1/43
Looks like no tags are added yet.
Name | Mastery | Learn | Test | Matching | Spaced | Call with Kai |
|---|
No analytics yet
Send a link to your students to track their progress
Where does language processing take place
• lateralized: left hemisphere for 85-90% of population
• → Broca’s and Wernicke’s area located there
WADA test
• amobarbital is injected into one of patient’s carotid arteries (usually the left)
• instantly briefly knocks out the ipsilateral hemisphere (hemisphere of side where amobarbital was injected)
• people won’t be able to verbalize what was felt in left hand, because this information is relayed to right hemisphere and language processing takes place in left area
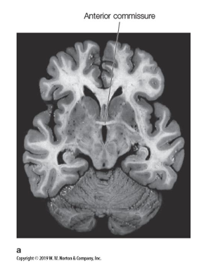
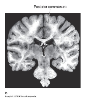
How are the left and right hemisphere connected?
• corpus callosum (consists of bundle of many axons)
• anterior and posterior commissure (also bundles of axons, but smaller)

Macroscopic asymmetries
• left and right hemispheres are offset: right protrudes (→ bulks out) in the front, left in the back
• cortical area at center of Wernicke’s area (→ planum temporale) might be larger in left compared to right hemisphere (in 65% of cases)

How are function and anatomy related?
• anatomical asymmetry appears to correlate with functional asymmetry → when anatomical asymmetry was disturbed, this correlated with functional disturbance
Skepticism about anatomical asymmetry
• only 65% show anatomical asymmetry, whereas ≥85% show left lateralization of language processing
• more recent imaging methods don’t easily replicate these findings
Homotopic
• at same location in left and right hemisphere
Microscopic asymmetries
• is there difference in cellular organization between left and right hemisphere for homotopic areas?
• in language associated areas:
• difference in dendritic branch order (higher in left hemisphere)
• (subtle) differences in cell sizes
Division of corpus callosum
• anterior part: genu
• middle part: body
• posterior part: splenium

Homotopic mapping
• DTI shows that many of callosal projections link homotopic areas
• brain area is connected to same area on other hemisphere of brain
Heterotopic mapping
• connections that travel to different region in other hemisphere
Ipsilateral mapping
• connections that travel to different region in same hemisphere

What does the anterior commissure connect?
• primarily connects certain areas of temporal lobe and amygdala

Posterior commissure
• contains fibers related to pupillary light reflex

Function of corpus callosum
• allows synchronization of neural activity → possibly important to integrate information
• e.g. for long light bar spanning both receptive fields of neurons, signals are synchronized, but not if corpus callosum is severed
• inhibit other side → likely inhibit action plans when you decide on one so that you don’t try to act out different plans at the same time
→ unified cortical functioning
Corpus Callosotomy
• “split-brain surgery”
• cutting corpus callosum
Effect of corpus callosotomy in animals
• often animal starts behaving differently
Effect of and reason for corpus Callosotomy in humans
• to treat intractable epilepsy when origin of seizure cannot be traced to exact brain area
• behavior of humans usually doesn’t change after surgery
How is the role of the corpus callosum in humans mostly studied?
• with visual stimulation because of clear lateralization of visual modality:
• left visual field is processed in right visual cortex
• right visual field is processed in left visual cortex
• method: restrict visual stimulus to one hemisphere → present it in either left or right visual field
Why can methodological considerations of corpus callosotomy cause skepticism? (3)
• patients were not neurotypical before surgery → chronic epilepsy might have caused neurological damage, patients often show atypical performance on neuropsychological tests and can be mentally impaired
• how complete are both hemispheres separated? no intact fibers left?
• possibility of cross-cueing: one hemisphere initiates behavior that other hemisphere detects (it gets a cue from what the other hemisphere is doing), can be very subtle (e.g. some facial muscle contraction)
Functional consequences of cross-cueing in corpus callosotomy
• word presented in left visual field is processes in right hemisphere but can be projected to left hemisphere and, hence, can be named (if corpus callosum is intact)
• when hemispheres are completely separated, word can no longer be transferred to language areas in left hemisphere → patients will not be able to report what they see and will say that they didn’t see anything
• when only posterior part of corpus callosum is severed, visual information can’t be directly projected to left hemisphere
• however, semantics of word can still be transferred to left hemisphere and word can be retrieved
Is language and speech lateralized?
• language clearly left lateralized, but not for all language processes
Distinction in language (2)
• grammar → rule-based system to correctly order words in a sentence, more localized representation in brain
• lexicon → mind’s dictionary, more distributed representation in brain
• lexicons in both hemispheres, but probably organized and accessed differently
What supports the theory that the right hemisphere also contains a lexicon?
• word-superiority effect: split-brain patients are faster to detect a letter when it’s part of a word than when it’s not
→ evidence: occurs both if word is present in right or left visual field within patients with corpus callosotomy
Letter priming
• you are faster in compatible trials (when same letter you will see is presented for very short amount of time) than for incompatible trials (when a different letter is presented)
• doesn’t occur for left visual field for patients with corpus callosotomy
Irregular performance of right hemisphere on different aspects of language
• no differentiation between “the cat chases the dog” and “the dog chases the cat”
• no speech production
Which non-verbal aspects of language are processed in right hemisphere?
• emotional prosody: emotion expressed via language (e.g. pitch, loudness, etc.)
Double dissociation based on non-verbal aspects of language processing?
• patients with left hemispheric damage has little deficit with interpreting emotional meaning of what is being said but fails to understand the meaning
• patient with right hemispheric damage understands meaning of what is being said but fails to interpret the emotion that is being expressed
What is studied with the block design task and how is it studied?
• visuospatial processing is studied
• with blocks, patient with corpus callosotomy has to form shape that’s represented on an image only using either left or right arm
• superior performance for right hemisphere (so using left arm)
Skepticism about block design task
• results inconsistent → performance on task is based on different components, not all of them lateralized
What is studied with detecting upright faces and discriminating familiar faces and how is it studied?
• visuospatial processing
• upright faces: patients were flashed with faces and had to select corresponding face from set of cards with faces on desk before them → superior performance for right hemisphere
• discriminating familiar faces: patients were shown mixtures of their own face + known (e.g. researcher’s) face → superior performance for left hemisphere when asked “is this you?”, superior performance for right hemisphere when asked “is this the other?”
What is studied with object identification and how is it studied?
• interactions of attention and perception
• split-brain patient is presented with two different words, one in each visual field, then asked to draw what he saw
• it’s expected: draws with left hand, which is directed through right hemisphere, which receives information from left visual field → draws word on left
→ doesn’t always happen, sometimes participant combines things
• conclusion: object identification occurs in isolation in each hemisphere
How is the orientation of attention studied and what’s the conclusion?
• participants fixate on points located between two four-point grids → one of four points is briefly highlighted
• participants are asked to move eyes to corresponding point in other visual field → participants perfectly able to do this
• indicates type of spatial information is being transferred or integrated between 2 hemispheres
• conclusion: orienting attention appears to be undivided, attentional resources are shared, but difference in how attention is used by different hemispheres could be present

Global precedence
• when we see objects, we pay attention to global level and to local level
• when describing what you’ll see, you’ll use a hierarchy (global first, local next)
How is reaction time influenced by need to identify global or local shape?
• if you need to identify global shape, reaction time is not influenced by local shapes
• if you need to identify local shape, reaction time will be longer if global and local shapes are incongruent
Influence of damage to hemisphere on perception of global or local elements
• attention to global or local elements depends on hemisphere
• damage to left hemisphere → global element remains intact
• damage to right hemisphere → local elements remain intact
Theory of mind + hemisphere
• ability to understand that other people have thoughts, beliefs and desires → right hemisphere
How can you make sense of the world if the information between hemispheres is not shared? How was this tested?
• Left hemisphere puts all information together into final narrative, a story about motivation and goals of our actions and thoughts
• left hemisphere tries to infer causal relations and make semantic inferences → right side of brain is not able to infer causality
• patient is flashed with two images in different visual fields and needs to select cards associated with the images
• when asked to explain choices: “chicken claw goes with chicken and you need shovel to clean shed” → true reason for selecting shovel: unconscious picture of snow scene
What makes laterality research in neurotypical brains difficult?
• effects are small and inconsistent (maybe because of fast transfer between hemispheres)
• literature might be biased to publish results in favour of asymmetries
• interpretation is problematic → what does asymmetry really indicate?
With which type of information is hemispheric presentation only possible and why?
• visual information → auditory information not strictly processed contralaterally
What happens during a dichotic listening task?
• when different words are presented to left and right ears, participants will say more words that were presented to right ear → “right ear advantage”
How can you study lateralization today?
• DTI → measure strength of parieto-frontal connections in left and right hemisphere → difference in strength indexes brain’s lateralization, correlate this with behavioral measures
Why did the brain develop with hemispheric specialization from evolutionary point of view?
• central role of language in lateralization → largely human feature
• animal brains often quite different → e.g. birds don’t have optic chiasm and no corpus callosum
• evolutionary advantages possibly: communication with less energy, protective feature
Is there hemispheric specialization in the brain?
• yes → see language
• for other processes, it’s not that clear, but some evidence indicates so