1/36
Looks like no tags are added yet.
Name | Mastery | Learn | Test | Matching | Spaced |
|---|
No study sessions yet.
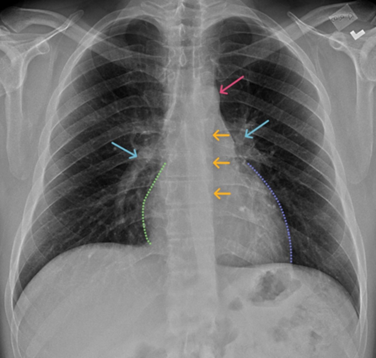
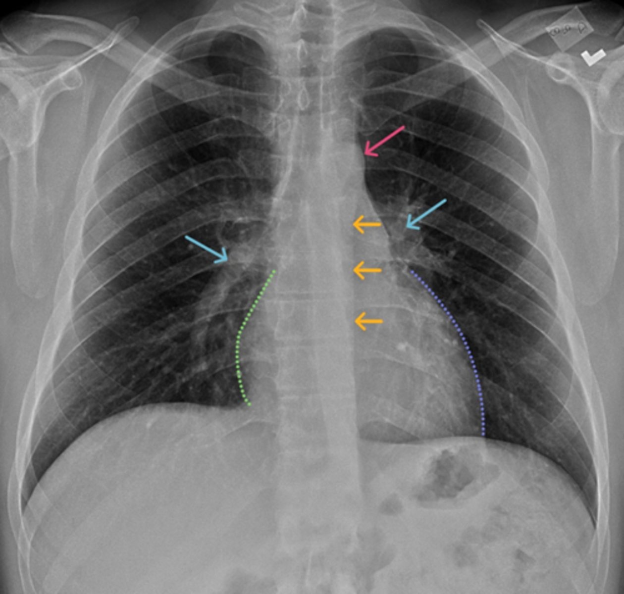
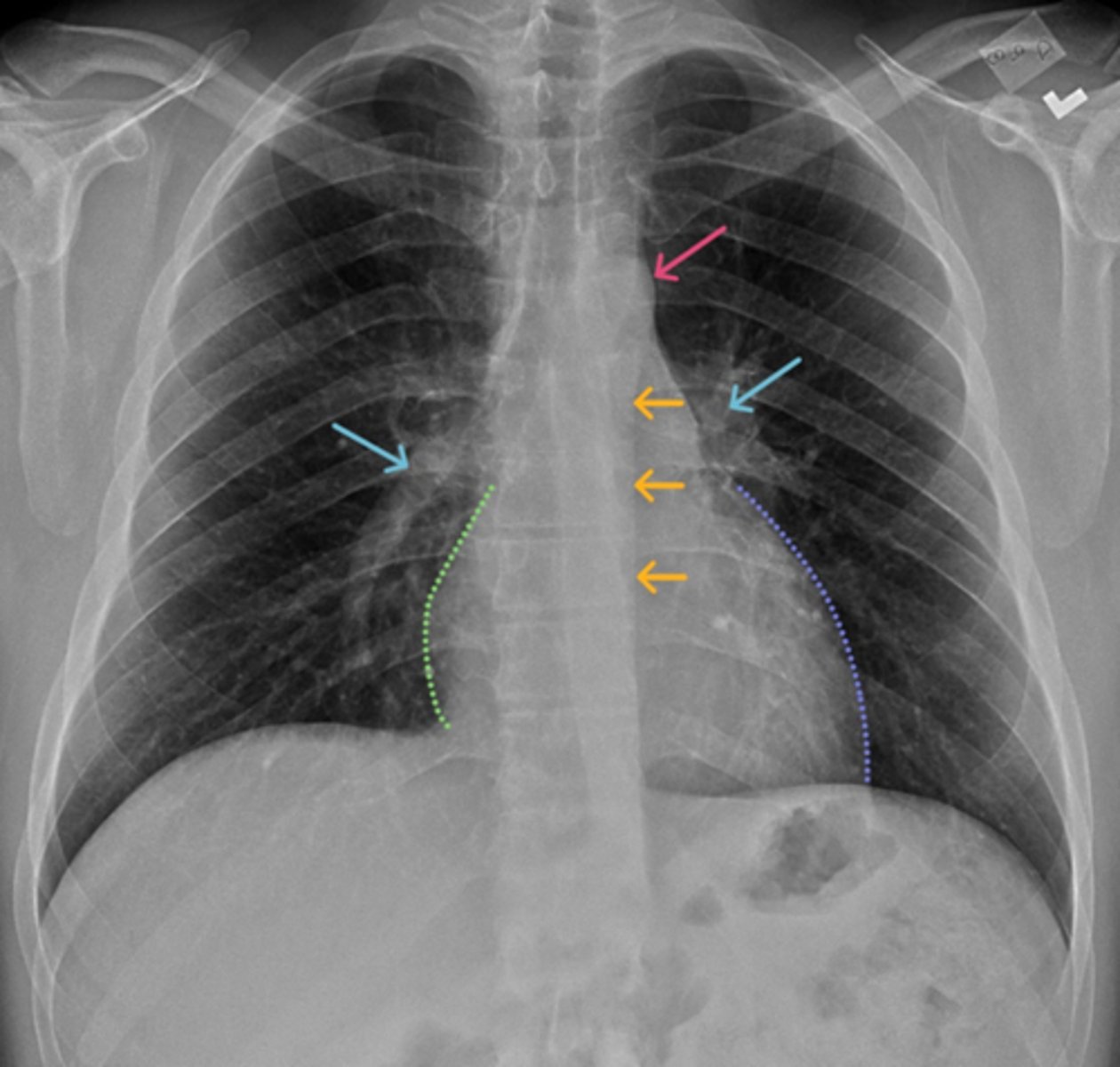
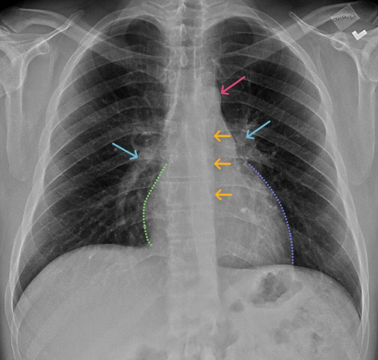
Aortic knob/arch
Pink Arrow

Left ventricle and border of the heart
Purple Line

Pulmonary arteries
Blue Arrows

Normal film
Interpretation

Trachea
Blue Oval

Pulmonary arteries
Green Arrows

Vertebrae/spine
Red Blocks

Clavicle
Orange Arrows

Ribs
Yellow Stars

Diaphragm
Green Line

Gastric bubble/stomach
Purple Circle

Carina
Yellow Cross

Yes
Is this patient rotated?

Yes
Is the Cardiac/Thoracic ratio normal?

Possible CHF (presence of Kerley B lines)
What does the chest film show?

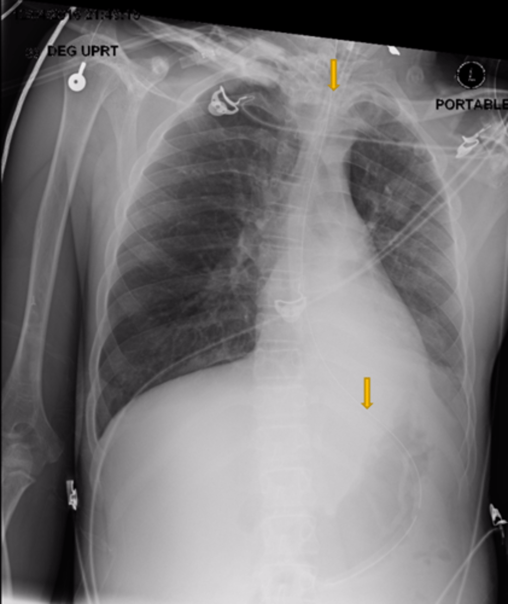
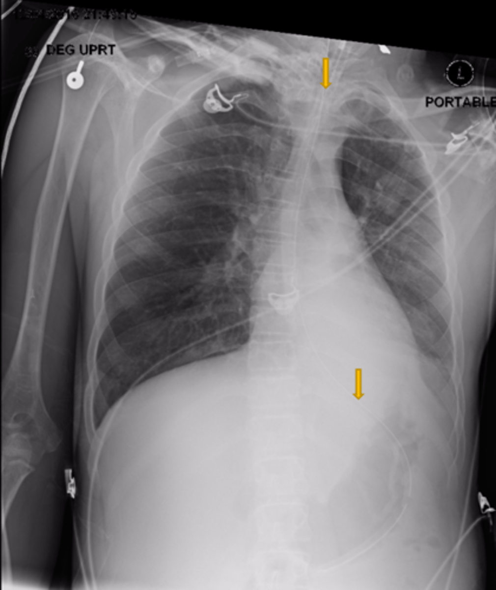
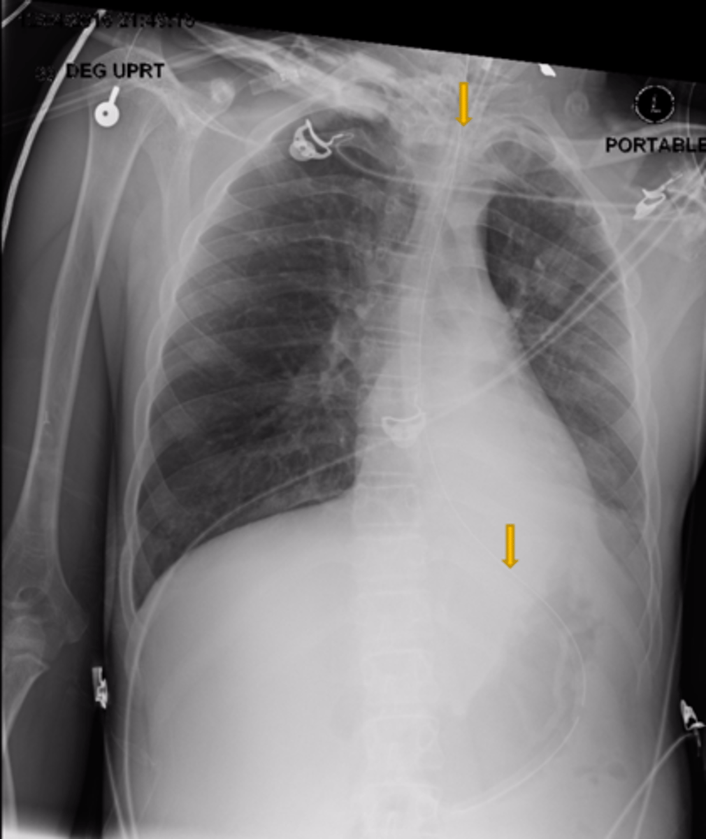
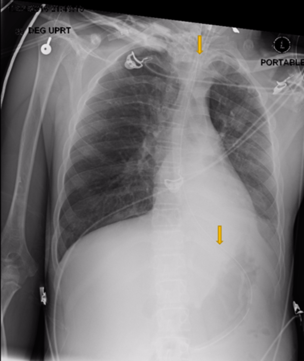
NG OG
What is the structure the yellow arrows are pointing at?

No
Is this a high-quality film?

Left lung
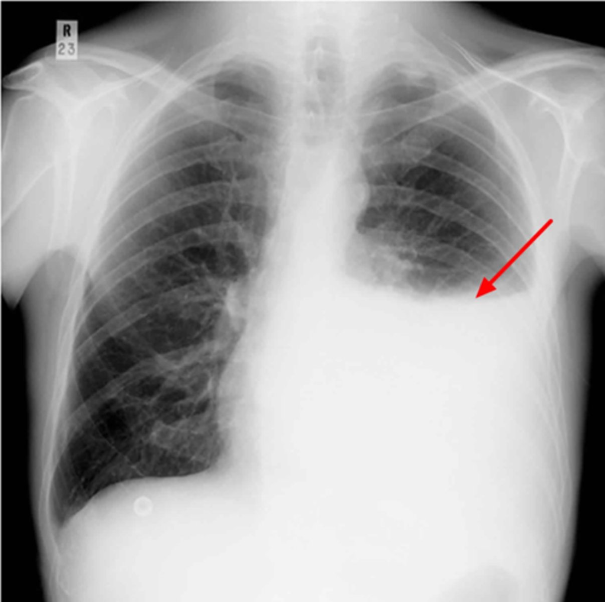
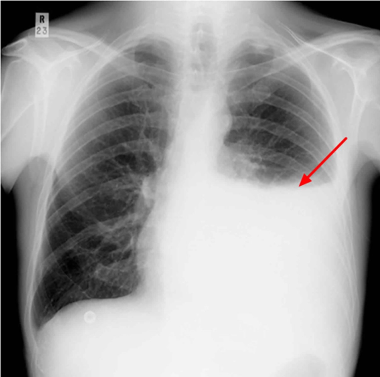
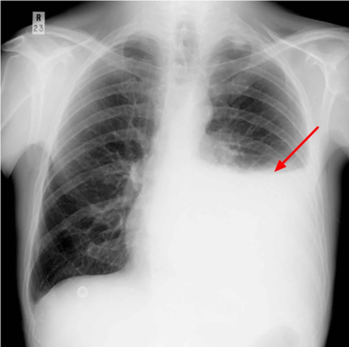
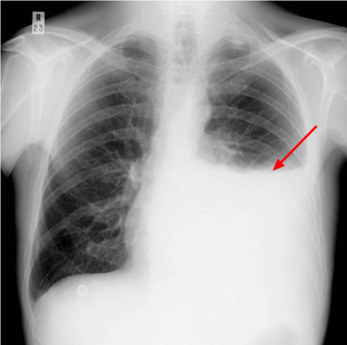
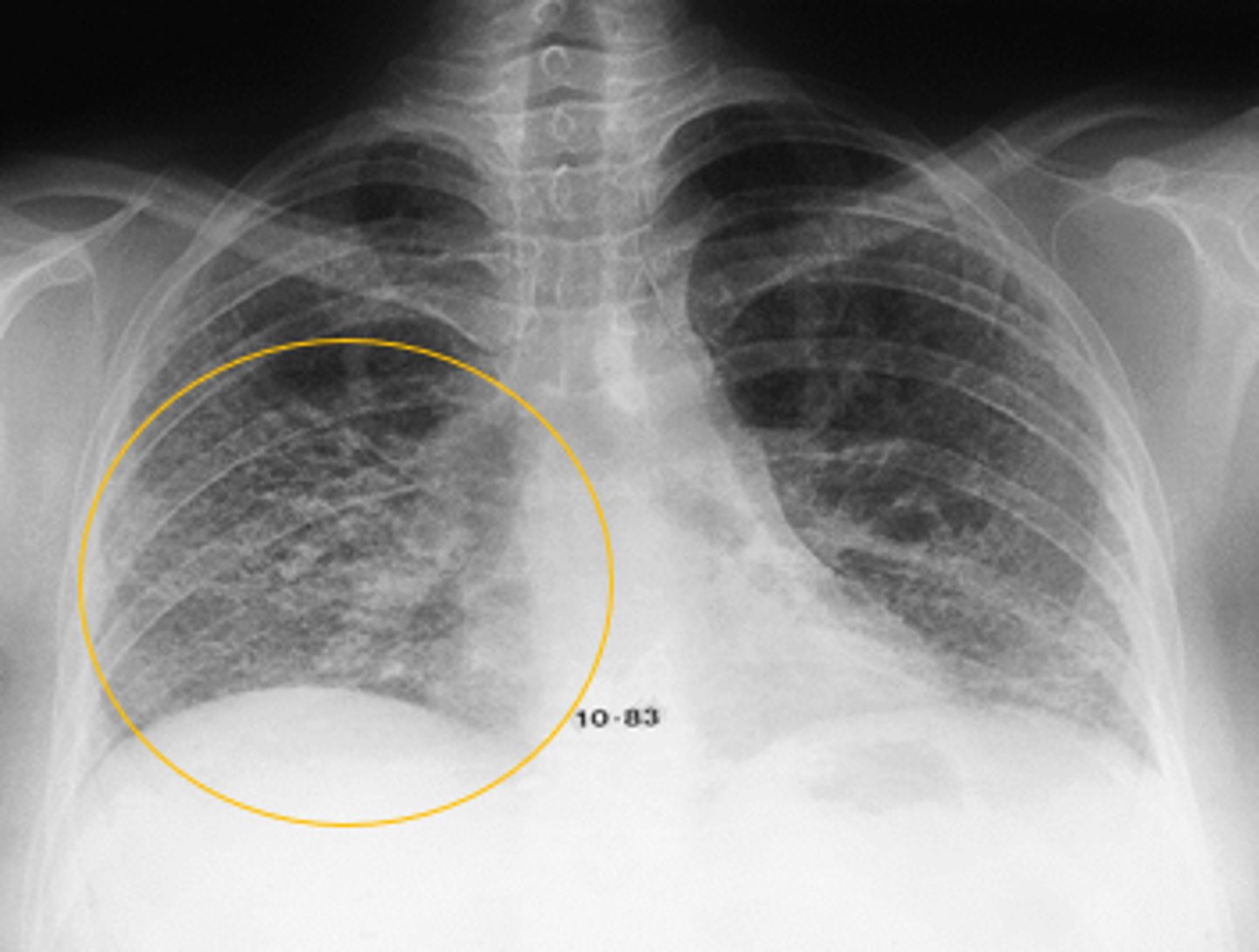
Where is the abnormality located in the chest?

Atelectasis
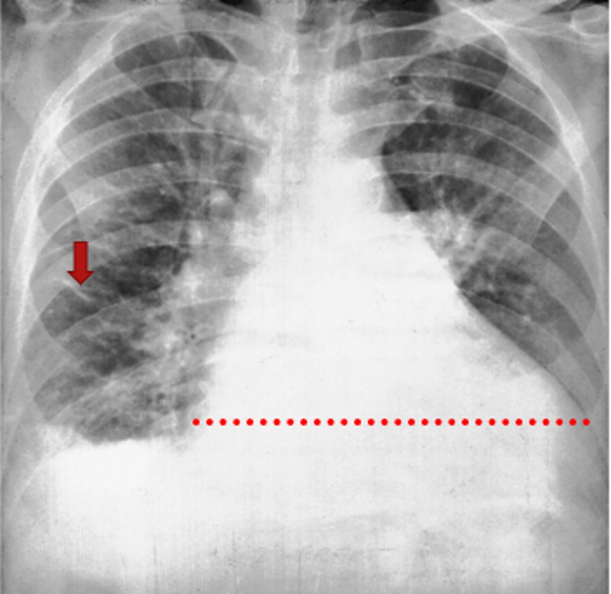
What is the red arrow indicating?

Effusion
What is the likely interpretation?

Light/white; presence of dense substances such as bone
Radiopaque
Dark/black; presence of low density substances such as air-filled lung tissue
Radiolucent
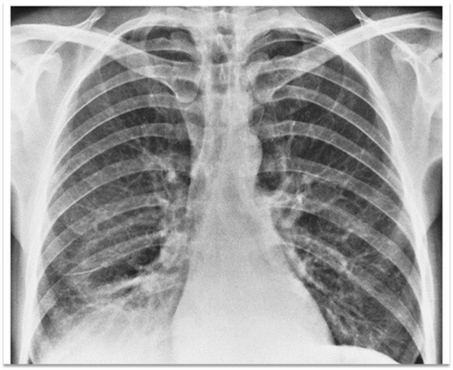
PA view (heart is normal size, patient is standing)
Which view is this?

AP view (heart looks bigger, slightly blurrier ribs, bedbound patients)
Which view is this?

PNA (pneumonia)
What is happening in the right lower lobe?

Atelectasis (collapsed area looks white and a tracheal shift)
Interpretation?

Pneumothorax (dark black area with no vessels)
Interpretation?

Tension pneumothorax (tracheal shift and lung shrunk)
Interpretation?

Hyperinflation of the lungs from obstructive lung disease (increased AP diameter and flattening of diaphragm)
Interpretation?

Interstitial Fibrosis ("honey combing" in the bases)
Interpretation?

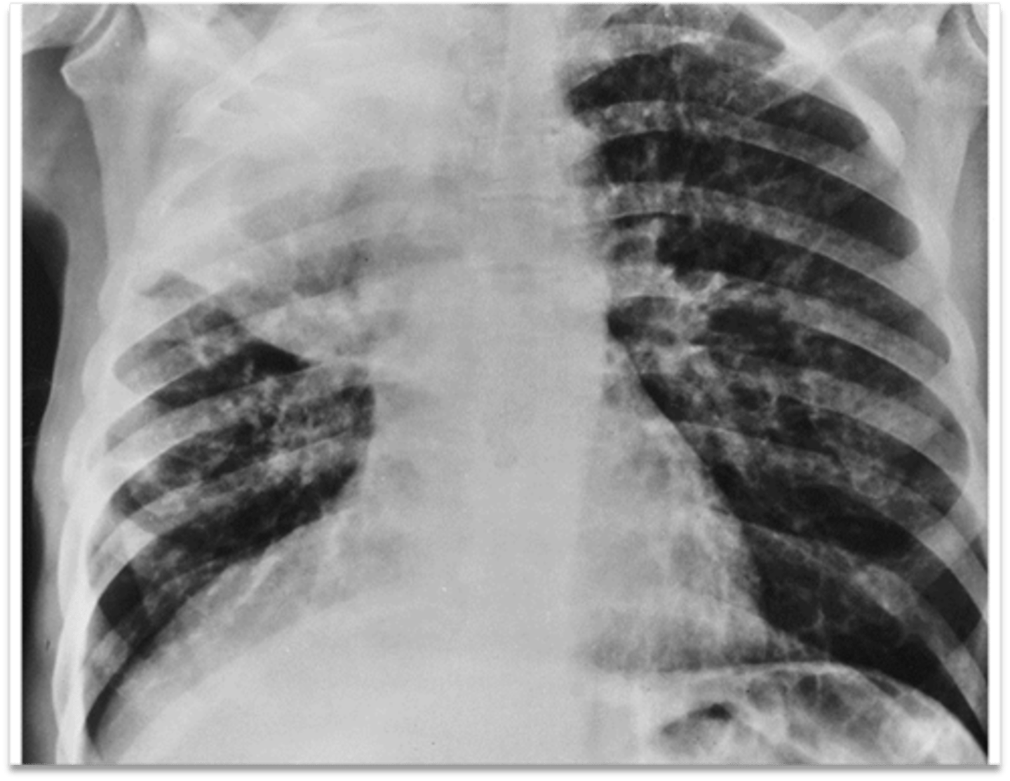
CHF (Kerley B lines- short, horizontal white lines that indicate fluid accumulation)
Interpretation?

Pleural Effusion (blunting and whiteouts) (types of effusions include small, large, transudate, and exudate)
Interpretation?

Consolidations (lung appears denser then normal indicating that it is filled with fluid, pus, etc.)
Interpretation?

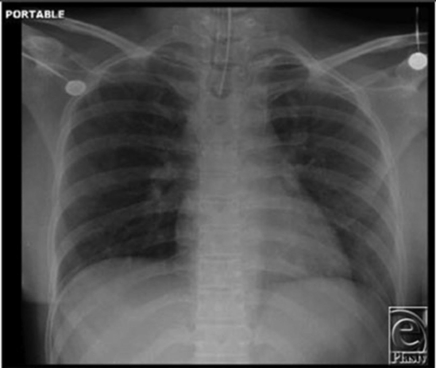
CXR of tracheal intubation with ETT
What is going on in this CXR?

Pulmonary artery catheter (tip at right midlung near hilum)
What is goin going on in this CXR?

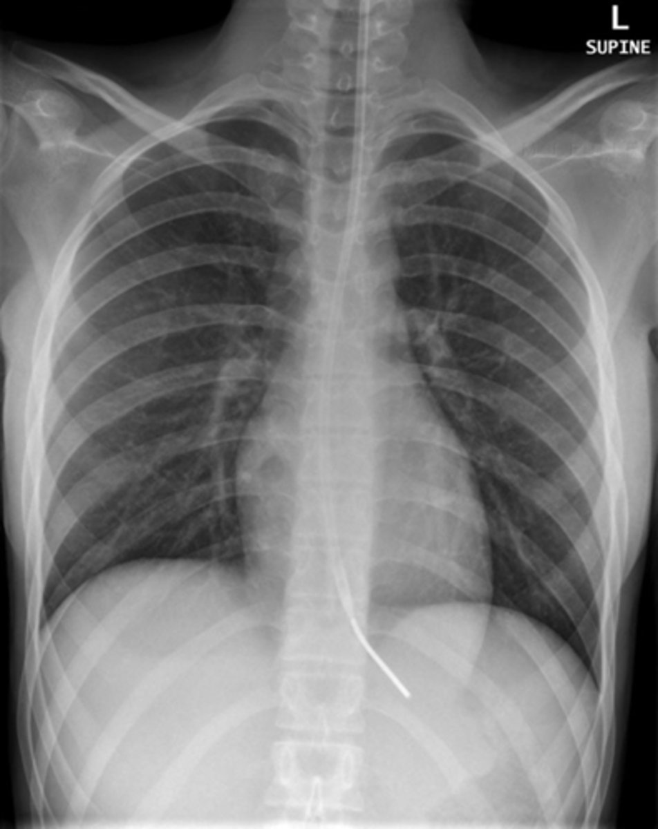
Nasogastric feeding tube (NG tube) placement (ensure tip places at stomach or small bowel)
What is goin going on in this CXR?

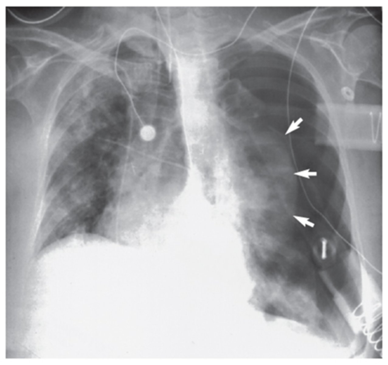
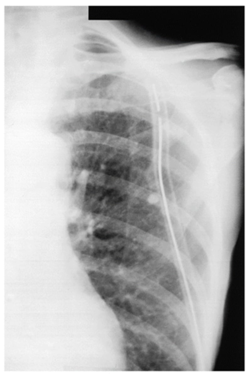
Chest tube (tip of tube should be posterior and near apex of lung for drainage)
What is goin going on in this CXR?
