1/43
Looks like no tags are added yet.
Name | Mastery | Learn | Test | Matching | Spaced |
|---|
No study sessions yet.

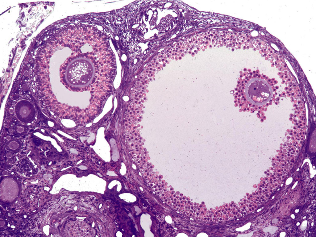
Graafian follicles in ovaries (cow)

What is the large, light pink circular blob on the right side?
Corpora lutea in ovaries (cow)

What is the clear portion within the ring points 1-5 are called?
Cow oocyte - cytoplasm

What is the red circle pointing to?
Pregnancy from ultrasound (cow)

What is the yellow arrow pointing to?
Corpus luteum from ultrasound (cow)

What are the red arrows pointing to?
Follicle from ultrasound (cow)

Placentome (cow)

Caruncle (cow)

Cotyledons (cow)

Chorioallantois (cow)

What is the fluid surrounding the fetus?
Amniotic vesicle (cow)

Placentome (sheep)

Caruncle (sheep)

Cotlyedons (sheep)

Chorioallantois (sheep)

Amniotic vesicle (sheep)

Uterine gland

Uterus

Ampulla

Isthmus

Pig placenta

Binucleated cells, bovine placenta

What’s the clear ring around the egg called?
Vitelline block - in sea urchin fertilization

Cumulus oocyte complex (cow)

What is the thick ring around the oocyte?
Zona pellucida (cow)

What are the brown parts on the structure in the top right? And what side are they on?
Necrotic tips, placental

What is the light pink / white tissue?
Amnion

What is the dark red tissue? And what side is it?
Chorioallantoic membrane, fetal

What animal’s repro tract is this?
Pig

What animal’s repro tract is this?
Cow

What are the little notches / square structures on the inner lining of the sides called?
Cervical folds

Cervix (pig)

Uterine horns (pig)

Ovaries (pig)

Endometrial cups (horse)

Cervix (pig)

Infundibulum (pig)

Os of cervix (pig)
The end of the line where the past the cervix going away from the uterine horns

Endometrial cups (horse)

Caruncles (cow)

Follicles (cow)

CL (cow)

Cervix (cow)

Fallopian tubes / oviduct (cow)