1/90
Looks like no tags are added yet.
Name | Mastery | Learn | Test | Matching | Spaced | Call with Kai |
|---|
No study sessions yet.
¿A qué se refiere el "patrón vascular" en una radiografía de tórax?
A las alteraciones en el tamaño y la prominencia de las arterias y venas pulmonares
En un paciente sano, ¿cuál es la relación de tamaño entre las arterias (A) y las venas (V) pulmonares?
Tienen un diámetro similar (A ≈ V)
¿Cuál es una regla práctica para evaluar el grosor normal de un vaso pulmonar?
Vista lateral: Su grosor debe ser ≤ al ancho de la 4ª costilla
Vista ventro-dorsal: grosor debe ser ≤ al ancho de la 9ª costilla
Si en una radiografía las venas son más anchas que las arterias, ¿qué patrón es?
V > A (Aumento venoso o congestión venosa)
¿Qué patrón se caracteriza por arterias y venas más prominentes de lo normal?
A y V Aumentadas (Hipervascularidad)
Si las arterias y venas se ven muy delgadas y los pulmones "oscuros", ¿qué patrón es?
A y V Disminuidas (Hipovascularidad)
¿Qué patrón indica que las arterias pulmonares son más anchas que las venas?
A > V (Aumento arterial)
Nombre dos causas principales asociadas al patrón V > A.
Fallo cardiaco izquierdo e insuficiencia mitral. (La sangre se represa en las venas)
El patrón A y V Aumentadas sugiere un aumento del flujo sanguíneo. Menciona una causa.
Shunts de izquierda a derecha o sobrecarga de fluidos
¿Qué diferencia hay entre las causas de A y V Disminuidas generalizado vs. localizado?
Generalizado: Causas sistémicas (shock, deshidratación)
Localizado: Tromboembolismo pulmonar.
El patrón A > V está asociado a hipertensión pulmonar. Nombra otra causa importante.
Dirofilariasis (parásitos del corazón).
Un perro con agrandamiento de aurícula izquierda y venas prominentes, ¿qué patrón tiene y cuál es la causa?
Patrón: V > A.
Causa más probable: Insuficiencia mitral.
Un perro con Dirofilariasis, ¿qué patrón vascular se espera y por qué?
Patrón esperado: A > V.
Por qué: Los parásitos obstruyen las arterias, provocando hipertensión y dilatación.
Un animal en shock con pulmones oscuros y poca silueta vascular, ¿qué patrón es y qué ocurre?
Patrón: A y V Disminuidas. Fisiología: Disminución del gasto cardíaco y volumen sanguíneo (hipovolemia).
¿En qué se diferencia fisiológicamente el patrón V > A del A > V?
V > A: Problema de "retroceso" (fallo izquierdo).
A > V: Problema de "avance" (resistencia en arterias pulmonares).
¿Qué es el patrón bronquial?
El aumento de la visibilidad y el engrosamiento de las paredes de los bronquios.
¿Cómo se llama el signo de un bronquio visto longitudinalmente como dos líneas paralelas?
"Signo del Raíl de Tren" o "Tramlines".
¿Cómo se llama el signo de un bronquio visto en corte transversal como un anillo?
"Signo de la Dona"
¿En que patrón se ve el signo de Dona o de Rail de Tren?
Patrón Bronquial
¿Qué hallazgo define a la bronquiectasia, además del engrosamiento?
La dilatación bronquial donde el diámetro no disminuye hacia la periferia del pulmón.
Nombre dos causas inflamatorias comunes del patrón bronquial.
Bronquitis (aguda o crónica)
Asma felino.
¿Qué condición no inflamatoria puede hacer visibles las paredes bronquiales?
El Síndrome de Cushing o un tratamiento prolongado con corticoides.
¿En qué grupo de pacientes es NORMAL un patrón bronquial marcado y por qué?
En perros condrodistróficos (ej: Bulldogs), por mineralización normal de sus paredes bronquiales.
El asma felino suele presentar un patrón bronquial difuso. ¿Qué otro hallazgo suele acompañarlo?
Hiperinflación pulmonar (pulmones oscuros, diafragma aplanado).
¿Cómo se relaciona la bronquiectasia con la bronquitis crónica?
La bronquiectasia es a menudo una complicación o secuela de una bronquitis crónica grave.
Si ves patrón bronquial en un Bulldog Francés asintomático, ¿qué debes considerar?
Considerar que es normal para la raza, a menos que haya síntomas clínicos.
¿Qué dos patrones suelen verse combinados en fibrosis pulmonar?
Patrón Bronquial y patrón Intersticial.
¿Qué es el patrón alveolar?
El llenado de los alvéolos con líquido, células o tejido, lo que aumenta la densidad del pulmón.
¿Cuál es el signo radiológico definitivo del patrón alveolar?
El Broncograma Aéreo.
Describe cómo se ve un broncograma aéreo.
Bronquios (estructuras ramificadas oscuras/llenas de aire) en contraste con el parénquima pulmonar opaco (blanco).
Además del aumento de opacidad, ¿qué otras estructuras dejan de verse?
Los vasos pulmonares y los bordes de órganos como el corazón o el diafragma (Signo del Margen Borrado).
Si el contenido alveolar es un trasudado, ¿cuál es la causa más probable?
Edema pulmonar, frecuentemente de origen cardiacogénico (fallo izquierdo).
Si el contenido alveolar es un exudado, ¿cuál es la causa más probable?
Neumonía (ej: bronconeumonía).
Nombra dos causas por las que los alvéolos podrían llenarse de sangre.
Contusión pulmonar (traumatismo)
Coagulopatías.
¿Qué es la atelectasia y cómo se diferencia de una neumonía?
La atelectasia es el colapso del pulmón.
Ambas son opacas, pero en la atelectasia el lóbulo se ve más pequeño.
Un perro con fallo cardíaco izquierdo y patrón alveolar, ¿qué tienen los alvéolos y cómo se llama?
Alvéolos llenos de trasudado.
Condición: Edema Pulmonar Cardiogénico.
Un gato atropellado con área alveolar sin cardiopatía, ¿cuáles son dos causas probables?
Contusión pulmonar (sangre)
Atelectasia (colapso).
¿Por qué el broncograma aéreo es tan específico del patrón alveolar?
Porque indica vías aéreas permeables con aire, pero alveólogos llenos de material, solo ocurre en enfermedad alveolar.
¿Qué es el patrón intersticial?
La acumulación de material en el tejido de soporte del pulmón, que causa un aumento de opacidad "brumosa".
¿Cómo afecta el patrón intersticial a la visualización de los vasos?
Produce una pérdida PARCIAL de su visualización; se ven borrosos y menos definidos.
Nombra los dos tipos principales de patrón intersticial.
No Estructurado (lineal)
Estructurado (nodular)
Describe el aspecto del patrón intersticial no estructurado.
Opacidad difusa, homogénea y brumosa, como un "vidrio esmerilado".
¿Qué es el patrón intersticial estructurado?
Aquel que se presenta con nódulos visibles.
Múltiples nódulos grandes y bien definidos >1 cm, ¿qué patrón nodular es?
Patrón "Cannonball" o "Bala de Cañón".
Una opacidad granular con innumerables nódulos diminutos, ¿qué patrón es?
Patrón Millar.
Nombra tres causas no patológicas (artefactuales) de intersticial no estructurado.
1. Técnica radiográfica inapropiada.
2. Obesidad.
3. Atelectasia por reducción de ventilación.
¿Qué causa patológica crónica se asocia al intersticial no estructurado?
Fibrosis pulmonar.
¿Cuál es la causa más preocupante de un patrón intersticial estructurado?
Metástasis neoplásicas.
¿Por qué es importante asegurar una buena técnica antes de diagnosticar intersticial?
Porque mala técnica, obesidad o mala ventilación son causas comunes que pueden simular enfermedad.
Un perro mayor con tos crónica e intersticial marcado, ¿qué otro patrón podría estar mezclado?
Es probable un componente de patrón bronquial (por bronquitis crónica subyacente).
Si un nódulo tiene pared fina y está lleno de aire, ¿qué podría ser?
Una estructura cavitada como una bulla o un quiste.
Si un nódulo tiene pared irregular y gruesa, ¿qué causas considerar?
Absceso, granuloma o neoplasia.
¿Qué define a un patrón nodular?
La presencia de una o más opacidades focales y redondeadas (nódulos) en el parénquima pulmonar.
Nombra las tres características clave para describir un nódulo.
1. Número (focal/multifocal),
2. Definición de bordes (bien/mal definidos),
3. Tamaño.
Un nódulo único, bien definido de ~2 cm, ¿dos diagnósticos principales?
Neoplasia primaria (ej: carcinoma)
Granuloma (ej: por hongo).
Múltiples nódulos de distintos tamaños y bordes bien definidos, ¿diagnóstico probable?
Metástasis neoplásicas.
¿Qué sugiere un nódulo con bordes mal definidos (borrosos)?
Proceso inflamatorio o infeccioso, como absceso, neumonía focal o contusión.
Patrón con innumerables nódulos diminutos <3mm, ¿cómo se llama y qué causa suele tener?
Patrón Millar, causado por enfermedades diseminadas como micosis (infecciones fúngicas).
Además de metástasis, ¿qué causa infecciosa produce nódulos multifocales?
Enfermedad fúngica sistémica (como histoplasmosis o blastomicosis).
¿Por qué es importante la definición de los bordes de un nódulo?
Bien definidos: procesos "organizados" (tumores, granulomas).
Mal definidos: procesos activos (infección, inflamación).
Un perro de campo con nódulo único, menciona una causa infecciosa y una neoplásica.
Infecciosa: Granuloma por hongo (ej: Coccidioides).
Neoplásica: Neoplasia primaria (ej: Carcinoma).
¿Qué estructura NO patológica puede confundirse con un nódulo?
Pequeños vasos sanguíneos vistos de frente, pezones, uniones costocondrales.
Que transductor se utiliza para el ultrasonido de ojo en caballos?
7.5-10 MHz
Cuáles son las estructuras que se visualizan en el Us de ojo?
córnea
cámara anterior
iris
cristalino
cuerpo vítreo
retina

Para que se utiliza el Us de ojo
Examen de estructuras orbitales
Uveítis
Hifema
Cataratas
Opacidades corneales severas
Desprendimiento de retina
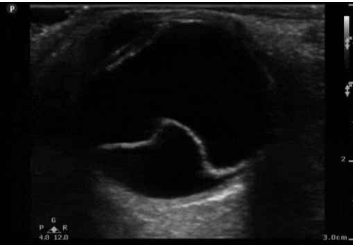
¿Qué hallazgos se pueden observar en el Us de ojo con desprendimiento de retina?
Se visualiza como una membrana hiperecoica (blanca) flotando en el vítreo

¿Qué hallazgos se pueden observar en el Us de ojo con cataratas?
Se visualiza una línea hiperecoica en la cámara anterior

¿Qué transductor se utiliza para el Us de tráquea en caballos?
10 MHz (microconvexo)
¿Cuales son las aplicaciones del Us de tráquea?
Evaluar anillos traqueales
Diagnosticar abscesos peritraqueales
Neoplasias
Cuerpos extraños
¿Qué transductor se utiliza para el Us de esófago en caballos?
Transductor de 10 MHz (microconvexo o lineal)
¿Cuales son las aplicaciones del Us de esófago?
Diagnosticar megaesófago (dilatación evidente)
Obstrucciones
Neoplasias
Cuerpos extraños
Gas
Impactaciones alimentarias (Choque alimentario)
¿Cómo se visualiza el esófago en el Us?
Una pared hipoecóica (gris) entre las arterias carótidas (anecoicas/negras)
¿Qué transductor se utiliza para el Us de yugular y carótida en caballos?
Transductor de 10 MHz microconvexo
¿Cuales son las aplicaciones del Us de Yugular y Carótida?
Evaluar flujo sanguíneo
Evaluanr la severidad, longitud y porcentaje de oclusión de
Flebitis
Tromboflebitis
En el Us la alta frecuencia (7.5–10 MHz), ¿que penetración y detalle tiene?
Poca penetración
Alto detalle
En el Us la baja frecuencia (2.5–5 MHz), ¿que penetración y detalle tiene?
Alta penetración
Poco detalle
En que ocasiones/signos podemos hacer Us del sistema locomotor?
Signos de dolor en área de tendón
Efusión articular sin cambios radiográficos
Claudicación específica de la región de t y l
Monitoreo de la lesión
¿Qué estructuras se evalúan en el Us del sistema locomotor (región caña)?
Tendón flexor digital superficial (TFDS)
Tendón flexor digital profundo (TFDP)
Ligamento frenador (Check Ligament)
Ligamento suspensorio del menudillo (LSM)
¿Cuales son las zonas en las que se divide la caña para su Us?
1A
1B
2A
2B
3A
3B

¿De qué zona es este corte? y ¿cuáles son las estrucutras que se ven?
Zona 1A
A - Tendón flexor digital superficial (TFDS)
B - Tendón flexor digital profundo (TFDP)
C - Ligamento frenador (Check Ligament)
D - Ligamento suspensorio del menudillo (LSM)

¿De qué zona es este corte? y ¿cuáles son las estrucutras que se ven?
Zona 1B
A - Tendón flexor digital superficial (TFDS)
B - Tendón flexor digital profundo (TFDP)
C - Ligamento frenador (Check Ligament)
D - Ligamento suspensorio del menudillo (LSM)

¿De qué zona es este corte? y ¿cuáles son las estrucutras que se ven?
Zona 2A
A - Tendón flexor digital superficial (TFDS)
B - Tendón flexor digital profundo (TFDP)
C - Ligamento frenador (Check Ligament)
D - Ligamento suspensorio del menudillo (LSM)

¿De qué zona es este corte? y ¿cuáles son las estrucutras que se ven?
Zona 2B
A - Tendón flexor digital superficial (TFDS)
B - Tendón flexor digital profundo (TFDP)
C - Ligamento frenador (Check Ligament) *Lig frenador envuelve al TFDP
D - Ligamento suspensorio del menudillo (LSM)

¿De qué zona es este corte? y ¿cuáles son las estrucutras que se ven?
Zona 3A
A - Tendón flexor digital superficial (TFDS)
B - Tendón flexor digital profundo (TFDP)
C - Ligamento frenador (Check Ligament)
D - Ligamento suspensorio del menudillo (LSM)

¿De qué zona es este corte? y ¿cuáles son las estrucutras que se ven?
Zona 3B
A - Tendón flexor digital superficial (TFDS)
B - Tendón flexor digital profundo (TFDP)
C - Ligamento frenador (Check Ligament)
D - Ligamento suspensorio del menudillo (LSM) *se divide en ramas lateral y media
¿Qué lesiones podemos ver con el Us de la caña?
Edema peritendinoso
Cuerpos extraños
Mineralización
Tendosinovitis
Lesiones del LSM en zona de inserción
¿Qué transductor se utiliza para el Us de abdomen en caballos?
Sectorial convexo
5 MHz - profundidad de 15-20 cm
2-3 MHz - profundidad de 30 cm
¿Qué estructuras se evalúan en el abdomen de lado derecho del caballo?
Hígado (lóbulo derecho EIC 6–14)
Duodeno (EIC 10–13, caudal l.d del hígado, ventral al riñón derecho, dorsal a la base del ciego)
Ciego
Colon derecho
Riñón derecho (EIC 14–17, forma triangular/corazón).
¿Qué estructuras se evalúan en el abdomen de lado izquerdo del caballo?
Estómago (EIC 10-13)
Bazo (hipoecogénico, homogéneo)
Colon izquierdo y flexura pélvica
Riñón izquierdo (EIC 17, forma de frijol, medial al bazo) medial al bazo
Ligamento nefroesplénico
En el caballo, en que espacios intercosales se encuentra el hígado?
lóbulo derecho: 6 al 14 EIC
lóbulo izquierdo: 6 al 9 EIC
En el caballo, los conductos biliares de manera rutinaria, se ven?
NO, se ven si están obstruidos