1/31
ospe
Name | Mastery | Learn | Test | Matching | Spaced |
|---|
No study sessions yet.

adipose C.T tissue

thin skin
land mark: فيها منحنيات كثير

thick skin
landmark: thick keratin layer

sympathetic ganglia

sympathetic ganglia

basal ganglia

nerve trunk

smooth muscle
land mark : الخطوط المنحنيه الطويله

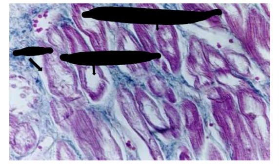
cardiac muscle
land mark: it have incomplete branches

skeletal muscle
land mark: it has large lines

peripheral nerve

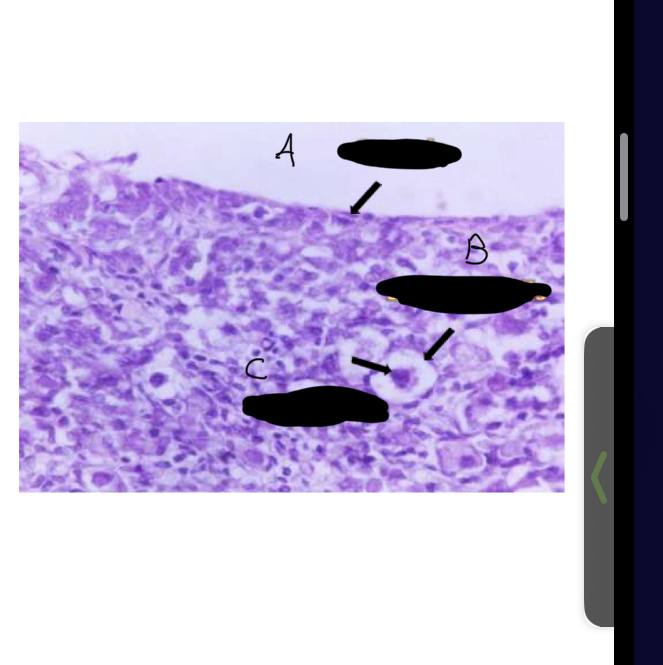
spinal ganglia
A capsule
B satellite cells
C cell bodies

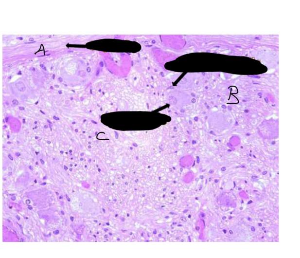
sympathitic ganglia
A capsule
B satellite cells
C cell bodeis

skeletal muscle
نواه فلات ومحيطيه و متعدده

cardiac muscle
فيه برانش وخلايا مركزيه دائريه وحيده

purkinje fibers
filled w glycogen, few myofibrilis

smooth muscle
السموذ دايم تكون مخوشه عكس الهسكليتال والكاردياك
flat central nuclei

thick skin
A horny layer
B clear cell layer
C granular layer
D prickle cell layer
E germinal layer
F dermal papillae

thin skin
A thin epidermis
B hair follicle
C sebasceuos gland

mataphase spread

A male karyotyping
B female karyotyping

klinefelter syndrom
47, XXY

trisomy down syndrome
47,XX or XY , +21

trilaminar unit membrane
الخطين الاسود نسميهم dense line
الابيض اللي بالنص نسميه lucent line

mitochondria
تشبه بصمه الاصابع والتعرجات اللي فيها نسميها cristae

RER
النقاط الكثيره هذي الرايبوسومات على الغشاء الخارجي للrer

centriols
9 triples microtubules

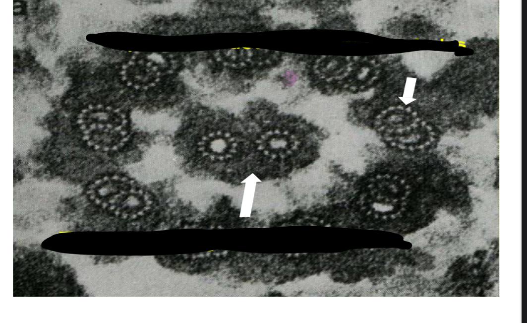
axoneme (the shaft of cilia)
9 doubled peripheral microtubules
2 central singled microtubules

lysosomes

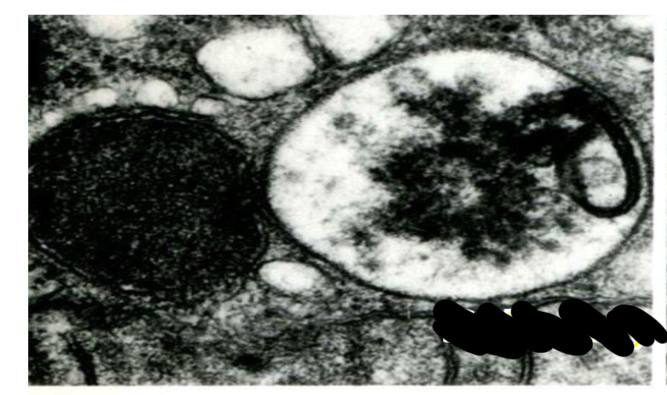
desmoses
تعتبر جنكشن بين خليتين

basal infolding filled w mitochondrua

اللي ع اليسار هي النواه النشطه active nucleus
اللي ع اليمين inactive nucleus