1/15
Looks like no tags are added yet.
Name | Mastery | Learn | Test | Matching | Spaced |
|---|
No study sessions yet.
Steps for basic examination of the ear
Wash hands
Explain procedure
Gain patient consent
Look for redness, swelling, discharge
Press on the tragus [shown in pic] and pull lightly on the pinna
Pain = suggests otitis externa
No pain = more likely to be a problem in the middle ear (otitis media)
Ask patient to smile » to check for any facial weakness which is one of the 5 cardinal signs of ear disease
Steps for otoscopy
Wash hands
Introduce yourself
Explain procedure
Gain patient’s consent
Ask patient which is their better hearing ear
Otoscopy
Adopt a stable seated position
Choose the largest clean speculum for the patient’s ear canal (in adults, the largest speculum is usually used)
Begin by examining the ear least likely to have an abnormality
Switch on light on otoscope
When examining the right ear, hold otoscope with the right hand. Extend little finger to rest against the patient’s face so if they move you move with them
With free left hand, pull pinna upwards, outwards and backwards
Insert otoscope. Look for:
Wax
Discharge
Inflammation
Proceed down the er canal until the tympanic membrane is seen. Move speculum around to examine the whole of the tympanic membrane
Gently remove otoscope, continuing to observe the ear canal for any pathology that may have been missed
Repeat examination on the other ear
What should you see on a healthy tympanic membrane through the otoscope?
The handle of the malleus
The pars tensa
The pars flaccida
Cone of light
Pink and transparent

Common red flags
Sudden unilateral hearing loss with no other ear pathology » could be acute vascular arterial occlusion
Unilateral facial weakness associated with ear symptoms » may be due to spread of disease from ear / cranial nerve
Rare complications of acute otitis media: mastoiditis, meningitis, cerebral abscess

Case Study 1
It is Friday afternoon and Sam Small has asked the pharmacy assistant if he could speak to the pharmacist as they want to ask their advice about their ear. The pharmacy assistant has referred this request to you, as the community pharmacist.
You have asked Sam to come to the pharmacy consultation room. You note they are pressing a tissue to their right ear with their right hand.
Otitis media
Discharge behind tympanic membrane
Red and inflamed tympanic membrane
Perforation of tympanic membrane = don’t use aminoglycosides (ototoxic)

Case Study 2
Three weeks ago David Bolton arranged to see the pharmacist for a Medicines Review as he has been on his hypertension medicines, isosorbide mononitrate, indapamide, nifedipine and Glytrin for many years.
The pharmacy assistant has asked David to wait to the pharmacy consultation room.
Elaine, the pharmacy assistant, explains to you that David is anxious to ask you some questions about their ears as they have been having some problems since they returned from their holiday in Spain.
Review the scenario
Wax blockage
Potentially due to water entering the ear
Treatment: olive oil spray
Case Study 3
A 3-year-old girl is brought to you with fever and complains that her ear hurts. She developed a cold about 3 days before with sniffles. Her temperature is 37.8°C (100°F). At physical examination, the only abnormalities are slight redness of the throat, a nose full of thick green mucus, and red tympanic membranes.
How would you know if the child has otitis?
She has ear pain and fever >> local and systemic symptoms
Red and inflamed tympanic membrane (however cannot show there’s an in ear infection by itself)
Mucus in nose >> nose and ear connected
Otitis common in children 3 - 6

Comment on this tympanic membrane
Healthy tympanic membrane
Can see handle of malleus
Can see cone of light
Translucent
No build up of fluid

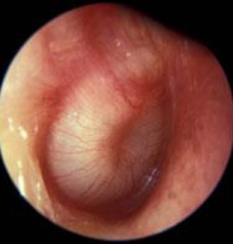
Comment on this tympanic membrane
Red and inflamed
Still translucent
However, not completely infected
May be an upper respiratory tract infection e.g. flu/cold

Comment on this tympanic membrane
Fluid behind tympanic membrane
No malleus handle
No cone of light
Not translucent

Comment on this tympanic membrane
Perforation and bulging
What can and cannot be used if the tympanic membrane is perforated?
Do NOT use:
Aminoglycoside-containing drops e.g. Neomycin, Gentamicin
Drops with high alcohol/acid content e.g. Acetic acid 2%, Aluminium acetate or antiseptic ear drops
SAFE to use:
Fluoroquinolone ear drops (non-ototoxic)
Ofloxacin
Ciprofloxacin
Otigo ear drops are formulated as an aqueous solution of phenazone 40mg/g and lidocaine (as the hydrochloride) 10mg/g
Draw the structures of the 2 active ingredients. What is the pharmacological mechanism of each active ingredient?
Phenazone:
Non-opioid analgesic, anti-pyretic and anti-inflammatory drug
Inhibits the COX-1 and COX-2 enzymes
Prevents conversion of arachidonic acid to prostaglandins and thromboxanes
Reduced prostaglandin production = reduced inflammation
Lidocaine:
Local anaesthetic
Blocks voltage-gated Na+ channels
Prevents conduction of action potentials
Results in numbness and pain relief

Otigo ear drops are formulated as an aqueous solution of phenazone 40mg/g and lidocaine (as the hydrochloride) 10mg/g
Suggest why the hydrochloride salt of lidocaine is preferred for the formulation for ear drops. Why is the pH of the formulation important?
The hydrochloride salt of lidocaine is water-soluble = ensures the drug dissolves readily and produces a stable, uniform solution that can effectively penetrate ear tissues
pH is important because:
Lidocaine is a basic molecule
The pH influences how much lidocaine exists in its un-ionised (lipid-soluble) form, which can penetrate neuronal membranes and effectively block sodium channels
If the formulation were too acidic, lidocaine would be predominantly ionised, reducing membrane penetration and analgesic effect
What is the composition of Otigo ear drops?
What is the function of each excipient?
Sodium thiosulfate - preservative
Benzalkonium chloride - preservative
Ethanol - co-solvent
Glycerol - co solvent
Purified water - solvent
Sodium chloride - ensures it is an isotonic solution
Sodium hydroxide - adjusts pH
A GP asks you why some drop formulations such as Betnesol® can be applied to the eyes, ears or nose but Otigo cannot. Identify function of each Betnesol® excipient and using your knowledge of formulation science how would you explain this?
Some drops like Betnesol are formulated as sterile, isotonic, and pH-balanced solutions
So are safe for use in sensitive areas such as the eyes, ears, and nose.
In contrast, Otigo is not sterile and contains excipients (e.g., alcohol, glycerol) and pH levels suitable only for the ear canal, not for the delicate ocular or nasal tissues.
Using Otigo in the eyes or nose could cause severe irritation, pain, or tissue damage.