1/99
Looks like no tags are added yet.
Name | Mastery | Learn | Test | Matching | Spaced | Call with Kai |
|---|
No study sessions yet.
Este tipo de anomalía congénita se caracteriza por la ausencia de espacio intervertebral entre dos vertebras
Vertebras fusionadas
En un tubo de rayos x, los electrones excitados al calentar el filamento son atraídos al blanco (que tiene carga contraria) pero no chocan con sus electrones, si no solamente desvían su trayectoria, lo que genera calor el 99% de las veces. Este tipo de radiación es conocida como:
Radiación por frenado
Para poder evaluar una radiografía VD, así debe colocarse la radiografía en el negatoscopio/pantalla
Aspecto craneal hacia arriba, lado derecho del paciente hacia el lado izquierdo del observador
Son algunas de las características de las anomalías congénitas en columna vertebral, excepto:
A veces no producen signos clínicos
En ocasiones pueden ser hallazgos incidentales
Pueden formarse después del nacimiento
Las vertebras transicionales son un ejemplo de este tipo de padecimientos
Pueden formarse después del nacimiento
La región que se afecta con mayor frecuencia en espondilosis deformante
Toraco-lumbar
Este equipo complementario, es una lámina de aluminio que se encuentra a la salida del tubo de rayos x, y su finalidad es detener los rayos x (fotones) de mayor longitud de onda.
Filtro
En una radiografía, se refiere al grado de diferencia perceptible entre dos tonos de gris
Contraste
Efecto de la radiación electromagnética sobre el organismo que se presenta cuando se rebasa una dosis umbral y su severidad depende de la cantidad de dosis recibida
Efecto determinístico
Puede ser ocasionado por procesos infecciosos como Brucelosis:
Espondilosis
Hemivertebra
Enfermedad de disco
Espondilitis
Espondilitis
Este medio de contraste está contraindicado en caso de sospechar de perforación del tracto gastrointestinal
Bario
Son radiaciones ionizantes, que resultan de la transformación de energía cinética en radiación electromagnética de corta longitud de onda
Rayos X
Son algunas de las características de los rayos x:
Corta longitud de onda, ionizacion y fluorescencia
Ionización, inocuo
Generación de calor, viajan a la velocidad del sonido
Longitud de onda larga, ionización
Corta longitud de onda, ionizacion y fluorescencia
Dentro del tubo de rayos x, es la parte que atrae a los electrones de la nube que se forma al calentar el filamento
Ánodo
Es una de las indicaciones para poder realizar la evaluación de tránsito gastrointestinal con medios de contraste
Ayunas
Generalmente ocurre por ruptura del ligamento atlantoaxial, secundario a traumatismos
Hipoplasia del proceso odontoides
Discoespondilitis
Subluxacion atlantoaxial
Síndrome de Wobbler
Subluxacion atlantoaxial
Son algunos signos/características radiográficas observados en casos de enfermedad de disco, excepto:
Disminución de espacios intervertebrales
Mineralización del disco intervertebral
Puede no haber disminución de espacios intervertebrales
Disminución de la densidad de los cuerpos vertebrales
Disminución de la densidad de los cuerpos vertebrales
Son ejemplos de radiación electromagnética:
Ondas de radio, microondas, luz visible
Luz visible, campo magnético (imán)
Ultrasonido, radiación infrarroja
Rayos x, resonancia magnética
Ondas de radio, microondas, luz visible
En estudios radiográficos, su uso está indicado cuando el sitio a radiar excede los 10 cm de grosor
Rejillas
Es el tumor óseo primario más frecuente
Osteosarcoma
Primer y más frecuente sitio de metástasis del osteosarcoma
Pulmón
Son signos radiológicos de muerte fetal excepto:
Posición anómala de los miembros fetales
Grado de mineralización
Gas rodeando el feto o libre en útero
Retraso notorio en el crecimiento de un feto y boca abierta
Grado de mineralización: Un feto muerto puede tener un esqueleto bien mineralizado para su edad, y un feto vivo puede tener uno poco mineralizado si es prematuro. No es un criterio diagnóstico para la muerte
El ejemplo de este tipo de lisis son quistes
Geográfica
Este estudio nos puede ayudar a diagnosticar el síndrome de Wobbler
Tomografía
En los equipos de rayos x de gran poder se puede seleccionar entre fijo y giratorio dependiendo de la cantidad de rayos x que se necesite generar
Ánodo
En esta región se lleva a cabo el crecimiento del hueso
Fisis

Puede estar relacionado con procesos inflamatorios como cistitis o endocarditis
Espondilosis
Vertebras transicionales
Enfermedad de disco
Espondilitis
Espondilitis
Es un tipo de fractura incompleta
Abierta
Conminuta
Transversa
Tallo verde
Tallo verde
Este tipo de reacción perióstica se ve en procesos de reparación después de fracturas
Sólida
Una de las características de este padecimiento es la formación de osteofitos alrededor de los bordes de las placas vertebrales en la parte ventral de los cuerpos vertebrales.
Espondilosis
Este tipo de medio de contraste está indicado en casos de sospecha de perforación intestinal
Yodado
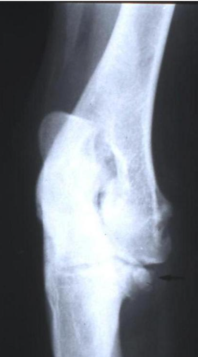
Es una de las 3 lesiones que constituyen la displasia de codo
Fragmentación de coronoides

Son principios de interpretación radiográfica excepto:
Grosor
Distorsión
Densidad
Detalle
Grosor
El síndrome de Wobbler se presenta generalmente en estas razas
Gran danés y el Dóberman pinscher.
Esta fractura indica al menos 3 fragmentos de fractura, por lo general uno más separados de los otros
Conminuta
Vértebras cervicales del equino
7
Este medio de contraste es el indicado para poder realizar mielografías
Yodado no iónico
Son algunas funciones del hueso, excepto:
Movimiento
Hematopoyesis
Almacenamiento
Síntesis de glucosa
Síntesis de glucosa
Es la cantidad de radiación absorbida que una persona puede recibir en un periodo de tiempo sin sufrir efectos dañinos
Dosis máxima permitida
De estos medios, el más soluble en sangre es:
Aire
Oxigeno
CO2
Oxido nitroso
CO2
Es un ejemplo de uso de CO2 como medio de contraste
Transito gastrointestinal
Urografía excretora
Doble contraste en vejiga urinaria
Mielografía
Doble contraste en vejiga urinaria
Es el tipo de lisis ósea menos agresivo
Lisis geográfica
Efectos de la radiación en las células somáticas (aquellas que no son células reproductivas), estos pueden incluir daño a tejidos y órganos.
Efecto somático
Es una forma por la que se pueden formar los rayos X, consiste en que los electrones formados en el filamento chocan con los de los átomos del blanco, dejando espacios vacíos que posteriormente serán ocupados por otros electrones liberando energía
Radiación característica
Son indicaciones de los medios de contraste positivos, excepto:
Observar integridad de un órgano hueco
Observar vascularidad o excreción
Confirmar diagnósticos
Sirven para medir la mucosa gastrointestinal
Confirmar diagnósticos
Es un ejemplo del uso de bario como medio de contraste
Urografía excretora
Cistografía
Mielografía
Tránsito gastrointestinal
Tránsito gastrointestinal
De las siguientes opciones.¿Qué metodología diagnóstica permite la observación física tridimensional de estructuras internas del aparato respiratorio?
Endoscopía
Radiología
Ultrasonido
Ecografía
Endoscopía
Este tipo de lisis generalmente está presente en neoplasia del hueso
Apolillada
Permeable
Este tipo de estudio nos permite realizar una reconstrucción tridimensional del sitio evaluado
Tomografía
Ultrasonido: Su principio se basa en el cambio aparente de la frecuencia del sonido
Doppler
Tipo de fractura llamada expuesta
Abierta
Es la característica de la radiación electromagnética (rayos X) que hace posible la penetración de cuerpos opacos
Longitud de onda corta
Este estudio nos puede ayudar a demostrar lesiones espinales
Mielografia
Nombre de la región media de los huesos largos
Diafisis

Estas tomas radiográficas se hacen a 90° una de otra y sirven para poder hacernos una interpretación tridimensional del área estudiada
Ortogonal
Número correcto de vértebras torácicas en el perro
13
Parte del equipo complementario que se encuentra a la salida del tubo de rayos X y tiene la finalidad de delimitar el sitio a radiar
Colimador
Son las fracturas que afectan las articulaciones en los animales en crecimiento (fisis abiertas)
Salter Harris
Estos tipos de estudios nos permiten ver las imágenes en tiempo real
Ultrasonido y endoscopía
.¿Cuál es la complicación más frecuente en la endoscopía de vías aéreas superiores?
Sangrado
1 megahertz es igual a:
1 millón de ciclos por minuto
Se presenta cuando se rebasa una dosis umbral y su severidad depende de la cantidad de dosis recibida
Efecto determinista
Es el responsable de la calidad de los rayos x, es decir de la penetración.
Diferencia de potencial entre cátodo y ánodo que es la fuerza con la que van a ser acelerados los electrones.
Kilovoltaje

Es el responsable de la cantidad de rayos X que emite el tubo.
Mide la corriente eléctrica que se le aplica al filamento de Tungsteno del cátodo
Miliamperaje

Es la fracción de haz útil cuya dirección y energía se modifican al interaccionar con el paciente
Radiacion dispersa
No tienen un umbral de dosis y la gravedad del efecto es independiente de la dosis
*El cáncer inducido por radiación es un ejemplo de este efecto
Efecto estocastico
Dosis maxima de radiacion segun la norma
500 mSv (50 rem) anual
150 mSv (15 rem) anual en el cristalino
Este estudio se basa en la emisión de sonido, propagación a traves de los diferentes tejidos y recuperación del mismo en una sonda o transductor
Ultrasonido
Numero de vertebras cervicales en el equino
7
Numero correcto de vertebras toracicas en el perro
13
El principio de este estudio es la generación de un campo magnético
Resonancia magnética
Cual es el término al que se refiere la siguiente definición: Procedimiento endoscópico que permite la visualización de laringe, tráquea y bronquios?
Broncoscopia
Las 5 densidades básicas en radiología son:
Aire
Grasa
Tejido blando (o Agua)
Hueso
Metal
Las vértebras de las uniones atlanto-axial, cervico-torácico, toraco-lumnar, lumbosacra y sacro-coccigeo adoptan características de ambos tipos de vértebras:
Hemivértebras
Discoespondilosis
Vértebras transcicionales
Agenesia del proceso odontoides
Vértebras transicionales
Cuando el tejido intersticial pulmonar se infiltra de líquido
Edema
Este tipo de estudio genera radiación electromagnética y produce una imagen en movimiento
Fluoroscopia / Rayos X (en modalidad dinámica)
Son algunos signos característicos radiográficos observados en casos de enfermedad de disco, excepto:
Disminución de espacios intervertebrales
Mineralización de disco intervertebral
Puede no hacer disminución de espacios intervertebrales
Disminución de la densidad de los cuerpos vertebrales
Disminución de la densidad de los cuerpos vertebrales
La panosteitis es una entidad patológica sólo observada en perros?
Falso / Verdadero
Verdadero
¿Osteosarcomas son tumores que presentan numerosas células inmaduras y polimorfas junto a trabéculas óseas?
Falso / Verdadero
Verdadero
Las proyecciones oblicuas se emplean principalmente para:
Evitar la superposición de estructuras anatómicas
Cual es la utilidad de la marca radiográfia
Identificar la Proyección
Identificar el Lado del Paciente
¿Cual es la función de la rejilla radiográfica
Disminuir la radiación secundaria que se impacta en la película radiográfica
Hiperparatiroidismo puede ser, resultado de:
Tumor o hiperplasia
Secundario por desequilibrio nutricional
Enfermedad renal
Disminuye la calcemia
Calcitonina —> la inhibición de la resorción ósea por los osteoclastos y estimula la captación de calcio en el hueso
En hueso, estimula resorción de Ca, promoviendo salida de sales
Paratormona
En riñones estimula la reabsorción tubular del Ca y reduce la reabsorción tubular de P, por lo que aumenta pérdida urinaria de éste
Paratormona
En un animal privado de luz solar en muy problema que tenga una síntesis deficiente de:
Vitamina D3
Poliostótico quiere decir múltiples lesiones en varios huesos
Verdadero / Falso
Verdadero
Actividad osteoblástica y fibroblástica incrementada en endostio y cavidad Medular de diálisis de húmero, radio, ulna, fémur, tibia. Etiología desconocida
Panosteitis
Monostótico quiere decir una lesión en varios huesos
Verdadero / Falso
Falso
Afecta huesos largos en extremidades de perros jóvenes, de 5 a 18 meses. Descrita en perros de siete y más años
Panosteitis
Algunas enfermedades como panosteitis o tumor metastásico pueden presentarse, en un principio, con lesiones únicas en varios huesos
Falso / Verdadero
Verdadero
La energía electromagnética (rayos x) se transporta por sí misma a través del espacio en forma de paquetes de energía conocidos como
Fotones o quanta
Fractura por localización que ocurre principalmente en animales adultos y afecta las terminaciones distales del húmero, fémur, o tibia proximal
Condilares
En este tipo de anomalías se pueden observar las alas de mariposa
Hemivértebras
En este tejido/materia el sonido viaja a mayor velocidad
Hueso
La panosteitis es una entidad patológica sólo observada en perros?
Falso / Verdadero
Verdadero
¿Cuál es la función de la rejilla radiográfica?
disminuir la radiación secundaria que se impacta en la película radiográfica
Que aspectos puede verse afectado la calidad de un estudio radiográfico si tenemos un paciente que presenta tos o jadeo exagerado
Detalle
El medio de contraste positivo puede utilizarse para la medición del tiempo de tránsito intestinal?
Falso / Verdadero
Falso
La _____ es una alteración en la forma o proporciones reales de un objeto en la imagen radiográfica.
Ocurre cuando el objeto no está paralelo al receptor de imagen (_____ de forma) o cuando el rayo central no incide perpendicularmente sobre el objeto y el receptor (_____ por alargamiento o acortamiento).
Distorsión