1/53
Identification of major cell types by image, 3 images per cell type
Name | Mastery | Learn | Test | Matching | Spaced | Call with Kai |
|---|
No analytics yet
Send a link to your students to track their progress
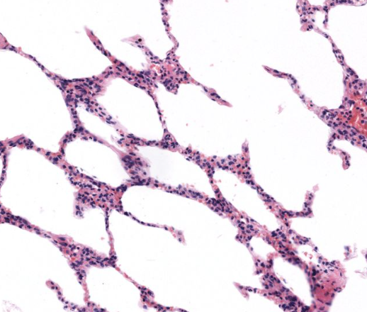
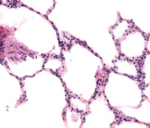
Simple Squamous Epithelial Tissue

Simple Squamous Epithelial Tissue

Simple Squamous Epithelial Tissue

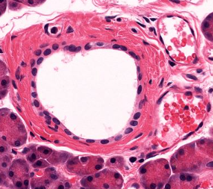
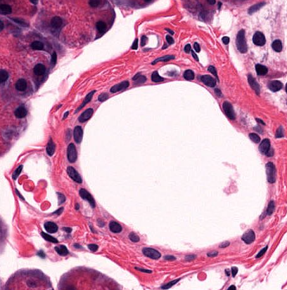
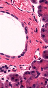
Simple Cuboidal Epithelial Tissue

Simple Cuboidal Epithelial Tissue

Simple Cuboidal Epithelial Tissue

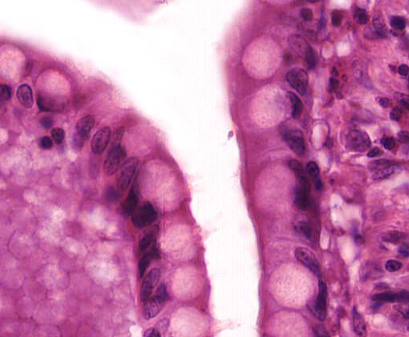
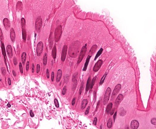
Simple Columnar Epithelial Tissue

Simple Columnar Epithelial Tissue

Simple Columnar Epithelial Tissue

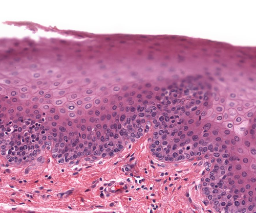
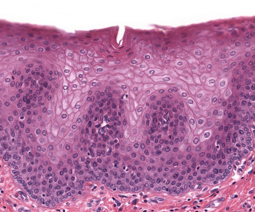
Nonkeratinized Stratified Squamous Epithelial Tissue

Nonkeratinized Stratified Squamous Epithelial Tissue

Nonkeratinized Stratified Squamous Epithelial Tissue

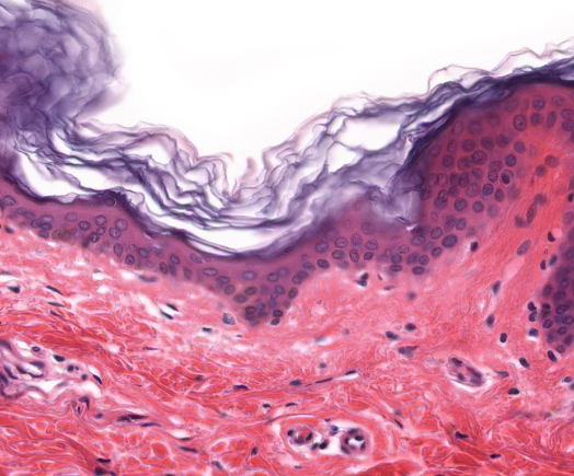
Keratinized Stratified Squamous Epithelial Tissue

Keratinized Stratified Squamous Epithelial Tissue

Keratinized Stratified Squamous Epithelial Tissue

Pseudostratified Columnar Epithelial Tissue

Pseudostratified Columnar Epithelial Tissue

Pseudostratified Columnar Epithelial Tissue

Loose Connective Tissue (Areolar)

Loose Connective Tissue (Areolar)

Loose Connective Tissue (Areolar)

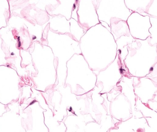
Adipose

Adipose

Adipose

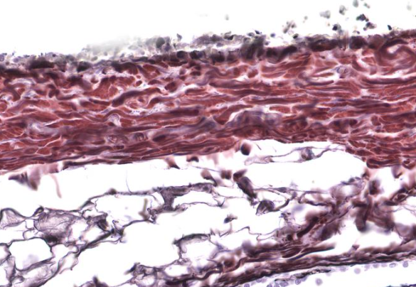
Dense Regular Connective Tissue

Dense Regular Connective Tissue

Dense Regular Connective Tissue

Dense Irregular Connective Tissue

Dense Irregular Connective Tissue

Dense Irregular Connective Tissue

Hyaline Cartilage Connective Tissue

Hyaline Cartilage Connective Tissue

Hyaline Cartilage Connective Tissue

Osseous (Bone) Connective Tissue

Osseous (Bone) Connective Tissue

Osseous (Bone) Connective Tissue

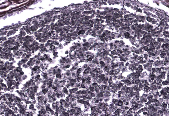
Hematopoietic Connective Tissue (Lymphatic)

Hematopoietic Connective Tissue (Lymphatic)

Hematopoietic Connective Tissue (Lymphatic)

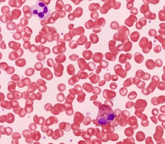
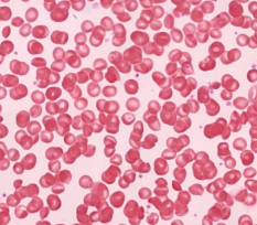
Hematopoietic Connective Tissue (Blood)

Hematopoietic Connective Tissue (Blood)

Hematopoietic Connective Tissue (Blood)

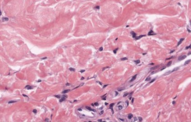
Striated (Skeletal) Muscle Tissue

Striated (Skeletal) Muscle Tissue

Striated (Skeletal) Muscle Tissue

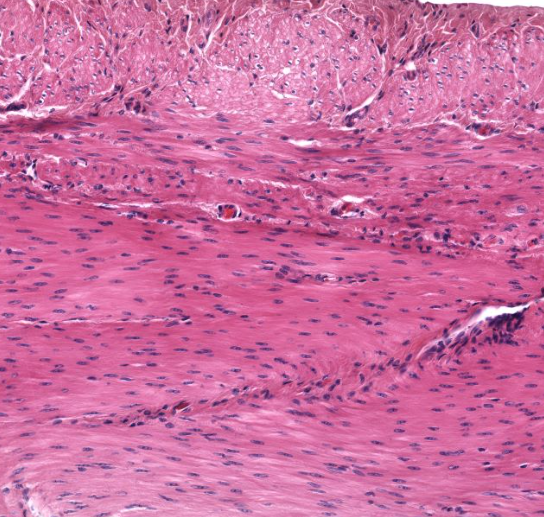
Smooth (Visceral) Muscle Tissue

Smooth (Visceral) Muscle Tissue

Smooth (Visceral) Muscle Tissue

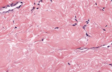
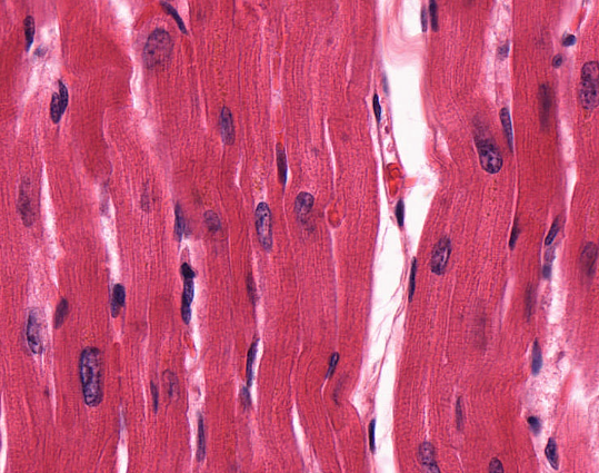
Cardiac Muscle Tissue

Cardiac Muscle Tissue

Cardiac Muscle Tissue

Nervous Tissue

Nervous Tissue

Nervous Tissue
