1/17
Looks like no tags are added yet.
Name | Mastery | Learn | Test | Matching | Spaced |
|---|
No study sessions yet.

Lateral jaw: body of mandible
use for a lateral jaw: body of mandible
to evaluate impacted teeth, fractures, and lesions located in the body of the mandible
Lateral jaw: body of the mandible is ideal for
children, patients with limited jaw opening due to: Trauma, swelling or infection

Lateral jaw: ramus of mandible
Purpose of the lateral jaw: body of the ramus
used to avaluate impacted teeth and fractures that extend to the ramus
the lateral jaw: ramus of the mandible is ideal for
Patients who cannot tolerate intraoral films, when pano images are not available

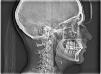
Lateral cephalometric
Purpose for lateral cephalometric
used to evaluate facial growth and development
ideal use for lateral cephalometric
For othrodontics practices or for children and adolescents

Posteroanterior projection
purpose of posteroanterior projection
Used to evaluate trauma; demonstrates frontal sinuses, orbit and nasal cavity

Waters projection
purpose for waters projection
used to evaluate maxillary sinus area

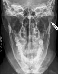
Submentovertex
purpose for submentovertex
used to identify the position of the condoles; used for zygomatic fractures

Reverse towne projection
purpose for reverse towne projection
used to identify fractures of condylar neck and ramus
Purpose of transcranial
used to evaluate condole and articular eminence