Histology Epithelium Cell types

0.0(0)
studied byStudied by 0 people
0.0(0)
full-widthCall with Kai
GameKnowt Play
New
learnLearn
examPractice Test
spaced repetitionSpaced Repetition
heart puzzleMatch
flashcardsFlashcards
Card Sorting

1/38

encourage image

There's no tags or description

Looks like no tags are added yet.

Study Analytics
Name
Mastery
Learn
Test
Matching
Spaced

No study sessions yet.

39 Terms

1
New cards

simple squamous epithelium

one layer of flattened cells

Typical locations: organs

blood vessels, lymph vessels, body cavities and outer surface of many

<p>one layer of flattened cells</p><p>Typical locations: organs</p><p>blood vessels, lymph vessels, body cavities and outer surface of many</p>
2
New cards

Simple Cuboidal Epithelium

one layer of cuboidal cells

Typical locations: follicles of thyroid gland, kidney tubules, some sweat glands, and duct systems

<p>one layer of cuboidal cells</p><p>Typical locations: follicles of thyroid gland, kidney tubules, some sweat glands, and duct systems</p>
3
New cards

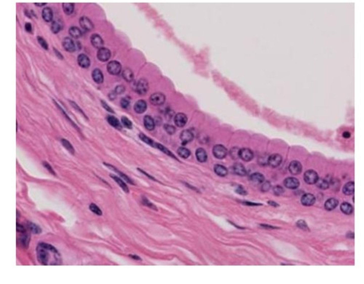
Simple Columnar Epithelium

one layer of tall columnar cells Typical locations: luminal epithelium of intestines and gall bladder

<p>one layer of tall columnar cells Typical locations: luminal epithelium of intestines and gall bladder</p>
4
New cards

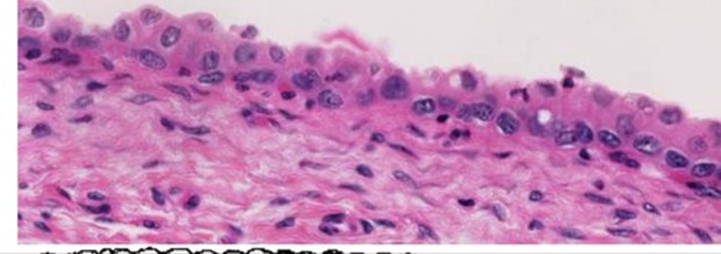
Stratified Squamous Epithelium

nuclei present in all layers of cells including

the apical or free surface. Typical locations: mouth, esophagus, vagina, anal canal

<p>nuclei present in all layers of cells including</p><p>the apical or free surface. Typical locations: mouth, esophagus, vagina, anal canal</p>
5
New cards

Keratinized stratified squamous

surface layers devoid of nuclei, called keratin. Amount of keratin can vary. Typical locations: integument (dry surfaces mostly), hard palate, areas of high "wear and tare".

<p>surface layers devoid of nuclei, called keratin. Amount of keratin can vary. Typical locations: integument (dry surfaces mostly), hard palate, areas of high "wear and tare".</p>
6
New cards

Stratified Cuboidal Epithelium

more than 1 layer of cells; apical layer is cuboidal, not common.

Typical locations: duct systems

<p>more than 1 layer of cells; apical layer is cuboidal, not common.</p><p>Typical locations: duct systems</p>
7
New cards

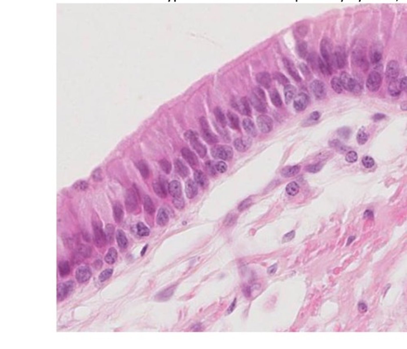
Pseudostratified Columnar Epithelium

Looks stratified but all cells will reach the basement membrane. Typical locations: Respiratory System, some in reproductive system

<p>Looks stratified but all cells will reach the basement membrane. Typical locations: Respiratory System, some in reproductive system</p>
8
New cards

Stratified Columnar Epithelium

more than 1 layer of cells; apical layer is columnar Typical locations: duct systems

<p>more than 1 layer of cells; apical layer is columnar Typical locations: duct systems</p>
9
New cards

Transitional Epithelium/Urothelium

multiple layers; apical cells are rounded but can look more flattened when stretched. Apical cells are larger than basal cells.

Typical location: Urinary System

<p>multiple layers; apical cells are rounded but can look more flattened when stretched. Apical cells are larger than basal cells.</p><p>Typical location: Urinary System</p>
10
New cards

Microvilli

cytoplasmic projections from apical surface; composed of microfilaments covered by cell membranes;

Function- increase surface area to increase absorption (NOT MOTILE);

Location- intestinal tract; proximal renal tubules

<p>cytoplasmic projections from apical surface; composed of microfilaments covered by cell membranes;</p><p>Function- increase surface area to increase absorption (NOT MOTILE);</p><p>Location- intestinal tract; proximal renal tubules</p>
11
New cards

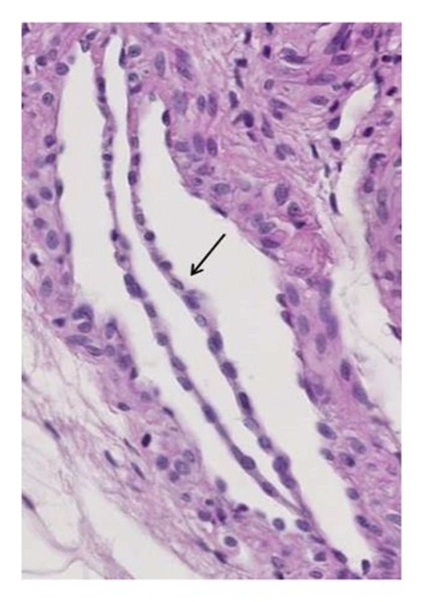
Cilia

cylindrical structures composed of microtubules; Function- motile, move in specific direction to move fluid or particles;

Location- pseudostratified columnar epithelium of respiratory system; parts of reproductive tract.

<p>cylindrical structures composed of microtubules; Function- motile, move in specific direction to move fluid or particles;</p><p>Location- pseudostratified columnar epithelium of respiratory system; parts of reproductive tract.</p>
12
New cards

Stereocilia

Not true cilia- they are long microvilli, composed of microfilaments;

Function- increase surface area for absorption; Location- parts of male reproductive tract

<p>Not true cilia- they are long microvilli, composed of microfilaments;</p><p>Function- increase surface area for absorption; Location- parts of male reproductive tract</p>
13
New cards

Goblet Cells

unicellular glands that secrete mucus; found in respiratory tract;

small/large intestine

<p>unicellular glands that secrete mucus; found in respiratory tract;</p><p>small/large intestine</p>
14
New cards

How many layers of cells are present in simple epithelium?

One

15
New cards

How is pseudostratified epithelium classified?

It appears stratified - however, all cells are touching the basement membrane and not all reach the apical (free) surface.

16
New cards

How is stratified epithelium classified?

2 or more cell layers

17
New cards

When classifying the shape of cells, the cells on the __________ (apical/basal) surface determined it's classification.

Apical

18
New cards

Where is simple squamous epithelium typically found?

Blood vessels, lymph vessels, body cavities and outer surface of many organs

19
New cards

Where is simple cuboidal epithelium typically found?

Follicles of thyroid gland, kidney tubules, some sweat glands, and duct systems

20
New cards

Where is simple columnar epithelium typically found?

Luminal epithelium of intestines and gall bladder

21
New cards

Where is non-keratinized stratified squamous epithelium typically found?

Mouth, esophagus, vagina, anal canal

22
New cards

Where is keratinized stratified squamous epithelium typically found?

Integumentary (dry surfaces mostly), hard palate, areas of high "wear and tare"

23
New cards

Where is stratified cuboidal epithelium typically found?

Duct systems

24
New cards

Where is pseudostratified columnar epithelium typically found?

Respiratory system, some in reproductive system

25
New cards

Where is transitional epithelium typically found?

Urinary system

26
New cards

What is the function of microvilli and where are they typically found?

To increase surface area in order to increase absorption. Located in intestinal tract and proximal renal tubules

27
New cards

Function and location of cilia

Motile, move in specific direction to move fluid or particles. Found on pseudostratified columnar epithelium of respiratory tract; parts of reproductive tract

28
New cards

Description, function and typically location of stereocilia?

They are not true cilia, they are long microvilli composted of microfilaments. They function to increase surface area for absorption. Located in parts of male reproductive tract.

29
New cards

Function and location of Goblet cells

Unicellular glands that secrete mucus. Found in respiratory tract; small/large intestine

30
New cards

Basic tissues of the body

Epithelium, Connective Tissue, Muscle, Nervous Tissue

31
New cards

General Features of Epithelium

Very cellular, little intercellular material, typically avascular, cells arranges in sheets/layers (membranes) or irregular masses or groups (glands)

32
New cards

Why is it clinically relevant to understand the general features of epithelium?

To identify the type of epithelium and knowing where its typically found, as well as determining the origin of a tumor. A tumor arising from epithelial tissue is an epithelial neoplasia

33
New cards

What causes the polarity of cells?

Junctional complexes (tight junctions, desmosomes, connexons)

34
New cards

What are clinical implications of identifying normal polarity or lack of polarity in intestinal epithelial cells on cytology samples?

If epithelial cells don't exhibit normal polarity, they wont be as clumped together or continuous between one cell to the next. This might suggest that something (i.e. virus, tumor, etc) has destroyed these intercellular connections.

35
New cards

What would be the consequence if the stratified squamous cell epithelium of our skin did not possess the keratinized layer?

36
New cards

What would be the consequences if cilia of the respiratory tract did not function properly?

Decreased ability to sweep pathogens/mucous out of respiratory tract leading to increased risk of infection

37
New cards

What would the consequences be if microvilli in the intestines were non functional or structurally damaged?

Decreased absorption of nutrients in the intestines leading to possible malnutrition, dehydration, and lethargy.

38
New cards

What would be the result of non-functioning stereocilia?

Male infertility - no bbs

39
New cards

Still learning (38)

You've started learning these terms. Keep it up!