1/123
Looks like no tags are added yet.
Name | Mastery | Learn | Test | Matching | Spaced |
|---|
No study sessions yet.
What are the most common oral tumors in dogs?
melanoma
squamous cell carcinoma
fibrosarcoma

_% of oral tumors in dogs are benign
~5%, epulides
What are the mot common oral tumors in cats?
squamous cell carcinoma (SCC)
SCC
SCC
SCC…
fibrosarcoma
What are some clinical signs of oral tumors?
Halitosis
Difficulty chewing, may favor one side of mouth
Drop food out of mouth
Ptylasim - ropey, viscous, often tinged saliva dripping from mouth
Blood in water bowl

Oral tumors can be ____ found on ___.
incidental finding,
routine teeth cleaning or on annual check up

Where are oral tumors located?
any place in oral cavity,
most commonly along gum line,
hard palate, soft palate, frenulum, cheeks

Oral tumors can invade into surrounding tissues, including __.
bone

True or False? Staging for oral tumors are similar across types, so you don’t have to know the exact tumor type prior to checking for metastasis.
True
The rates of __ and __ differ between oral tumor types.
invasion, metastasis
True or False? Most malignant oral tumors metastasize at similar rates just at different locations.
False. Most malignant oral tumors metastasize at similar LOCATIONS just at different rates.
For all oral tumors evaluate for both ___ and ___.
extent of local disease,
metastasis
What is a prognostic indicator with local disease of oral tumors?
size of primary tumor
Where to oral tumors tend to metastasize?
regional lymph nodes, lungs
other: depending on tumor type
What diagnostics are used for staging oral tumors?
routine bloodwork (CBC, chemistry)
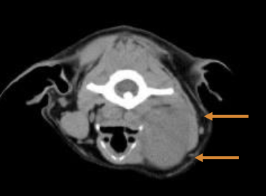
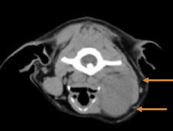
Imaging of oral cavity (CT preferred over skull radiographs)
Regional lymph node evaluation (sentinel lnn mapping, attempt to aspirate, remove at surgery)
Imaging of thoracic cavit (3v CXR, CT scan)
What is the most common oral tumor in dogs?
Oral malignant melanoma (OMM)

What signalment (age, breed) is seen with OMM?
Older, median 12 years
Breeds: chows, Goldens, Poodles, Cockers etc
Smaller weight dogs may be over-represented but occur in any breed

What clinical signs are seen with OMM?
visible mass (pigmented or not ~30%)
bleeding
halitosis
ptyalism

Describe the behavior of OMM
almost ALWAYS malignant
majority invades bone (locally invasive)
metastasis is COMMON
LNs and lungs most common
tonsils
other sites

What diagnostics can be used if OMM is suspected?
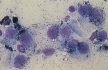
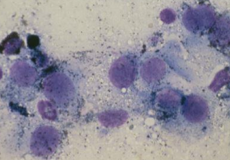
FNA and cytology (melanomas exfoliate readily)
Biopsy and histopathology (consider sx planning)
Often need IHC for confirmation/guide treatment

Why is OMM diagnosis sometimes difficult?
Can appear similar to other tumors (round cell, carcinoma, sarcoma)
~1/3 of cases are amelanotic (no pigment)

How can you tell a cytology of melanoma vs MCT apart?
Melanoma will have dark gray/black/purple pigment granules,
MCT granules are more red/pink and often have eosinophils around

What IHC stains should be included in a OMM panel?
Melan A,
S100,
PNL2,
TRP-1,
TRP-2
__ is the most common IHC stain. A negative IHC stain with this stain does/does NOT rule out melanoma.
Melan A
DOES NOT r/o melanoma
What diagnostics can be used to stage OMM?
CBC, serum chemistry
LN cytology - even if normal in size (40% have LN mets)
Thoracic imaging - CT or 3v rads
Local imaging of mass - CT of head, planning of sx and/r RT

How is OMM clinially staged?
TNM based staging
Describe TNM staging in OMM
T1: tumor </= 2cm diameter
T2: tumor 2-4cm diameter
T3: tumor >4cm diameter
N0: no evidence of regional ln
N1: histologic/cytologic evidence of regional ln
N2: fixed nodes
M0: no distant met
M1: distant met
What is the TNM for Stage 1 OMM?
T1 N0 M0
What is the TNM for stage 2 OMM?
T2 N0 M0
What is the TNM for stage 3 OMM?
T2 N1 M0 or T3 N0 M0
What is the TNM stage for stage 4 OMM?
Any T, Any N, M1
What is the treatment for OMM?
local therapy (surgery and radiation) proven to be effective
systemic therapy (chemo, immunotherapy, NSAIDs) NOT proven to be effective
MST of OMM if NO treatment?
2 months (due to painful QOL)
For a mandibulectomy what is the MST and recurrence?
MST 9-11 months
22% recurrence

For a maxillectomy what is the MST and recurrence?
MST 5-10 months
up to 50% recurrence
True or False? OMM is radiation sensitive.
True!
What is the MST, local recurrence, and response rate of radiation therapy for OMM?
MST 4-12 months
Local recurrence 11-27%
Response rate 83-94%
True or False? The cause of death from OMM when doing radiation therapy is often due to the local mass invasion.
False. Cause of death most often due to metastasis.
Dr. L only considered chemotherapy for OMM in what situations?
Considered for gross metastasis in the lungs — still not great tho
If chemo is used for OMM, what chemotherapeutic drugs are used?
Carboplatin
Palladia
What is the response rate with carboplatin in gross OMM disease? For microscopic disease?
gross disease - 28%
microscopic disease - no proven benefit
What immunotherapy can be used for OMM?
melanoma vaccine

The melanoma vaccine used for immunotherapy is a ___ vaccine.
Xenogenic DNA

The target gene for the melanoma vaccine is ___.
human tyrosinase - glycoprotein essential for melanin synthesis

How effective is the melanoma vaccine as an added treatment to surgery?
Some studies show improved survival for patients receiving vx other studies show no difference in survival
Very $$$

What is the OMM MST following surgery if the P is less than 12 yrs? 12 yrs or older?
<12 yrs - 630 days, 21 months
>/=12 yrs - 224 days, 7.5 months

What is the OMM MST following surgery based on the tumor size?
<2 cm - 630 days, 21 months
2-4 cm - 240 days, 8 months
>4 cm - 173 days, 5.7 months

What is the OMM MST following surgery based on metastasis at diagnosis?
No mets - 818 days, 27 months
Mets - 131 days, 4.3 months

What the OMM MST following surgery based on clinical stage?
Stage 1 - 874 days, 29 months
Stage 2 - 818 days, 27 months
Stage 3 - 207 days, 6.9 months
Stage 4 - 80 days, 2.6 months

Oral squamous cell carcinoma (SCC) in dogs is __% of oral tumors.
<25%

What signalment (age, breed) of dogs are associated with oral SCC?
Older, 8-10 years
Large breed dogs

True or False? While OMM in dogs often have metastasis, oral SCC mets are less common.
True!
For oral SCC in dogs, __% met to lungs, __% met to lymph nodes. With Tonsillar SCC, up to __%
<35% - lungs
<10% - lymph nodes
70% tonsillar SC

How is oral SCC in dogs diagnosed?
cytology, histopathology

How is oral SCC in dogs staged?
LN evaluation, thoracic imaging

What is the treatment for oral SCC in dogs?
surgical resection is the standard of care
mandibulectomy
maxillectomy
radiation therapy (not as good as in OMM)
palliative for gross, curative for microscopic
Piroxicam (COX2 NSAID)
__% of mandibulectomy in oral SCC dogs are alive at 1 year with a __% recurrence. Compared to __% of maxillectomy dogs at 1 year with a __% recurrence.
manidulectomy - 91% alive at 1yr, 10% recurrence
maxillectomy - 57% alive at 1yr, 30% recurrence

Piroxicam has a __ response rate for oral SCC.
17%
What are the general prognostic factors for oral SCC in dogs?
Location - rostral vs caudal
Complete vs incomplete resection
Presence of metastasis
What is the 3rd most common oral tumor in dogs?
oral fibrosarcoma (FSA)

What signalment (age, breed) are affected by oral fibrosarcoma (FSA)?
large breed dogs, goldens, labs
younger age, 7-8 yrs
(cats rarely get this too)

Describe the behavior of oral fibrosarcoma in dogs
occasiona lmetastasis, common bone involvement often the hard palate
Histologically the oral FSA is __ grade and biologically __ grade
histo - low
biologically - high
*difficult to differentiate from a fibroma on histopathology

What is the treatment of choice for oral FSA in dogs?
aggressive surgery ± RT
About __% of oral FSA in dogs met to lungs, about __% to LNs.
lungs - 12%
LNs - 20%
What are epulides? What are two types?
benign gingival proliferations
acanthomatous ameloblastoma
peripheral odontogenic fibroma
An epulis is seen on the rostral mandible and appears to be very aggressive locally. What type of epulide is most likely?
Acanthomatous ameloblastoma

What age of animal do you see acanthomatous ameloblastoma?
7-10 yrs, more common in dogs than cats

An epulis is seen on the maxilla rostral to 3rd premolar. It is slow-growing, firm, and covered by epithelium. What type of epulis is most likely?
peripheral odontogenic fibroma

___ epulides frequently invade bone whereas ___ epulides tend not to invade bone.
acanthomatous ameloblastoma,
peripheral odontogenic fibroma
True or False? Peripheral odontogenic fibromas are rare in cats but 50% occur in middle aged cats >3 yrs.
False. 50% occur in YOUNG CATS <3 yrs

__% of oral tumors in cats are oral squamous cell carcinoma (SCC)
70-80%

Where does oral SCC in cats like to present?
tongue, pharynx, tonsils

True or False? Oral SCC in cats is very invasive, most will have bone involvement so local control is difficult and metastasis is common.
False. Metastasis is UNCOMMON, but it is locally very invasive with bone involvement

What are proposed etiologies for oral SCC in cats?
flea collars (old generation), canned food, canned tuna, ± exposure to cigarette smoke

How is oral SCC in cats diagnosed?
cytology, histopathology

What diagnostics are done to stage oral SCC in cats?
bloodwork
LN evaluation - cytology
CT imaging often needed for surgical/RT planning
thoracic imaging (rads/CT)

What is the best treatment for oral SCC in cats?
aggressive sx resection
What must you warn owners about if they are considering surgical resection of their cat’s oral SCC?
Cats often have difficulty eating for 2-4 months post-sx,
Enteral feed tube may be required/recommended
12% of cats never eat voluntarily after sx :(
Besides surgical resection of oral SCC in cats, what other treatments can be considered?
radiation - alone or in combo (sx ± chemo), palliative is minimally effective
chemo - poor response
palliative care - NSAID, pain medications
oral SCC in cats can be frustrating as a medical oncologist to consult on — why?
Very little we can do medically, and quite limited if not surgically resectable…
Summary table for oral tumors in dogs
Malignant Melanoma
frequency
median age yrs
site predilection
LN mets
distant mets
gross apperance
Sx response
RT response
Best tx
Cause of death
Summary table for oral tumors in dogs
frequency = 30-40%
median age yrs = 12
site predilection = gingival, buccal, labial mucosa
LN mets = common, 41-74%
distant mets = common, 14-92%
gross appearance = pigmented (67%), amelanotic (33%), ulcerated
Sx response = fair to good
RT response = good
Best tx = surgery and/or RT ±chemo, ±immunotherapy
Cause of death = local or distant disease

Summary table for oral tumors in dogs
Squamous Cell Carcinoma
frequency
median age yrs
site predilection
LN mets
distant mets
gross appearance
Sx response
RT response
Best tx
Cause of death
Summary table for oral tumors in dogs
frequency = 17-25%
median age yrs = 8-10 yrs
site predilection = rostral mandible
LN mets = rare<40%, tonsil up to 73%
distant mets = rare<36%
gross appearance = red, cauliflower, ulcerated
Sx response = good
RT response = good
Best tx = surgery and/or RT
Cause of death = local or distant disease

Summary table for oral tumors in dogs
Fibrosarcoma
frequency
median age yrs
site predilection
LN mets
distant mets
gross appearance
Sx response
RT response
Best tx
Cause of death
Summary table for oral tumors in dogs
frequency = 8-25%
median age yrs = 7-9 yrs
site predilection = maxillary gingiva and hard palate
LN mets = occasional 9-28%
distant mets = occasional 0-71%
gross appearance = flat, firm, ulcerated
Sx response = fair to good
RT response = poor to fair
Best tx = surgery and/or RT
Cause of death = local disease

Summary table for oral tumors in dogs
Acanthomatous Ameloblastoma (epulis)
frequency
median age yrs
site predilection
LN mets
distant mets
gross appearance
Sx response
RT response
Best tx
Cause of death
Summary table for oral tumors in dogs
frequency = 5%
median age yrs = 8 yrs
site predilection = rostral mandible
LN mets = none
distant mets = none
gross appearance = red, cauliflower, ulcerated
Sx response = excellent :)
RT response = excellent
Best tx = surgery
Cause of death = rarely tumor related

Summary table for oral tumors in cats
Squamous Cell Carcinoma
frequency
median age yrs
site predilection
LN mets
distant mets
gross appearance
Sx response
RT response
Best tx
Cause of death
Summary table for oral tumors in cats
frequency = 70-80%
median age yrs = 10-12 yrs
site predilection = tongue, pharynx, tonsils
LN mets = rare
distant mets = rare
gross appearance = proliferative, ulcerated
Sx response = poor :(
RT response = poor :(
Best tx = surgery and RT
Cause of death = local disease

Summary table for oral tumors in cats
Fibrosarcoma
frequency
median age yrs
site predilection
LN mets
distant mets
gross appearance
Sx response
RT response
Best tx
Cause of death
Summary table for oral tumors in cats
frequency = 13-17%
median age yrs = 10
site predilection = gingiva
LN mets = rare
distant mets = rare
gross appearance = firm
Sx response = fair
RT response = poor
Best tx = surgery and/or RT
Cause of death = local disease
Overall gastric tumors are __ with __% of maligancies.
rare, <1%
Dogs tend to get what type of gastric tumors?
adenocarcinoma (70-80%)
smooth muscle tumors, GIST, lymphoma, others

Cats tend to get what type of gastric tumors?
lymphoma - solitary or component of higher stage dz
adenocarcinoma is rare
What are the risk factors for gastric tumors (adenocarcinoma) in dogs?
breed - Belgian shepherds, rough coated collies
male sex 2.5:1 M to F ratio

What are the risk factors for gastric tumors (lymphoma) in cats?
chronic gastritis
H. pylori infection
What clinical signs are seen with gastric tumors?
vomiting, anorexia, weight loss, anemia
signs may be prolonged
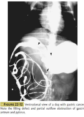
How are gastric tumors diagnosed?
imaging: radiographs ± contrast, ultrasound, CT
biopsies and histopathology: endoscopy, sx

True or False? Surgery, RT, Chemo, and NSAIDs are possible treatment options for gastric tumors.
False. While surgery, chemo, and NSAIDs can be considered depending on gastric tumor, RT is NOT used due to surrounding tissues.

Surgery for gastric masses can be difficult. Why?
Due to location and need to evaluate for intra-abdominal metastasis. (Billroth procedures)
What types of gastric tumors could chemotherapy be considered for?
not effective for adenocarcinomas
GISTs, lymphoma may be exceptions for chemo!
What types of gastric tumors could NSAIDs be considered for?
adenocarcinomas

What types of intestinal tumors are most commonly seen in dogs?
lymphoma
adenocarcinoma
leiomyosarcoma
gastrointestinal stromal tumors (GIST)
carcinoids

What types of intestinal tumors are most commonly seen in cats?
lymphoma
adenocarcinoma
MCT

What clinical signs appear with proximal intestinal tumor lesions?
vomiting, anorexia, weight loss, melena