1/18
Looks like no tags are added yet.
Name | Mastery | Learn | Test | Matching | Spaced | Call with Kai |
|---|
No analytics yet
Send a link to your students to track their progress
Regarding the epidermis, which combination is correct?
Keratinocytes
Melanocytes
Langerhans cells
Fat
1, 2, 3
Thick skin comes with large numbers of hair follicles.
False
Which one of the following statements is not correct?
Cats have simple primary follicles
Which one of the following statements is not correct?
Sebaceous glands product is hydrophilic

What type of epithelium is shown in the picture?
Pluristratified squamous keratinized epithelium
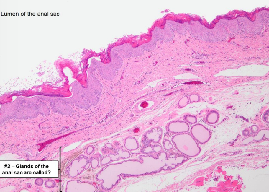
What type of gland is found in the anal sacs?
Apocrine glands
The vestibule is lined by a…
Stratified squamous epithelium
Regarding nasal cavities, which one of the following statements is not correct?
Goblet cells produce keratin
Fibrocartilage is present in the trachea.
False
Regarding trachea, which one of the following statements is correct?
Trachea shows incomplete cartilage rings
Which one is the correct combination regarding the following:
A. Respiratory bronchioles open into alveolar sacs
B. Respiratory bronchioles end in alveolar ducts
A is incorrect, B is incorrect
Which one of the following statements is correct?
Renal arteries enter the kidney and after several branches enter the cortex as interlobular arteries
Regarding collecting ducts, which one of the following statements is correct?
The cortical region ducts are lined by simple cuboidal epithelium
Which one of the following statements is not correct?
The urinary bladder is lined by urothelium, which has
Umbrella cells which are large when the bladder is distended and become flattened as the bladder relaxes
In distal convoluted tubules, cells are smaller than the PCT and have no brush border.
True
Regarding polypeptide hormones, which one of the following statements is not correct?
They bind to an intracellular receptor
Chromophobe cells of the adenophypophyse show an intensely basophilic cytoplasm.
False
The zone glomerulosa secretes…
Aldosterone
What type of epithelium do the follicular cells of the thyroid gland make?
Cuboidal to columnar epithelium