1/27
Flashcards covering key concepts related to dental trauma, including etiology, types of trauma, and treatment protocols.
Name | Mastery | Learn | Test | Matching | Spaced |
|---|
No study sessions yet.
Etiology of Dental Trauma
Common causes include falls (65% of cases), sports injuries, cycling accidents, motor vehicle accidents, and physical violence.
Luxation
Dislocation of a tooth or anatomical part.
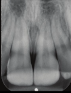
Concussion (Dental Trauma)
A type of dental trauma where the tooth receives forces causing potential damage to the periodontal ligament, but remains stable with no mobility.
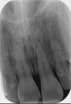
Subluxation
A dental trauma condition where the tooth is mobile but without displacement, often resulting in stretched fibers.
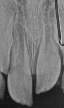
Intrusion
A dental condition where the tooth is pushed into the bone, prognosis depends on several factors including root development.
Extrusion/Partial Avulsion
A dental diagnosis where the tooth is slightly out of the socket, with potential treatment involving repositioning and splinting.
Avulsion
Complete ejection of a tooth after injury, may require replantation and splinting while monitoring pulp vitality.
Immediate treatment for Concussion
No treatment is needed for concussion in dental trauma.
Subluxation Treatment
May necessitate stabilization of the tooth for 2 weeks using a flexible splint.
Treatment for Avulsion
Keep the patient calm, find the tooth, hold by the crown, and replant immediately if possible.
Resorption (Long Term Effects)
Roots may resorb even after root canal therapy (RCT) in cases of dental trauma.
Ankylosis
A condition where a tooth becomes fused to the bone following trauma.
Types of Tooth Fractures
Include enamel chipping, crown vs root fractures, vertical and horizontal fractures.
Fractured Tooth Treatment
Depending on the fracture's extent, treatment may involve repair, root canal, or monitoring symptoms.
Root Fracture Treatments
Treatment varies based on location and mobility; may require extraction if symptomatic.
Refraction of fractures
Classic 'J' shape radiolucency indicating vertical root fractures.
Alveolar Fracture
An injury where the bone segment containing the affected tooth is fractured and mobile.
CBCT in Trauma Cases
Used for evaluating potential alveolar fractures or other significant injuries.
concussion
tooth receives damage to periodontal ligament
tooth remains stable
imaging likely normal
concussion protocal
test vitality after wait period
subluxation
tooth is mobile without diplacement

concussed tooth

subluxation of tooth
subluxation follow up
evaluate discoloration, pain and continued motility
intrusion
trauma where tooth is pushed into bone
degree of trauma depends on developmental stage

intrusion
extrusion/partial evulsion

avulsion
complete ejection of the tooth after an injury