1/17
Looks like no tags are added yet.
Name | Mastery | Learn | Test | Matching | Spaced | Call with Kai |
|---|
No analytics yet
Send a link to your students to track their progress
Erythrocytes
What is a red blood cell?
Leukocytes
What is white blood cell?
Thrombocytes
What is a platelet?
Kaposi Sarcoma
What is the pathology in this image?

Kaposi Sarcoma
What is the pathology: most common malignancy in patients with AIDS, most often affects skin, lymph nodes and gastrointestinal system?
additive
Is Kaposi Sarcoma an additive or destructive (subtractive) pathology?
Sickle cell disease
What is the pathology: group of hereditary autosomal recessive disorders resulting from an abnormal type of hemoglobin with the red blood count?
Hemophilia
What is the pathology: congenital deficiency of three plasma clotting factors?
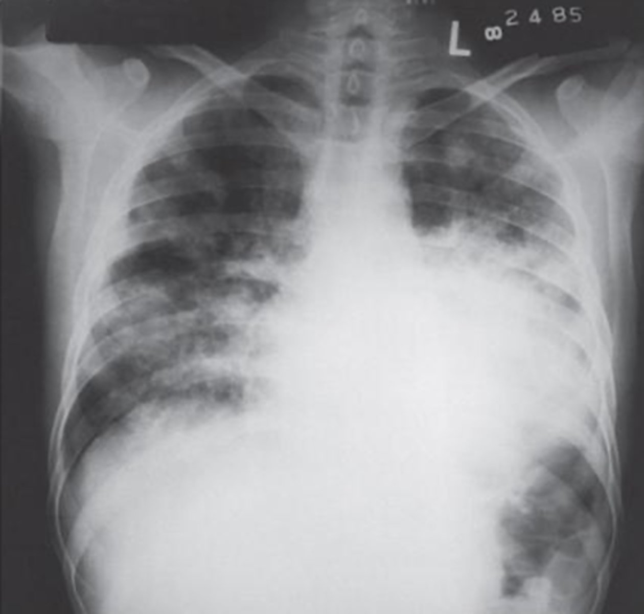
Multiple myeloma
What is the pathology in this image?

Multiple myeloma
What is the pathology: cell proliferation as a result of abnormally large amount of immunoglobulin?
destructive
Is Multiple myeloma an additive or destructive (subtractive) pathology?
Leukemia
What is the pathology: overproduction of white blood cells
additive
Is Leukemia an additive or destructive (subtractive) pathology?
acute
Is the following acute or chronic Leukemia?
● abrupt onset, associated with immature cells
○ Signs / symptoms - fatigue, anemia, low grade fever, night sweats, weight loss, bruising from decreased platelet count, bone pain
○ Treatment - chemotherapy, stem cell transplantation, bone marrow transfusions
chronic
Is the following acute or chronic Leukemia?
● progress at relatively slow pace with nonspecific signs (fatigue, weakness), associated with mature cells
○ Symptoms / signs - fever, abdominal pain, weight loss, anemia
○ Treatment - chemotherapy, bone marrow irradiation and stem cell transplantation
Non-Hodgkin's lymphoma
What is the pathology: malignancy of lymphoid cells found in lymph nodes, bone marrow, spleen, liver, and gastrointestinal system?
additive
Is Non-Hodgkin's lymphoma an additive or destructive (subtractive) pathology?
Hodgkin's disease
What is the pathology: affects lymphoid tissue, Signs / symptoms include malaise, fever, night sweats, weight loss, enlarged lymph nodes?