Brain Structures

0.0(0)
studied byStudied by 0 people
0.0(0)
full-widthCall with Kai
GameKnowt Play
New
learnLearn
examPractice Test
spaced repetitionSpaced Repetition
heart puzzleMatch
flashcardsFlashcards
Card Sorting

1/24

encourage image

There's no tags or description

Looks like no tags are added yet.

Study Analytics
Name
Mastery
Learn
Test
Matching
Spaced

No study sessions yet.

25 Terms

1
New cards

Caudate Nucleus

C-Shaped structure in basal ganglia, playing a tole in cognitive/motor functions

2
New cards

Cerebellum

“Little brain” in the back of head below occipital lobe, playing a role in coordination

3
New cards

Cerebral Aqueduct

Narrow channel in midbrain connecting third and fourth ventricles

4
New cards

Corpus Callosum

Thick bundle of nerve fibers connecting left and right hemispheres

5
New cards

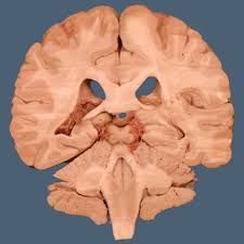
Coronal

knowt flashcard image
6
New cards

Frontal Cortex

Outer layer of gray matter that makes up the frontal lobe

7
New cards

Globus Pallidus

Major component of basal ganglia; plays a role in inhibiting unwanted movements

8
New cards

Hippocampus

Brain structure related to memory

9
New cards

Horizontal

knowt flashcard image
10
New cards

Hypothalamus

Almond-sized structure at base of brain serving as primary link between nervous and endocrine system

11
New cards

Lateral Ventricle

Pair of C-Shaped cavities in left and right hemispheres producing CSF

12
New cards

Occipital Cortex

Visual processing center of the brain

13
New cards

Olfactory Bulb

First relay station in olfactory pathway

14
New cards

Optic Chiasm

X-Shaped structure where optic nerve for two eyes partially cross

15
New cards

Optic Nerve

Bundle of nerve fibers transmitting visual information from the retina to the brain

16
New cards

Optic Tract

Bundle of nerve fibers carrying info from optic chasm to LGN of the thalamus

17
New cards

Parietal Cortex

Outer layer of the parietal lobe

18
New cards

Pons

Structure above medulla controlling unconscious behavior

19
New cards

Sagittal

knowt flashcard image
20
New cards

Superior Colliculus

Crucial structure in midbrain for sensory processing and coordinating head/eye movements

21
New cards

Temporal Cortex

Outer layer of the temporal lobe

22
New cards

Thalamus

Egg-shaped gray matter structure above brainstem relaying sensory and motor signals to the cerebral cortex

23
New cards

Third Ventricle

Produce, contain, and circulate CSF

24
New cards

Spinal Cord

Bundle of nervous tissue running from brainstem to center of the spine

25
New cards

Medulla

Connects brain to the spinal cord