1/75
Looks like no tags are added yet.
Name | Mastery | Learn | Test | Matching | Spaced |
|---|
No study sessions yet.
large, superior portion
what consists of abdominal cavity?
smaller, inferior portion
what consists of the pelvic cavity?
abdominal cavity
extends from diaphragm to superior aspect of bony pelvis
stomach, small & large intestines, liver, gallbladder, spleen, pancreas, kidneys
pelvic cavity
lies w/in margins of bony pelvis
rectum & sigmoid regions of colon, reproductive organs
iliac crest, anterior superior liiac spine (ASIS), pubic symphysis
what are the areas of interest for positioning for abdomen?
greater trochanter is at level of pubic symphysis
what is an additional positioning aides to find pubic symphysis?
21 inches
what are the inches to measure from the jugular notch to find the pubic symphysis for a patient under 5 feet tall?
22 inches
what are the inches to measure from the jugular notch to find the pubic symphysis for a patient between 5-6 feet tall?
24 inches
what are the inches to measure from the jugular notch to find the pubic symphysis for a patient over 6 feet tall?
abdominal peritoneum
encloses abdominopelvic cavity
parietal peritoneum
outer portion → lines cavity
visceral peritoneum
inner portion → surrounds organs
peritoneal cavity
in between → contains fluid
pariteal
what is #1 peritoneum?

peritoneal
what is #2 cavity?

visceral
what is #3 peritoneum?

mesentery & omenta
folds which support the organs in position
mesentery
assist in attachment of the organs to the posterior abdominal wall
omenta
protective “drape” hangs from the stomch & attaches to the colon
retroperitoneum
cavity behind the peritoneum
kidneys & pancreas
what does the retroperitoneum include?
right
which kidney lies lower?
left
which colic flexure lies above?
liver
what pushes down the organs on the right side & up on the diaphragm?
volvulus
twisting of bowel on itself
idiopathic
what casues volvulus?
subtracive → decrease techniquue due to abundance of air
what are the technique factors of a patient w/ volvulus?
pt w/ volvulus
what is this an image of?

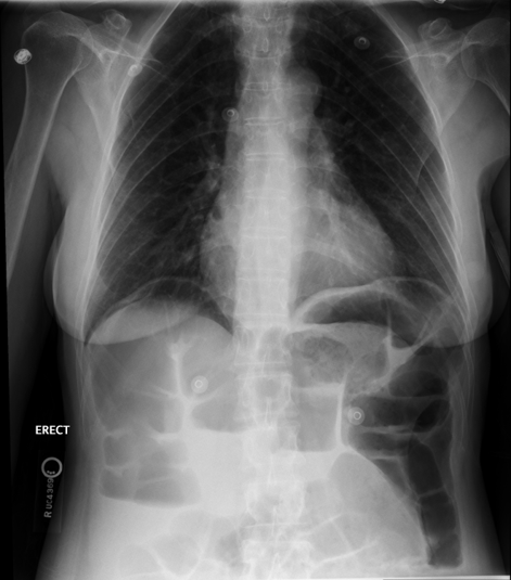
pneumoperitoneum
free air in the peritoneal cavity
usually from a perforation
recent abdominal surgery & perforation of hollow abdominal vsicera
trauma to abdominal wall w/ penetrating injury
what are the causes of pneumoperitoneum?
subtractive → decrease technique due to additional air
what are the tehcniques for a patient w/ pneumoperitoneum?
patient w/ pneumoperitoneum
what is this an image of?

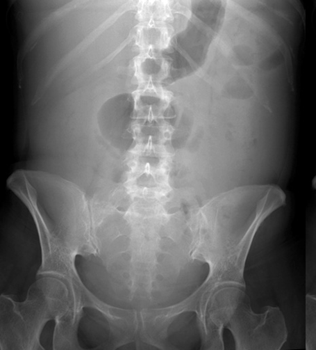
ascites
accumulation of fluid in the peritoneal cavity
idiopathic
complication of trauma
perforate ulcer
appendicitis/inlfammation fo colon
what causes ascites?
additive → may have to increase technique
what is teh technique factors of a patient w/ ascites?
pt w/ ascites
what is this an image of?

bowel obstruction
partial or full blockage of large or small bowel that does not allow substances to pass through
idiopathic, mechanical, ileus
what are the causes of bowel obstructions?
mechanical bowel obstruction
a physical blockage
surgical adhesions, tumors
what are exmaples of a mechanical bowel obstruction?
(adynamic) ileus bowel obstruction
peristalsis stops
depending on blockage
may need to increase/decrease
what are the techniques for a patient w/ a bowel obstruction?
patient w/ bowel obstruction
what is this an image of?

pica
psychological disorder or intentional & craving comsumption of non-nutritive substances over a period of time
iron deficiency, malnutrition, pregnancy, obsessive compulsive disorder, schizophernia, emotional stressor, autism
what are the causes of pica?
depending on blockage may need to increase
what are technique factors for a patient w/ pica?
patient w/ pica
what is this an image of?

AP Supine
what are the views for a abdomen AP (aka KUB)?
AP supine
AP erect/left lateral decubitus/transabdominal/dorsal decubitus
what are the views for an abdomen routine (obstuction series?
AP supine
AP erect/left lateral decubitus/transabdominal/dorsal decubitus
chest PA or AP erect
what are the views for a abdomen routine w/ chest 1 view?
area from pubic symphysis to the upper abdomen (normally 2 images)
kidneys, ureter & bladder
what is the criteria for a AP supine abdomen for urinary tract?
85
what is the kVp for abdomen?
14 X 17 portrait
what is the collimation for a AP supine for urinary tract?
14 X 11 crosswise
what is the collimation when doing a second image for urinary tract?
entire bowel pattern must be visualized
what is teh criteria for a AP supine GI concerns or part of abdomen routine?
obstruction, nausea, vomiting, diarrhea
what are related concerns to do a abdomen routine/AP supine?
on the of the wings of the pelvis will look wider
wide the wing = the rotation of the side
what are the indications for rotation on an AP supine abdomen?
the full rib cage is on the image
how do you know if you have the whole bowel on an abdomen image?
entire diaphragm w/out motion must be visualized
vertebral column should be in the center
“erect” must be annotated on the image
what is the criteria for an AP erect abdonmen?
17 X 14
if your patient won’t fit on a 14 X 17 portrait collimation, what is the other collimation choice?
2 inches above crest
what is the cnetering for an erect abdomen?
diaphragm must be included w/out motion
right side up should demonstrate free air if present
abdominal wall, flank structures & diaphragm should be visualize
RH - only require right side of diaphragm
“decubitus” annotation on the image
what is the criteria for a left lateral decubitus?
RH - higher point of abdomen must be visualized w/out motion
no rotation
“trans. abd” annotation
what is the criteria for a transabdominal/dorsal decubitus?
right upper quandrant (RUQ)
what is #1 quadrant?

left upper quandrant (LUQ)
what is #2 quadrant?

right lower quandrant (RLQ)
what is #3 quadrant?

left lower quandrant (LLQ)
what is #4 quadrant?

right hyochondriac region
what is #1 region?

epigastric region
what is #2 region?

left hypochondriac region
what is #3 region?

right lumbar region
what is #4 region?

umbilical region
what is #5 region?

left lumbar region
what is #6 region?

right iliac region
what is #7 region?

hypogastric region
what is #8 region?

left iliac region
what is #9 region?
