A7 - Lower Extremity

0.0(0)
studied byStudied by 0 people
full-widthCall with Kai
GameKnowt Play
learnLearn
examPractice Test
spaced repetitionSpaced Repetition
heart puzzleMatch
flashcardsFlashcards
Card Sorting

1/137

encourage image

There's no tags or description

Looks like no tags are added yet.

Study Analytics
Name
Mastery
Learn
Test
Matching
Spaced

No study sessions yet.

138 Terms

1
New cards

- AP pelvis

- Frog-leg pelvis

State the standard bilateral pelvis projections

2
New cards

AP pelvis

ID standard bilateral pelvis projection

<p>ID standard bilateral pelvis projection</p>
3
New cards

Frog-leg pelvis

ID standard bilateral pelvis projection

<p>ID standard bilateral pelvis projection</p>
4
New cards

No

Are there any supplementary bilateral pelvis projections?

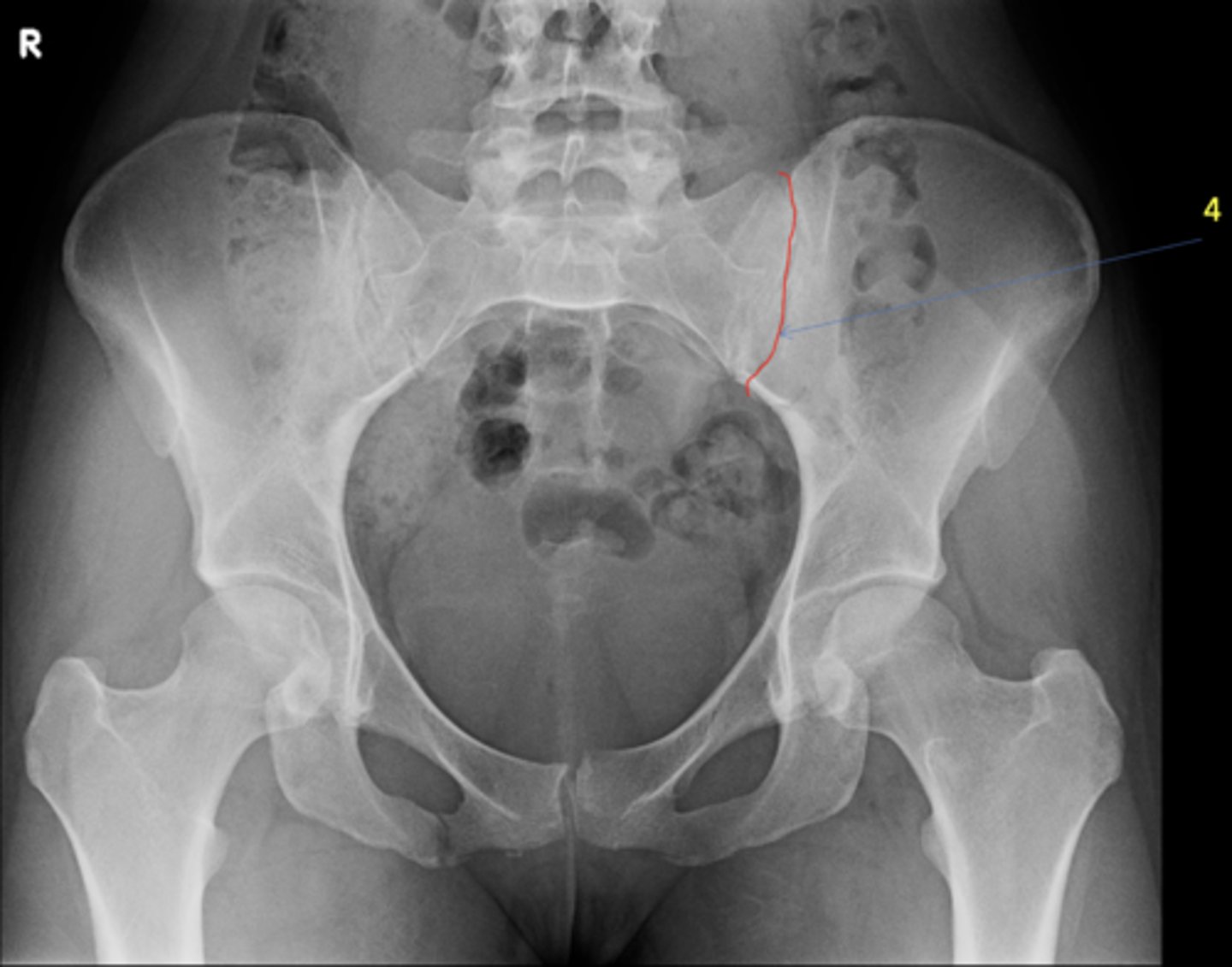
5
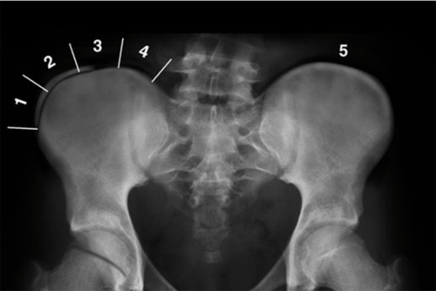
New cards

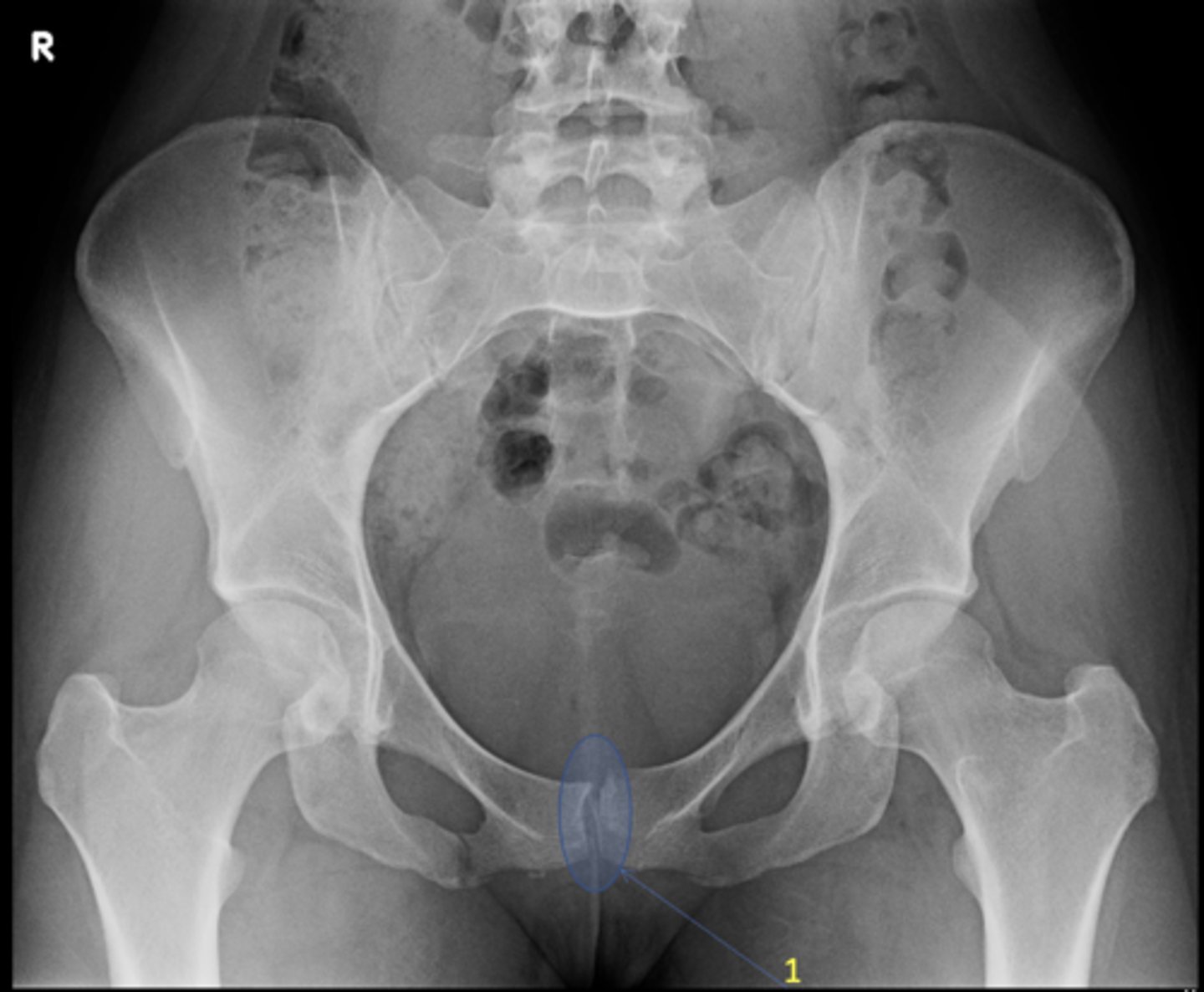
Pubic symphysis

ID 1

<p>ID 1</p>
6
New cards

Left femoroacetabular joint

ID 2 (joint)

<p>ID 2 (joint)</p>
7
New cards

Left posterior sacroiliac joint

ID 3 (joint)

<p>ID 3 (joint)</p>
8
New cards

Left anterior sacroiliac joint

ID 4 (joint)

<p>ID 4 (joint)</p>
9
New cards

Right: gluteus medius

Left: gluteal fat stripe

ID 5

<p>ID 5</p>
10
New cards

- AP hip

- Frog-leg (lateral) hip

State the standard unilateral hip projections

11
New cards

Unilateral AP hip

ID standard unilateral hip projection

<p>ID standard unilateral hip projection</p>
12
New cards

Frog-leg (lateral) hip

ID standard unilateral hip projection

<p>ID standard unilateral hip projection</p>
13
New cards

No

Are there any supplementary unilateral hip projections?

14
New cards

- Femoral head

- Femoral neck

State the parts of the hip that are intracapsular

15
New cards

Femoral head

ID anatomy

<p>ID anatomy</p>
16
New cards

Subcapital

ID anatomy

<p>ID anatomy</p>
17
New cards

Mid-cervical

ID anatomy

<p>ID anatomy</p>
18
New cards

Basicervical

ID anatomy

<p>ID anatomy</p>
19
New cards

Appearance of lesions and their ability to heal is different when intracapsular

Importance of intracapsular hip

20
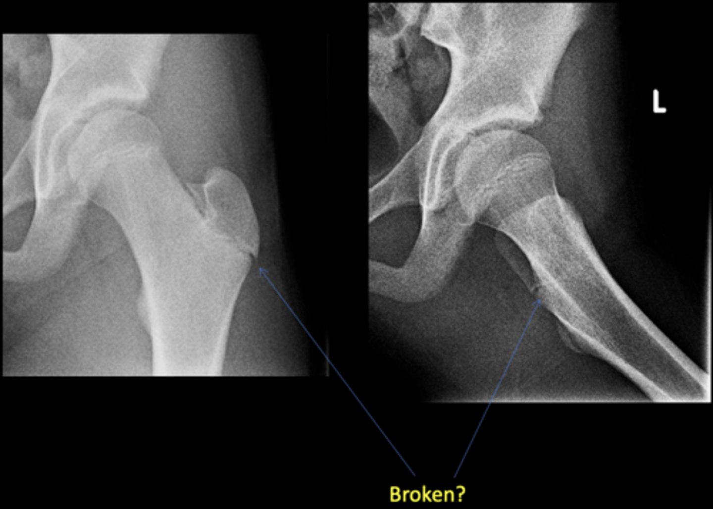
New cards

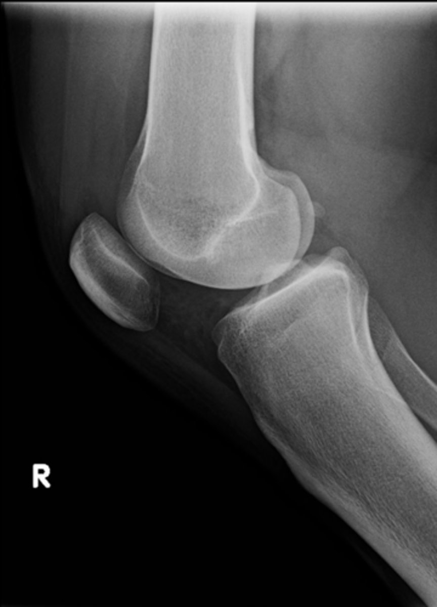
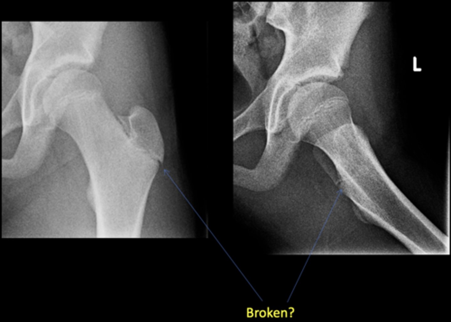
No - growth plate in a child

Broken?

<p>Broken?</p>
21
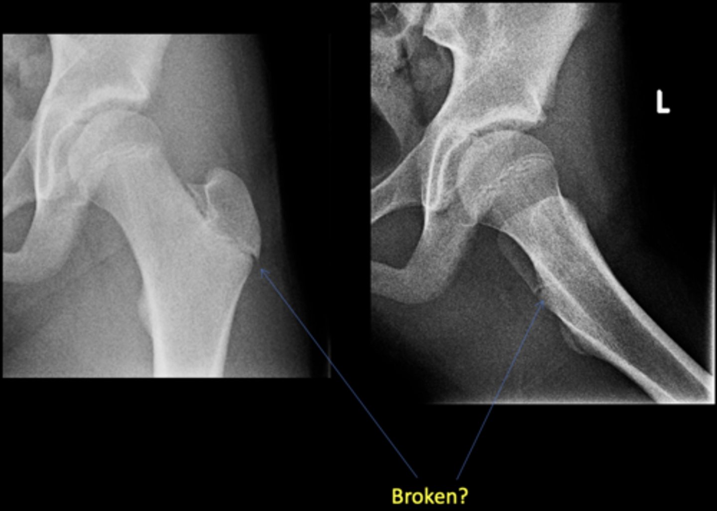
New cards

No - growth plate in a child

Broken?

<p>Broken?</p>
22
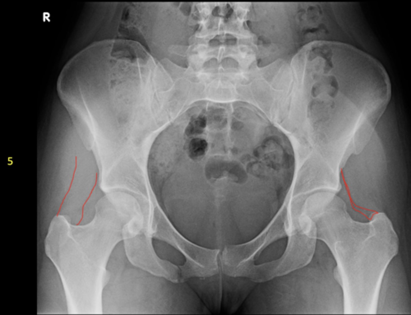
New cards

AP hip

View on left?

<p>View on left?</p>
23
New cards

Frog-leg hip

View on right?

<p>View on right?</p>
24
New cards

0

Risser's Classification Stage _____: no ossification center at the level of iliac crest apophysis

<p>Risser's Classification Stage _____: no ossification center at the level of iliac crest apophysis</p>
25
New cards

1

Risser's Classification Stage _____: apophysis under 25% of the iliac crest

<p>Risser's Classification Stage _____: apophysis under 25% of the iliac crest</p>
26
New cards

2

Risser's Classification Stage _____: apophysis over 25-50% of the iliac crest

<p>Risser's Classification Stage _____: apophysis over 25-50% of the iliac crest</p>
27
New cards

3

Risser's Classification Stage _____: •apophysis over 50-75% of the iliac crest

<p>Risser's Classification Stage _____: •apophysis over 50-75% of the iliac crest</p>
28
New cards

4

Risser's Classification Stage _____: apophysis over >75% of the iliac crest

<p>Risser's Classification Stage _____: apophysis over &gt;75% of the iliac crest</p>
29
New cards

5

Risser's Classification Stage _____: complete ossification and fusion of the iliac crest apophysis

<p>Risser's Classification Stage _____: complete ossification and fusion of the iliac crest apophysis</p>
30
New cards

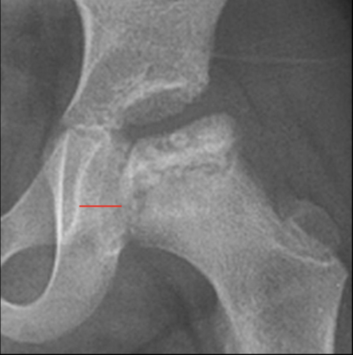
Ischial apophysis

ID

<p>ID</p>
31
New cards

Ischiopubic synchondrosis

ID

<p>ID</p>
32
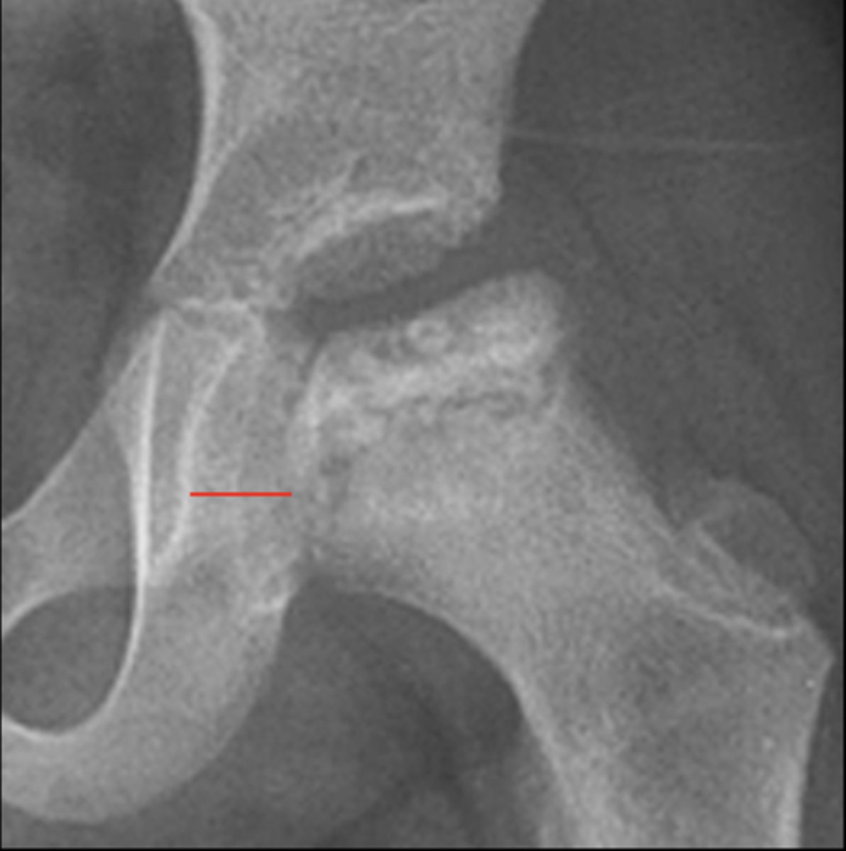
New cards

Wards triangle

An area that appears more radiolucent because it is surrounded by an abundance of trabeculae. The 1˚ and 2˚ compressive and tensile groups of the proximal femur leave a small region to appear more lucent

<p>An area that appears more radiolucent because it is surrounded by an abundance of trabeculae. The 1˚ and 2˚ compressive and tensile groups of the proximal femur leave a small region to appear more lucent</p>
33
New cards

Osteopenia

Wards triangle becomes enlarged as bone density reduces, signifying _____

<p>Wards triangle becomes enlarged as bone density reduces, signifying _____</p>
34
New cards

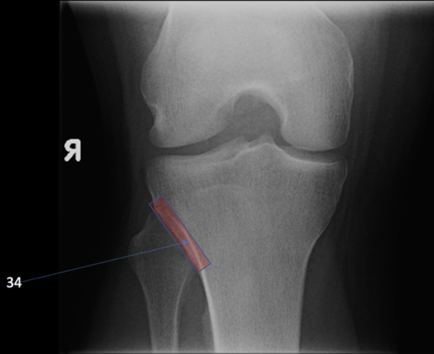
Normal vascular channel

ID

<p>ID</p>
35
New cards

Kohler's teardrop distance

ID measurement line

<p>ID measurement line</p>
36
New cards

- AP pelvis

- AP hip

What views are needed to see Kohler's teardrop distance?

<p>What views are needed to see Kohler's teardrop distance?</p>
37
New cards

- Medial margin of femoral head

- Lateral border of teardrop

Kohler's teardrop distance landmarks

<p>Kohler's teardrop distance landmarks</p>
38
New cards

6-11 mm

Normal Kohler's teardrop distance measurement

<p>Normal Kohler's teardrop distance measurement</p>
39
New cards

2 mm

The normal Kohler's teardrop distance is 6-11 mm, and there should be no greater than a _____ difference when comparing to the contralateral side

<p>The normal Kohler's teardrop distance is 6-11 mm, and there should be no greater than a _____ difference when comparing to the contralateral side</p>
40
New cards

Hip joint effusion

Clinical significance of an enlarged Kohler's teardrop distance

<p>Clinical significance of an enlarged Kohler's teardrop distance</p>
41
New cards

Waldenstrom's sign

What sign indicates an enlarged Kohler's teardrop distance?

- Accentutation of the normal limits

<p>What sign indicates an enlarged Kohler's teardrop distance?</p><p>- Accentutation of the normal limits</p>
42
New cards

Intracapsular swelling/joint effusion

Waldenstrom's sign is usually an indication of _____

<p>Waldenstrom's sign is usually an indication of _____</p>
43
New cards

Inflammatory arthritis

Clinical significance of a small Kohler's teardrop distance

<p>Clinical significance of a small Kohler's teardrop distance</p>
44
New cards

Hip joint space width

ID measurement

<p>ID measurement</p>
45
New cards

Superior, axial, medial joint spaces (SAM)

Hip joint space width landmarks

<p>Hip joint space width landmarks</p>
46
New cards

3-6 mm

Normal superior hip joint space width

<p>Normal superior hip joint space width</p>
47
New cards

3-7 mm

Normal axial hip joint space width

<p>Normal axial hip joint space width</p>
48
New cards

4-13 mm

Normal medial hip joint space width

<p>Normal medial hip joint space width</p>
49
New cards

Joint effusion

Clinical significance of a wide hip joint space

<p>Clinical significance of a wide hip joint space</p>
50
New cards

Arthritis

Clinical significance of a narrow hip joint space

<p>Clinical significance of a narrow hip joint space</p>
51
New cards

Symphysis pubis width

ID measurement

<p>ID measurement</p>
52
New cards

AP pelvis

What view is used to see the symphysis pubis width?

<p>What view is used to see the symphysis pubis width?</p>
53
New cards

Distance between opposing articular surfaces

Symphysis pubis width landmarks

<p>Symphysis pubis width landmarks</p>
54
New cards

8 mm

Maximum symphysis pubis width measurement in adults

<p>Maximum symphysis pubis width measurement in adults</p>
55
New cards

10 mm

Maximum symphysis pubis width measurement in children

<p>Maximum symphysis pubis width measurement in children</p>
56
New cards

Pregnancy/postpartum

The symphysis pubis width may be larger in _____

<p>The symphysis pubis width may be larger in _____</p>
57
New cards

Diastasis

Clinical significance of a widened symphysis pubis

<p>Clinical significance of a widened symphysis pubis</p>
58
New cards

Shenton's line

ID measurement

<p>ID measurement</p>
59
New cards

- AP hip

- AP pelvis

What views are used to see Shenton's line?

<p>What views are used to see Shenton's line?</p>
60
New cards

- Smooth arc along femoral neck

- Obturator foramen

Shenton's line landmarks

<p>Shenton's line landmarks</p>
61
New cards

Continuous and smooth

Shenton's line normal measurements

<p>Shenton's line normal measurements</p>
62
New cards

- Hip dislocation

- Femoral neck fracture

- Slipped epiphysis

Clinical significance of Shenton's line

<p>Clinical significance of Shenton's line</p>
63
New cards

Femoral angle

ID measurement

<p>ID measurement</p>
64
New cards

- AP pelvis

- AP hip

What views are used to measure the femoral angle?

<p>What views are used to measure the femoral angle?</p>
65
New cards

- Mid-axis of femoral shaft

- Mid-axis of femoral neck

- Intervening angle

Femoral angle landmarks

<p>Femoral angle landmarks</p>
66
New cards

120-130˚

Normal femoral angle measurement

<p>Normal femoral angle measurement</p>
67
New cards

Coxa vara

Femoral angle <120˚

<p>Femoral angle &lt;120˚</p>
68
New cards

Coxa valga

Femoral angle >130˚

<p>Femoral angle &gt;130˚</p>
69
New cards

Skinner's line

ID measurement

<p>ID measurement</p>
70
New cards

- AP hip

- AP pelvis

What views are used to see Skinner's line?

<p>What views are used to see Skinner's line?</p>
71
New cards

- Mid-axis of femoral shaft

- Right angle tangent to tip of greater trochanter

Skinner's line landmarks

<p>Skinner's line landmarks</p>
72
New cards

Fovea capitis should lie above or at level of trochanteric line

Skinner's line normal measurement

<p>Skinner's line normal measurement</p>
73
New cards

Fracture or other causes of coxa vara

Clinical significance of Skinner's line

<p>Clinical significance of Skinner's line</p>
74
New cards

Klein's line

ID measurement

<p>ID measurement</p>
75
New cards

- AP pelvis

- AP hip

What views are used to see Klein's line?

<p>What views are used to see Klein's line?</p>
76
New cards

Line along femoral neck

Klein's line landmarks

<p>Klein's line landmarks</p>
77
New cards

Line should intersect portion of femoral head

Klein's line normal measurement

<p>Klein's line normal measurement</p>
78
New cards

Slipped capital femoral epiphysis

Clinical significance of Klein's line

<p>Clinical significance of Klein's line</p>
79
New cards

Growth plate

A slipped capital femoral epiphysis is a _____ fracture

<p>A slipped capital femoral epiphysis is a _____ fracture</p>
80
New cards

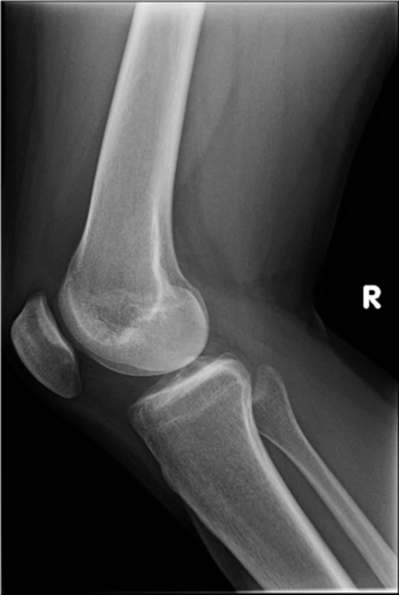
- AP knee

- Lateral knee

- Tunnel (intercondylar) knee

State the standard knee projections

81
New cards

AP knee

ID standard knee projection

<p>ID standard knee projection</p>
82
New cards

Lateral knee

ID standard knee projection

<p>ID standard knee projection</p>
83
New cards

Flexion

Lateral knee projections are generally taken with _____

<p>Lateral knee projections are generally taken with _____</p>
84
New cards

Tunnel (intercondylar) knee

ID standard knee projection

<p>ID standard knee projection</p>
85
New cards

- Sunrise (tangential) knee

- Internal oblique knee

- External oblique knee

State the supplementary knee projections

86
New cards

Sunrise (tangential) knee

ID supplementary knee projection

<p>ID supplementary knee projection</p>
87
New cards

Patellofemoral joints

Sunrise knee projections help see the _____

<p>Sunrise knee projections help see the _____</p>
88
New cards

Medial patellofemoral joint

ID 37 (joint)

<p>ID 37 (joint)</p>
89
New cards

Lateral patellofemoral joint

ID 38 (joint)

<p>ID 38 (joint)</p>
90
New cards

Odd facet

ID 39

<p>ID 39</p>
91
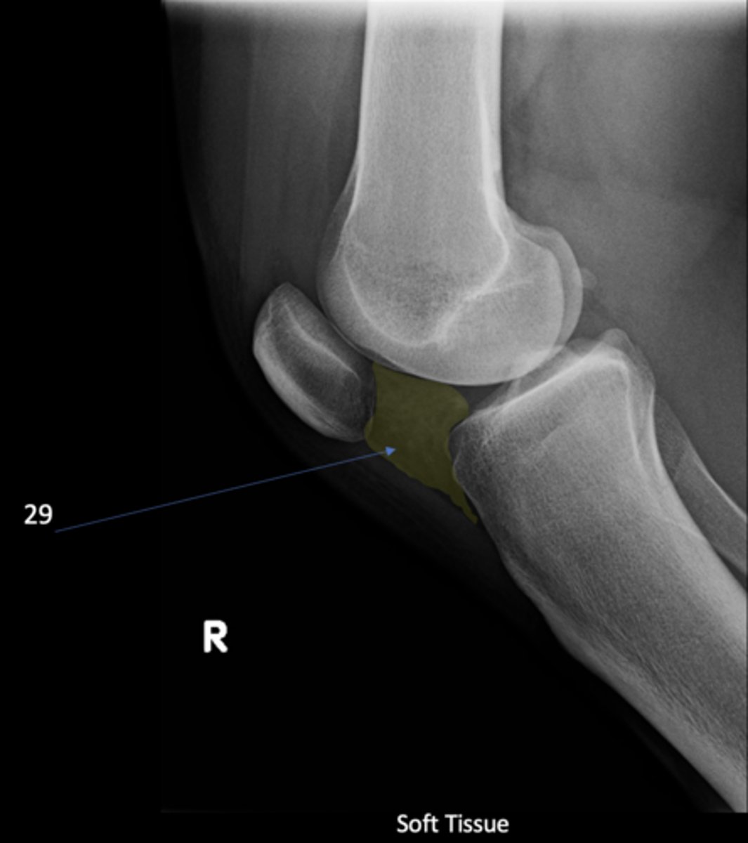
New cards

Infrapatellar pouch

ID 29

<p>ID 29</p>
92
New cards

Hoffa's fat pad

Another term for infrapatellar pouch

<p>Another term for infrapatellar pouch</p>
93
New cards

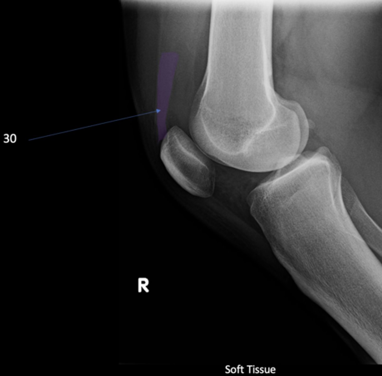
Quadriceps tendon

ID 30

<p>ID 30</p>
94
New cards

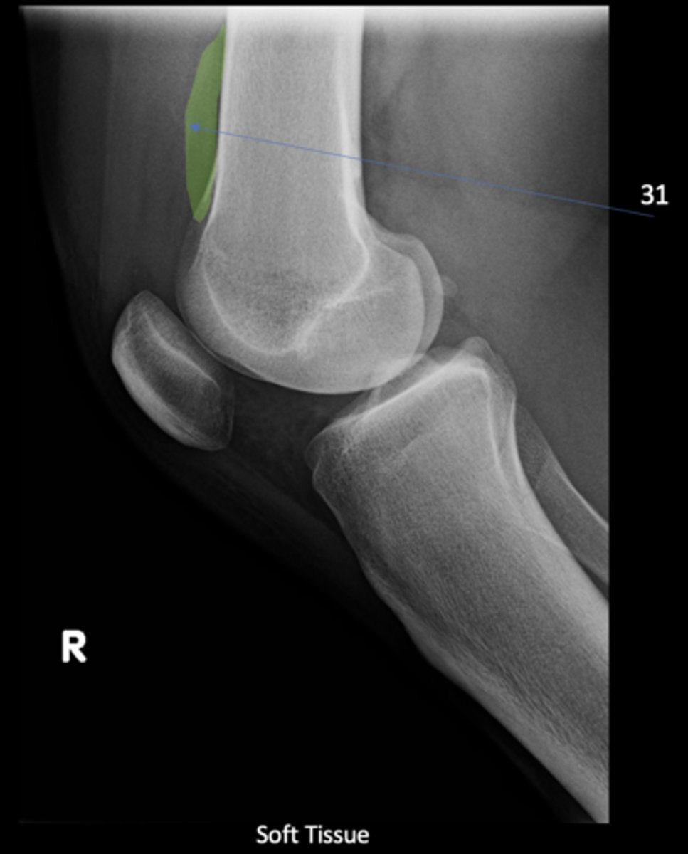
Prefemoral fat pad

ID 31

<p>ID 31</p>
95
New cards

Suprapatellar pouch

ID 32

<p>ID 32</p>
96
New cards

Lateral tibiofemoral joint

ID 33 (joint)

<p>ID 33 (joint)</p>
97
New cards

Proximal tibiofibular joint

ID 34 (joint)

<p>ID 34 (joint)</p>
98
New cards

Medial tibiofemoral joint

ID 35 (joint)

<p>ID 35 (joint)</p>
99
New cards

Patellofemoral joint

ID 36 (joint)

<p>ID 36 (joint)</p>
100
New cards

Ludloff's patch/spot

- Not a true anatomical structure

- Appears due to less bone being traversed anteriorly than posteriorly

<p>- Not a true anatomical structure</p><p>- Appears due to less bone being traversed anteriorly than posteriorly</p>