Histology: Epithelial, Connective, Cartilage, Bone, and Blood Tissues

0.0(0)
studied byStudied by 0 people
full-widthCall with Kai
GameKnowt Play
learnLearn
examPractice Test
spaced repetitionSpaced Repetition
heart puzzleMatch
flashcardsFlashcards
Card Sorting

1/20

encourage image

There's no tags or description

Looks like no tags are added yet.

Study Analytics
Name
Mastery
Learn
Test
Matching
Spaced

No study sessions yet.

21 Terms

1
New cards

Simple Squamous Epithelium

Single layer of flat cells; Function: Diffusion and filtration; Location: Lining of air sacs in lungs, blood vessels (endothelium).

<p>Single layer of flat cells; Function: Diffusion and filtration; Location: Lining of air sacs in lungs, blood vessels (endothelium).</p>
2
New cards

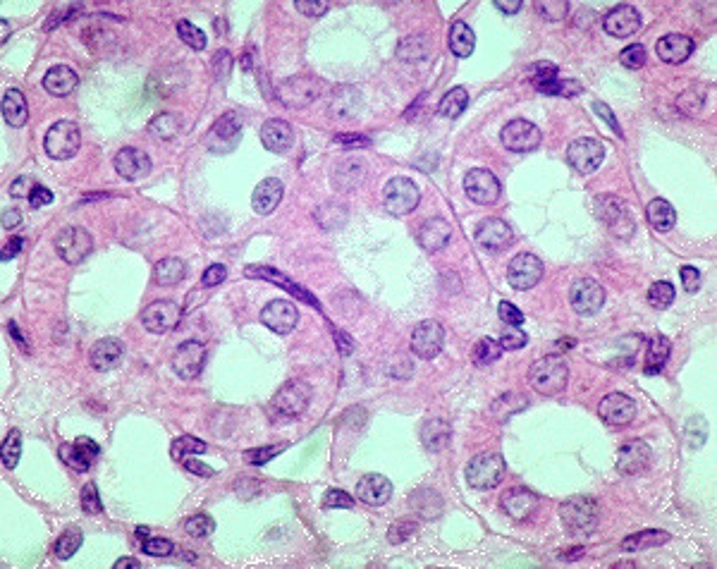
Simple Cuboidal Epithelium

One layer of cube-shaped cells; Function: Secretion and absorption; Location: Kidney tubules, glands, ducts.

<p>One layer of cube-shaped cells; Function: Secretion and absorption; Location: Kidney tubules, glands, ducts.</p>
3
New cards

Simple Columnar Epithelium

One layer of tall cells; may have goblet cells or cilia; Function: Absorption and secretion of mucus/enzymes; Location: Digestive tract (stomach → intestines).

<p>One layer of tall cells; may have goblet cells or cilia; Function: Absorption and secretion of mucus/enzymes; Location: Digestive tract (stomach → intestines).</p>
4
New cards

Pseudostratified Columnar Epithelium

One layer, looks multilayered; often ciliated; Function: Secretes mucus and moves it by cilia; Location: Lining of trachea, upper respiratory tract.

<p>One layer, looks multilayered; often ciliated; Function: Secretes mucus and moves it by cilia; Location: Lining of trachea, upper respiratory tract.</p>
5
New cards

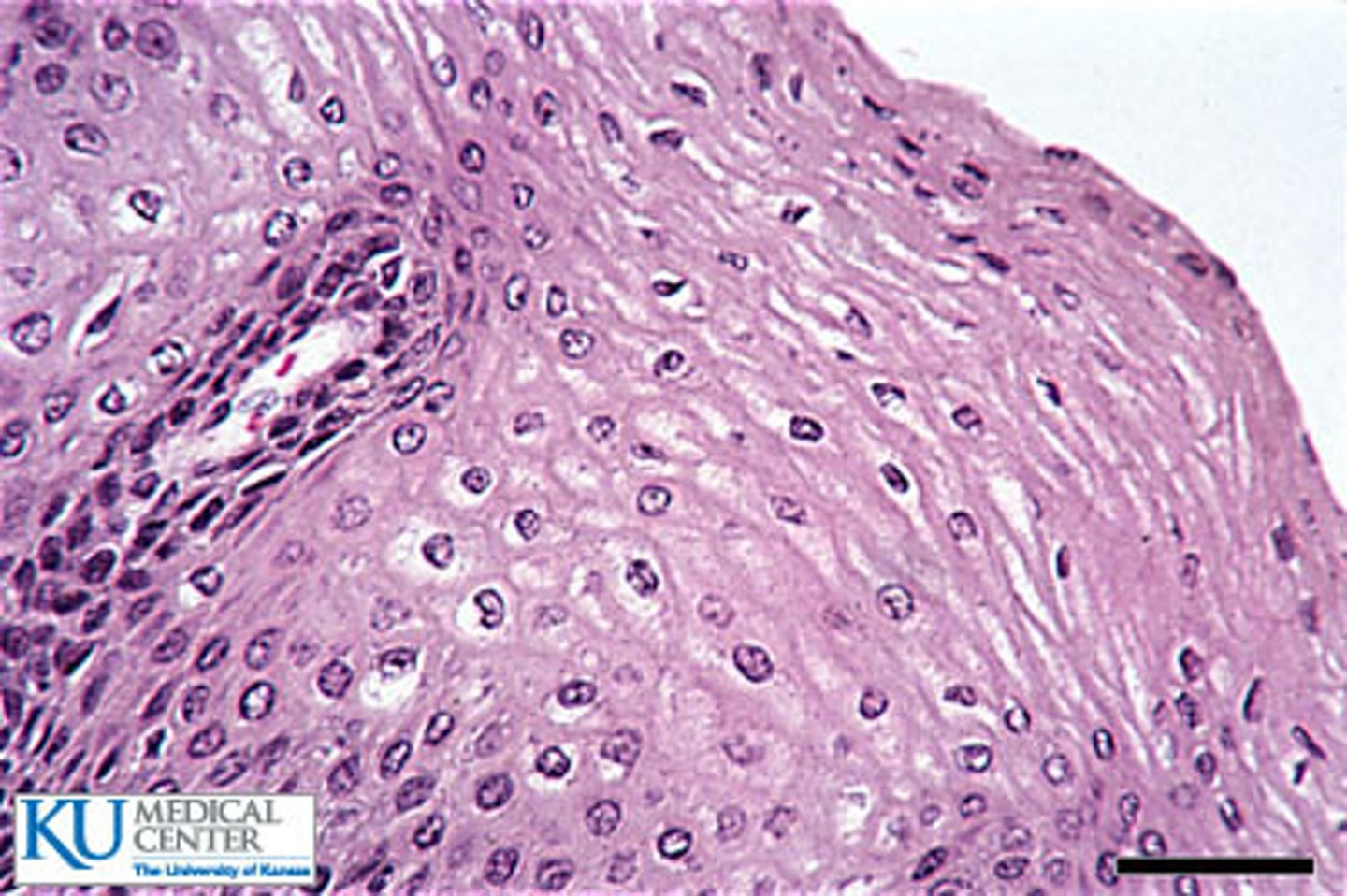
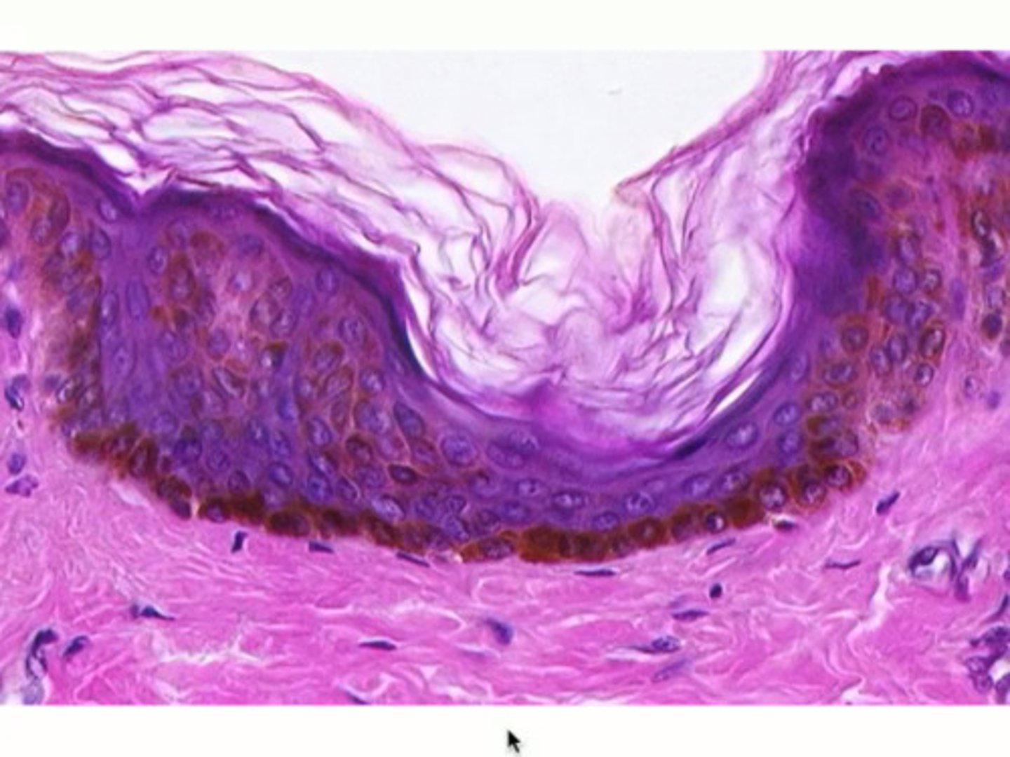
Stratified Squamous Epithelium (Keratinized)

Many layers; surface cells dead/keratinized; Function: Protection from abrasion and dehydration; Location: Epidermis of skin.

<p>Many layers; surface cells dead/keratinized; Function: Protection from abrasion and dehydration; Location: Epidermis of skin.</p>
6
New cards

Stratified Squamous Epithelium (Non-keratinized)

Many layers, moist surface cells alive; Function: Protection from friction; Location: Mouth, esophagus, vagina.

<p>Many layers, moist surface cells alive; Function: Protection from friction; Location: Mouth, esophagus, vagina.</p>
7
New cards

Transitional Epithelium

Layers of cells that stretch; dome-shaped when relaxed; Function: Stretch and recoil; Location: Urinary bladder, ureters.

<p>Layers of cells that stretch; dome-shaped when relaxed; Function: Stretch and recoil; Location: Urinary bladder, ureters.</p>
8
New cards

Glandular Epithelium (Endocrine)

Ductless; secretes hormones into blood.

<p>Ductless; secretes hormones into blood.</p>
9
New cards

Glandular Epithelium (Exocrine)

Secretes into ducts (sweat, saliva); Location: Glands throughout body.

<p>Secretes into ducts (sweat, saliva); Location: Glands throughout body.</p>
10
New cards

Areolar (Loose CT)

Gel-like matrix with all fiber types; Cells: Fibroblasts, macrophages, mast cells; Function: Wraps/cushions organs; holds fluids; Location: Under epithelium, around capillaries.

<p>Gel-like matrix with all fiber types; Cells: Fibroblasts, macrophages, mast cells; Function: Wraps/cushions organs; holds fluids; Location: Under epithelium, around capillaries.</p>
11
New cards

Adipose (Loose CT)

Sparse matrix; closely packed fat cells; Cells: Adipocytes; Function: Energy storage, insulation, cushioning; Location: Under skin, around organs, eyeballs, kidneys.

<p>Sparse matrix; closely packed fat cells; Cells: Adipocytes; Function: Energy storage, insulation, cushioning; Location: Under skin, around organs, eyeballs, kidneys.</p>
12
New cards

Reticular (Loose CT)

Network of reticular fibers; Cells: Reticular cells; Function: Soft framework (stroma) for other cells; Location: Lymph nodes, spleen, bone marrow.

<p>Network of reticular fibers; Cells: Reticular cells; Function: Soft framework (stroma) for other cells; Location: Lymph nodes, spleen, bone marrow.</p>
13
New cards

Dense Regular CT

Parallel collagen fibers; few elastic fibers; Cells: Fibroblasts; Function: Strong attachment (tensile strength one direction); Location: Tendons, ligaments.

<p>Parallel collagen fibers; few elastic fibers; Cells: Fibroblasts; Function: Strong attachment (tensile strength one direction); Location: Tendons, ligaments.</p>
14
New cards

Dense Irregular CT

Irregularly arranged collagen bundles; Cells: Fibroblasts; Function: Strength in multiple directions; Location: Dermis of skin, joint capsules.

<p>Irregularly arranged collagen bundles; Cells: Fibroblasts; Function: Strength in multiple directions; Location: Dermis of skin, joint capsules.</p>
15
New cards

Elastic CT

Dense regular with elastic fibers; Function: Allows stretch and recoil; Location: Walls of large arteries, bronchial tubes.

<p>Dense regular with elastic fibers; Function: Allows stretch and recoil; Location: Walls of large arteries, bronchial tubes.</p>
16
New cards

Hyaline Cartilage

Firm, smooth matrix; fine collagen fibers; Cells: Chondrocytes in lacunae; Function: Support and reduce friction; Location: Nose, trachea, costal cartilage, ends of long bones.

<p>Firm, smooth matrix; fine collagen fibers; Cells: Chondrocytes in lacunae; Function: Support and reduce friction; Location: Nose, trachea, costal cartilage, ends of long bones.</p>
17
New cards

Elastic Cartilage

Similar to hyaline but more elastic fibers; Function: Maintains shape with flexibility; Location: Ear, epiglottis.

<p>Similar to hyaline but more elastic fibers; Function: Maintains shape with flexibility; Location: Ear, epiglottis.</p>
18
New cards

Fibrocartilage

Thick collagen fibers; tough; Function: Shock absorption, strength; Location: Intervertebral discs, pubic symphysis, menisci.

<p>Thick collagen fibers; tough; Function: Shock absorption, strength; Location: Intervertebral discs, pubic symphysis, menisci.</p>
19
New cards

Compact Bone (Osseous Tissue)

Hard matrix; osteons with central canal; Cells: Osteocytes in lacunae; Function: Support, protection, mineral storage; Location: Skeleton (shaft of long bones).

<p>Hard matrix; osteons with central canal; Cells: Osteocytes in lacunae; Function: Support, protection, mineral storage; Location: Skeleton (shaft of long bones).</p>
20
New cards

Spongy Bone (Cancellous)

Porous trabeculae network; Function: Lightweight support, houses marrow; Location: Ends of long bones, flat bones.

<p>Porous trabeculae network; Function: Lightweight support, houses marrow; Location: Ends of long bones, flat bones.</p>
21
New cards

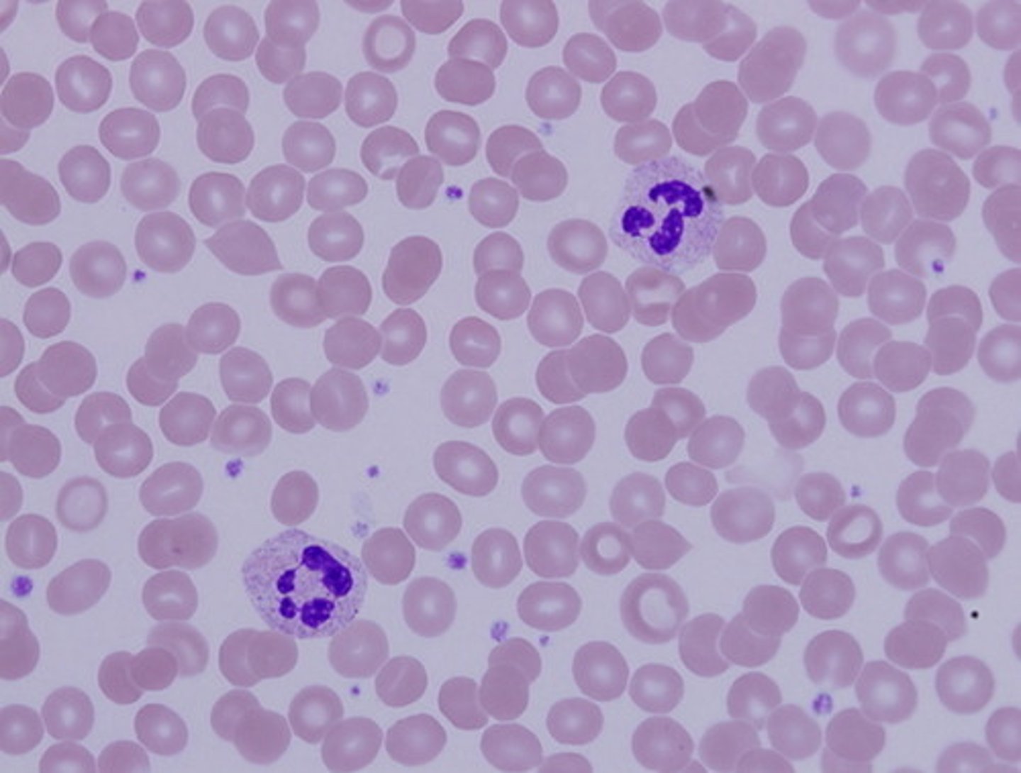
Blood

Fluid plasma matrix with RBCs, WBCs, platelets; Function: Transport of gases, nutrients, wastes; Location: Inside blood vessels and heart chambers.

<p>Fluid plasma matrix with RBCs, WBCs, platelets; Function: Transport of gases, nutrients, wastes; Location: Inside blood vessels and heart chambers.</p>