1/85
Looks like no tags are added yet.
Name | Mastery | Learn | Test | Matching | Spaced |
|---|
No study sessions yet.
Rheumatoid arthritis
What type of arthritis has peri-articular osteopenia, pannus, joint deformities due to erosions of tendon attachment (marginal w/ bare area), whittled long bones (ulnar styloid), and ankylosed carpals?
Psoriatic Arthritis
What type of arthritis has normal bone density, joint erosions, periostitis ("mouse ears"), protrusion of bone into adjacent bone (pencil-in-cup), and less commonly ankylosis?
Erosive Osteoarthritis
What type of arthritis is seen in middle aged females with central erosion in the proximal joint w/ peripheral erosions in the distal joint ("gull wing")?
Erosive Osteoathritis
(NOTE: Less wrist involvement)
What arthritis is distributed primarily in the DIPs & PIPs?
Psoriatic Arthritis
(NOTE: wrist & DIPs invovled)
What arthritis is distributed primarily in the DIPs, PIPs, and MCPs?
Rheumatoid arthritis
(NOTE: DIPS mostly unaffected)
What type of arthritis has its distribution primarily in the wrist, MCP, and PIP?
Erosive Osteoarthritis
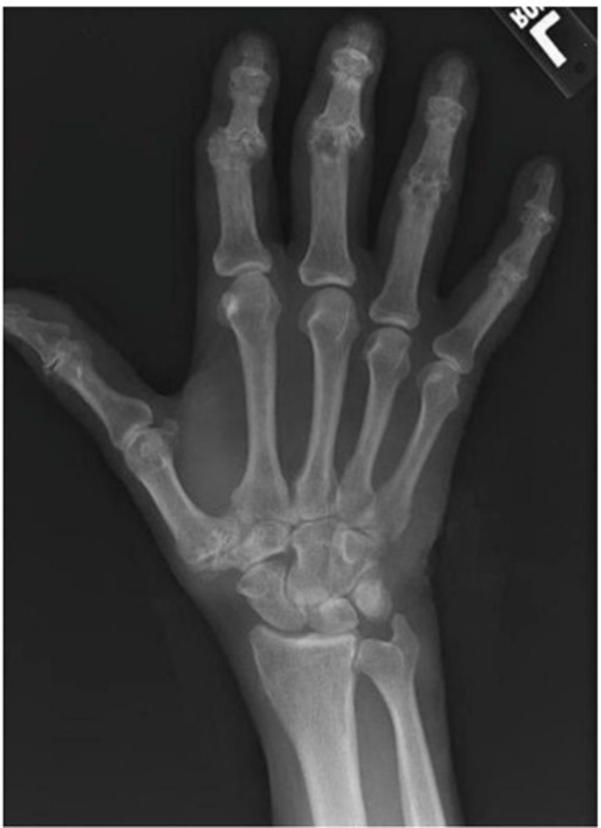
What diagnosis is this?

Rheumatoid arthritis
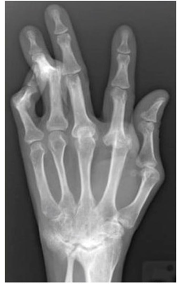
What diagnosis is this?

Psoriatic Arthritis
What diagnosis is this?

Enthesopathy ("phyte")
What are changes to the ligament and tendon attachments to bone, whether its inflammatory, degenerative, or metabolic?
Syndesmophyte
What is an enthesophyte with an inflammatory etiology?
Osteophyte
What is an enthesophyte with a degenerative etiology?
Marginal
What type of enthesophyte appears to come right off the edge of the vertebral body endplate?
Nonmarginal
What type of enthesophyte appears to come off the vertebral body slightly above or below the vertebral body endplate?
FALSE
-- EITHER marginal or nonmarginal
(NOTE: syndesmophyte = inflammatory)
T/F: Inflammatory arthritis may have either or both marginal or nonmarginal syndesmophytes
TRUE
-- either OR both marginal/nonmarginal
(NOTE: osteophyte = degenerative)
T/F: Degenerative arthritis may have either or both marginal and nonmarginal osteophytes
1) Enteropathic arthritis
2) AS inflammatory arthritis
What two arthropathies tend to have marginal syndesmophytes?
1) Psoriatic arthritis
2) Reactive arthritis
What two arthropaties tend to have bulky nonmarginal syndesmophytes?
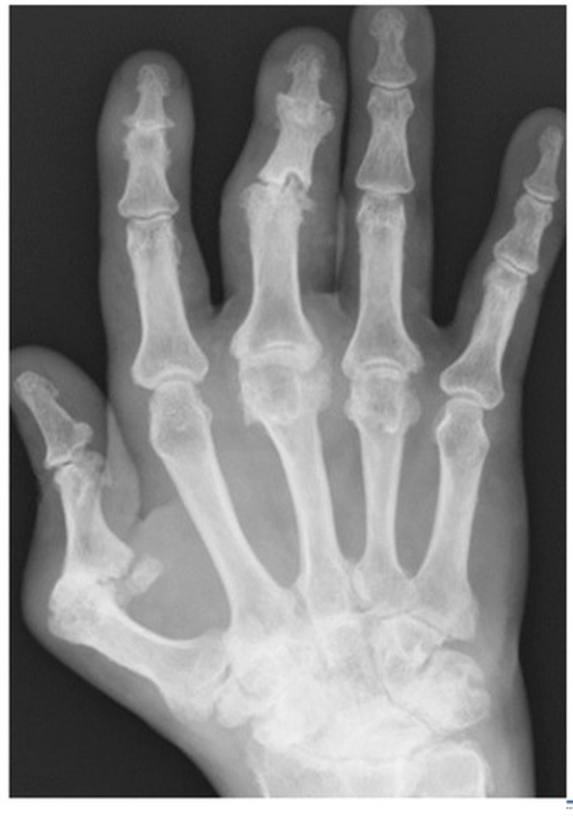
Marginal enthesophytes
What diagnosis is this?

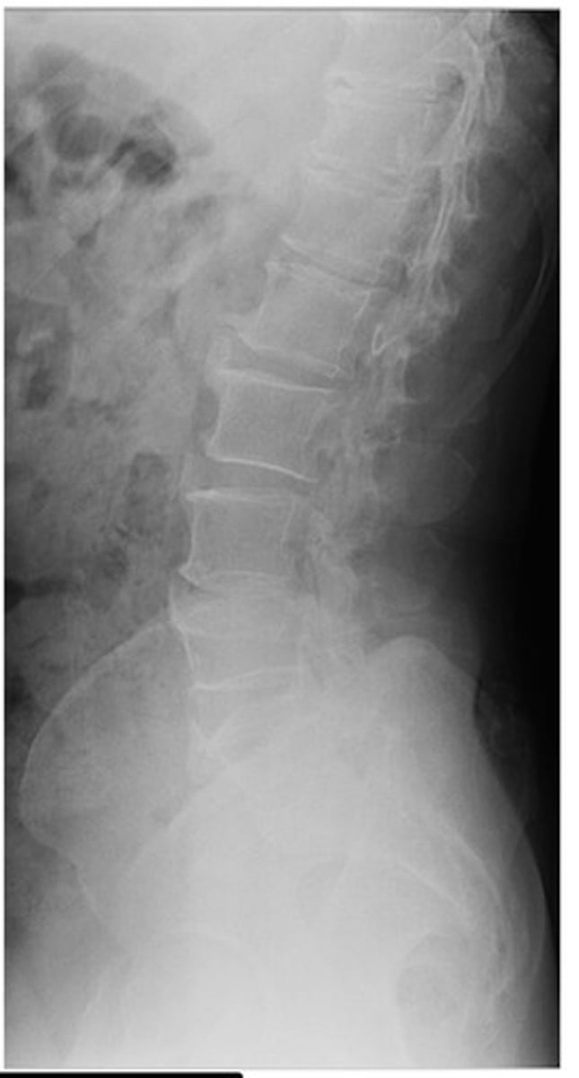
Non-marginal enthesophytes
What diagnosis is this?

Psoriatic Arthritis (PsA)
What condition has periostitis?
Chondrocalcinosis
What condition is part of a triad along with cation disease and cartilage disease?
Ankylosis Spondylitis (AS)
What condition has thin marginal syndesmophytes?
Rheumatoid Arthritis (RA)
What condition has pannus?
systemic lupus erythematosus (SLE)
What condition has joint laxity leading to joint deformity?
Gout
What condition has erosions that may bridge both bones of a joint?
Psoriatic Arthritis (PsA)
What condition has pencil-in-cup deformity?
Osteoarthritis (OA)
What condition has subarticular sclerosis?
Rheumatoid Arthritis (RA)
What condition has distribution more commonly in the MCP and PIP joints?
Chondrocalcinosis
What condition most commonly impacts the knees, wrists, MCPs, and pubic symphysis?
Psoriatic Arthritis (PsA) & Rheumatoid Arthritis (RA)
What 2 conditions has arthritis mutilans?
systemic lupus erythematosus (SLE)
What condition is ANA positive?
Erosive Osteoarthritis (EOA)
What condition has gullwing pattern of erosions?
Rheumatoid Arthritis (RA)
What condition has neurological instability possible?
Gout
What condition has Tophi?
systemic lupus erythematosus (SLE)
What condition has Jaccoud arthropathy as it's mimic?
DISH
What condition has diabetes as a possible association?
Erosive Osteoarthritis (EOA)
What condition is common in the hands?
Osteoarthritis (OA)
What condition may have neuropathy as a consequence?
Ankylosis Spondylitis (AS)
What condition has ankylosis spondylitis?
Rheumatoid Arthritis (RA) & Progressive Systemic Sclerosis
What 2 conditions have long bone whittling due to erosions?
Gout
What condition has monosodium urate crystal deposition?
Chondrocalcinosis
What condition affects hyaline cartilage?
Osteoarthritis (OA)
What condition has joint misalignment?
DISH
What condition has ankylosing hyperostosis?
systemic lupus erythematosus (SLE)
What condition has osteonecrosis as an associated complication?
Rheumatoid Arthritis (RA)
What condition has jelling phenomena?
Osteoarthritis (OA)
What condition has joint space narrowing?
Rheumatoid Arthritis (RA)
What condition has symmetrical distribution?
Erosive Osteoarthritis (EOA)
What condition has a predominance in middle-aged females?
Chondrocalcinosis
What condition may be seen with other disorders including diabetes, OA, and gout?
Rheumatoid Arthritis (RA)
What condition has a juvenile form that results in altered development of the immature bone?
Gout
What condition has overhanging margins?
Ankylosis Spondylitis (AS)
What condition has sacroilitis?
Rheumatoid Arthritis (RA)
What condition has a higher prevalence in females until the age of 60+?
DISH
What condition has early preservation of disc height?
Progressive Systemic Sclerosis
What condition has acral (acro) osteolysis?
Osteoarthritis (OA)
What condition is partly influenced by weight-bearing?
Psoriatic Arthritis (PsA)
What condition has reactive arthritis as its mimic?
Osteoarthritis (OA)
What condition has uncinate hypertrophy?
Chondrocalcinosis
What condition is also known as calcium pyrophosphate deposition disease (CPPD)?
Gout
What condition is "lumpy"?
systemic lupus erythematosus (SLE)
What condition has ulnar and fibular deviation common?
Rheumatoid Arthritis (RA)
What condition has erosions at entheses to create joint deformities?
Erosive Osteoarthritis (EOA)
What condition has differential diagnosis of rheumatoid and psoriatic arthritis?
Rheumatoid Arthritis (RA)
What condition has diminished bone density with possible bone softening?
Gout
What condition has Podagra?
Osteoarthritis (OA)
What condition has osteophytes?
Progressive Systemic Sclerosis
What condition has subcutaneous calcinosis?
Psoriatic Arthritis (PsA)
What condition has nearly equivalent female to male prevalence?
Progressive Systemic Sclerosis
What condition is also known as scleroderma?
Chondrocalcinosis
What condition affects fibrocartilage?
DISH
What condition has mid-body to mid-body flowing hyperostosis?
Rheumatoid Arthritis (RA) & systemic lupus erythematosus (SLE)
What 2 conditions are RF positive?
Gout
What condition has hyperuricemia?
Ankylosis Spondylitis (AS)
What condition has bamboo spine sign?
Ankylosis Spondylitis (AS)
What condition has enteropathy arthritis as its radiographic mimic?
Rheumatoid Arthritis (RA)
What condition has uniform joint space loss?
Erosive Osteoarthritis (EOA)
What condition has pain & swelling?
Rheumatoid Arthritis (RA)
What condition has bare area erosions?
Psoriatic Arthritis (PsA)
What condition has normal bone density?
Progressive Systemic Sclerosis
What condition has esophageal dilation?
Rheumatoid Arthritis (RA)
What condition has minimal enthesopathy?
systemic lupus erythematosus (SLE)
What condition has non-erosive reducible deformities?
Progressive Systemic Sclerosis
What condition has ungual tuft resorption?
Gout
What condition has many patients treated effectively with allopurinol and diets with modifications?