PNB Lab Quiz Prep - Tissues

0.0(0)
studied byStudied by 2 people
0.0(0)
full-widthCall with Kai
GameKnowt Play
New
learnLearn
examPractice Test
spaced repetitionSpaced Repetition
heart puzzleMatch
flashcardsFlashcards
Card Sorting

1/73

encourage image

There's no tags or description

Looks like no tags are added yet.

Study Analytics
Name
Mastery
Learn
Test
Matching
Spaced

No study sessions yet.

74 Terms

1
New cards

What is histology?

the study of tissues

2
New cards

What are the two types of lenses?

ocular and objective lenses

3
New cards

What is the ocular lens?

work to bring the image into focus for the eye. Magnification of 10x

4
New cards

What is the objective lens?

closest to the ‘object’ being viewed. ranges from 4x to 100x

5
New cards

What is the stage?

the platform on which the slide is placed

6
New cards

What is the coaxial stage controls?

can be moves in the X-Y plane to change which part of the slide is being viewed

7
New cards

What is the light source?

illuminates the specimen, and the dial on the side of the scope can control its intensity

8
New cards

What is the iris diaphragm?

can alter illumination and is controlled by the lever beneath the stage

9
New cards

What is the course focus control?

large knob on the side of the scope, allows you to adjust the stage height to bring the object into focus

10
New cards

What is the fine focus control?

can be used to make more precise focus adjustments

11
New cards

How is a microscope meant to be held?

two hands; one on the arm and the other under the base when moving it

12
New cards

How must a scope be cleaned?

with lens paper to avoid scratching the surface

13
New cards

What is epithelial tissue?

forms the surface layer of the body, lines body cavitites, hollow organs and structures, and constitutes most gland tissues

14
New cards

What are characteristics of epithelial tissue?

polar and avascular

15
New cards

What are intercellular junctions?

found in epithelial cells; between adjacent cells that vary with the unique structures and functions of various subtypes

16
New cards

What are the functions of intercellular junctions?

protect against dehydration and injury from physical, chemical, and biological agents, and regulating the passage of materials entering and leaving the body

17
New cards

How are epithelial cells classified?

based on their number of cell layers and apical cell shape

18
New cards
<p>What is this epithelial tissue?</p>

What is this epithelial tissue?

simple cuboidal epithelia

19
New cards
<p>What is this epithelial tissue?</p>

What is this epithelial tissue?

simple columnar epithelia

20
New cards
<p>What is this epithelial tissue?</p>

What is this epithelial tissue?

simple squamous epithelia

21
New cards
<p>What is this epithelial tissue?</p>

What is this epithelial tissue?

stratified epithelia

22
New cards

Where is transitional epithelia found?

in the bladder

23
New cards

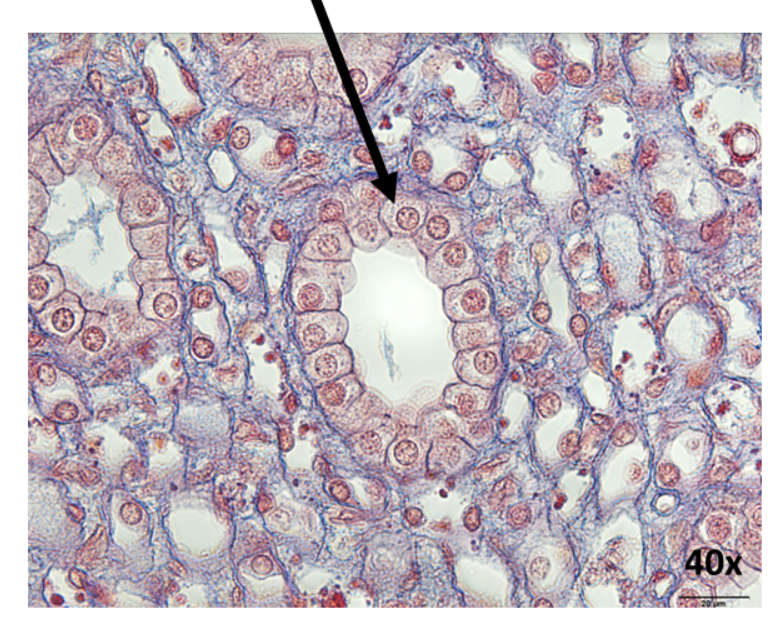
Where is simple cuboidal epithelia found?

in the kidney

24
New cards

Where is simple columnar epithelia found?

in the intestines

25
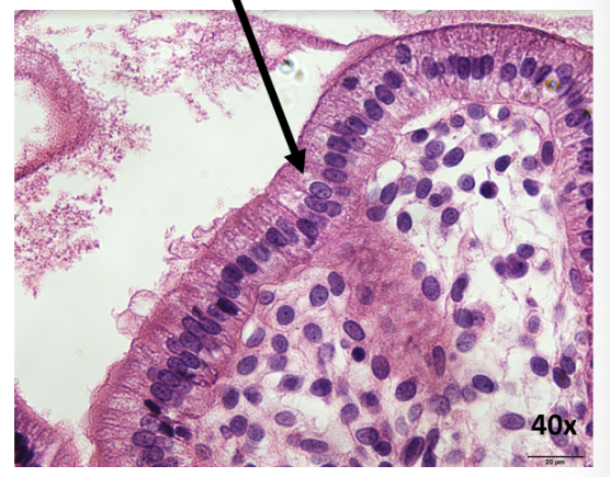
New cards

Where is pseudostratified columnar found?

in the upper respiratory system

26
New cards

Where is stratified squamous epithelia found?

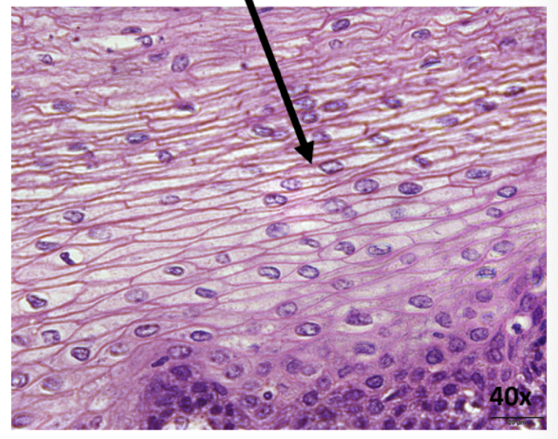
in the skin

27
New cards

What is connective tissue?

found in a variety of forms throughout the body, from rigid bone to flexible cartilage

28
New cards

What are the primary functions of connective tissue?

structural support, binding structures together, and protecting the less durable parts of the body.

29
New cards

What are the 3 components of connective tissue?

cells, protein fibers, and ground substance

30
New cards

What is connective tissue proper?

loose and dense tissue

31
New cards

What is loose tissue?

fibers create loose, open framework

32
New cards

What is fluid connective tissue?

blood and lymph

33
New cards

What is blood tissue?

contained in circulatory system

34
New cards

What is lymph tissue

contained in lymphatic system

35
New cards

What is supporting connective tissue?

cartilage and bone

36
New cards

What is cartilage tissue?

solid, rubbery matrix

37
New cards

What is the antomy of bone tissue?

solid, crystalline matrix

38
New cards

What are the main cells in loose and dense connective tissue?

fibroblasts and adipocytes

39
New cards

What are the main cells in dense connective tissue?

regular and irregular

40
New cards

What is regular dense connective tissue?

parallel protein fibers

41
New cards

What is irregular dense connective tissue?

protein fibers are in clumps arranged at scattered angles

42
New cards

What is hyaline cartilage?

most common, provides support through flexibility and resilience

43
New cards

What is fibrocartilage?

absorbs shock and resist compression of the vertebral column

44
New cards

What is elastic cartilage?

has extensive flexibility, characterized by abundance of elastic fibers around chondrocytes

45
New cards

What is bone tissue?

supportive tissue that provides levels from movement when muscles that are attached to them contract and protect soft tissues and vital organs

46
New cards

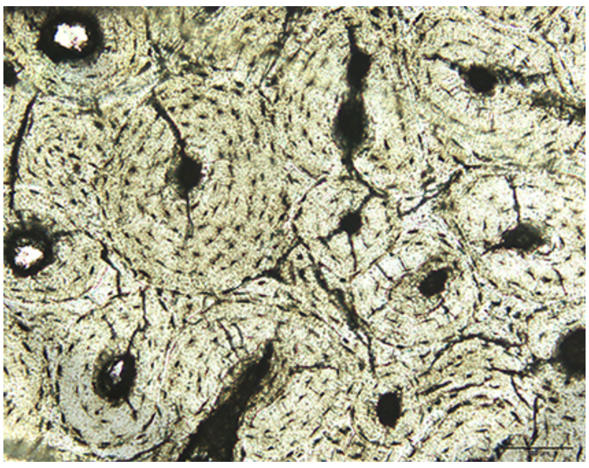
What is compact bone?

form the outer shell of the bone, and it is formed by concentric circles, called Haversian system, runs parallel to the shaft of the bone

47
New cards

What is spongy bone?

inside of the bones, and contains spaces and latticework structure of the bone tissue

48
New cards

What is not a type of connective tissue?

muscle

49
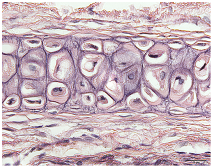
New cards
<p>What cartilage is this?</p>

What cartilage is this?

hyaline

50
New cards
<p>What cartilage is this?</p>

What cartilage is this?

fibrocartilage

51
New cards
<p>What cartilage is this?</p>

What cartilage is this?

elastic cartilage

52
New cards
<p>What is this diagram showing?</p>

What is this diagram showing?

bone tissue

53
New cards

What is muscle tissue?

composed of specialized cells that respons to stimulation from the nervous system by undergoing internal changes that cause them to shorten

54
New cards

What are the three types of muscle?

skeletal, cardiac, and smooth

55
New cards

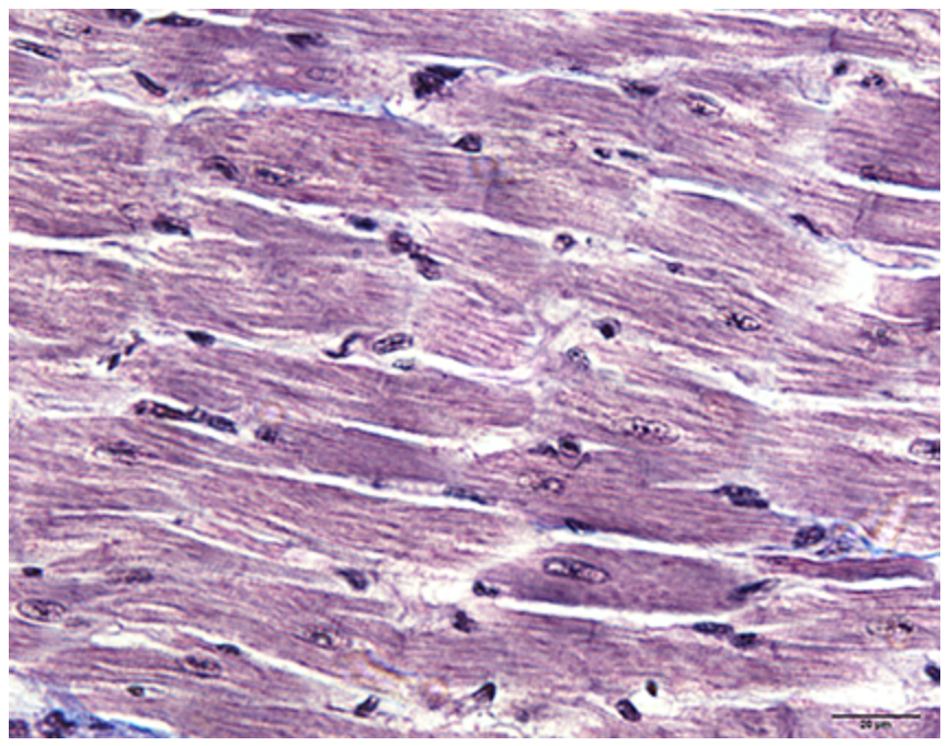
What is cardiac muscle?

alternating dark and light bands that appear as striations, has intercalating disks, that enable commuication between cells and synchronicity of action

56
New cards

What is skeletal muscle?

have cylindrical, cardiac short and bifurcated, have many nuclei located at the periphery of the cell

57
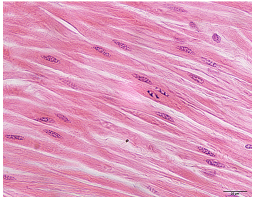
New cards

What is smooth muscle?

have fusiform cells, have only 1 nucleus

58
New cards

Which muscle tissue displays a synchronized activity of cells?

cardiac muscle

59
New cards
<p>What muscle is this?</p>

What muscle is this?

skeletal muscle

60
New cards
<p>What muscle is this?</p>

What muscle is this?

cardiac muscle

61
New cards
<p>What muscle is this?</p>

What muscle is this?

smooth muscle

62
New cards

What is the skin?

largest organ of the body, consists of several tissues

63
New cards

What are the 3 layers of skin?

epidermis, dermis, and hypodermis

64
New cards

What is the epidermis?

stratified squamous epithelial cells, layers of keratinocytes, melanocytes, merkel cells, and langerhans cells

65
New cards

What is the dermis?

connective tissue of areolar and dense irregular type, composed of proteins, collagen and elastin, support the skin and make it flexible and strong

66
New cards

What is the hypodermis

connective tissue of adipose and areolar tissue, which serves as insulation and support

67
New cards

What are sweat glands?

excrete on the surface of the skin (merocrine gland), or in the hair follicle (apocrine gland)

68
New cards

What are oil glands?

open onto the hair follicle

69
New cards
<p>What number is the sebaceous gland?</p>

What number is the sebaceous gland?

2

70
New cards

Why is skin considered an organ?

it consists of several different tissues

71
New cards

What microscope is used in this course?

compound light microscope

72
New cards

What must be turned off on a microscope?

light source when not in use

73
New cards

What is the condenser?

located below the stage is a lens that condenses the light through the specimen on the slide above

74
New cards

What objective must be started with?

lowest power objective (4x)