1/69
Looks like no tags are added yet.
Name | Mastery | Learn | Test | Matching | Spaced |
|---|
No study sessions yet.
Cystoscopy
Procedure to locate and control bleeding in the bladder (for hematuria)

Colectomy
Excision of the colon

Barium enema
Radiographic image of the large intestine

Ileum
Third portion of the small intestine connecting to the large intestine

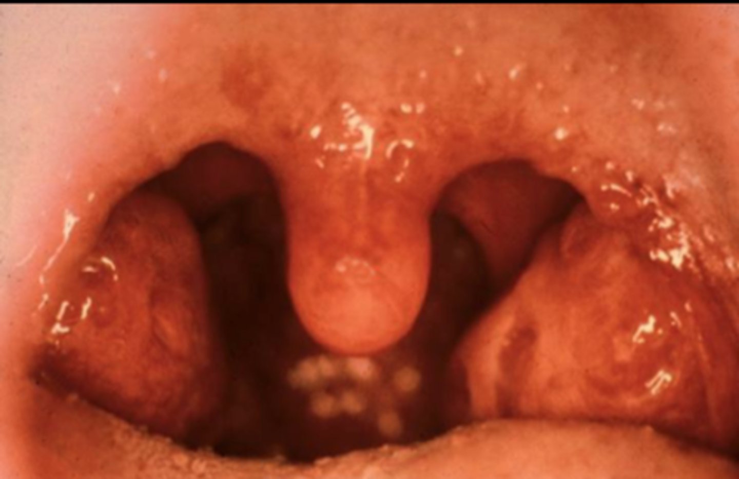
Pharynx
Anatomic term for throat

Colonoscopy
Endoscopic examination of the colon

Colposcopy
Visual exam of the vagina and cervix

Celi/o
Alternate combining form for lapar/o (abdomen)

Peps/o
Combining form meaning digestion

Sublingual
Pertaining to under the tongue

Bariatric surgery
Used to treat morbid obesity

Electrocardiogram (ECG or EKG)
Record of the electrical impulses of the heart

-pepsia
Digestion
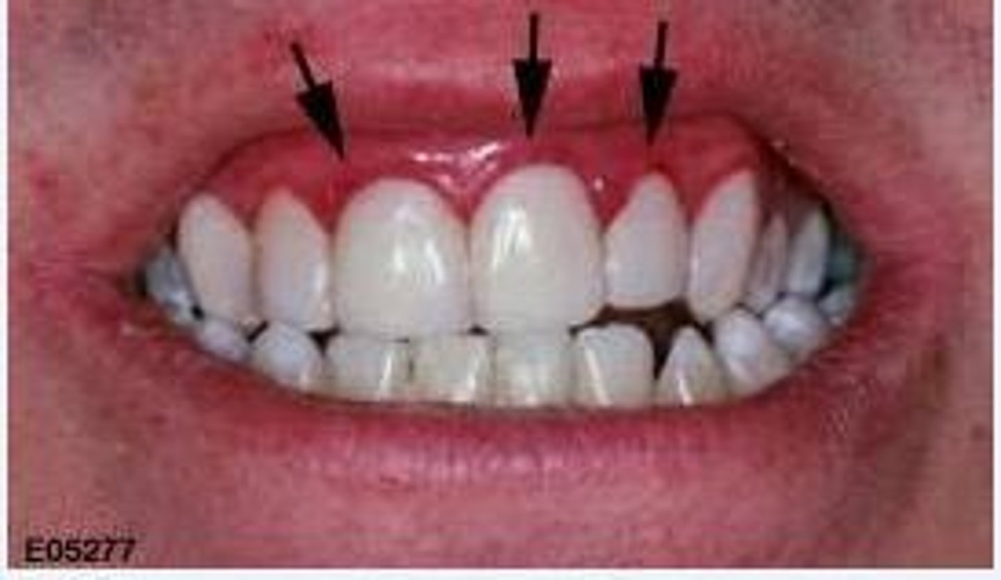
Gingivitis
Inflammation of the gums
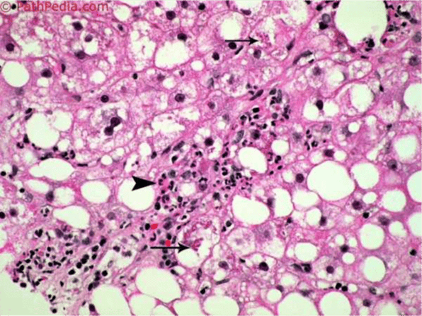
Hemochromatosis
Disorder caused by too much iron absorbed from food
Steat/o
Fat

Uvul/o
Uvula

Sial/o
Saliva, salivary gland

Pylor/o
Pylorus (gatekeeper of the stomach)

Polyp/o
Polyp, small growth

Peritone/o
Peritoneum
Pancreat/o
Pancreas

Palat/o
Palate (roof of mouth)

Lapar/o
Abdomen

Herni/o
Hernia, protrusion

Hepat/o
Liver

Hemi-
Half

Gloss/o
Tongue

Gingiv/o
Gums

Diverticul/o
Diverticulum, pouch

Hemicolectomy
Excision of half of the colon (not gallbladder)

Hematemesis
Vomiting of blood

Appendicitis
Inflammation of the appendix

Dysphagia
Difficulty swallowing

Nausea
Urge to vomit

FOBT
Fecal occult blood test

UPPP
Uvulopalatopharyngoplasty

UGI
Upper gastrointestinal series
PEG
Percutaneous endoscopic gastrostomy
N&V
Nausea and vomiting
IBS
Irritable bowel syndrome
H. pylori
Helicobacter pylori
GI
Gastrointestinal
GERD
Gastroesophageal reflux disease
EUS
Endoscopic ultrasound
ERCP
Endoscopic retrograde cholangiopancreatography
EGD
Esophagogastroduodenoscopy
BE
Barium enema
A&P resection
Abdominoperineal resection
Gastroscopy
Visual examination of the stomach

Rectal
Pertaining to the rectum
Steatohepatitis
Inflammation of the liver due to fat buildup

Hematochezia
Passage of bloody feces

Sigmoidoscopy
Visual exam of the sigmoid colon (not rectum only)

Volvulus
Twisting or kinking of the intestines

Palatitis
Inflammation of the roof of the mouth

Angiogram
Radiographic image of a blood vessel

Cholangi/o
Bile duct

Lingu/o
Tongue

Intussusception
Telescoping of one part of the intestine into another

Gastr/o
Stomach

Proct/o
Rectum

Stomat/o
Mouth

Cheil/o
Lip

Jejun/o
Jejunum

Enter/o
Intestine (usually small)

Ile/o
Ileum

Chol/e
Bile, gall

Cec/o
Cecum

Col/o
Colon
