1/8
Looks like no tags are added yet.
Name | Mastery | Learn | Test | Matching | Spaced |
|---|
No study sessions yet.


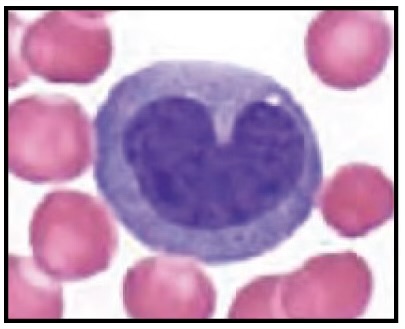
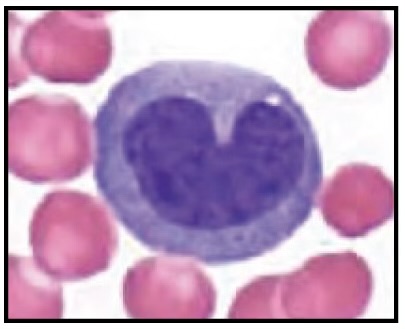
Identify this leukocyte

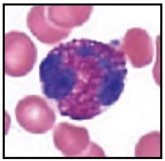
Identify this leukocyte

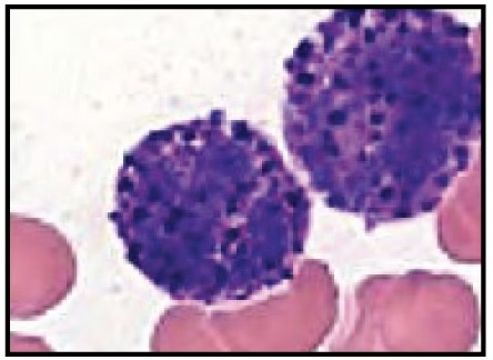
Identify this leukocyte
Eosinophil

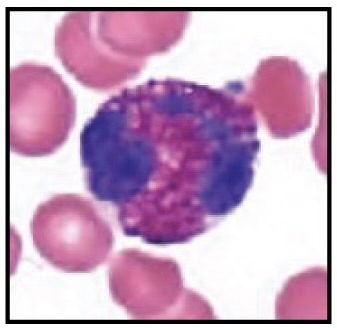
Identify this leukocyte

Agranular or Granular
Agranular

Agranular or Granular
Granular

Agranular or Granular?
Agranular

Agranular or Granular?
Granular