1/18
Looks like no tags are added yet.
Name | Mastery | Learn | Test | Matching | Spaced | Call with Kai |
|---|
No analytics yet
Send a link to your students to track their progress
common warts
warts that typically appear on the hands or fingers and disappear without treatment

plantar warts
warts that develop on the soles of the foot, grow inward, and can become painful

flat warts
smooth, skin colored lesions that develop on the face, trunk, elbows, and knees

genital warts
boils
a painful, pus-filled bump under your skin the result of a bacterial infection of one or more hair follicles.
carbuncle
a cluster of boils painful, pus-filled bumps that form a connected area of infection under the skin.
athlete's foot
a fungal skin infection that usually begins between the toes. It commonly occurs in people whose feet have become very sweaty while confined within tight-fitting shoes

erysipelas
a contagious disease of the skin and subcutaneous tissues caused by infection with streptococci organisms; redness and swelling of affected areas

cellulitis
a common, potentially serious bacterial skin infection. The affected skin is swollen and inflamed and is typically painful and warm to the touch

leprosy
caused by slow-growing bacteria called Mycobacterium leprae and Mycobacterium lepromatosis
the disease can affect the nerves, skin, eyes, and lining of the nose
in some cases, body parts may lose their sense of touch and pain, increasing the likelihood of injuries such as cuts and burn

chickenpox
illness caused by the varicella-zoster virus
It brings on an itchy rash with small, fluid-filled blisters

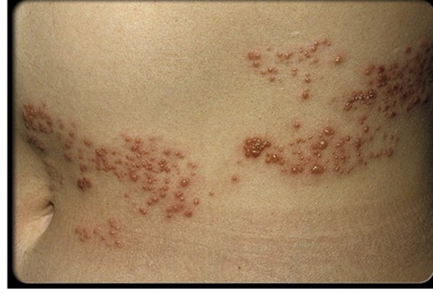
shingles
illness caused by the varicella-zoster virus
viral infection that causes a painful rash can occur anywhere on your body

Psoriasis
chronic, recurrent dermatosis marked by itchy, scaly, red plaques covered by silvery gray scales

dermatitis
melanoma

basal cell carcinoma (BCC)
malignant tumor of the basal layer of the epidermis; the most common type of skin cancer

squamous cell carcinoma (SCC)
skin cancer that begins in the epidermis but may grow into deeper tissue; does not generally metastasize to other areas of the body

Kaposi's sarcoma
a cancer that causes patches of abnormal tissue to grow under the skin, in the lining of the mouth, nose, and throat, or in other organs; frequently associated with HIV

Merkel cell carcinoma (MCC)
rare form of skin cancer, develops from neuroendocrine cells, which are hormone making cells, in the skin.
