1/100
Looks like no tags are added yet.
Name | Mastery | Learn | Test | Matching | Spaced |
|---|
No study sessions yet.
medulla
ID the area

medullary pyramids
ID the structure

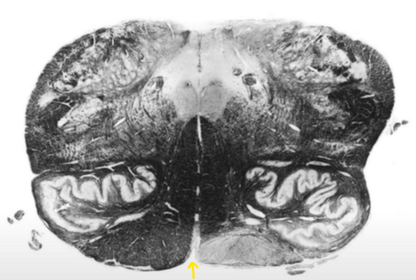
anterior median sulcus
ID the structure

pyramidal decussation
ID the structure

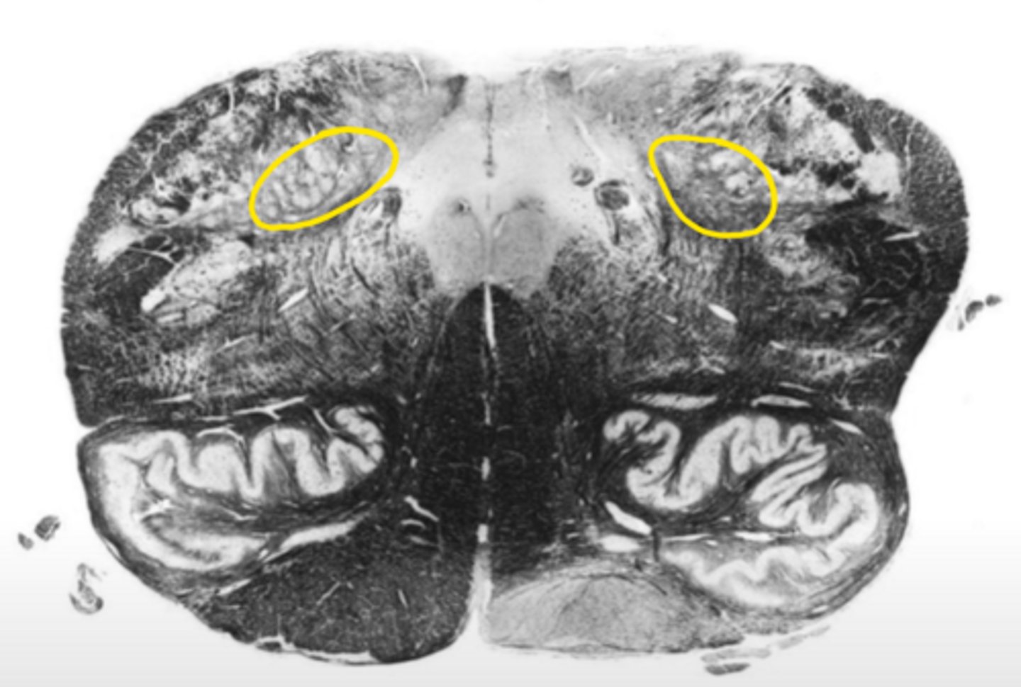
olive
ID the structure

pre-olivary sulcus
ID the structure

vestibulocochlear nerve
ID the nerve

glossopharyngeal nerve
ID the nerve

vagus nerve
ID the nerve

hypoglossal nerve
ID the nerve

spinal accessory nerve
ID the nerve

fourth ventricle
ID the space

open medulla
ID the area

closed medulla
ID the area

posterior median sulcus
ID the sulcus

posterior intermediate sulcus
ID the sulcus

posterior lateral sulcus
ID the sulcus

gracile tuberle
ID the structure

cuneate tubercle
ID the structure

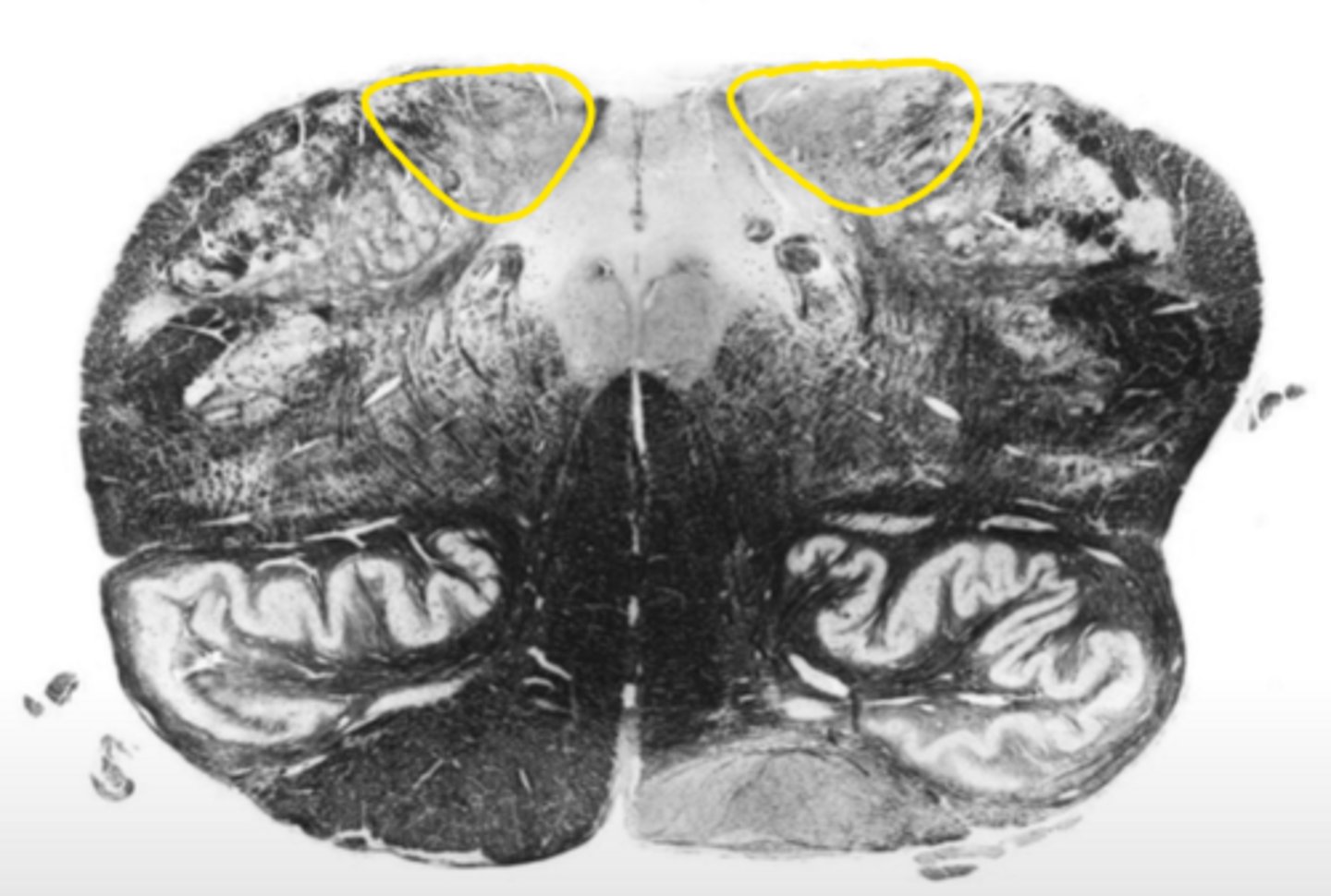
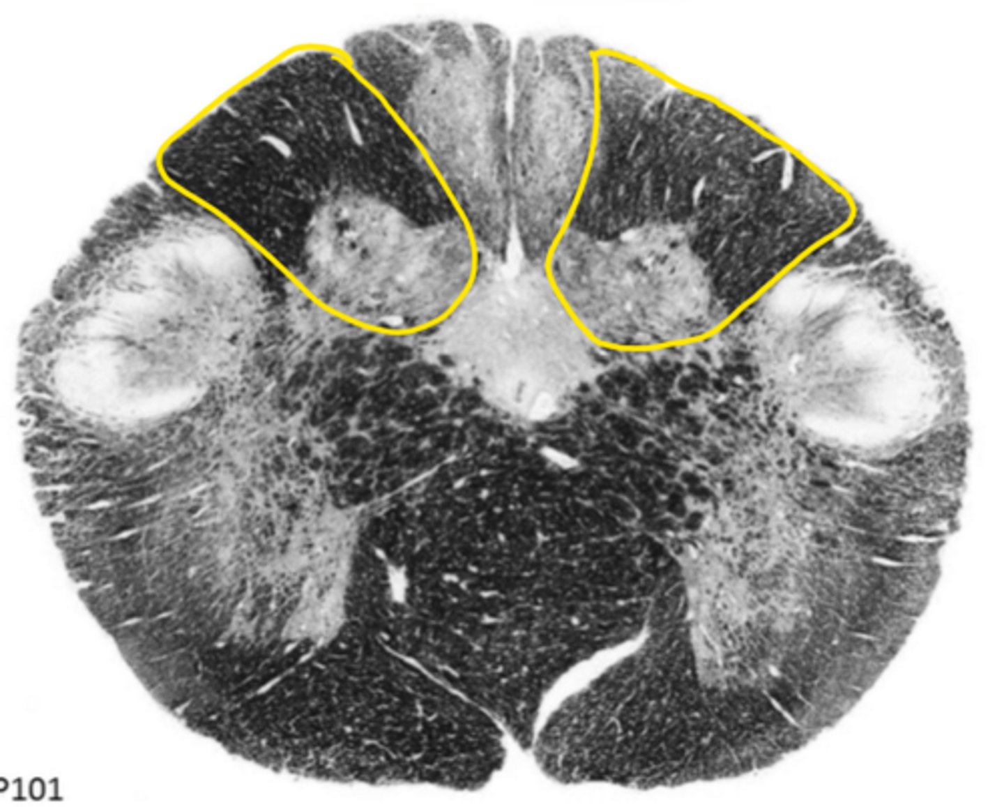
gracile fasciculus
ID the fibers

cuneate fasciculus
ID the fibers

superior cerebellar peduncles
ID the structure

inferior cerebellar peduncles
ID the structure

fourth ventricle
ID the space

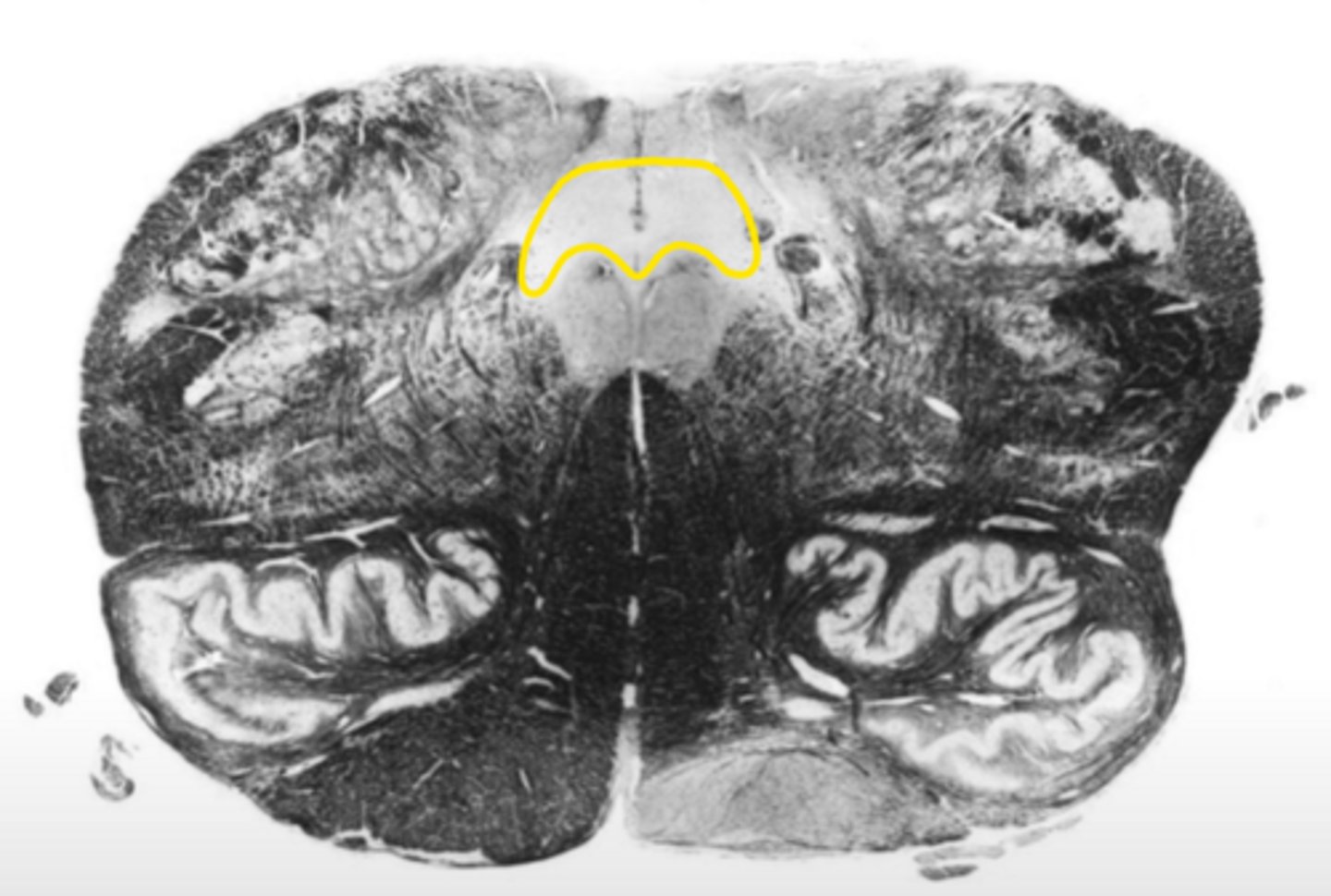
central gray
ID the structure

middle cerebellar peduncles
ID the structure

reticular formation
ID the structure

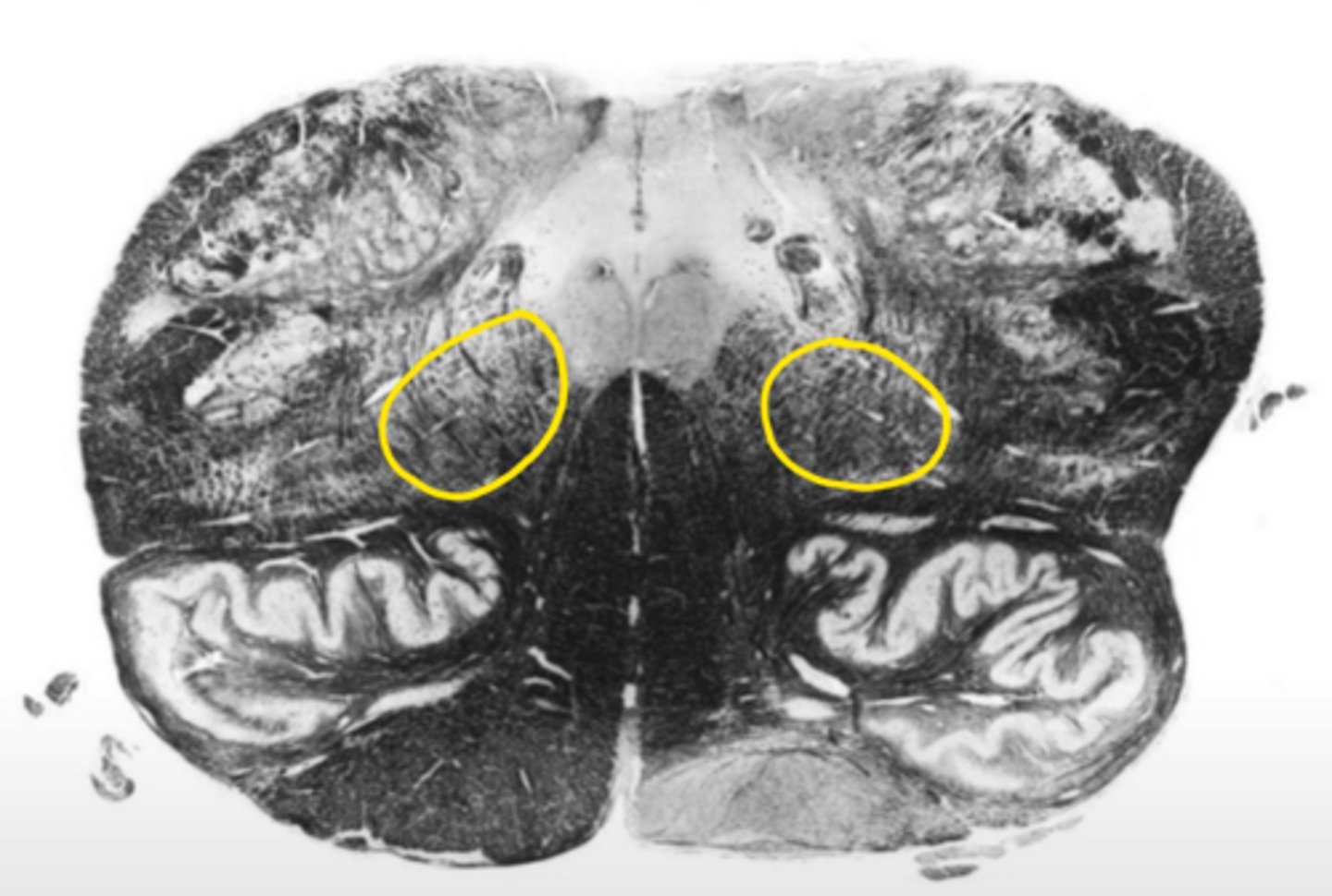
medial lemniscus
ID the structure

corticospinal fibers
ID the structure

pontine nucleus
ID the nucleus

vestibular nucleus
ID the nucleus

abducens nucleus
ID the nucleus

facial nucleus
ID the nucleus

facial nerve
ID the nerve

fourth ventricle
ID the space

reticular formation
ID the structure

inferior cerebellar peduncles
ID the structure

olive
ID the structure

medial lemniscus
ID the structure

principle olivary nucleus
ID the structure

pre-olivary sulcus
ID the structure

corticospinal fibers
ID the structure

anterior median sulcus
ID the structure

vestibular nucleus
ID the nucleus

foramen of Luschka
ID the space

cochlear nucleus
ID the nucleus

glossopharyngeal nerve
ID the nerve

fourth ventricle
ID the space

hypoglossal nucleus
ID the nucleus

vestibular nucleus
ID the nucleus

inferior cerebellar peduncles
ID the structure

reticular formation
ID the structure

vagus nerve
ID the nerve

principle olivary nucleus
ID the structure

corticospinal fibers
ID the structure

hypoglossal nerve
ID the structure

medial lemniscus
ID the structure

anterior median sulcus
ID the structure

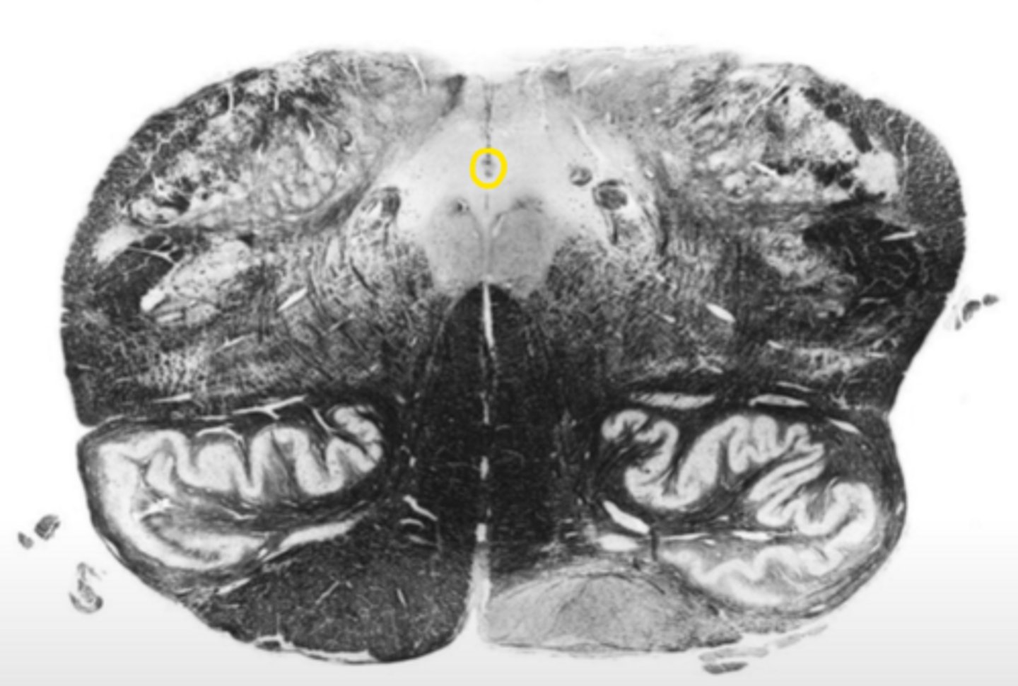
central canal
ID the space

central gray
ID the structure

hypoglossal nucleus
ID the nucleus

gracile nucleus
ID the nucleus

cuneate nucleus
ID the nucleus

inferior cerebellar peduncles
ID the structure

reticular formation
ID the structure

internal arcuate fibers
ID the fibers

principle olivary nucleus
ID the structure

medial lemniscus
ID the structure

corticospinal fibers
ID the structure

anterior median sulcus
ID the structure

central canal
ID the space

posterior median sulcus
ID the structure

hypoglossal nucleus
ID the nucleus

central gray
ID the structure

gracile nucleus
ID the nucleus

posterior intermediate sulcus
ID the structure

cuneate nucleus
ID the light area

cuneate fasciculus
ID the dark area

internal arcuate fibers
ID the structure

medial lemniscus
ID the structure

principle olivary nucleus
ID the structure

corticospinal fibers
ID the structure

anterior median sulcus
ID the structure

posterior median sulcus
ID the structure

gracile nucleus
ID the light area

gracile fasciculus
ID the dark area

cuneate nucleus
ID the light area

cuneate fasciculus
ID the dark area

posterior intermediate sulcus
ID the structure

posterior lateral sulcus
ID the structure

spinal accessory nucleus
ID the structure

descending motor pathways
ID the structure

motor decussation
ID the structure

central gray
ID the structure

central canal
ID the structure

open medulla
ID the brainstem level

open medulla
ID the brainstem level

open medulla
ID the brainstem level

closed medulla
ID the brainstem level

closed medulla
ID the brainstem level
