Tissue 2 - kidney, bone

0.0(0)
studied byStudied by 0 people
full-widthCall with Kai
GameKnowt Play
learnLearn
examPractice Test
spaced repetitionSpaced Repetition
heart puzzleMatch
flashcardsFlashcards
Card Sorting

1/15

encourage image

There's no tags or description

Looks like no tags are added yet.

Study Analytics
Name
Mastery
Learn
Test
Matching
Spaced

No study sessions yet.

16 Terms

1
New cards
<p>overall morphology of the kidney (large lagnification)</p>

overall morphology of the kidney (large lagnification)

  • capsule

  • cortex - outer shell

  • medulla

  • papilla

  • calyx

  • pelvis

  • hilus (the point of entry and exit of blood vessels and nerves)

2
New cards

smallest unit in kidney

nephron = renal corpuscle + renal tubule

3
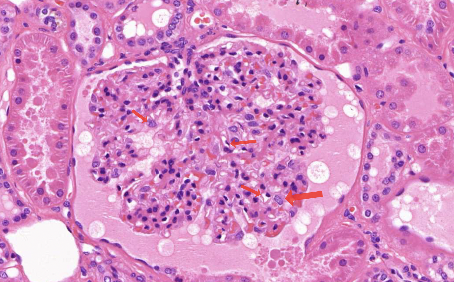
New cards
term image

  • bowmans space - urinary space

    • simple squamous epithelium

  • bowmans capsule/glomerulus

    • fenestrated capillaries - fenestratins are pores that allow larger molecules to pass through the capillary wall

    • endothelial cells - 1st stage of filtration of blood to primary urine

    • besement membrane - 2nd

    • podocytes - 3rd stage

    • mesangial cells - provide structural support (dark irregular nuclei, surrounded by deep pink material)

  • vascular pole

    • affarent and effeent arteriole

    • juxtaglomerular apparatus 

      • macula densa - regulate blood pressure and filtration rate

      • juxtaglomerular cells - secrete enzymes renin

  • urinary pole - proximal tubuli

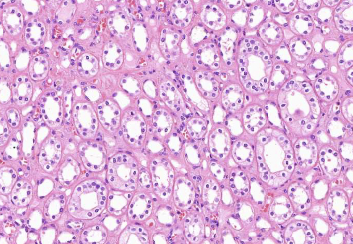
4
New cards
term image
  • proximal tubuli (simple columnar epithelium) - remove small proteins from the primary urine, major site of reabsorption

  • distal tubuli (simple cuboidal epithelium) - reabsorbs Ca, sodium, Cl, regulates pH in the urine

5
New cards
term image
  • loop of henley/collectin ducts (simple cuboidal epithelium) - reabsoprtion of water and ions

  • blood vessels around - Vasa Recta

6
New cards

Describe the way blood and urine is transported thrpugh kidney + video

knowt flashcard image

7
New cards

black staining in nephrons

PASM - methenamine

  • silver/black - basement membrane

8
New cards
term image
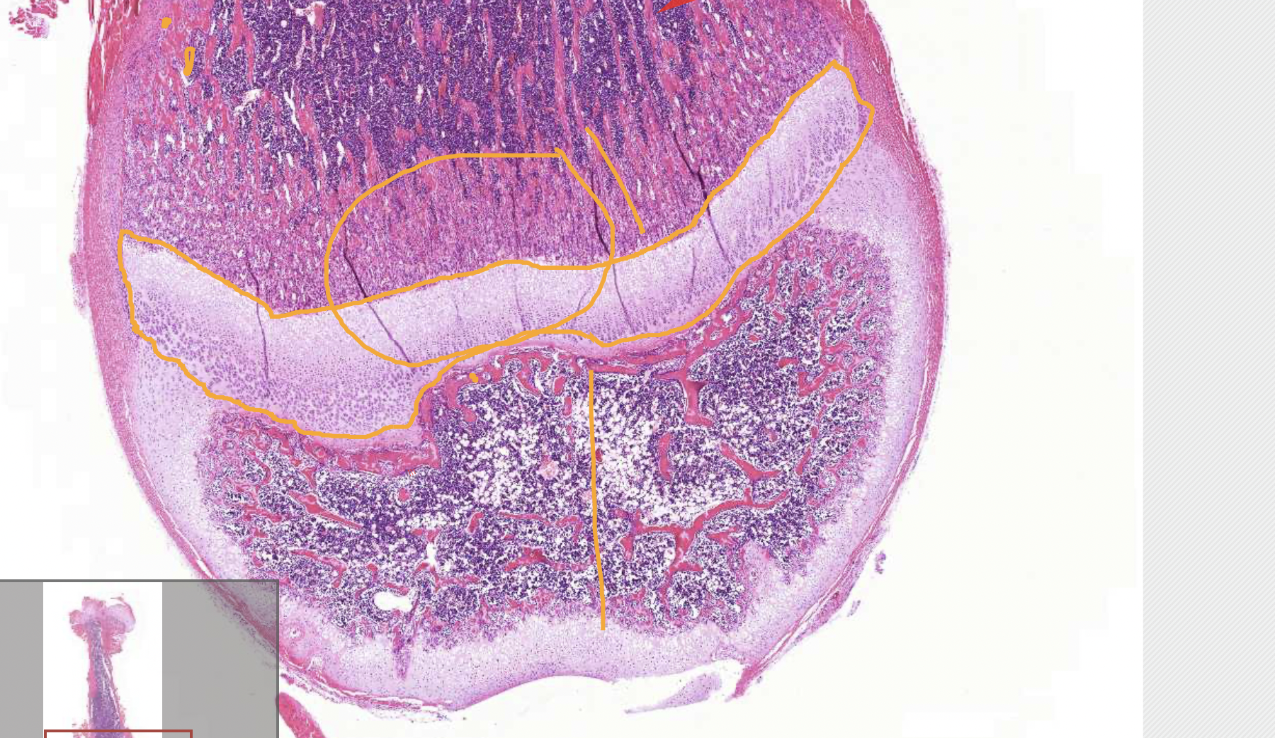
  • primary region of ossification (deeper in the bone)

  • secondary region of ossification (outer) - helps to not disturb the joint with growth

  • cortical/compact bone - dense, important for bone strength

  • trabecular bone - harbour precursor bone cells, haemopoietic cells (red marrow) and fat cells (yellow marow)

  • growth plate - longitudinal growth (cartilage then bone)

9
New cards
term image
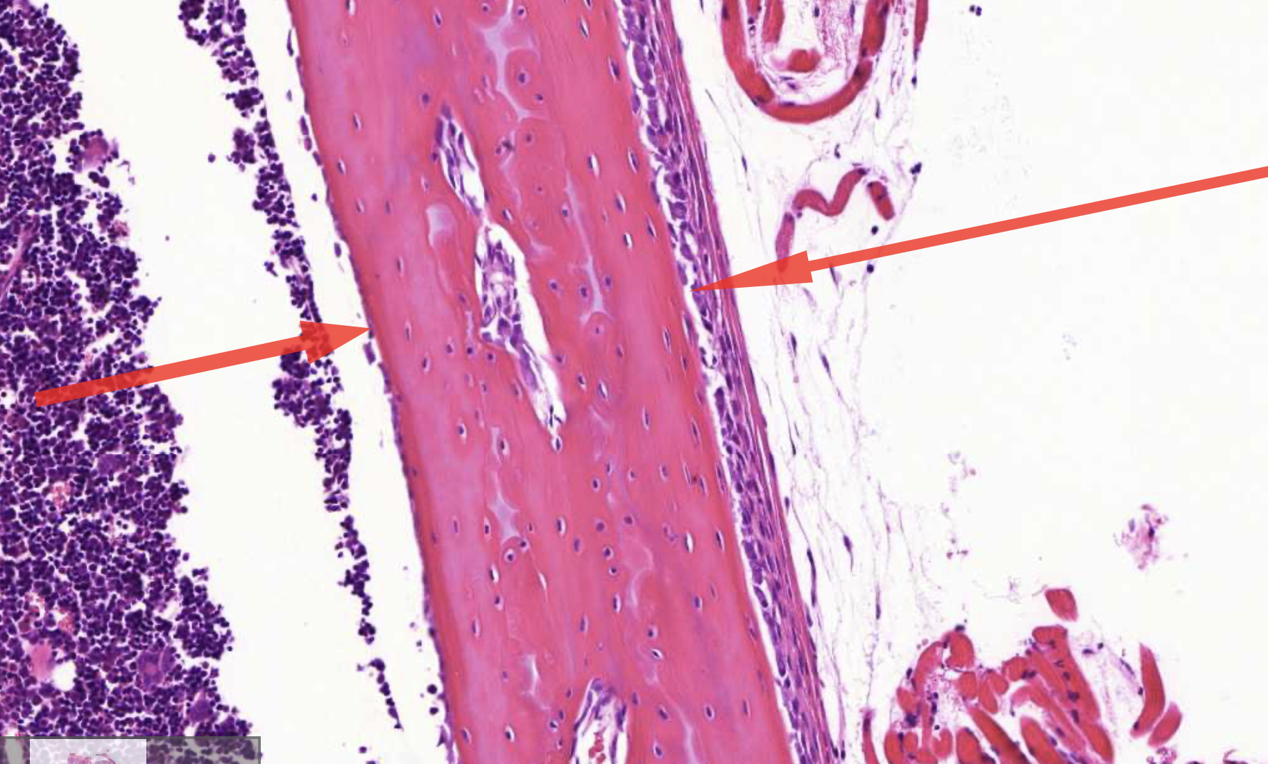
  • endosteum - inside or cortical bone

  • peristeum - outside or cortical bone

10
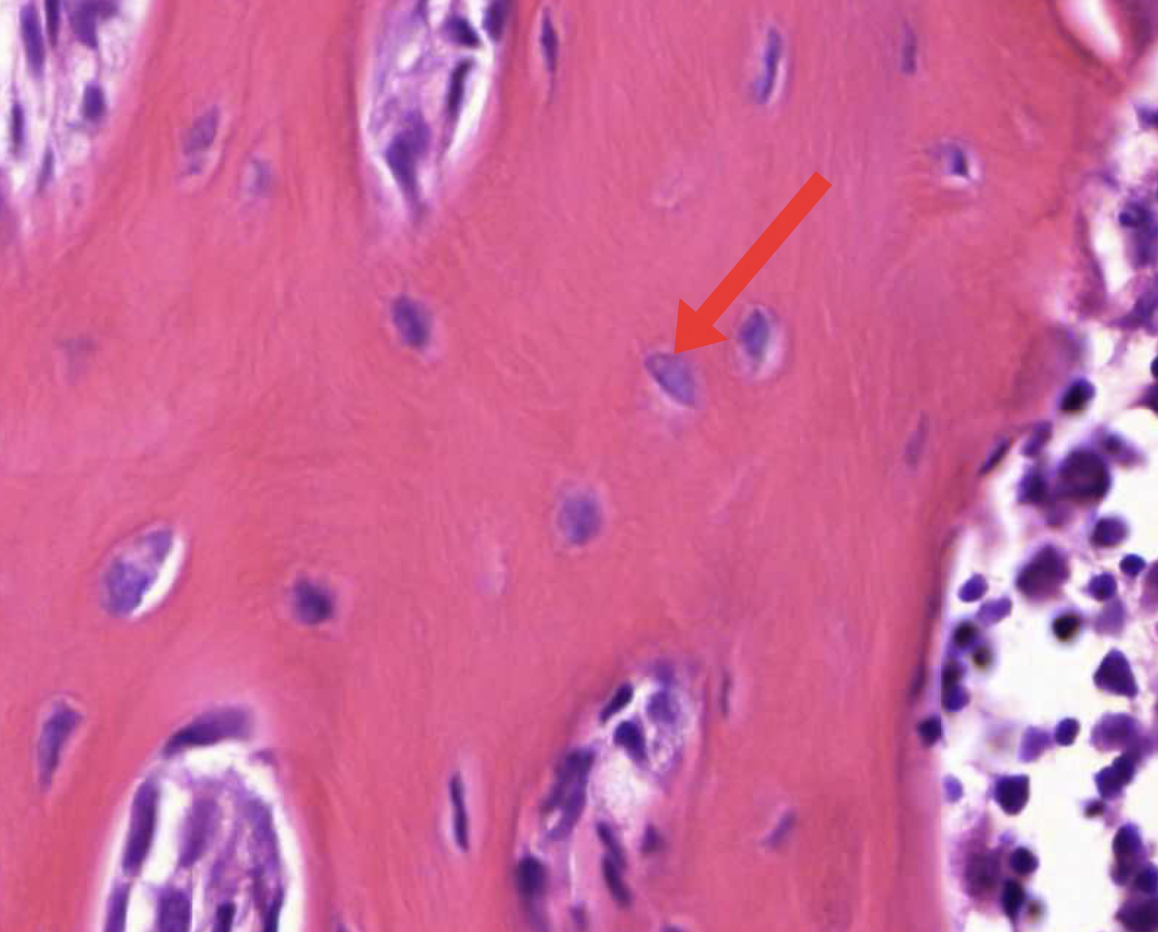
New cards
term image

osteocyte - sense mechanical forces, orchestrate bone remodelling, maintain bone respnse

11
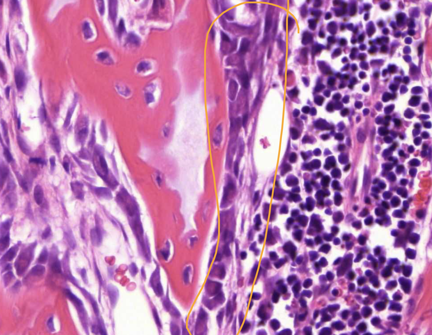
New cards
term image

osteoblasts - bone formation, can embed themselves in bone matrix and differentiate into osteocytes

12
New cards
term image

osteoclast - bone resorption (in cavities, multinuclei)

13
New cards
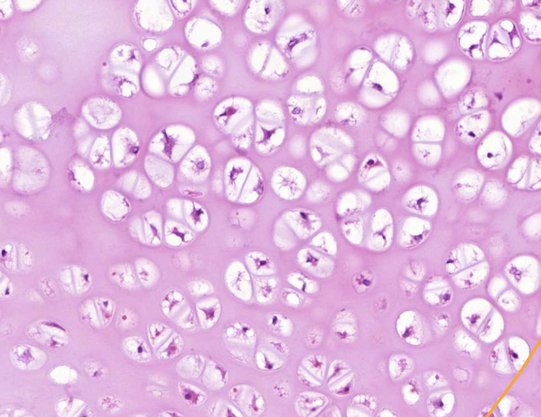
term image

chondrocytes - secrete cartilage matrix

14
New cards
term image

megacaryocytes - production of blood thrombocytes - for blood clotting

15
New cards
term image

TRAP - stain for osteclasts

16
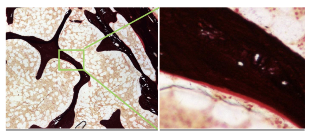
New cards
Van Kossa/Gieson

calcified matrix - black, newly formed collagen 1 - red