1/11
Looks like no tags are added yet.
Name | Mastery | Learn | Test | Matching | Spaced |
|---|
No study sessions yet.
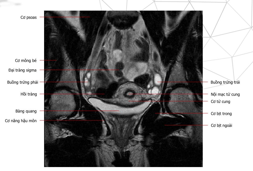
V gel bơm vào trực tràng
120-250ml
Với bn nữ lập gia đình, nên bơm vào
Tử cung, 10-15ml gel
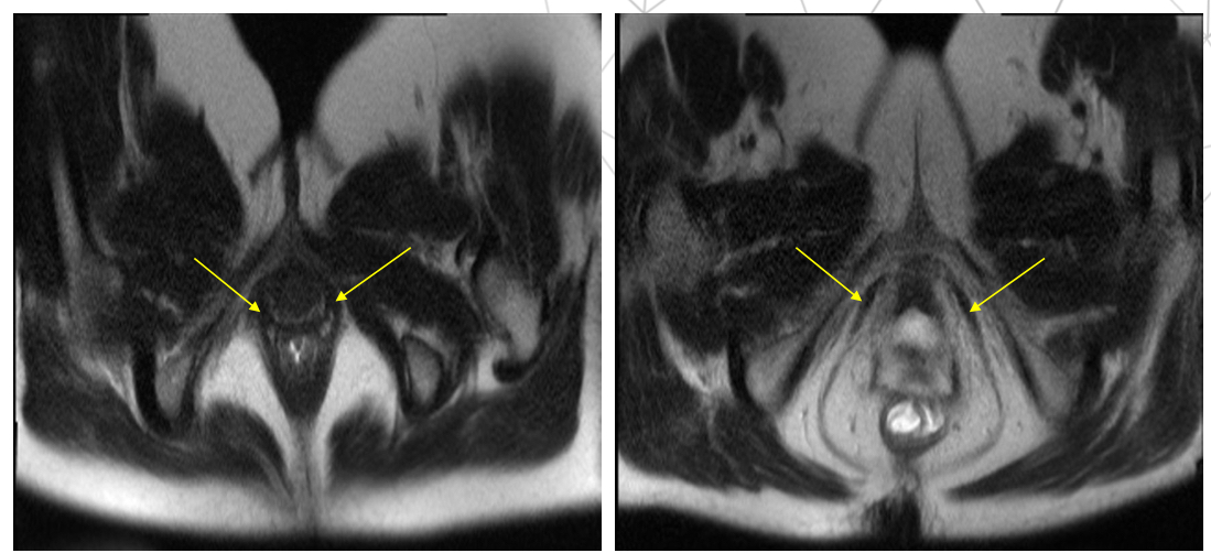
Nghiệm pháp Valsava là gì
Hít vào, nín thở, rặn liên tục 10-12 s
Protocol
thì nghỉ: T2w 3 mp
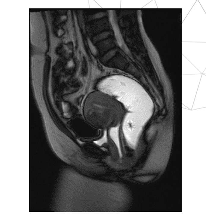
Thì nhíu: T2 TRUEFISP Mid Sag
Thì rặn: T2 TRUEFISP Mid Sag
Valsava: T2w ax thì nghỉ (HASTE Valsava) + Valsava

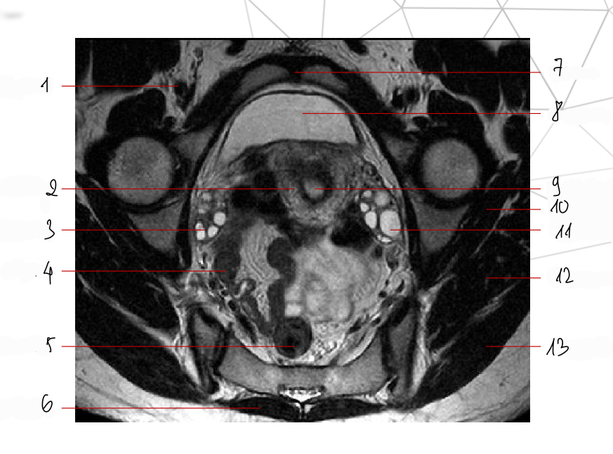
Nêu chuỗi xung, mốc gp, thì
T2w sag, thì nghỉ


Tên chuỗi xung, mốc gp, thì
T2w sag, thì nghỉ


Mốc gp, chuỗi xung, thì
Thì nghỉ, T2w ax


chuỗi xung, thì, mốc gp
T2 cor, thì nghỉ


Thì gì, xung gì
T2 TRUEFISP, mid sag, thì nhíu

Xung gì, thì gì
T2 TRUEFISP mid sagittal, thì rặn

Xung gì, thì gì
T2 HASTE VALSAVA
T: thì nghỉ
P: thì rặn

Xung gì, dùng để làm gì
T2 TRUEFISP cor, ghi hình CINE