1/21
Looks like no tags are added yet.
Name | Mastery | Learn | Test | Matching | Spaced |
|---|
No study sessions yet.
Meiosis
The form of cell division by which GAMETES, with HALF the number of CHROMOSOMES, are produced.
DIPLOID (2n) → HAPLOID (n)
Meiosis is SEXUAL reproduction.
TWO divisions (MEIOSIS I and MEIOSIS II).
Sex cells divide to produce GAMETES (sperm or egg).
Gametes have HALF the # of chromosomes.
Occurs only in GONADS (testes or ovaries).
Male: SPERMATOGENESIS -sperm
Female: OOGENESIS - egg or ova
Cell division that reduces the chromosome number by one-half.
Interphase I
Similar to mitosis interphase.
CHROMOSOMES (DNA) replicate in the S phase
Each duplicated chromosome consist of two identical SISTER CHROMATIDS attached at their CENTROMERES.
CENTRIOLE pairs also replicate.
Nucleus and nucleolus visible.
Prophase I
Longest and most complex phase (90%).
Chromosomes condense.
Synapsis occurs - Homologous chromosomes come togetherto form a tetrad.
Tetrad is two chromosomesor four chromatids (sister and non-sister chromatids).
Nucleus & Nucleolus disappear
Spindle forms
Chromosomes coil & Synapsis (pairing) occurs
Tetrads form & Crossing over Occurs
Non-Sister Chromatids-HOMOLOGS
Homologs contain DNA that codes for the same genes , but different versions of those genes
Genes occur at the same loci

Homologous Chromosomes
Pair of chromosomes (maternal and paternal) that are similar in shape and size.
Homologous pairs (tetrads) carry GENES controlling the SAME inherited traits.
Each locus (position of a gene) is in the same position on homologues.
Humans have 23 pairs of homologous chromosomes:
a. First 22 pairs of autosomes
b. Last pair of sex chromosomes
Crossing Over
Crossing over may occur between non-sister chromatids at sites called chiasmata.
Crossing over: segments of nonsister chromatids break and reattach to the other chromatid.
Chiasmata (chiasma) are where chromosomes touch each other and exchange genes (crossing over.)
Causes Genetic Recombination

Metaphase I
Shortest phase
Tetrads align on the equator.
Independent assortment occurs – chromosomes separate randomly causing GENETIC RECOMBINATION

formula
Formula: 2n
Example: 2n = 4
then 1n = 2
thus 22 = 4 combinations
In terms of Independent Assortment -how many different combinations of sperm could a human male produce?
Formula: 2n
Human chromosomes: 2n = 46
n = 23
223 = ~8 million combinations
Anaphase I
Homologous chromosomes separate and move towards the poles.
Sister chromatids remain attached at their centromeres.
Telophase I
Each pole now has haploid (1n) set of chromosomes.
Cytokinesis occurs and two haploid daughter cells are formed.
Meiosis II
No Interphase II
No DNA Replication
Remember: Meiosis II is similar to mitosis
Prophase II
Same as Prophase in mitosis
Nucleus & nucleolus disappear
Chromosomes condense
Spindle forms
Metaphase II
Same as Metaphase in mitosis
Chromosomes (not homologs) line up at equator
Anaphase II
Same as Anaphase in mitosis
SISTER CHROMATIDS separate

Telophase II
Same as Telophase in mitosis.
Nuclei and Nucleoli reform, spindle disappears
CYTOKINESIS occurs.
Remember: FOUR HAPLOID → DAUGHTER cells are produced.
Called GAMETES (eggs and sperm)
1n Sperm cell fertilizes 1n egg to form 2n zygote

Variation
Also known as GENETIC RECOMBINATION
Important to population as the raw material for NATURAL SELECTION.
All organisms are NOT alike
Strongest “most fit” survive to reproduce & pass on traits
What are the 3 sources of genetic recombination or variation?
CROSSING OVER (prophase I)
INDEPENDENT ASSORTMENT (metaphase I)
RANDOM FERTILIZATION
A cell containing 20 chromosomes (diploid) at the beginning of meiosis would, at its completion, produce cells containing how many chromosomes?
10 chromosomes (haploid or 1n)
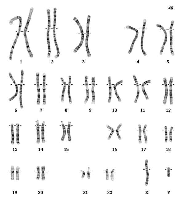
Karyotype
An organized picture of the chromosomes of a human arranged in pairs by size from largest to smallest.
Pairs 1-22 called AUTOSOMES
Last pair are SEX CHROMOSOMES

Fertilization
The fusion of a sperm and egg to form a zygote.
A zygote is a FERTILIZED EGG
A cell containing 40 chromatids at the beginning of meiosis would, at its completion, produce cells containing how many chromosomes?
10 chromosomes