Lab Exercise 5- Histology/Tissue Slides

0.0(0)
studied byStudied by 0 people
full-widthCall with Kai
GameKnowt Play
learnLearn
examPractice Test
spaced repetitionSpaced Repetition
heart puzzleMatch
flashcardsFlashcards
Card Sorting

1/22

encourage image

There's no tags or description

Looks like no tags are added yet.

Study Analytics
Name
Mastery
Learn
Test
Matching
Spaced

No study sessions yet.

23 Terms

1
New cards

Simple Squamous

knowt flashcard image
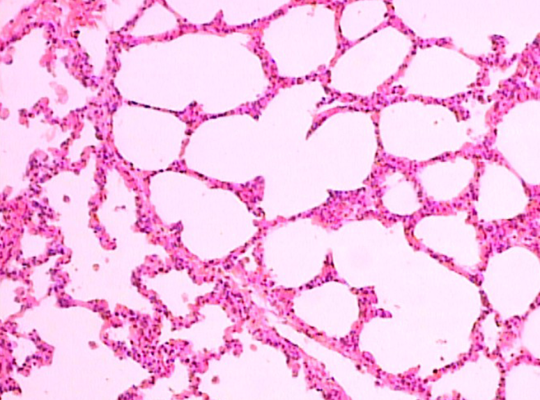
2
New cards

Simple Squamous in the Alveoli

knowt flashcard image
3
New cards

Simple Cuboidal

knowt flashcard image
4
New cards

Simple Columnar with Microvilli 

knowt flashcard image
5
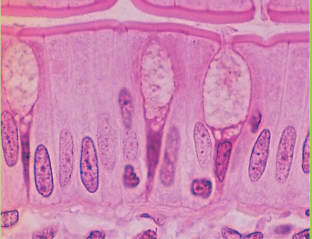
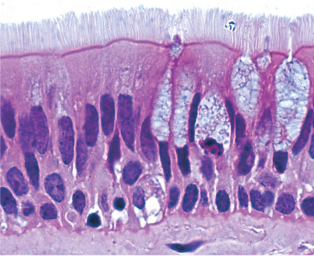
New cards

Pseudostratified Ciliated Columnar

knowt flashcard image
6
New cards

Keratinized Stratified Squamous

knowt flashcard image
7
New cards

Non-Keratinized Stratified Squamous

knowt flashcard image
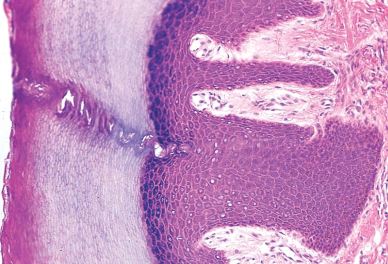
8
New cards

Urothelium/Transitional Epithelial

knowt flashcard image
9
New cards

Stratified Cuboidal

knowt flashcard image
10
New cards

Loose Areolar Connective

knowt flashcard image
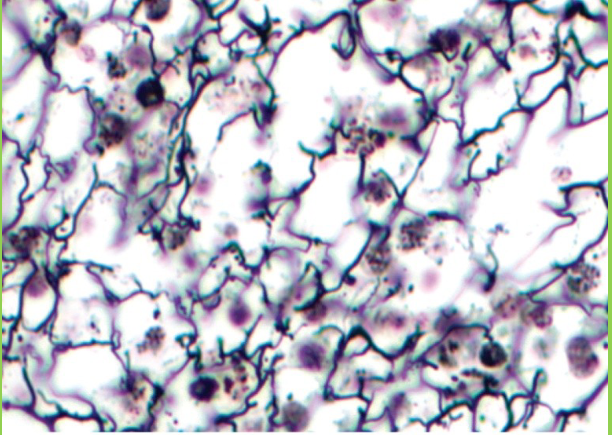
11
New cards

Loose Reticular Connective

knowt flashcard image
12
New cards

Dense Regular Connective

knowt flashcard image
13
New cards

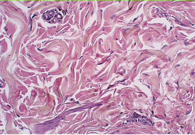
Dense Irregular Connective

knowt flashcard image
14
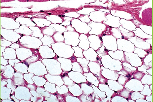
New cards

Adipose

knowt flashcard image
15
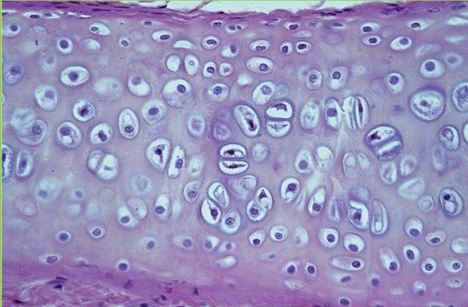
New cards

Hyaline Cartialge

knowt flashcard image
16
New cards

Elastic Cartilage

knowt flashcard image
17
New cards

Fibrocartilage

knowt flashcard image
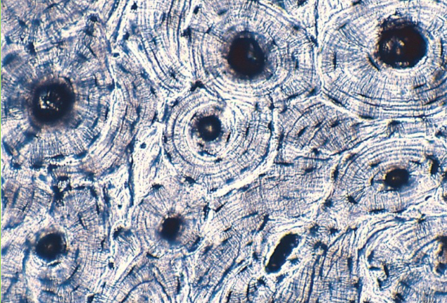
18
New cards

Osseous Tissue (Compact Bone in slide)

knowt flashcard image
19
New cards

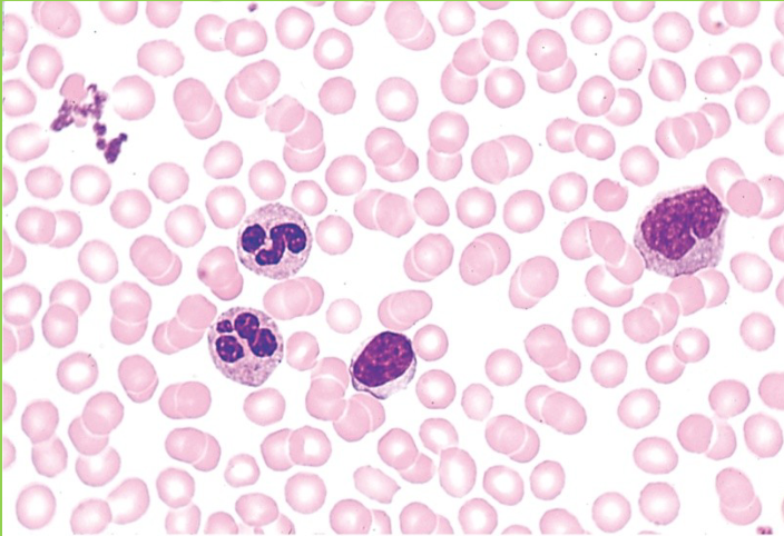
Fluid Connective (Blood)

knowt flashcard image
20
New cards

Nervous Tissue

knowt flashcard image
21
New cards

Skeletal Muscle

knowt flashcard image
22
New cards

Cardiac Muscle

knowt flashcard image
23
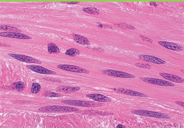
New cards

Smooth Muscle

knowt flashcard image