The Lymphomas (Chapter 22)

0.0(0)
studied byStudied by 4 people
0.0(0)
full-widthCall with Kai
GameKnowt Play
New
learnLearn
examPractice Test
spaced repetitionSpaced Repetition
heart puzzleMatch
flashcardsFlashcards
Card Sorting

1/35

encourage image

There's no tags or description

Looks like no tags are added yet.

Study Analytics
Name
Mastery
Learn
Test
Matching
Spaced

No study sessions yet.

36 Terms

1
New cards

What do lymphomas arise from?

  • Lymph nodes

  • Spleen

  • Thymus

2
New cards

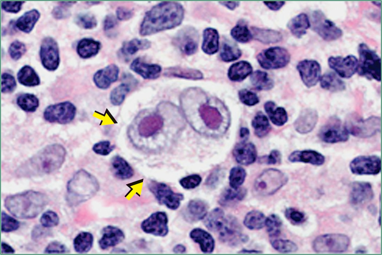
What is the hallmark of Hodgkin Lymphoma?

Reed-Sternberg cells

3
New cards

What kind of appearance do Reed-Sternberg cells give off?

“owls eye” appearance

4
New cards
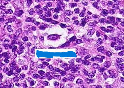
<p>What kind of cell is this?</p>

What kind of cell is this?

Reed-Sternberg cell

5
New cards

What is the main cause of Hodgkin Lymphoma?

Unknown, however, it may involve the Epstein-Barr virus

6
New cards

How would you describe a Reed-Sternberg cell?

Clearing of the chromatin around the nucleoli forming a distinct halo

7
New cards

What is the most common subtype of HL?

Nodular Sclerosis

8
New cards

In Nodular Sclerosis HL, what kind of cells are often seen?

Lacunar cells

9
New cards
<p>What kind of cell is this?</p>

What kind of cell is this?

Lacunar Cell

10
New cards

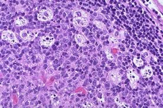
Mixed cellularity HL

Characterized by Reed-Sternberg cells surrounded by a heterogeneous mixture of cells, including lymphocytes, histiocytes, plasma cells & eosinophils

11
New cards
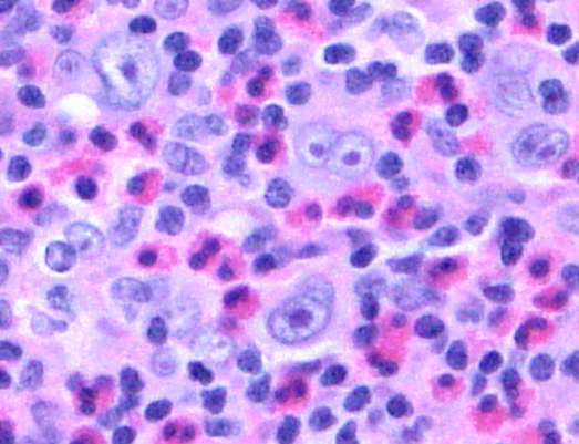
<p>What could this indicate?</p>

What could this indicate?

Mixed cellularity HL

12
New cards

Lymphocyte-rich (LRHL)

  • Characteristic background rich in lymphocytes

  • About 5% of HL cases; fair prognosis

13
New cards

What is the rarest form of classic HL?

Lymphocyte-Depleted (LDHL)

14
New cards

__ is more prevalent than HL

Non-Hodgkin Lymphoma

15
New cards

Non-Hodgkin Lymphoma is thought to be caused by:

DNA damage leading to unregulated cell proliferation

16
New cards

B-Cell Non-Hodgkin Lymphomas

Arises from a single B lymphocyte that has lost its ability to control cell proliferation

17
New cards

Mantle cell lymphoma (MCL)

  • Malignant lymphocytes that originate from the “mantle zone”

18
New cards

Mantle cell lymphoma is associated with the increased amount of _____

Cyclin D1 protein

19
New cards

When cyclin D1 is overproduced, what occurs?

Drives uncontrolled cell growth

20
New cards

In MCL, what genes are undergoing translocation?

Gene t(11;14)(q13;q32)

21
New cards

Extra-nodal MZL

Mucosa-associated lymphoid tissue (“MALT-lymphoma”) at sites such as stomach, salivary gland, lung, thyroid, or skin

22
New cards

Nodal MZL

Occurs within lymph nodes

  • Patients with autoimmune disorders such as Sjogren’s syndrome or Hashimoto’s thyroiditis

23
New cards

Splenic MZL

Abnormal B cells collect in the spleen (splenomegaly)

24
New cards

___ and CLL are essentially the same disease

Small lymphocytic lymphoma

25
New cards

Richter’s transformation

Occurs when small lymphocytic lymphoma transforms to a more aggressive lymphoma

26
New cards

Richter’s transformation occurs in approximately ____% of patients with SLL

2-10

27
New cards

Hairy cell leukemia (HCL)

Rare; abundance of mature lymphocytes with oval/kidney-shaped nuclei and abundant cytoplasm and “hairy” cell surface projections

28
New cards

Virtually all cases of Hairy cell leukemia harbor a _____ gene mutation

BRAF V600E

29
New cards

Which cancer has the highest proliferation rate of all cancers?

Burkitt lymphoma

30
New cards

What kind of pattern does Burkitt lymphoma lead to?

A starry sky pattern of tingible-body macrophages

31
New cards

Where is Burkitt lymphoma endemic to?

Africa

32
New cards
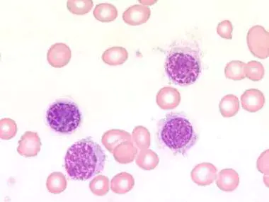
<p>What could these cells indicate?</p>

What could these cells indicate?

Hairy cell leukemia

33
New cards
<p>What could this indicate?</p>

What could this indicate?

Burkitt Lymphoma

34
New cards

Peripheral T-cell lymphoma (PTCL)

Aggressive cancer mostly affecting adults; overall 5-year survival is only 25%; 20 subtypes

35
New cards

Anaplastic large cell lymphoma is characterized by:

“Hallmark cells” with horseshoe-shaped or kidney-shaped nuclei

36
New cards

What is the most frequently occurring type of primary cutaneous lymphoma?

Mycosis fungoides