Chapter 22 Prokaryotes

0.0(0)
studied byStudied by 0 people
0.0(0)
full-widthCall with Kai
GameKnowt Play
New
learnLearn
examPractice Test
spaced repetitionSpaced Repetition
heart puzzleMatch
flashcardsFlashcards
Card Sorting

1/79

encourage image

There's no tags or description

Looks like no tags are added yet.

Study Analytics
Name
Mastery
Learn
Test
Matching
Spaced

No study sessions yet.

80 Terms

1
New cards

Who created the first microscope to see bacteria?

Leeuwenhoek

2
New cards

What does a culture medium contain?

contains all the nutrients needed by the target microorganism, can be liquid (broth) or solid

3
New cards

What does a pure culture medium contain?

a laboratory culture containing a single species of microorganism

4
New cards

Cocci

knowt flashcard image
5
New cards

Bacilli

knowt flashcard image
6
New cards

Spirili

knowt flashcard image
7
New cards

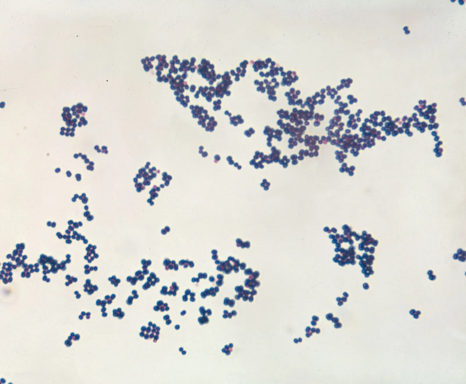
Staphylococci

cocci in groups/clusters

<p>cocci in groups/clusters</p>
8
New cards

Streptococci

overlaps but is the round shape

9
New cards

Prokaryote structure

Plasma membrane, cytoplasm, double stranded DNA genome, ribosomes

10
New cards

What do prokaryotes not contain

No membrane bound organelles, no nucleus, no microtubules, ribosome “free”

11
New cards

Do bacteria contain peptidoglycan in the cell wall

Yes

12
New cards

Do Archaea contain peptidoglycan in the cell wall?

No

13
New cards

Where do the cells walls in prokaryotes lie?

the cell wall lies outside the plasma membrane and prevents lysis

14
New cards

What stain color does Gram positive bacteria give?

Purple

15
New cards

What stain color does Gram negative bacteria give?

Pink

16
New cards

How many periplasmic spaces are in gram positive bacteria?

One gap between cell wall and cell membrane

17
New cards

How many periplasmic spaces are in gram negative bacteria?

two gaps between cell membrane and cell wall(first gap) and a gap between cell wall and outer membrane(second gap)

18
New cards

What is the cell membrane in bacteria made up of?

Phospholipids

19
New cards

What is the outer membrane of gram negative bacteria made of?

Lipopolysaccharide 

20
New cards

What is the function of the Lipopolysaccharide layer(outer membrane)?

Is a toxic layer that resists drugs and the immune system

21
New cards

What is the slime layer on bacteria called?

Glycocalyx

22
New cards

What is the function of Glycocalyx?

Sticky carbs and proteins secreted from the cell wall that glues to surfaces and resists attacks from the immune system. It holds in moisture.

23
New cards

What are hair-like protein called?

Fimbriae (short pili)

24
New cards

What structure allows movement on prokaryotes

flagellum

25
New cards

What is taxis?

movement directed toward or

away from (+ or -) stimulus

26
New cards

What is Chemotaxis

Stimulus toward chemicals

27
New cards

Phototaxis

Stimulus toward light

28
New cards

Geotaxis(magneto taxis)

magnetic

29
New cards

Do prokaryotes have plasmids

Yes

30
New cards

Do plasmids add diversity?

Yes

31
New cards

Do Archaea contain a nucleus(nuclear envelope)

No

32
New cards

Do Archaea contain membrane bound organelles?

No

33
New cards

Archaea and Eukarya starting codons are methionine(AUG)

True

34
New cards

Do bacteria contain histones

No

35
New cards

Are histones present in archaea?

In some species

36
New cards

Are histones present in Eukarya

Yes

37
New cards

Bacteria and Archaea have circular chromosome

True

38
New cards

What are Archaea membranes formed by?

Glycerol skeleton with ether linkages

39
New cards

What are Extremophiles

Bacteria and archaea that are adapted to grow under extreme

conditions (e.g. deep see vent, heat, dry, cold, radiation, etc.)

40
New cards

Acidophiles

Live in conditions with a pH of 3 or below

41
New cards

Alkaliphiles

Live in conditions with a pH of 9 or above(basic solutions)

42
New cards

Thermophiles

Live in conditions with temperatures of 60–80 °C (140–176 °F)(extremely hot)

43
New cards

Psychrophiles

Live in extremely cold environments of temperatures of -15-10 °C (5-50 °F) or lower

44
New cards

Halophiles

Salt concentration of at least 0.2 M(high salt concentration)

45
New cards

Osmophiles

High sugar concentration

46
New cards

What are photoautotrophs energy source?

use energy from sunlight, and carbon from carbon dioxide.(plants)

47
New cards

What are photoheterotrophs energy source?

obtain their energy from light, but their carbon from organic compounds.

48
New cards

What are Chemoheterotrophs energy source?

obtain both energy and carbon from chemical sources.(humans and animals)

49
New cards

What are Chemolithoautotrophs energy source?

obtain their energy from inorganic compounds, and they build their complex molecules from carbon dioxide.

50
New cards

What is symbiosis?

two species living in close relationship

51
New cards

What is Parasitism?

– smaller parasite benefits at

expense of other species (host)

• incl. pathogens (cause disease)

52
New cards

What is commensalism?

one species benefits without any impact (good or bad) on other species

• Ex: most bacteria on our skin

53
New cards

What is mutualism?

– both species benefit from each other

• Ex: Rhizobium in legume roots get sugar & water; provide fixed N for plant

54
New cards

Why are chemoheterotrophic bacteria important?

are the most important decomposers on earth

Secreted enzymes hydrolyze dead material or wastes

55
New cards

What bacteria caused the Oxygen revolution?

Cyanobacterial photosynthesis and are a major producer of oxygen to this day!

56
New cards

What does carbon fixation produce?

Sugar

57
New cards

In prokaryotes do they produce sexually or asexually?

Asexually

58
New cards

What type of asexual reproduction do prokaryotes do?

Through Binary fission: does not provide genetic diversity.

59
New cards

Where does genetic diversity come from in prokaryotes?

Horizontal gene transfer

60
New cards

Prokaryotes have a higher cell division rate and short generation times

True

61
New cards

What are the 3 types of horizontal gene transfer?

Conjugation, Transduction, Transformation

62
New cards

What is transformation?

From the environment, it is when the cell takes up prokaryotic DNA directly from the environment.

The DNA may remain separate as plasmid DNA or be incorporated into the host genome.

63
New cards

What is transduction?

a bacteriophage injects DNA into the cell that contains a small

fragment of DNA from a different prokaryote.

By Bacteriophages.

64
New cards

What is conjugation?

cell-to-cell contact: DNA is transferred from one cell to another via a pilus that connects the two cells.

65
New cards

What do endospores do?

survive heat, drought for years. They are indestructible(Ex: Tetanus and anthrax)

66
New cards

Domain Archaea

Includes extremophiles and methanogens. Do not cause disease in humans

67
New cards

Domain Bacteria: Proteobacteria

Gram negative(stain pink): includes nitrogen fixing bacteria. Includes gastrointestinal pathogens

68
New cards

Examples of Proteobacteria

Cholera, salmonella, and Escherichia coli

69
New cards

Domain Bacteria: Chlamydia

Gram negative(pink): are all endoparasites (live within animal cells). Example: Chlamydia in humans causes STD

70
New cards

Domain bacteria: Spirochetes

Spiral shape, free-living but include disease causing pathogens. Examples: Syphilis and Lyme disease

71
New cards

Domain Bacteria: Cyanobacteria

Oxygen generating photosynthesis. Some are nitrogen fixing. Cyanobacteria blooms are toxic

72
New cards

Domain Bacteria: Gram Positive Bacteria

include many decomposers in soils. Includes many pathogens.

73
New cards

Examples of Gram positive bacteria

Anthrax, tetanus, Staph(MRSA), strep

74
New cards

What do pathogenic bacteria cause?

Infections produce bacterial poisons

75
New cards

What is Produced by both gram-negative and gram-positive bacteria

Exotoxins(excreted)

76
New cards

What are Endotoxins?

are toxic outer membranes of some gram negative bacteria Ex: salmonella

77
New cards

Antibiotics

kill bacteria cells but not eukaryotic cells

78
New cards

Example of antibiotics

Penicillin: affects peptidoglycan cell wall

79
New cards

What causes bacteria to resist more and more drugs?

Horizontal gene transfer

80
New cards

What is Microbial bioremediation?

is the use of prokaryotes (or microbial

metabolism) to remove pollutants

• Some bacteria can remove toxic metals

• Some can transform toxic mercury into nontoxic forms