1/46
Looks like no tags are added yet.
Name | Mastery | Learn | Test | Matching | Spaced |
|---|
No study sessions yet.

what is this?
parachute mitral valve

what is this?
cor triatriatum

what is this?
mitral stenosis (hockey stick)

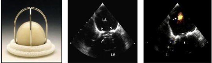
what is this?
eccentric regurgitant
what is the method of choice to assess prosthetic valves?
echo with doppler
for prosthetic valves is TTE or TEE more effective?
TTE more effective due to less doppler error and more windows
is TEE better with mitral or aortic evaluation?
mitral
most prosthetic valves are
inherently mildly stenotic
what are the two different types of prosthetic valves
mechanical and tissue(biologic)
what are the types of mechanical valves?
ball cage
single tilting disc/monoleaflet
double tilting disc/bileaflet
single tilting disc/monoleaflet is aka
bjork shiley
double tilting disc/bileaflet is aka
st jude
what are the types of biologic/tissue valves?
heterografts (stented or stentless)
homografts
autografts
where do heterografts come from?
bovine (cow) or porcine (pig) tissue
where do homografts come from?
cadaveric sources (other humans)
where do autografts come from?
from self (usually pericardial or pulm valv origin)
what is the ross procedure?
when pts have ao stenosis doctors take pulmonic valve and moves to aortic valve (less likely to reject valve)
what is the most used method for ao valve replacement?
TAVR/TAVI (transcatheter aortic valve replacement/implantation)
minimally invasive

what valves do these represent?
mechanical (except c)
a. ball in cage
b single disc (bjork shiley)
d. double disk (st jude)
in which type of prosthetic valves is regurg more common
normal physiological regurg in all types of mechanical valves
biological have minimal or no intrinsic regurg
which valves are more associated with high incidence of thromboembloic complications?
mechanical (thats why pts must be on blood thinners)
why is it important to do a baseline echo after a valve replacement?
different manufacturers produce different valves that have different gradients/values
prosthetic valve endocarditis is — than native valve endocarditis?
worse prognosis
why is evaluation of prosthetic valves difficult in ECHO?
dense shadows and reverb

what is this?
bileaflet (st jude)

what is this?
single leaflet (bjork shiley)

what is this?
ball in cage (starr edwards)
what kind of pressure gradients do ball cage prosthetic valves have?
HIGH pressure gradients
what is normal regurgitant volume for ball cage prosthetic valves?
2-6ml/beat
how many orifices do prosthetic bileaflet (st judes) valves have?
3 orifices (3 color jets)

where do we sample velocities?
there are 2 large orifices and one smaller.
sample flow from the smaller orifice with higher velocities
what is the normal regurg volume for monoleaflet (bjork shiley) prosthetic valve?
5-9mL
how do mean gradients compare in prosthetic vs native valves?
CW doppler shows increased mean gradients in prosthetic valves compared to native valves
stented heterograft can be confused with - because of -
sclerosis
echogenic annulus in stented valves

stentless heterografts are made from
porcine aortic valves or bovine pericardium

heterografts biologic are only used for
aorta
how does the appearance of stentless graft compare to stented graft?
stentless have no rigid sewing ring or support status
what is another name for heterograft?
xenograft
homograft is aka?
allograft
how are homografts acquired?
harvested from human cadavers within in 24 hours of death and treated with antibiotics and cryopreserved
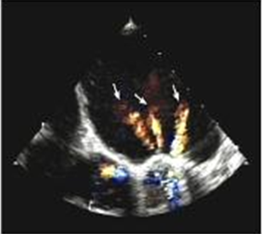
how to assess for prosthetic paravalv regurg/periannular leakage?
color doppler
how does CSA compare in valve replacements vs native valves?
valve replacements CSA smaller than native valves
what is the dimensionless index?
ratio of max LVOT velocity to max transaortic velocity used for ao valve replacements
LVOT peak or VTI / aortic peak or VTI
what is the typical value for dimensionless index of prosthetic valve?
.35 - .5
dimensionless index of prosthetic valves can help assess
aortic stenosis **without continuity equation
all people with prosthetic valves shoud be prescribed
aspirin —> prevents clots through antiplatelets (coumadin)