Tunica interna of artery

Inner layer of endothelium that contains simple squamous cells

<p>Inner layer of endothelium that contains simple squamous cells</p>
6
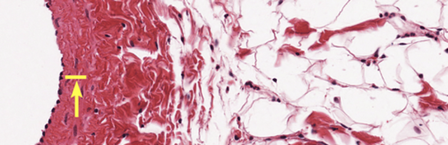
New cards

Endothelium of artery

What structure is this?

<p>What structure is this?</p>
7
New cards

Basement membrane of artery

thin layer of connective tissue underlying endothelium

<p>thin layer of connective tissue underlying endothelium</p>
8
New cards

Vein

A blood vessel that carries blood back to the heart.

<p>A blood vessel that carries blood back to the heart.</p>
9
New cards

Tunica Externa of vein

outer layer of connective tissue

<p>outer layer of connective tissue</p>
10
New cards

Vasa Vasorum of vein

What structure is this?

<p>What structure is this?</p>
11
New cards

Tunica media of vein

Middle layer of vein

<p>Middle layer of vein</p>
12
New cards

Tunica interna of vein

inner layer of vein

<p>inner layer of vein</p>
13
New cards

Endothelium of vein

What structure is this?

<p>What structure is this?</p>
14
New cards

Basement membrane of vein

thin layer of connective tissue underlying endothelium

<p>thin layer of connective tissue underlying endothelium</p>
15
New cards

Pulmonary trunk

carries blood from right ventricle to pulmonary arteries

<p>carries blood from right ventricle to pulmonary arteries</p>
16
New cards

Pulmonary artery

Carries deoxygentated blood from the heart to the lungs

<p>Carries deoxygentated blood from the heart to the lungs</p>
17
New cards

pulmonary vein

carries oxygenated blood from the lungs to the heart

<p>carries oxygenated blood from the lungs to the heart</p>
18
New cards

Aorta

Largest artery in the body

<p>Largest artery in the body</p>
19
New cards

Aortic arch

a curved blood vessel from which arteries branch to the head and neck.

<p>a curved blood vessel from which arteries branch to the head and neck.</p>
20
New cards

decending aorta

artery that extends from renal artery and runs down spine to lower region of the body

<p>artery that extends from renal artery and runs down spine to lower region of the body</p>
21
New cards

Thoracic aorta

part of the aorta the descends from the aortic arch through the thorax to the diaphragm

<p>part of the aorta the descends from the aortic arch through the thorax to the diaphragm</p>
22
New cards

Abdominal aorta

continuation of the thoracic aorta that runs through the abdominal cavity

<p>continuation of the thoracic aorta that runs through the abdominal cavity</p>
23
New cards

Inferior vena cava

receives blood from lower limbs and abdominal organs and empties into the posterior part of the right atrium of the heart

<p>receives blood from lower limbs and abdominal organs and empties into the posterior part of the right atrium of the heart</p>
24
New cards

Superior vena cava

receives blood from the head and arms and chest and empties into the right atrium of the heart

<p>receives blood from the head and arms and chest and empties into the right atrium of the heart</p>
25
New cards

Superficial temporal artery

artery that supplies blood to the muscles of the front, side, and top of the head

<p>artery that supplies blood to the muscles of the front, side, and top of the head</p>
26
New cards

Occipital artery

Supplies blood to the skin and muscles of the scalp and back of the head up to the crown.

<p>Supplies blood to the skin and muscles of the scalp and back of the head up to the crown.</p>
27
New cards

Common carotid artery

Artery that supplies blood to the face, head, and neck.

<p>Artery that supplies blood to the face, head, and neck.</p>
28
New cards

Internal carotid artery

located on each side of the neck

<p>located on each side of the neck</p>
29
New cards

External carotid artery

Artery that supplies blood to the anterior (front) parts of the scalp, ear, face, neck, and sides of the head.

<p>Artery that supplies blood to the anterior (front) parts of the scalp, ear, face, neck, and sides of the head.</p>
30
New cards

Vertebral artery

Supplies blood to the spinal column and brain.

<p>Supplies blood to the spinal column and brain.</p>
31
New cards

Facial artery

Supplies blood to the lower region of the face, mouth, and nose.

<p>Supplies blood to the lower region of the face, mouth, and nose.</p>
32
New cards

Superficial temporal vein

drains areas supplied by maxillary and superficial temporal arteries.

<p>drains areas supplied by maxillary and superficial temporal arteries.</p>
33
New cards

Occipital vein

A vein that drains the occipital region of the head.

<p>A vein that drains the occipital region of the head.</p>
34
New cards

Facial vein

drains the facial structures beginning near the eye and descending toward the mandible

<p>drains the facial structures beginning near the eye and descending toward the mandible</p>
35
New cards

External jugular vein

A vein that drains the occipital region of the head.

<p>A vein that drains the occipital region of the head.</p>
36
New cards

Internal jugular vein

Vein located at the side of the neck to collect blood from the brain and parts of the face and neck.

<p>Vein located at the side of the neck to collect blood from the brain and parts of the face and neck.</p>
37
New cards

Basilar artery

blood vessel from the merged vertebral arteries that runs along the dorsal surface of the brain stem

<p>blood vessel from the merged vertebral arteries that runs along the dorsal surface of the brain stem</p>
38
New cards

Internal carotid artery

Artery that supplies blood to the brain, eyes, eyelids, forehead, nose, and internal ear.

<p>Artery that supplies blood to the brain, eyes, eyelids, forehead, nose, and internal ear.</p>
39
New cards

Middle cerebral artery

Artery that supplies blood to the brain, eyes, eyelids, forehead, nose, and internal ear.

<p>Artery that supplies blood to the brain, eyes, eyelids, forehead, nose, and internal ear.</p>
40
New cards

Circle of Willis

A circle of arteries at the base of the brain that supply blood to the brain

<p>A circle of arteries at the base of the brain that supply blood to the brain</p>
41
New cards

Posterior cerebral artery

supplies occipital lobe

<p>supplies occipital lobe</p>
42
New cards

posterior communicating artery

Connects posterior cerebral artery to the internal carotid artery

<p>Connects posterior cerebral artery to the internal carotid artery</p>
43
New cards

Anterior cerebral artery

The artery of the Circle of Willis that transports

blood from the internal carotid artery to the

posterior cerebral artery is the

<p>The artery of the Circle of Willis that transports</p><p>blood from the internal carotid artery to the</p><p>posterior cerebral artery is the</p>
44
New cards

anterior communicating artery

connects right and left anterior cerebral arteries

<p>connects right and left anterior cerebral arteries</p>
45
New cards

Aortic arch

connects right and left anterior cerebral arteries

<p>connects right and left anterior cerebral arteries</p>
46
New cards

Brachiocephalic trunk artery

supplies blood to the right arm and the head and neck

<p>supplies blood to the right arm and the head and neck</p>
47
New cards

Subclavian artery

either of the arteries that carry blood into the arms

<p>either of the arteries that carry blood into the arms</p>
48
New cards

Celiac trunk artery

the liver receives its blood supply from

<p>the liver receives its blood supply from</p>
49
New cards

Common hepatic artery

Supplies the liver

<p>Supplies the liver</p>
50
New cards

Splenic artery

supplies the spleen

<p>supplies the spleen</p>
51
New cards

Gastric artery

supplies the stomach

<p>supplies the stomach</p>
52
New cards

superior mesenteric artery

large abdominal artery; feed large and small intestine

<p>large abdominal artery; feed large and small intestine</p>
53
New cards

Renal artery

blood vessel that carries blood to the kidney

<p>blood vessel that carries blood to the kidney</p>
54
New cards

Gonadal artery

Supplies blood to the male and female gonads

<p>Supplies blood to the male and female gonads</p>
55
New cards

inferior mesenteric artery

supplies large intestine

<p>supplies large intestine</p>
56
New cards

Common iliac artery

Terminal branches of the abdominal aorta, supplies pelvic organs

<p>Terminal branches of the abdominal aorta, supplies pelvic organs</p>
57
New cards

External iliac artery

supplies lower limbs

<p>supplies lower limbs</p>
58
New cards

Internal iliac artery

Main artery of the pelvis

<p>Main artery of the pelvis</p>
59
New cards

External iliac vein

receives venous blood from the lower extremity

<p>receives venous blood from the lower extremity</p>
60
New cards

internal iliac vein

drains pelvis

<p>drains pelvis</p>
61
New cards

Common iliac vein

receives blood from the internal and external iliac veins and returns blood to the inferior vena cava

<p>receives blood from the internal and external iliac veins and returns blood to the inferior vena cava</p>
62
New cards

Gonadal vein

generic term for a vein draining a reproductive organ

<p>generic term for a vein draining a reproductive organ</p>
63
New cards

Renal vein

blood vessel that carries blood away from the kidney and toward the heart

<p>blood vessel that carries blood away from the kidney and toward the heart</p>
64
New cards

Hepatic vein

the vein that collects blood from the liver and returns it to the heart

<p>the vein that collects blood from the liver and returns it to the heart</p>
65
New cards

Azygos vein

knowt flashcard image
66
New cards

Brachiocephalic vein

the vein that collects blood from the liver and returns it to the heart

<p>the vein that collects blood from the liver and returns it to the heart</p>
67
New cards

Axillary artery

artery that carries oxygenated blood to the axilla (armpit) area

<p>artery that carries oxygenated blood to the axilla (armpit) area</p>
68
New cards

Brachial artery

artery of the upper arm; the site of the pulse checked during infant CPR

<p>artery of the upper arm; the site of the pulse checked during infant CPR</p>
69
New cards

Radial artery

The major artery in the forearm; it is palpable at the wrist on the thumb side.

<p>The major artery in the forearm; it is palpable at the wrist on the thumb side.</p>
70
New cards

Ulnar artery

artery that supplies blood to the muscle of the little finger side of the arm and palm of the hand

<p>artery that supplies blood to the muscle of the little finger side of the arm and palm of the hand</p>
71
New cards

Deep palmar arch artery

radial artery

<p>radial artery</p>
72
New cards

Superficial palmar arch artery

radial artery

<p>radial artery</p>
73
New cards

Superficial venous palmar arch

Palm of hand - drains into cephalic and basilica veins

<p>Palm of hand - drains into cephalic and basilica veins</p>
74
New cards

Deep venous palmar arch

Palm of hand - drains into cephalic and basilica veins

<p>Palm of hand - drains into cephalic and basilica veins</p>
75
New cards

Ulnar vein

Name this vein.

<p>Name this vein.</p>
76
New cards

Radial vein

Name this vein.

<p>Name this vein.</p>
77
New cards

Basilic vein

large vein on the inner side of the upper arm

<p>large vein on the inner side of the upper arm</p>
78
New cards

Median cubital vein

drains the anterior elbow

<p>drains the anterior elbow</p>
79
New cards

Cephalic vein

Large vein on the outermost side of the upper arm

<p>Large vein on the outermost side of the upper arm</p>
80
New cards

Brachial vein

Large vein on the outermost side of the upper arm

<p>Large vein on the outermost side of the upper arm</p>
81
New cards

Axillary vein

The subclavian vein arises as the continuation of

the

<p>The subclavian vein arises as the continuation of</p><p>the</p>
82
New cards

subclavian vein

either of the two veins that returns blood from the arms to the heart

<p>either of the two veins that returns blood from the arms to the heart</p>
83
New cards

femoral artery

the major artery supplying the leg

<p>the major artery supplying the leg</p>
84
New cards

Popliteal artery

behind the knee

<p>behind the knee</p>
85
New cards

Fibular artery

supplies the lateral compartment of the leg

<p>supplies the lateral compartment of the leg</p>
86
New cards

Anterior tibial artery

supplies blood to the lower leg muscles and to the muscles and skin on the top of the foot and adjacent sides of the first and second toes

<p>supplies blood to the lower leg muscles and to the muscles and skin on the top of the foot and adjacent sides of the first and second toes</p>
87
New cards

Posterior tibial artery

artery supplying the foot, behind the medial ankle

<p>artery supplying the foot, behind the medial ankle</p>
88
New cards

Dorsalis pedis artery

artery supplying the foot, lateral to the large tendon of the big toe

<p>artery supplying the foot, lateral to the large tendon of the big toe</p>
89
New cards

Arcuate artery

Identify the vessel.

<p>Identify the vessel.</p>
90
New cards

Dorsal venous arch

drains blood from digital veins and vessels on the superior surface of the foot

<p>drains blood from digital veins and vessels on the superior surface of the foot</p>
91
New cards

Dorsalis pedis vein

drains the foot

<p>drains the foot</p>
92
New cards

Posterior tibial vein

from plantar arch

<p>from plantar arch</p>
93
New cards

Anterior tibial vein

from plantar arch

<p>from plantar arch</p>
94
New cards

Fibular vein

longest vein in the body, travels along medial leg; empties into the femoral vein

<p>longest vein in the body, travels along medial leg; empties into the femoral vein</p>
95
New cards

Popliteal vein

The vein that forms when the anterior and posterior tibial veins unite at the knee.

<p>The vein that forms when the anterior and posterior tibial veins unite at the knee.</p>
96
New cards

Great saphenous vein

longest vein in body;

drains blood from foot, leg, and thigh;

joins with femoral vein

<p>longest vein in body;</p><p>drains blood from foot, leg, and thigh;</p><p>joins with femoral vein</p>
97
New cards

Femoral vein

major vein of the thigh that receives blood from the deep femoral and great saphenous vein

<p>major vein of the thigh that receives blood from the deep femoral and great saphenous vein</p>
98
New cards

Placenta

A structure that allows an embryo to be nourished with the mother's blood supply

<p>A structure that allows an embryo to be nourished with the mother's blood supply</p>
99
New cards

Umbilical cord

a tube containing the blood vessels connecting the fetus and placenta

<p>a tube containing the blood vessels connecting the fetus and placenta</p>
100
New cards

Umbilical vein

delivers oxygenated blood from the placenta to the fetus

<p>delivers oxygenated blood from the placenta to the fetus</p>