1/119
Looks like no tags are added yet.
Name | Mastery | Learn | Test | Matching | Spaced | Call with Kai |
|---|
No analytics yet
Send a link to your students to track their progress
Put the following media in order from lowest to highest according to their acoustic impedance.
Bone, Air, Liver, Blood
a. liver, bone, air, blood
b. air, bone, liver. blood
c. bone, liver, blood, air
d. air, blood, liver, bone
air, blood, liver, bone
Which of the following machine adjustments will produce a more black and white 2D image?
a. reducing the compression
b. increasing dynamic range
c. reducing overall gain
d. reducing monitor contrast
reducing the compression
Which of the following best describes ultrasound?
a. a mechanical vibration transmitted through a medium as a transverse wave
b. a mechanical vibration transmitted through a medium as a longitudinal wave
c. a thermal wave transmitted through a medium
d. an electric vibratoin transmitter through a medium in the form of a wave
a mechanical vibration transmitted through a medium as a longitudinal wave
What principle of sound allows for identification of stones in the gallbladder or calcified plaque in the carotid arteries?
a. reflection
b. interference
c. refraction
d. rectification
reflection

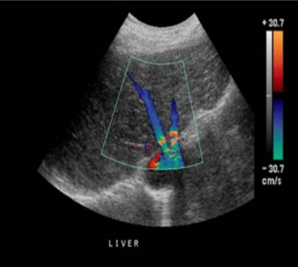
Which of the following describes the best way to eliminate the color Doppler aliasing in the proximal hepatic veins while maintaining proper flow display in the distal hepatic veins?
a. increase the color velocity scale to 0.60m/s
b. increase the color velocity scale to 0.40m/s
c. invert the door baseline
d. decrease the color priority
increase the color velocity scale to 0.40m/s
Lateral Resolution is defined as:
a. the ability to differentiate two reflectors that are in moving in a direction that is parallel to the US beam
b. the ability to differentiate two reflectors that are parallel to the US beam
c. the ability to differentiate two reflectors that are in moving in a direction that is perpendicular to the US beam
d. the ability to differentiate two reflectors that are perpendicular to the US beam
the ability to differentiate two reflectors that are perpendicular to the US beam

What acoustic artifact is demonstrated on the image?
a. mirror image
b. reverberation
c. propagation speed error
d. posterior shadowing
reverberation
Which color Doppler control helps to find a balance between the accuracy of the color displayed and the temporal resolution of the image?
a. variance color map
b. packet size
c. electronic steering
d. beam focusing
packet size
WHile scanning the carotid artery, you obtain a Doppler tracing and obtain the peak velocity. Before recording the image, you decrease the cursor angle from the last sample taken to make it more parallel to the flow and record the new image. How will this change affect the peak velocity displayed from the new sample?
a. no change unless stenosis is present
b. no change
c. increase
d. decrease
increase

Why does the Doppler tracing not touch the baseline on either side?
a. spectral broadening
b. decreased rejection settings
c. decreased Doppler gain settings
d. high filter settings
high filter settings
Which of the following will improve the color Doppler visualization of flow in the small superficial arteries with lower velocity flow?
a. increased transducer frequency
b. increased wall filler settings
c. reduced color gain
d. smaller packet size
increased transducer frequency
There is no known adverse biological effect in vivo using an unfocused ultrasound transducer at intensities below _______.
a. 100 W/cm² SPTA
b. 100mW/cm² SPTA
c. 100 mW/cm² SATA
d. 100 mW/cm² SPTA
100 mW/cm² SPTA

What system parameter is being assessed on the phantom image?
a. lateral resolution
b. axial resolution
c. horizontal distance calibration
d. depth calibration
lateral resolution
For fetal imaging the thermal index value should be kept below ______ and for adult imaging the thermal index should be kept below ______ to avoid exam time limitations.
a. 1, 2
b. 0.5, 1.5
c. 0.7, 1.5
d. 3, 6
0.7, 1.5
The artifact that is produced when the incident beam hits a curved surface and produces an acoustic shadow is referred to as:
a. defocusing
b. mirror imaging
c. multi-path artifact
d. comet tail
defocusing
While scanning, you decide to increase the image contrast. What console control will be adjusted?
a. increase compression
b. increase rejection
c. reduce demodulation
d. increase overall gain
increase rejection
As the cosine of the cursor angle increases:
a. the propagation velocity decreases
b. the calculated velocity increases
c. the propagation velocity increases
d. the calculated velocity decreases
the calculated velocity increases
Which of the following techniques can improve contrast resolution to aid in the visualization of an isoechoic mass?
a. turn on harmonic imaging
b. switch to lower frequency transducer
c. increase the slice thickness
d. decrease the number of focal zones
turn on harmonic imaging
Which of the following sound wave parameters varies as the propagation speed changes in different media?
a. wavelength
b. period
c. pulse repetition frequency
d. frequency
wavelength
What can be used to alter the displayed brightness of the image after it has been stored in the memory?
a. rejection
b. preprocessing
c. spatial compounding
d. postprocessing
postprocessing
You are scanning at a depth of 5cm using a 3MHz transducer and switch to a 5MHz transducer without changing the depth setting. Which transducer has the greatest pulse repetition frequency?
a. unable to determine
b. 3MHz
c. they have the same PRF
d. 5MHz
they have the same PRF
Which of the following conditions requires stand to use a personal respirator when entering the patient’s room and providing care?
a. recent organ transplant
b. mumps
c. tuberculosis
d. pneumonia
tuberculosis
As you are scanning an obese adult patient, you notice a 2.4 Thermal Index. What should be done next?
a. reduce the output power and increase the gain compensation
b. stop the exam and consult the radiologist regrading increased patient exposure
c. reduce the number of images obtained to significantly reduce exam time
d. take a break from scanning the patient for 30-60 seconds and then start again while monitoring the TI level
reduce the output power and increase the gain compensation
Which of the following is responsible for thermal bioeffects?
a. sound beam scattering
b. sound beam absorption
c. sound beam refraction
d. sound beam reflection
sound beam absorption
As the blood vessel radius decreases, ________.
a. the resistance increases
b. the diastolic flow rate increases
c. the pulsatility decreases
d. the velocity decreases
the resistance increases
Vessel wall thickness and plaque morphology are best evaluated in 2D when the beam is at what incident angel to the vessel?
a. 0 degrees
b. 45 degrees
c. 60 degrees
d. 90 degrees
90 degrees
________ is defined as the bending of waves around small obstacles and the spreading out of waves past small openings.
a. diffraction
b. reflection
c. scatter
d. refraction
diffraction
Which of the following is a system adjustment that is made when changing from a lower extremity arterial exam to a lower extremity venous exam on the same patient?
a. reduce the color priority
b. reverse the color display baseline
c. decrease Doppler PRF
d. decrease transducer frequency
decrease Doppler PRF
The average attenuation of ultrasound in the soft tissue is:
a. 0.5 dB/cm/MHz
b. 0.5 dB/cm
c. 5 dB/cm/MHz
d. 0.5 dB/cm²/MHz
0.5 dB/cm/MHz
What can be done to improve the visualization of the anterior aortic wall?
a. decrease the threshold setting
b. increase the compression
c. center the probe with the ultrasound beam perpendicular to the aortic wall
d. scan from a more lateral approach
center the probe with the ultrasound beam perpendicular to the aortic wall
Which of the following relies on the non-linear behavior of sound waves?
a. harmonic imaging
b. dynamic frequency tuning
c. CW Doppler
d. compound imaging
harmonic imaging
What system parameter is decreased with a high frequency transducer?
a. dynamic range
b. beam intensity
c. penetration
d. spatial resolution
penetration
If the reflector dimensions are less than the wavelength of the pulse, ______ occurs.
a. Schileran effect
b. refraction
c. sound absorption
d. Rayleigh scatter
Rayleigh scatter
What is the most serious potential complication of a mbcrobubble contrast exam?
a. facia edema
b. shock
c. respiratory distress
d. uticaria
respiratory distress
Spatial averaging is used to:
a. reduce noise display and signal dropout
b. provide an average measurement of a structure
c. improve temporal resolution
d. increase the spatial pulse length
reduce noise display and signal dropout

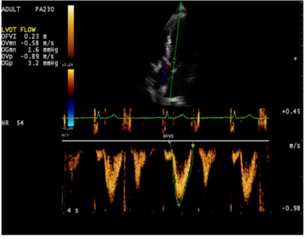
What is being measured on the Doppler tracing?
a. resistive index
b. peak diastolic velocity
c. peak systolic velocity
d. end diastolic velocity
peak systolic velocity
The choice of frequency for an exam is dependent on the ______ needed for an optimal exam.
a. size the transducer footprint
b. number of images
c. type of transducer array
d. penetration and resolution
penetration and resolution
If the amplifier power output is 100 times the amplifier power input, what is the value for gain?
a. 6dB
b. 3dB
c. 10dB
d. 20dB
20dB
Which of the following is an advantage of 2-D linear phased array over a 1-D linear phased array transducer?
a. ability to perform 3D imaging
b. ability to use electronic steering to vary the incident angle of the beam
c. ability to adjust the lateral resolution
d. ability to use single or multiple focal zones
ability the perform 3D imaging
If media 1 has an impedance of 65 rayls and media 2 also has an impedance of 65 rayls, what percentage of the beam will be transmitted at their interface?
a. 100%
b. 50%
c. 0%
d. unable to determine with information given
100%
Proper ergonomic techniques for Sonography include:
a. sonographer wrist flexion/extension should be maximized
b. standing is preferred position for sonographers completing most ultrasound exams
c. sonographer reach should be limited to 30cm or less
d. sonographer arm adduction should be limited to a small angle
sonographer reach should be limited to 30cm or less
Which of the following is described as the time from pulse transmission to the time of the Doppler sample detecting the first shift?
a. pulse repetition period
b. packet size
c. pulse duration
d. spatial pulse length
pulse repetition period
Which of the following is a benefit of activating tissue harmonic imaging?
a. reduces grating lobe and side lobe artifacts
b. degraded axial resolution in near field
c. improves electrical resolution in far field
d. increases beam width with improving lateral resolution
reduces grating lobe and side lobe artifacts
Elevational resolution is:
a. another term for slice thickness resolution
b. the weakest reflected signal the transducer can receive
c. highest with linear phased arrays
d. the minimum reflector separation required to produce separate echoes
another term for slice thickness resolution
The primary advantage of pulled wave Doppler is:
a. absence of the Nyqiust limit
b. range resolution
c. absence of aliasing
d. allows for evaluation of flow at greater depths
range resolution
A Reynolds number greater than ______ indicates turbulent flow on _____ evaluation.
a. 500, color Doppler
b. 2000, color Doppler
c. 500, PW Doppler
d. 2000, PW Doppler
2000, color Doppler
Which of the following technical factors can lead to spectral broadening?
a. incorrect cursor placement
b. small sample size
c. reduced gain
d. laminar flow
incorrect cursor placement
Which of the following media interfaces is most likely to produce the ring down artifact?
a. tissue - gas
b. tissue - fluid
c. liver - kidney
d. calcification - tissue
tissue - gas
You switch from a 5MHz curved probe to a 2.5MHz sector probe to image deeper in the abdomen. How is the attenuation rate affected by the change to the new probe?
a. decreases by 25%
b. decreases by 50%
c. doubles
d. increasers by 4 times
decreases by 50%
If the amplitude of the sound wave doubles, what happens to the beam intensity?
a. decreases by a factor of 4
b. increases by a factor of 4
c. decreases by ½
d. doubles
increases by a factor of 4
Some US transducer arrays allow you to reduce the thickness of the beam as an additional type of focusing. What effect will this change have on the image?
a. degraded temporal resolution
b. improved elevational resolution
c. improved contrast resolution
d. decreased beam attenuation
improved elevational resolution
Venous blood flow in the legs is propelled toward the heart by:
a. muscle contraction and respiration
b. cardiac pulsatility only
c. respiration only
d. cardiac pulsatility, muscle contraction, and respiration
muscle contraction and respiration
What is the primary factor that determines the resistance characteristics of the arterial signal displayed by PW Doppler?
a. vessel course and location
b. origin of blood
c. branch number
d.part it is supplying
part it is supplying

What should be done to adjust and improve the color displayed on the attached image?
a. increase PRF
b. steer color box
c. increase velocity scale
d. decrease color baseline
steer color box
How is density of a medium related to impedance within the medium?
a. lower densities = higher impedance
b. higher densities = higher impedance
c. higher densities = lower impedance
d. these two characteristics of the media are unrelated to sound wave travel
higher densities = higher impedance
If the peak pressure gradient in a vessel is 36mmHg, what is the velocity of the flow?
a. 1 cm/s
b. 3 cm/s
c. 2 cm/s
d. 4 cm/s
3 cm/s
Which of the following is inversely related to the Doppler shift?
a. speed of the sound in tissue
b. number of red blood cells
c. sine of the angle between the flow and the detector
d. speed of the red blood cells
speed of the sound in tissue
What system control should be turned off when attempting to demonstrate posterior shadowing from a suspected renal or biliary stone?
a. time gain compensation
b. color Doppler
c. harmonic imaging
d. spatial compounding
spatial compounding
Why does axial resolution improve with higher frequencies?
a. wavelength is reduced
b. better sound penetration
c. higher propagation speed
d.reduced attenuation and scatter
wavelength is reduced
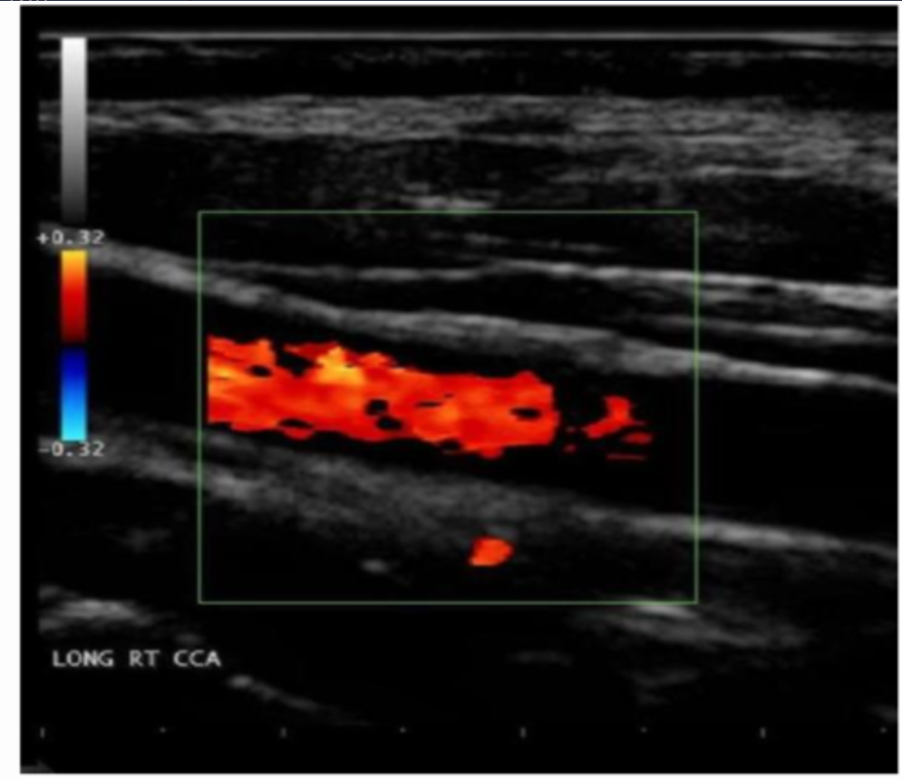
Which of the following correctly describes the color displayed on the image?
a. the color scale should be reduce so that the entire vessel is filled with red color
b. the heel-to-toe method can be used to change the course of the vessel across the image and this will allow the vessel to accurately display a single color
c. the color scale should be reduced so that the entire vessel is filled with blue color
d. the red and blue color indicate that flow is moving in two different directions simultaneously in the vessel
the heel-to-toe method can be used to change the course of the vessel across the image and this will allow the vessel to accurately display a single color
If the time to produce a single image frame increases, how will temporal resolution be affected?
a. no change with linear phased array transducer
b. no change with linear sequential transducer
c. degraded
d. improves
degraded
Which of the following imaging parameters is responsible for the ability to resolve the AP wall thickness of an artery?
a. lateral resolution
b. axial resolution
c. contrast resolution
d. dynamic range
axial resolution
_________ is defined as try physiology of blood flow.
a. viscosity
b. Huygen’s principle
c. Hemodynamics
d. Doppler evaluation
Hemodynamics
What is the first step in obtaining a 3D image?
a. adjust the volume angle
b. ask the patient to hold their breath before starting the data acquisition
c. optimize the 2D image
d. select the region of interest
optimize the 2D image
As beam width increases, how is intensity affected?
a. decreases
b. increases
c. no change, expect in endocavity probe where intensity decreases
d. no change, expect in endocavity probe where intensity increases
decreases
The _______ of a sound wave refers to the time it takes to complete one cycle.
a. PRP
b. PRF
c. period
d. spatial pulse length
period

According to the attached color map, what color will be demonstrated for laminar flow that is moving toward the probe 35cm/s?
a. blue
b. yellow
c. green
d. red
red

Review the image and the system settings listed along the right side. Use your mouse to position your cursor over the setting that should be adjusted to improve the diagnostic quality of the Doppler tracing. Click to set the cursor and conform your answer.
PRF

Reducing or eliminating posterior shadowing and enhancement is a disadvantage of:
a. spatial compounding
b. harmonic imaging
c. volume averaging
d. vibrational Doppler imaging
spatial compounding
In order to assess low velocity flow, which of the following operator adjustments should be made?
a. decrease wall filler setting and compression
b. increase scale setting
c. decrease compression
d. decrease the rejection and wall filter setting
decrease the rejection and wall filter setting
What transducer component reduces the “ringing” of the crystal improves axial resolution, and reduces spatial pulse length?
a. acoustic lens
b. dampening material
c. pulse delay
d. matching layer
dampening material
Which of the following types of resolution varies with different depths on the image?
a. temporal resolution
b. contrast resolution
c. axial resolution
d. lateral resolution
lateral resolution
Sound energy that arrives at the transducer before the rest of the original pulse finishes transmitting will cause what acoustic?
a. lobe artifact
b. mirror image
c. ring down
d. range ambiguity
range ambiguity
Which of the following can be done to reduce the beam divergence?
a. switch to a lower frequency transducer
b. remove an acoustic lens in front of the PE element
c. switch to a higher frequency transducer
d. deactivate dynamic focusing
switch to a higher frequency transducer
Which ultrasound bioeffect occurs due to sound absorption?
a. stable cavitation
b. thermal
c. schlieren effect
d. transient cavitation
thermal
Which of the following console adjustments will improve the temporal resolution on the image?
a. turning off the zoom function
b. adding another focal zone
c. turning on harmonic imaging
d. decreasing imaging depth
decreasing imaging depth

The diagram represents a tissue phantom. The pins in the area listed as #1 are used to evaluate which of the following system parameters?
a. dead zone
b. axial resolution
c. contrast resolution
d. range resolution
dead zone
A large fatty mass is identified in the liver parenchyma. The diaphragm appears to have an irregular border and is difficult to assess in the area posterior to the mass. Why?
a. misregistration of anatomy posterior to the mass due to slower speed of sound in fat
b. mirror imaging phenomenon is creating a duplicate structure posterior to the fatty mass
c. there is increased refraction of the sound beam within the fatty tumor causing decreased visualization of the diaphragm
d. there is increased diffraction of the sound beam within the fatty tumor causing decreased visualization of the diaphragm
misregistration of anatomy posterior to the mass due to slower speed of sound in fat
Which of following digital displays will be most effective to demonstrating subtle differences on the gray scale image?
a. 200,000 pixels, 1 bit/pixel
b. 10 pixels, 100,000 bits/pixel
c. 100,000 pixels, 10 bits/pixel
d. 10,000 pixels, 10 bits/pixel
100,000 pixels, 10 bits/pixel
What is the function used with Doppler analysis to assess the data from multiple sampling sites and produce a display representing mean flow velocities?
a. autocorrelation
b. quadrature phase detection
c. Bernoulli equation
d. Fast Fourier transform
autocorrelation
A larger bandwidth leads to _______.
a. increased spatial pulse length
b. improved axial resolution
c. improved temporal resolution
d. degraded temporal resolution
improved axial resolution
Which of the following can be used for backing material in a PW transducer?
a. epoxy
b. air
c. quartz
d. backing material is only necessary in CW transducers
The spatial resolution on a CRT monitor is directly related to:
a. pixel size
b. the frame rate
c. the number of lines per frame
d. the number of frames produced
the number of lines per frame
When resistance in the distal vascular bed decrease, what happens to the resistive index(RI)?
a. no change
b. decreases
c. no change unless collateral vessels present
d. increases
decreases
The pulse repetition period in 2D imaging is determined by:
a. element diameter
b. beam diameter
c. imaging depth
d. slice thickness
imaging depth
A backing layer similar to the silicon substrate in a capacitive micromachined ultrasound transducer is necessary to counteract to excessive:
a. reverberation caused by the membrane motion
b. reflection caused by the membrane motion
c. sound absorption by the matching layer
d. electrical field size produced by the membrane
reverberation caused by the membrane motion
If a PW Doppler system is operating at a PRF of 5000/s what is the maximum Doppler frequency shift that can be detected without aliasing?
a. 2500kHz
b. 5000kHz
c. 2.5kHz
d. 5kHz
2.5kHz
Increasing _______ will improve detail resolution the most on the lateral sides of the image.
a. line density
b. image depth
c. beam width
d. overall gain
line density
While scanning an echo, you change the gray map to a new choice and continue to scan. This would be termed a change in ________.
a. harmonic imaging
b. bandwidth
c. preprocessing
d. postprocessing
preprocessing
Mirrors and lenses can be used to ________.
a. electronically focus the US beam
b. mechanically focus the US beam
c. increase the PRF of the transducer
d. improve sound transmission into the body
mechanically focus the US beam
Bandpass filtering is a function performed in the:
a. signals processor
b. pulser
c. beam former
d. image processor
signals processor
Which of the following system controls is used to improve signal-to-noise ratio and a reduce specular reflection type artifacts?
a. compound imaging
b. receiver gain
c. output power
d. transmit gain
compound imaging
Kinetic energy is converted to heat during blood flow due to what two factors?
a. blood viscosity and vessel wall friction
b. vessel branching and radius of the lumen
c. muscle contraction and viscosity
d. respiration and pulsatility
blood viscosity and vessel wall friction
When switching to a higher frequency transducer during an ultrasound exam, what other setting will need to be adjusted to maintain quality image?
a. far field gain
b. imaging depth
c. near field gain
d. dynamic range
far field gain
What part of the ultrasound system is responsible for changing the PRF with changes in image depth?
a. pulser
b. analog to digital scan converter
c. digital to analog converter
d. Fast Fourier transform
pulser

Use your cursor to measure the end diastolic velocity of the third waveform. Use your mouse to position the cursor and click to set your answer.
(green)

In a vessel with a focal stenosis, the lowest pressure is found ___________.
a. at the narrowest point in the vessel
b. just distal to the stenosis
c. in the area with the most turbulence
d. proximal to the stenosis
at the narrowest point in the vessel
Which of the following describes the difference between side lobes and grating lobes?
a. grating lobes are corrected by apodization and subduing is used correct side lobes
b. grating lobes are corrected by subdicing and apodization is used to correct side lobes
c. grating lobes are seen with arrays and side lobes are seen with single element probes
d. grating lobes are seen with curved arrays and side lobes are seen with linear arrays
grating lobes are seen with arrays and side lobe are seen with single element probes
Which of the following controls will reduce the low level echoes demonstrated on the Doppler image?
a. increased compression
b. increased wall filter settings
c. drop the baseline
d. increase the Doppler gain
increased wall filter settings
B-mode display is termed:
a. brightness motion
b. brightness mode
c. motion modulation
d. none of the above
brightness mode