1/144
Looks like no tags are added yet.
Name | Mastery | Learn | Test | Matching | Spaced | Call with Kai |
|---|
No analytics yet
Send a link to your students to track their progress
Which of the following structures is used as a sonographic landmark in locating the gallbladder
main lobar fissure
what condition is the m/c cause for acute pancreatitis
biliary disease
gerotas fascia provides a protective covering around which organ
kidney
increased pressure within the portosplenic venous system will most likely lead to which condition
portal hypertension
normal diameter of MPV should not exceed
1.3 cm
integrity of which structures is evaluated with the Thompson test
calf muscles
a small hyperechoic pancreas is identified on US. This is most suspicious for
chronic pancreatitis
which sonographic finding is consistent with an echinococcal cyst
septated cystic mass
a predisposing risk factor associated with development of cholangiocarcinoma may include a history of
ulcerative colitis
a synovial cyst located in the medial popliteal fossa describes
bakers cyst
normal caliber of SMA should not exceed
1.0 cm
a patient presents with history of abdominal pain and lower-extremity edema. An ultrasound is requested to rule out Budd-Chiari syndrome. The sonographer should thoroughly evaluate which organs
liver
which structure divides the left lobe into two segments
left hepatic vein and ligamentum teres
cholecytsokinin is stimulated after food reaches the
duodenum
the gallbladder is located on the posterior surface of the liver and
anterior to the right kidney
the pyloric canal is located is considered abnormal when the length exceeds
17 mm
a patient presents with a history of severe back pain, weight loss, painless jaundice. An abnormality in which organ is most likely to correlate with these symptoms
pancreas
the popliteal artery is considered dilated after diameter exceeds
1.0 cm
which structure surrounds the liver
glissons capsule
which condition is associated with Mirizzi syndrome
impacted stone in cystic duct
a spaghetti-like echogenic tubular structure within a bile duct is a sono finding associated with
ascariasis
gallbladder wall thickening is not a sono finding in
hyperalbuminemia
the whipple procedure is a surgical resection of which organs
pancreas
a fluid collection caused by extravasated bile is termed the
biloma
renal artery stenosis is suggested after the renal artery to aortic ratio exceeds
3.5
which of the following peritoneal spaces most commonly demonstrates ascites
suhepatic
which of the following structures lies within the anterior pararenal space
pancreas
the crura of the diaphragm are located
posterior to the IVC and anterior to the abdominal aorta
splenomegaly is a consistent finding in which liver pathology
portal hypertension
carcinoma in which of the following structures can directly extend into the gallbladder
stomach
enlargement of the gallbladder caused by obstruction of the common bile duct by a distal external neoplasm is termed
courvoisier sign
which structure defines the superior and inferior borders of the retroperitoneum
diaphragm and pelvic rim
elevation in prostatic specific antigen (PSA) is suspicious for
prostatic carcinoma
thrombosis involving the hepatic veins describes which condition
budd-chiari
a patient presents with history of RUQ pain, N&V. A sonogram of the RUQ demonstrates a calculus lodges in the cystic duct. This is a predisposing factor for
actue cholecystitis
which structure may be mistaken for an extrarenal pelvis
renal vein
a patient presents with a history of intermittent fever, nausea, and elevated alkaline phosphate. He admits to travelling to the Middle East recently. A complex solitary mass is identified in the right lobe of liver. This is suspicious for
amebic abscess
which term is more commonly used to describe an enlarged or dilated vein
varix
which of the following conditions most commonly causes the formation of a hepatic abscess
ascending cholangitis
what structure is located in the anterolateral portion of the pancreatic head
GDA
a patient presents with palpable neck mass. A sonogram demonstrates an echogenic mass in the superior lobe of the right thyroid gland. A prominent hypoechoic ring surrounds this nodule. This mass is most suspicious for which neoplasm
adenoma
which organ is responsible for manufacturing heparin
liver
the length of normal adult spleen should not exceed
13cm
which type of aneurysm is most commonly associated with bacterial infection
mycotic
the stomach produces which enzyme
pepsin
which condition is associated with McBurney point
appendicitis
a round anechoic mass is identified next to the renal pelvis. What is it most suspicious for
parapelvic cyst
which is the most common clinical symptom associated with portal vein thrombosis
severe abdominal pain
the diameter of a TIPS should measure a minimum of
8-12mm

a retroperitoneal ultrasound is ordered to follow up on a previously documents hydronephrosis of right kidney. The patient is presently asymptomatic. An image of right kidney demonstrates a small hyperechoic focus in the inferior pole, What is this most sus for
angiomyolipoma

a patient presents with a history of a pulsatile abdominal mass found on a physical exam. The sonogram of the distal abdominal aorta is most consistent with
ectatic aneurysm

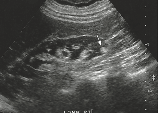
which of the following vascular structures does the arrow identify
right renal artery

a patient presents to the emerg with severe RUQ pain. Laboratory tests demonstrate leukocytosis and elevation in total bilirubin level. On the basis of this clinical history, what is this pathology most sus for
acute cholecystitis

a 70-year old man presents with history of scrotal enlargement. He denies trauma to the scrotum or groin areas. On the basis of this clinical history, the sonographic findings are most sus for
hydrocele

a patient presents with a history of elevated liver function tests. An anechoic tubular structure is identified in the body of the pancreas. This structure most likely represents the
pancreatic duct

an obese patient presents with history of elevated liver function tests discovered during a life insurance medical exam. the patient has no complaints. Sono of this image is most sus for
fatty infiltration

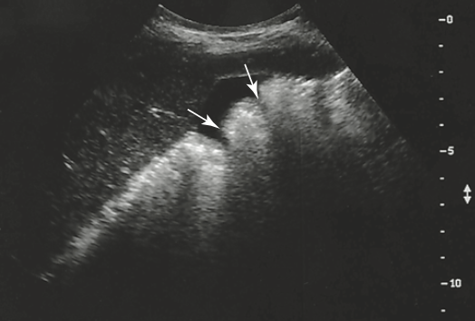
what are the arrows point to
haustra

a 30 year old patient presents with history of RUQ pain. Lab tests are within normal limits. An image of the spleen demonstrates an incidental hyperechoic mass. It is sus for
cavernous hemangioma

a patient presents with history of alcohol abuse. Which splenic pathology is most likely identified here
splenomegaly

a patient presents to the emerg with a history of severe epigastric pain. Lab results are pending. An abdominal US is ordered to rule out biliary disease. Which pathology is identified here
choledocholithiasis

a patient presents with a history of uncontrolled hypertension and painless hematuria. A hyper vascular complex mass is identified near renal hilum. What is this most sus for
malignant neoplasm

which congenital anomaly is identified in this kidney
fetal lobulation

a 40-year old patient presents with palpable left scrotal mass and a previous history of epididymitis. This hyperechoic intratesticular structure is most sus for
tubular ectasia of the rete testes

a patient presents with left scrotal pain. He denies a fever or trauma. Which of the following abnormalities is most likely identified
inflammation of left epididymis

a patient presents with a history of abdominal distention and elevated liver function tests. Sono evaluation of teh RUQ demonstrated a negative Murphy sign. What should the technical impression state
probable noninflammatory wall thickening
which structure separates the caudate lobe from the left lobe of liver
ligamentum venosum
a questionable mass is identified in the anterior portion of the right lobe of the liver. Which structure borders tis region
middle hepatic and right hepatic veins
a mass displacing the renal calyces is documented on a recent intravenous pyelogram. A sonogram over this area demonstrates a smooth circular anechoic renal mass. This mass is most sus for
simple cyst
when hydronephrosis is encountered, the sonographer should evaluate urinary bladder for
obstruction
a patient presents with a mass in the lateral aspect of the neck. An anechoic structure is demonstrated just beneath the jawline.Which cystic structure is most likely demonstrated
brachial cleft cyst
extension of pancreatic inflammation into surrounding tissues is
phlegmon
the IVC is considered enlarged after diameter exceeds
3.7cm
which organ is associated with elevation of aldosterone
adrenal gland
a round, homogenous, solid mass is identified medial to the splenic hilum. The echo texture is similar to the adjacent splenic parenchyma. On the basis of these sono findings, mass is most consistent with
accessory spleen
which vascular structure is commonly mistaken as the pancreatic duct
splenic artery
which condition is associated with complete failure of the adrenocortical function
Addison disease
what is an abnormal flow of the hepatic veins
hepatopetal
which organ is associated with the olive sign
stomach
which patient position is used for thoracentesis
sitting
which structure is most commonly mistaken as a renal neoplasm
hypertrophied column of bertin
which lab tests will most likely elevate in cases of non obstructive jaundice
indirect bilirubin
which region of the gallbladder is located most superioly
neck
which condition is associated with an increased risk in developing thyroid malignancy
hashimotos disease
a pancreatic pseudocyst is most commonly located in which region
lesser sac
a patient presents to the emerg with severe LUQ pain. Lab results demonstrate serum lipase of 670 IU/L. an abdominal ultrasound is ordered to rule out
biliary disease
which anatomical variant demonstrates an outward bulge to the lateral renal cortex
dromedary hump
a congenital anomaly associated with the fusion of both kidneys within the same body quadrant describes
crossed fused ectopia
a patient with recent history of angioplasty presents with a pulsatile inguinal mass. A fluid collection is located adjacent to the femoral artery. Colour and spectral doppler demonstrate turbulent flow within the fluid. Based on this what is it most consistent with
pseudoaneurysm
a 25 year old presents with non tender palpable breast mass. A hypoechoic, oval-shaped mass demonstrating posterior acoustic enhancement is identified in the breast parenchyma. On the basis of clinical history what is this most sus for
fibroadenoma
which is a function of the spleen
removal of foreign material from the blood
an abnormality of the gallbladder wall exhibiting a “comet tail” artifact describes
adenomyomatosis
a transplant kidney is most commonly placed where
right lower quadrant
which description is most accurate for describing the sono appearance and location of Meckel diverticulum
anechoic complex mass, slightly to the right of the umbilicus
within 5 years, risk for rupture of an abdominal aortic aneurysm measuring 5cm in diameter is
5%
before the bifurcation, the last major visceral branch of the abdominal aorta is the
inferior mesenteric artery
which abnormality coexists in patients with a popliteal aneurysm
abdominal aortic aneurysm
which peritoneal space is located superior to the liver
subphrenic space
the majority of metastatic lesions in the liver originate from which site
colon
the CBD passes through which structure before entering duodenum
ampulla of Vater
which condition is most common cause of hypothyroidism
Hashimotos