neck masses and salivary glands HEENT

0.0(0)
studied byStudied by 0 people
0.0(0)
full-widthCall Kai
learnLearn
examPractice Test
spaced repetitionSpaced Repetition
heart puzzleMatch
flashcardsFlashcards
GameKnowt Play
Card Sorting

1/59

encourage image

There's no tags or description

Looks like no tags are added yet.

Study Analytics
Name
Mastery
Learn
Test
Matching
Spaced

No study sessions yet.

60 Terms

1
New cards

HIV parotitis S&S

nonpainful swelling of parotic gland or asymptomatic

2
New cards

parotitis in TB S&S

chronic nontender swelling of one parotid glands, lump within gland

uncommon

3
New cards

sjogren syndrome S&S

recurrent or chronic swelling of one or both parotid glands

discomfort is modest, dry mouth and eyes

associated with autoimmune

4
New cards

what’s the major salivary glands possibly involved in salivary gland stones (sialolithiasis)

parotid/stensen’s duct

submandibular/wharton’s duct

sublingual

5
New cards

salivary gland stones (sialolithiasis)

inflammation of salivary gland/duct

stagnation of salivary flow and Ca conc.

pathogenesis unknown

6
New cards

which gland is more prone to stone formation and why?

submandibular gland, flow of saliva is slow and against gravtiy

7
New cards

sialolithiasis S&S

sudden onset of swelling and pain in affected gland assoc. w/ eating and anticipation of eating

8
New cards

sialolithiasis Dx

clinical, history and PEx

9
New cards

sialolithiasis imaging?

CT w/o contrast for location of stone

solid = malignancy?, cystic = benign? (fluid, soft)

10
New cards

sialolithiasis Tx

conservative management - hydration, moist heat, massage gland

supportive: discontinue anticholinergic meds, NSAIDs PRN

11
New cards

complications of sialolithiasis

acute bacterial sialadenitis, abscess formation

12
New cards

acute bacterial sialadenitis

suppurative sialadenitis that can occur in absence of stone

13
New cards

most commonly involved gland in acute bacterial sialadenitis

parotid gland

14
New cards

most common pathogen in acute bacterial sialadenitis?

staph aureus

15
New cards

acute bacterial sialadenitis S&S

increased pain and swelling with meals

tenderness and erythema of duct opening

+pus = infxn

16
New cards

acute bacterial sialadenitis Tx

PO Abx

17
New cards

viral sialadenitis/viral parotitis - most common cause

mumps virus

18
New cards

viral sialadenitis (mumps) S&S

acute pain and swelling of one or both parotid glands

low-grade fever, malaise, HA, myalgia, anorexia

19
New cards

Tx of mumps/viral sialadenitis

self-limiting, supportive care

20
New cards

what is the most common type of benign salivary gland tumors?

pleomorphic adenoma

21
New cards

what is the most frequent site of salivary gland tumors?

parotid gland

22
New cards

what is the most common malignant salivary gland tumor?

mucoepidermoid carcinoma and adenoid cystic carcinoma

23
New cards

S&S salivary gland tumors

painless mass/swelling of the major glands

24
New cards

salivary gland tumor = parotid mass (+) is indicative of what?

facial nerve involvement, usually malignant

25
New cards

salivary gland tumor Dx

CT vs. MRI,

FNA bx, US Core Bx for definitive Dx

26
New cards

lyme disease bacteria

borrelia burgdorferi

27
New cards

what is lyme disease transmitted by?

Ixodes genus ticks

28
New cards

S&S lyme disease

facial paralysis, dysesthesias (decreased sensation CNVII), dysgeusia

HA, pain, cervical lymphaenopathy

29
New cards

cat scratch disease bacteria

Rochalimaea henselae (gram negative rod)

30
New cards

cat scratch disease S&S

cat scratch or bite, local papule/pustule/vesicle overlying scratch

persistent painful regional lymphadenopathy

31
New cards

cat scratch disease Dx

lab - skin test with antigen (Hanger-Rose skin test)

32
New cards

what is the most common form of congenital cyst in the neck?

thyroglossal duct cyst

33
New cards

thyroglossal duct cyst S&S

midline neck mass at level of thyrohyoid membrane, associated w hyoid bone

sinus tract may be present

<p>midline neck mass at level of thyrohyoid membrane, associated w hyoid bone</p><p>sinus tract may be present</p>
34
New cards

thyroglossal duct cyst Dx

CT/MRI/US, fistulography

FNA - definitive Dx

35
New cards

thyroglossal duct cyst Tx

surgical excision

36
New cards

branchial cleft cyst/fistula

congenital epithelial cysts in lateral part of the neck

37
New cards

branchial cleft cyst S&S

swelling in upper part of neck to SCM muscle,

± fistula to surface

<p>swelling in upper part of neck to SCM muscle, </p><p>± fistula to surface</p>
38
New cards

branchial cleft cyst Tx

conservative vs. surgical excision

39
New cards

dermatoid cyst caused by

entrapment of epithelium in deeper tissue

40
New cards

dermoid cyst S&S

usually midline, nontender, mobile, submental neck masses

41
New cards

dermoid cyst Tx

surgical excision

42
New cards

lymphangioma

congenital malformation of lymphatic system

<p>congenital malformation of lymphatic system </p>
43
New cards

lymphangioma Tx

surgery, sclerotherapy, laser therapy

44
New cards

congenital torticollis

postural deformity of neck (lateral neck flexion and neck rotation)

contracted muscle appears like a mass

<p>postural deformity of neck (lateral neck flexion and neck rotation)</p><p>contracted muscle appears like a mass</p>
45
New cards

goals of congenital torticollis Tx

midline head position, posture symmetric, craniofacial symmetry improvement

46
New cards

teratoma

arises from pluripotential cells

classically large, encapsulated - cystic component

<p>arises from pluripotential cells</p><p>classically large, encapsulated - cystic component</p>
47
New cards

thymic mass

implantation of thymic tissue during embryonic descent

usually midline, angle of mandible to midline of neck

<p>implantation of thymic tissue during embryonic descent</p><p>usually midline, angle of mandible to midline of neck</p>
48
New cards

thymic mass Tx

surgical excision

49
New cards

which are rare causes of neck masses

metabolic and autoimmune

50
New cards

metabolic neck masses causes:

gout, sarcoidosis (granulomas tissue)

kimura’s disease, castleman’s disease

51
New cards

kimura’s disease

uncommon chronic inflammatory condition involve subcutaneous tissue

52
New cards

castleman’s disease

benign lymphoproliferative disorder that most frequently involves mediastinal lymph nodes

53
New cards

lymphoma

malignancy neck mass of lymphatic system (cancer)

54
New cards

what are the two types of lymphomas?

non-Hodgkins and Hodgkins

55
New cards

S&S lymphoma

painless swelling of lymph nodes, fatigue, SOB

B-symptoms: fever, night sweats, unexplained weight loss

56
New cards

lymphoma Tx

depends on: type of disease, aggressiveness, location, age, general health

57
New cards

Hodgkin’s lymphoma

younger usually

arise in neck, axilla, chest, Reed-Sternberg cell

58
New cards

non-hodgkin’s

older pts usually

arise in LN throughout body

dx at more advanced stage

59
New cards

which type of lymphoma has poor prognosis and why?

Non-Hodgkin’s due to delayed Dx

60
New cards

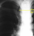
substernal goiter

trachea displaced

<p>trachea displaced</p>