1/64
post quizzes 1-12 except the pictures from post quizzes 2 and 10
Name | Mastery | Learn | Test | Matching | Spaced |
|---|
No study sessions yet.

This image shows a piece of __________ polymer made of five different ___________ monomers. More monomers exist that don't show up in this example of the molecule.
protein; amino acid
This image shows a piece of __________ polymer made of four different ___________ monomers.
DNA; nucleotide
Isotopes are versions of an atom that have different numbers of neutrons, and therefore one isotope is _______ than the other.
heavier
DNA always contains ________ atoms that aren't usually present in protein. Proteins usually contain _________ atoms that aren't present in DNA.
phosphorus; sulfur

Which experimental setup(s) killed the mouse? Select all that apply.
2 and 4

Which experiments still killed the mouse? Select all that apply.
A and B

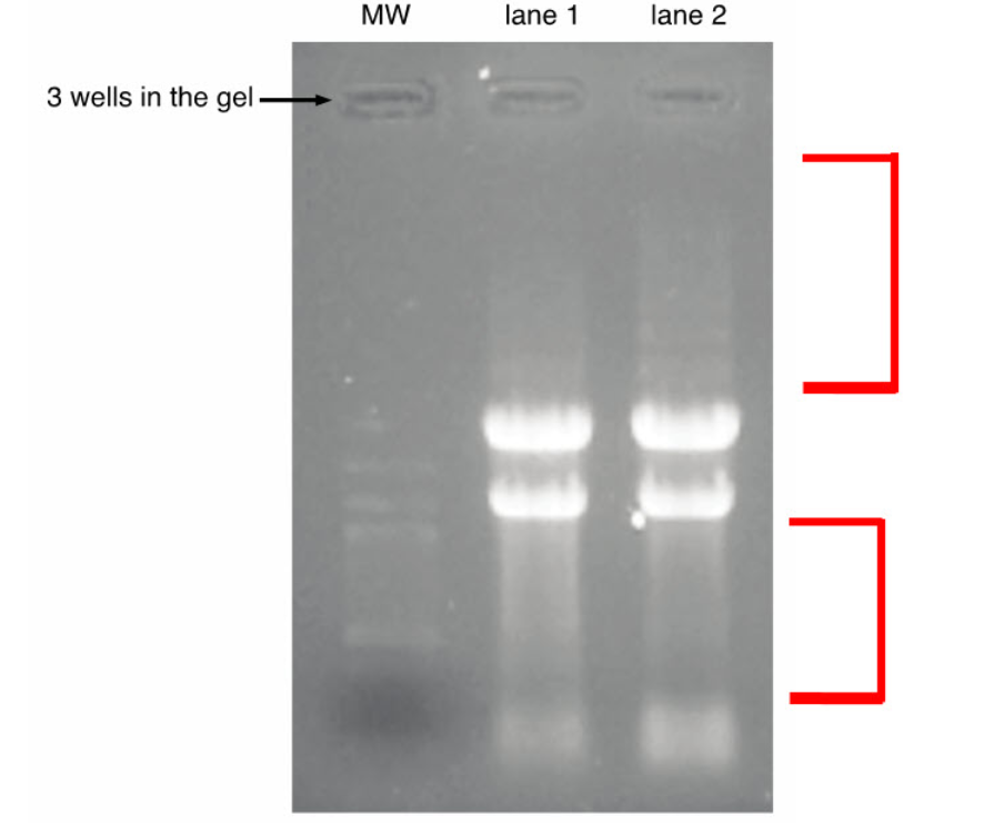
What kind of RNA is indicated by the brackets?
mRNA

What is the strongest conclusion from this experiment?
rRNA does not deliver genetic information.

In this experiment, __________ are radioactive.
amino acid
manufactures proteins
ribosome
delivers genetic information to the ribosome
mRNA
a building block of the ribosome
rRNA
delivers amino acids to the ribosome
tRNA
a building block (monomer) for protein (polymer)
amino acid

What model of DNA replication is shown by this diagram?
dispersive/mosaic

If these had been the results of generations 0, 1, and 2 (left to right) of the Meselson-Stahl DNA replication experiment, which model would have been supported?
conservative

What explains the results shown in the red boxes?
LacID is hyperactive and especially able turn off the gene for beta-galactosidase, even for the other copy of the Lac operon.
Lactose is a __________ made of two _____________ bonded together.
disaccharide; monosaccharides

In this experiment, what happens when lactose is removed?
beta-galactosidase protein stops being produced
What kind of molecule is lactose?
carb

What is special about the bacteria with the blue arrows?
They are haploid, whereas the others are diploid.

What does this diagram show?
LacI protein bound to lacO DNA

What explains the "100" result in the red box?
LacI is broken and unable to turn off the gene for beta-galactosidase.
Which of the following is homozygous recessive?
yy
Which of the following was a major advantage of Gregor Mendel's experiments first demonstrating genetic inheritance?
He counted large numbers of individuals in each experiment.
The genotypes of the parents in a cross are TT and tt. What is the probability of being Tt in the F2 generation?
1/2
Assume Y represents yellow and y represents green peas. Which of the following pea genotypes will have the yellow phenotype?
YY and Yy
Sickle-cell anemia is a recessive genetic disorder. If both parents are heterozygous for sickle-cell anemia, what is the probability that their first child will have the disorder?
1/4
Determine the probability that a couple will give birth to a son with Huntington disease if the father does not have the disease and the mother is heterozygous. Huntington is a dominant disease.
1/4

Which panel(s) show anaphase (select all that apply)?
D and E

What is a logical conclusion from this experiment?
Without thymidine, cells grow but fail to divide.
Imagine a die that has six sides, numbered one through six. Each outcome is equally likely when you roll the die. What is the probability of rolling a two or a four?
1/3

What is missing from the bottom right corner of this figure?
yyss, a wrinkled green pea, 1/16 probability

What organism's chromosomes are shown in panel B?
human

How long does it take for these cells to divide?
30min
Prokaryotic cells divide via
fission
In humans, meiosis takes place in ovaries and testes.
true
Mitosis doesn't include a crossing over/recombination event.
true

which treatment results in the fewest mutations?
Mg2+ (1.0 mM)
How do new genetic diseases arise?
mutations

what mechanism of evolution is shown here?
genetic drift

what is shown here?
natural selection

which smaple is old DNA polymerase
Y

gene flow
Which of the following is not a major tenet (big factor) in evolution?
Heterozygosity
What reaction does DNA polymerase catalyze?
builds DNA
A tetraploid cell has how many copies of each chromosome?
4
Golden rice is genetically modified to _____________.
contain beta-carotene, a vitamin needed for human health

The red-colored C/T position near the center of this sequence alignment represents a(n) _____.
SNP

chromomes

cancerous

insertion
Which of the following organisms have mitochondria?
plants, fruit fies, humans
Which of the following organisms do not have mitochondria?
E coli
There are several pieces of evidence that mitochondria and chloroplasts...
came from swallowed bacteria that stayed inside the cell that ate them.

50%

proteobacteria
Mitochondria and chloroplasts contain...
DNA

Colonial Volvox grow faster than unicellular Volvox of the same size.
The item that contains a lot of alpha glucose polymer (starch) that is easily digestible to humans.
potato

beta sheet

102 to 107 cubic micrometer
which formula could be used to estimate the area under peaks
A=1/2bh
which hypothesis for DNA replication is supported by data
semi conservative
secondary response produces ____ antibody than the primary response
more